JavaScript is disabled in your browser. Please enable JavaScript to view this website.
AB190892

Anti-PRMT1 antibody [EPR18344]

Be the first to review this product! Submit a review

|

(15 Publications)

Rabbit Recombinant Monoclonal PRMT1 antibody. Suitable for IP, WB, ICC/IF, IHC-P and reacts with Human, Mouse, Rat samples. Cited in 15 publications.

View Alternative Names

HMT2, HRMT1L2, IR1B4, PRMT1, Protein arginine N-methyltransferase 1, Histone-arginine N-methyltransferase PRMT1, Interferon receptor 1-bound protein 4

10 Images
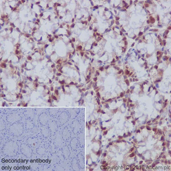
Immunohistochemistry (Formalin/PFA-fixed paraffin-embedded sections) - Anti-PRMT1 antibody [EPR18344] (AB190892)
  • IHC-P

Supplier Data

Immunohistochemistry (Formalin/PFA-fixed paraffin-embedded sections) - Anti-PRMT1 antibody [EPR18344] (AB190892)

Immunohistochemical analysis of paraffin-embedded Human colon tissue labeling PRMT1 with ab190892 at 1/500 dilution, followed by Goat Anti-Rabbit IgG H&L (HRP) (ab97051) at 1/500 dilution. Nuclear staining on Human colon tissue is observed. Counter stained with Hematoxylin.

Perform heat mediated antigen retrieval with Tris/EDTA buffer pH 9.0 before commencing with IHC staining protocol.

Secondary antibody only control : Used PBS instead of primary antibody, secondary antibody is Goat Anti-Rabbit IgG H&L (HRP) (ab97051) at 1/500 dilution.

Immunocytochemistry/ Immunofluorescence - Anti-PRMT1 antibody [EPR18344] (AB190892)
  • ICC/IF

Supplier Data

Immunocytochemistry/ Immunofluorescence - Anti-PRMT1 antibody [EPR18344] (AB190892)

Immunofluorescent analysis of 4% paraformaldehyde-fixed, 0.1% Triton X-100 permeabilized HeLa (Human epithelial cell line from cervix adenocarcinoma) cells labeling PRMT1 with ab190892 at 1/2000 dilution, followed by Goat Anti-Rabbit IgG H&L (Alexa Fluor® 488) (ab150077) secondary antibody at 1/500 dilution (green).

Confocal image showing nuclear staining on HeLa cell line. The nuclear counterstain is DAPI (blue).

Tubulin is detected with anti-alpha Tubulin mouse MAb (ab7291) at 1/1000 dilution, followed by Goat Anti-Mouse IgG H&L (Alexa Fluor® 594) (ab150120) secondary antibody at 1/500 dilution (red).

The negative controls are as follows : -
-ve control 1 : ab190892 at 1/2000 dilution, followed by Goat Anti-Mouse IgG H&L (Alexa Fluor® 594) (ab150120) at 1/500 dilution.
-ve control 2 : anti-alpha Tubulin mouse MAb (ab7291) at 1/1000 dilution, followed by Goat Anti-Rabbit IgG H&L (Alexa Fluor® 488) (ab150077) at 1/500 dilution.

Immunohistochemistry (Formalin/PFA-fixed paraffin-embedded sections) - Anti-PRMT1 antibody [EPR18344] (AB190892)
  • IHC-P

Supplier Data

Immunohistochemistry (Formalin/PFA-fixed paraffin-embedded sections) - Anti-PRMT1 antibody [EPR18344] (AB190892)

Immunohistochemical analysis of paraffin-embedded Human breast cancer tissue labeling PRMT1 with ab190892 at 1/500 dilution, followed by Goat Anti-Rabbit IgG H&L (HRP) (ab97051) at 1/500 dilution. Nuclear and weak cytoplasmic staining on Human breast cancer tissue is observed. Counter stained with Hematoxylin.

Perform heat mediated antigen retrieval with Tris/EDTA buffer pH 9.0 before commencing with IHC staining protocol.

Secondary antibody only control : Used PBS instead of primary antibody, secondary antibody is Goat Anti-Rabbit IgG H&L (HRP) (ab97051) at 1/500 dilution.

Immunoprecipitation - Anti-PRMT1 antibody [EPR18344] (AB190892)
  • IP

Supplier Data

Immunoprecipitation - Anti-PRMT1 antibody [EPR18344] (AB190892)

PRMT1 was immunoprecipitated from 1mg of HEK-293 (Human epithelial cell line from embryonic kidney) whole cell lysate with ab190892 at 1/80 dilution. Western blot was performed from the immunoprecipitate using ab190892 at 1/1000 dilution. VeriBlot for IP Detection Reagent (HRP) (ab131366), was used for detection at 1/10000 dilution.

Lane 1 : HEK-293 whole cell lysate 10ug (Input).

Lane 2 : ab190892 IP in HEK-293 whole cell lysate.

Lane 3 : Rabbit monoclonal IgG (ab172730) instead of ab190892 in HEK293 whole cell lysate.

Blocking and dilution buffer and concentration : 5% NFDM/TBST
Exposure time : 30 seconds.

All lanes:

Immunoprecipitation - Anti-PRMT1 antibody [EPR18344] (ab190892)

Predicted band size: 42 kDa

Observed band size: 42 kDa

true

Exposure time: 30s

Immunohistochemistry (Formalin/PFA-fixed paraffin-embedded sections) - Anti-PRMT1 antibody [EPR18344] (AB190892)
  • IHC-P

Supplier Data

Immunohistochemistry (Formalin/PFA-fixed paraffin-embedded sections) - Anti-PRMT1 antibody [EPR18344] (AB190892)

Immunohistochemical analysis of paraffin-embedded mouse liver tissue labeling PRMT1 with ab190892 at 1/500 dilution, followed by Goat Anti-Rabbit IgG H&L (HRP) (ab97051) at 1/500 dilution. Nuclear and cytoplasmic staining on mouse liver tissue is observed. Counter stained with Hematoxylin.

Secondary antibody only control : Used PBS instead of primary antibody, secondary antibody is Goat Anti-Rabbit IgG H&L (HRP) (ab97051) at 1/500 dilution.

Perform heat mediated antigen retrieval with Tris/EDTA buffer pH 9.0 before commencing with IHC staining protocol.

It has been shown that in living cells PRMT1 shuttles between the nucleus and the cytoplasm depending on the methylation status of substrate proteins. Genes to Cells (2009) 14, 309–317.

Immunohistochemistry (Formalin/PFA-fixed paraffin-embedded sections) - Anti-PRMT1 antibody [EPR18344] (AB190892)
  • IHC-P

Supplier Data

Immunohistochemistry (Formalin/PFA-fixed paraffin-embedded sections) - Anti-PRMT1 antibody [EPR18344] (AB190892)

Immunohistochemical analysis of paraffin-embedded rat colon tissue labeling PRMT1 with ab190892 at 1/500 dilution, followed by Goat Anti-Rabbit IgG H&L (HRP) (ab97051) at 1/500 dilution. Nuclear staining and weak cytoplasmic staining on rat colon tissue is observed. Counter stained with Hematoxylin.

Perform heat mediated antigen retrieval with Tris/EDTA buffer pH 9.0 before commencing with IHC staining protocol.

Secondary antibody only control : Used PBS instead of primary antibody, secondary antibody is Goat Anti-Rabbit IgG H&L (HRP) (ab97051) at 1/500 dilution.

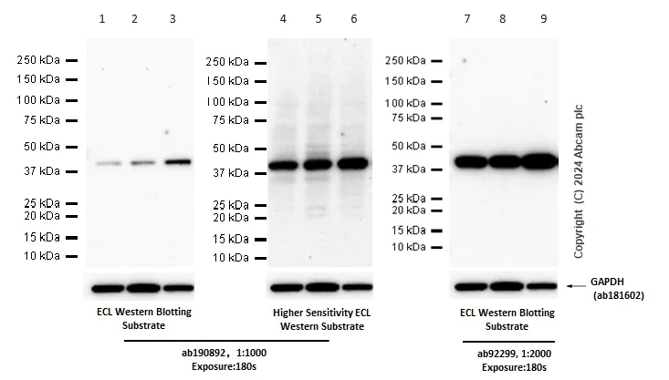
Western blot - Anti-PRMT1 antibody [EPR18344] (AB190892)
  • WB

Supplier Data

Western blot - Anti-PRMT1 antibody [EPR18344] (AB190892)

Blocking and diluting buffer and concentration : 5% NFDM/TBST.

ab181602 was used as a GAPDH loading control.

We recommend using a higher sensitive ECL substrate to increase the band intensity. ab92299 could be an alternative for getting stronger signal.

Lanes 1 - 6:

Western blot - Anti-PRMT1 antibody [EPR18344] (ab190892) at 1/1000 dilution

Lanes 7 - 9:

Western blot - Anti-PRMT1 antibody [EPR3292] (<a href='/en-us/products/primary-antibodies/prmt1-antibody-epr3292-ab92299'>ab92299</a>) at 1/2000 dilution

Lanes 1, 4 and 7:

Caco2 (Human colorectal adenocarcinoma epithelial cell) whole cell lysate at 20 µg

Lanes 2, 5 and 8:

HeLa (Human cervix adenocarcinoma epithelial cell) whole cell lysate at 20 µg

Lanes 3, 6 and 9:

HEK-293 (Human embryonic kidney epithelial cell) whole cell lysate at 20 µg

Secondary

All lanes:

Western blot - Goat Anti-Rabbit IgG H&L (HRP) (<a href='/en-us/products/secondary-antibodies/goat-rabbit-igg-h-l-hrp-ab97051'>ab97051</a>) at 1/20000 dilution

Predicted band size: 42 kDa

Observed band size: 42 kDa

false

Exposure time: 180s

Western blot - Anti-PRMT1 antibody [EPR18344] (AB190892)
  • WB

Unknown

Western blot - Anti-PRMT1 antibody [EPR18344] (AB190892)

Blocking/Dilution buffer : 5% NFDM/TBST.

All lanes:

Western blot - Anti-PRMT1 antibody [EPR18344] (ab190892) at 1/1000 dilution

All lanes:

A549 (Human lung carcinoma cell line) cell lysate at 10 µg

Secondary

All lanes:

Goat Anti-Rabbit IgG, (H+L), Peroxidase conjugated at 1/1000 dilution

Predicted band size: 42 kDa

Observed band size: 42 kDa

false

Exposure time: 3min

Western blot - Anti-PRMT1 antibody [EPR18344] (AB190892)
  • WB

Unknown

Western blot - Anti-PRMT1 antibody [EPR18344] (AB190892)

Blocking/Dilution buffer : 5% NFDM/TBST.

All lanes:

Western blot - Anti-PRMT1 antibody [EPR18344] (ab190892) at 1/5000 dilution

Lane 1:

HeLa (Human epithelial cell line from cervix adenocarcinoma) cell lysate at 10 µg

Lane 2:

HEK-293 (Human epithelial cell line from embryonic kidney) cell lysate at 10 µg

Lane 3:

NIH/3T3 (Mouse embryonic fibroblast cell line) cell lysate at 10 µg

Secondary

All lanes:

Goat Anti-Rabbit IgG, (H+L), Peroxidase conjugated at 1/1000 dilution

Predicted band size: 42 kDa

Observed band size: 42 kDa

false

Exposure time: 3min

Western blot - Anti-PRMT1 antibody [EPR18344] (AB190892)
  • WB

Unknown

Western blot - Anti-PRMT1 antibody [EPR18344] (AB190892)

Blocking/Dilution buffer : 5% NFDM/TBST.

All lanes:

Western blot - Anti-PRMT1 antibody [EPR18344] (ab190892) at 1/1000 dilution

Lane 1:

C6 (Rat glial tumor cell line) cell lysate at 10 µg

Lane 2:

RAW264.7 (Mouse macrophage cell line transformed with Abelson murine leukemia virus) cell lysate at 10 µg

Lane 3:

PC-12 (Rat adrenal gland pheochromocytoma cell line) cell lysate at 10 µg

Secondary

All lanes:

Goat Anti-Rabbit IgG, (H+L), Peroxidase conjugated at 1/1000 dilution

Predicted band size: 42 kDa

Observed band size: 42 kDa

false

Exposure time: 3min

Key facts

Host species

Rabbit

Clonality

Monoclonal

Clone number

EPR18344

Isotype

IgG

Carrier free

No

Reacts with

Mouse, Rat, Human

Applications

WB, IP, IHC-P, ICC/IF

applications

Immunogen

The exact immunogen used to generate this antibody is proprietary information.

Reactivity data

{ "title": "Reactivity Data", "filters": { "stats": ["", "Species", "Dilution Info", "Notes"], "tabs": { "all-applications": {"fullname" : "All Applications", "shortname": "All Applications"}, "IP" : {"fullname" : "Immunoprecipitation", "shortname":"IP"}, "WB" : {"fullname" : "Western blot", "shortname":"WB"}, "ICCIF" : {"fullname" : "Immunocytochemistry/ Immunofluorescence", "shortname":"ICC/IF"}, "IHCP" : {"fullname" : "Immunohistochemistry (Formalin/PFA-fixed paraffin-embedded sections)", "shortname":"IHC-P"} }, "product-promise": { "all": "all", "testedAndGuaranteed": "tested", "guaranteed": "expected", "predicted": "predicted", "notRecommended": "not-recommended" } }, "values": { "Human": { "IP-species-checked": "testedAndGuaranteed", "IP-species-dilution-info": "1/80", "IP-species-notes": "<p></p>", "WB-species-checked": "testedAndGuaranteed", "WB-species-dilution-info": "1/1000", "WB-species-notes": "<p></p>", "ICCIF-species-checked": "testedAndGuaranteed", "ICCIF-species-dilution-info": "1/2000", "ICCIF-species-notes": "<p></p>", "IHCP-species-checked": "testedAndGuaranteed", "IHCP-species-dilution-info": "1/500", "IHCP-species-notes": "<p></p> Perform heat-mediated antigen retrieval with Tris/EDTA buffer pH 9.0 before commencing with IHC staining protocol." }, "Mouse": { "IP-species-checked": "guaranteed", "IP-species-dilution-info": "", "IP-species-notes": "", "WB-species-checked": "testedAndGuaranteed", "WB-species-dilution-info": "1/1000", "WB-species-notes": "<p></p>", "ICCIF-species-checked": "guaranteed", "ICCIF-species-dilution-info": "", "ICCIF-species-notes": "", "IHCP-species-checked": "testedAndGuaranteed", "IHCP-species-dilution-info": "1/500", "IHCP-species-notes": "<p></p> Perform heat-mediated antigen retrieval with Tris/EDTA buffer pH 9.0 before commencing with IHC staining protocol." }, "Rat": { "IP-species-checked": "guaranteed", "IP-species-dilution-info": "", "IP-species-notes": "", "WB-species-checked": "testedAndGuaranteed", "WB-species-dilution-info": "1/1000", "WB-species-notes": "<p></p>", "ICCIF-species-checked": "guaranteed", "ICCIF-species-dilution-info": "", "ICCIF-species-notes": "", "IHCP-species-checked": "testedAndGuaranteed", "IHCP-species-dilution-info": "1/500", "IHCP-species-notes": "<p></p> Perform heat-mediated antigen retrieval with Tris/EDTA buffer pH 9.0 before commencing with IHC staining protocol." } } }

Product details

Patented technology
Our RabMAb® technology is a patented hybridoma-based technology for making rabbit monoclonal antibodies. For details on our patents, please refer to RabMAb® patents.

What are the advantages of a recombinant monoclonal antibody?
This product is a recombinant monoclonal antibody, which offers several advantages including:

  • - High batch-to-batch consistency and reproducibility
  • - Improved sensitivity and specificity
  • - Long-term security of supply
  • - Animal-free batch production

For more information, read more on recombinant antibodies.

Properties and storage information

Form
Liquid
Purification technique
Affinity purification Protein A
Storage buffer
pH: 7.2 - 7.4 Preservative: 0.01% Sodium azide Constituents: PBS, 40% Glycerol (glycerin, glycerine), 0.05% BSA
Shipped at conditions
Blue Ice
Appropriate short-term storage duration
1-2 weeks
Appropriate short-term storage conditions
+4°C
Appropriate long-term storage conditions
-20°C
Aliquoting information
Upon delivery aliquot
Storage information
Avoid freeze / thaw cycle

Supplementary information

This supplementary information is collated from multiple sources and compiled automatically.

PRMT1 also known as protein arginine methyltransferase 1 is an important enzyme for post-translational modification. With a molecular mass of approximately 41 kDa PRMT1 is involved in the methylation of arginine residues on target proteins. This enzyme is ubiquitously expressed across various tissues indicating its widespread importance in cellular functions. PRMT1 functions in both the nucleus and cytoplasm impacting diverse cellular processes through its enzymatic activity.
Biological function summary

PRMT1 participates in several essential cellular functions including signal transduction gene expression and RNA processing. It methylates histones and non-histone proteins influencing chromatin structure and function. PRMT1 does not normally function as part of a complex but it interacts individually with different substrates to exert its effects. PRMT1 activity is essential in regulating transcriptional activation and repression highlighting its significant role in cellular regulation.

Pathways

PRMT1 plays a central role in the regulation of the glucocorticoid receptor signaling and p53 pathways. In glucocorticoid receptor signaling PRMT1 modifies transcription factors affecting their ability to bind DNA and regulate gene expression. In the p53 pathway PRMT1 methylates p53 itself impacting cell cycle arrest and apoptotic functions. These pathways demonstrate PRMT1’s interaction with other proteins like the p53 protein highlighting its integrative role in essential cellular processes.

PRMT1 is implicated in cancer and cardiovascular diseases. Aberrant expression or activity of PRMT1 associates with tumor progression and poor prognosis in cancers making it a target for therapeutic intervention. Additionally PRMT1 contributes to the pathogenesis of cardiovascular diseases by influencing the expression of genes linked to cardiac hypertrophy. PRMT1 interacts with the p53 protein impacting cancer development while also being connected through its regulatory function on p53-associated genes in these diseases.

Product protocols

For this product, it's our understanding that no specific protocols are required. You can visit:

Target data

Arginine methyltransferase that methylates (mono and asymmetric dimethylation) the guanidino nitrogens of arginyl residues present in proteins such as ESR1, histone H2, H3 and H4, FMR1, ILF3, HNRNPA1, HNRNPD, NFATC2IP, SUPT5H, TAF15, EWS, HABP4, SERBP1, RBM15, FOXO1, CHTOP, MAP3K5/ASK1, MICU1 and NPRL2 (PubMed : 10749851, PubMed : 15741314, PubMed : 16879614, PubMed : 18951090, PubMed : 22095282, PubMed : 25284789, PubMed : 26575292, PubMed : 26876602, PubMed : 27642082, PubMed : 30765518, PubMed : 31257072, PubMed : 38006878). Constitutes the main enzyme that mediates monomethylation and asymmetric dimethylation of histone H4 'Arg-4' (H4R3me1 and H4R3me2a, respectively), a specific tag for epigenetic transcriptional activation. May be involved in the regulation of TAF15 transcriptional activity, act as an activator of estrogen receptor (ER)-mediated transactivation, play a key role in neurite outgrowth and act as a negative regulator of megakaryocytic differentiation, by modulating p38 MAPK pathway. Methylates RBM15, promoting ubiquitination and degradation of RBM15 (PubMed : 26575292). Methylates MRE11 and TP53BP1, promoting the DNA damage response (PubMed : 15741314, PubMed : 16294045, PubMed : 29651020). Methylates FOXO1 and retains it in the nucleus increasing its transcriptional activity (PubMed : 18951090). Methylates CHTOP and this methylation is critical for its 5-hydroxymethylcytosine (5hmC)-binding activity (PubMed : 25284789). Methylates MAP3K5/ASK1 at 'Arg-78' and 'Arg-80' which promotes association of MAP3K5 with thioredoxin and negatively regulates MAP3K5 association with TRAF2, inhibiting MAP3K5 stimulation and MAP3K5-induced activation of JNK (PubMed : 22095282). Methylates H4R3 in genes involved in glioblastomagenesis in a CHTOP- and/or TET1-dependent manner (PubMed : 25284789). Plays a role in regulating alternative splicing in the heart (By similarity). Methylates NPRL2 at 'Arg-78' leading to inhibition of its GTPase activator activity and then the GATOR1 complex and consequently inducing timely mTORC1 activation under methionine-sufficient conditions (PubMed : 38006878).
See full target information PRMT1

Publications (15)

Recent publications for all applications. Explore the full list and refine your search

Clinical epigenetics 17:129 PubMed40696470

2025

Targeting PRMT1-mediated methylation of TAF15 to protect against myocardial infarction by inhibiting ferroptosis via the GPX4/NRF2 pathway.

Applications

Unspecified application

Species

Unspecified reactive species

Guanshen Huang,Liwei He,Bishan Liang,Mingjian Gao,Jianming Huang,Hao Xia,Xinyu Li,Hai Li,Yunjun Ruan

Communications biology 8:159 PubMed39901028

2025

Arginine methyltransferase PRMT1 promotes ferroptosis through EGR1/GLS2 axis in sepsis-related acute lung injury.

Applications

Unspecified application

Species

Unspecified reactive species

Min Li,Longhui Hu,Qiao Ke,Zhao Li,Chujun Ruan,Hanjing Lu,Xiaoran Liu

Acta biochimica et biophysica Sinica 57:1338-1349 PubMed39659162

2024

PRMT1 alleviates isoprenaline-induced myocardial hypertrophy by methylating SRSF1.

Applications

Unspecified application

Species

Unspecified reactive species

Zi Yan,Wenhui Zhao,Naixin Zhao,Yufeng Liu,Bowen Yang,Li Wang,Jingyi Liu,Deping Wang,Jin Wang,Xiangying Jiao,Jimin Cao,Jianguo Li

Cell death & disease 15:814 PubMed39528487

2024

PRMT1-mediated methylation of ME2 promotes hepatocellular carcinoma growth by inhibiting ubiquitination.

Applications

Unspecified application

Species

Unspecified reactive species

Shuai Zhang,Shuling Zhang,Baijuan Xia,Xueying Li,Hongyu Jiang,Su Feng,Yang Xiang,Ya Qiu,Shi Zhou,Peng Luo

Communications biology 7:753 PubMed38902349

2024

Protein arginine methyltransferase 2 controls inflammatory signaling in acute myeloid leukemia.

Applications

Unspecified application

Species

Unspecified reactive species

Camille Sauter,Thomas Morin,Fabien Guidez,John Simonet,Cyril Fournier,Céline Row,Denis Masnikov,Baptiste Pernon,Anne Largeot,Aziza Aznague,Yann Hérault,Guy Sauvageau,Marc Maynadié,Mary Callanan,Jean-Noël Bastie,Romain Aucagne,Laurent Delva

Nature communications 15:4790 PubMed38839752

2024

FBXO7 ubiquitinates PRMT1 to suppress serine synthesis and tumor growth in hepatocellular carcinoma.

Applications

Unspecified application

Species

Unspecified reactive species

Li Luo,Xingyun Wu,Jiawu Fan,Lixia Dong,Mao Wang,Yan Zeng,Sijia Li,Wenyong Yang,Jingwen Jiang,Kui Wang

Journal of clinical laboratory analysis 38:e25030 PubMed38525916

2024

Dynein Light Intermediate Chains Exhibit Different Arginine Methylation Patterns.

Applications

Unspecified application

Species

Unspecified reactive species

Weiwen Bu,Jie Di,Junkui Zhao,Ruming Liu,Yue Wu,Jie Ran,Te Li

Genes & diseases 10:2622-2638 PubMed37554218

2023

PRMT1 promotes the proliferation and metastasis of gastric cancer cells by recruiting MLXIP for the transcriptional activation of the β-catenin pathway.

Applications

Unspecified application

Species

Unspecified reactive species

Feng Wang,Shitong Chen,Shihan Peng,Xujun Zhou,Houyi Tang,Hanghua Liang,Xi Zhong,He Yang,Xiaoxue Ke,MuHan Lü,Hongjuan Cui

Nature communications 14:1011 PubMed36823188

2023

PHGDH arginine methylation by PRMT1 promotes serine synthesis and represents a therapeutic vulnerability in hepatocellular carcinoma.

Applications

Unspecified application

Species

Unspecified reactive species

Kui Wang,Li Luo,Shuyue Fu,Mao Wang,Zihao Wang,Lixia Dong,Xingyun Wu,Lunzhi Dai,Yong Peng,Guobo Shen,Hai-Ning Chen,Edouard Collins Nice,Xiawei Wei,Canhua Huang

International journal of molecular sciences 22: PubMed34830164

2021

Nitric Oxide-Dependent Mechanisms Underlying MK-801- or Scopolamine-Induced Memory Dysfunction in Animals: Mechanistic Studies.

Applications

Unspecified application

Species

Unspecified reactive species

Paulina Cieślik,Anna Siekierzycka,Adrianna Radulska,Agata Płoska,Grzegorz Burnat,Piotr Brański,Leszek Kalinowski,Joanna M Wierońska
View all publications

Product promise

We are committed to supporting your work with high-quality reagents, and we're here for you every step of the way. In the unlikely event that one of our products does not perform as expected, you're protected by our Product Promise.
For full details, please see our Terms & Conditions

Please note: All products are 'FOR RESEARCH USE ONLY. NOT FOR USE IN DIAGNOSTIC OR THERAPEUTIC PROCEDURES'.

For licensing inquiries, please contact partnerships@abcam.com