JavaScript is disabled in your browser. Please enable JavaScript to view this website.
AB240314

Anti-PRMT1 antibody [EPR18344] - BSA and Azide free

Be the first to review this product! Submit a review

|

(0 Publication)

Rabbit Recombinant Monoclonal PRMT1 antibody. Carrier free. Suitable for IP, WB, ICC/IF, IHC-P and reacts with Human, Mouse, Rat samples.

View Alternative Names

HMT2, HRMT1L2, IR1B4, PRMT1, Protein arginine N-methyltransferase 1, Histone-arginine N-methyltransferase PRMT1, Interferon receptor 1-bound protein 4

7 Images
Western blot - Anti-PRMT1 antibody [EPR18344] - BSA and Azide free (AB240314)
  • WB

Supplier Data

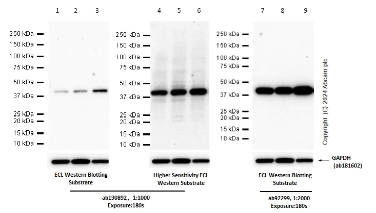
Western blot - Anti-PRMT1 antibody [EPR18344] - BSA and Azide free (AB240314)

Blocking and diluting buffer and concentration : 5% NFDM/TBST.

ab181602 was used as a GAPDH loading control.

We recommend using a higher sensitive ECL substrate to increase the band intensity. ab92299 could be an alternative for getting stronger signal.

This data was developed using ab190892, the same antibody clone in a different buffer formulation.

Lanes 1 - 6:

Western blot - Anti-PRMT1 antibody [EPR18344] (<a href='/en-us/products/primary-antibodies/prmt1-antibody-epr18344-ab190892'>ab190892</a>) at 1/1000 dilution

Lanes 7 - 9:

Western blot - Anti-PRMT1 antibody [EPR3292] (<a href='/en-us/products/primary-antibodies/prmt1-antibody-epr3292-ab92299'>ab92299</a>) at 1/2000 dilution

Lanes 1, 4 and 7:

Caco2 (Human colorectal adenocarcinoma epithelial cell) whole cell lysate at 20 µg

Lanes 2, 5 and 8:

HeLa (Human cervix adenocarcinoma epithelial cell) whole cell lysate at 20 µg

Lanes 3, 6 and 9:

HEK-293 (Human embryonic kidney epithelial cell) whole cell lysate at 20 µg

Secondary

All lanes:

Western blot - Goat Anti-Rabbit IgG H&L (HRP) (<a href='/en-us/products/secondary-antibodies/goat-rabbit-igg-h-l-hrp-ab97051'>ab97051</a>) at 1/20000 dilution

Predicted band size: 42 kDa

Observed band size: 42 kDa

false

Exposure time: 180s

Immunocytochemistry/ Immunofluorescence - Anti-PRMT1 antibody [EPR18344] - BSA and Azide free (AB240314)
  • ICC/IF

Supplier Data

Immunocytochemistry/ Immunofluorescence - Anti-PRMT1 antibody [EPR18344] - BSA and Azide free (AB240314)

Immunofluorescent analysis of 4% paraformaldehyde-fixed, 0.1% Triton X-100 permeabilized HeLa (Human epithelial cell line from cervix adenocarcinoma) cells labeling PRMT1 with ab190892 at 1/2000 dilution, followed by Goat Anti-Rabbit IgG H&L (Alexa Fluor® 488) (ab150077) secondary antibody at 1/500 dilution (green).

Confocal image showing nuclear staining on HeLa cell line. The nuclear counterstain is DAPI (blue).

Tubulin is detected with anti-alpha Tubulin mouse MAb (ab7291) at 1/1000 dilution, followed by Goat Anti-Mouse IgG H&L (Alexa Fluor® 594) (ab150120) secondary antibody at 1/500 dilution (red).

The negative controls are as follows : -
-ve control 1 : ab190892 at 1/2000 dilution, followed by Goat Anti-Mouse IgG H&L (Alexa Fluor® 594) (ab150120) at 1/500 dilution.
-ve control 2 : anti-alpha Tubulin mouse MAb (ab7291) at 1/1000 dilution, followed by  Goat Anti-Rabbit IgG H&L (Alexa Fluor® 488) (ab150077) at 1/500 dilution.

This data was developed using the same antibody clone in a different buffer formulation containing PBS, BSA, glycerol, and sodium azide (ab190892).

Immunohistochemistry (Formalin/PFA-fixed paraffin-embedded sections) - Anti-PRMT1 antibody [EPR18344] - BSA and Azide free (AB240314)
  • IHC-P

Supplier Data

Immunohistochemistry (Formalin/PFA-fixed paraffin-embedded sections) - Anti-PRMT1 antibody [EPR18344] - BSA and Azide free (AB240314)

Immunohistochemical analysis of paraffin-embedded rat colon tissue labeling PRMT1 with ab190892 at 1/500 dilution, followed by Goat Anti-Rabbit IgG H&L (HRP) (ab97051) at 1/500 dilution. Nuclear staining and weak cytoplasmic staining on rat colon tissue is observed. Counter stained with Hematoxylin.

Secondary antibody only control : Used PBS instead of primary antibody, secondary antibody is Goat Anti-Rabbit IgG H&L (HRP) (ab97051) at 1/500 dilution.

This data was developed using the same antibody clone in a different buffer formulation containing PBS, BSA, glycerol, and sodium azide (ab190892).

Perform heat mediated antigen retrieval with Tris/EDTA buffer pH 9.0 before commencing with IHC staining protocol.

Immunohistochemistry (Formalin/PFA-fixed paraffin-embedded sections) - Anti-PRMT1 antibody [EPR18344] - BSA and Azide free (AB240314)
  • IHC-P

Supplier Data

Immunohistochemistry (Formalin/PFA-fixed paraffin-embedded sections) - Anti-PRMT1 antibody [EPR18344] - BSA and Azide free (AB240314)

Immunohistochemical analysis of paraffin-embedded Human colon tissue labeling PRMT1 with ab190892 at 1/500 dilution, followed by Goat Anti-Rabbit IgG H&L (HRP) (ab97051) at 1/500 dilution. Nuclear staining on Human colon tissue is observed. Counter stained with Hematoxylin.

Secondary antibody only control : Used PBS instead of primary antibody, secondary antibody is Goat Anti-Rabbit IgG H&L (HRP) (ab97051) at 1/500 dilution.

This data was developed using the same antibody clone in a different buffer formulation containing PBS, BSA, glycerol, and sodium azide (ab190892).

Perform heat mediated antigen retrieval with Tris/EDTA buffer pH 9.0 before commencing with IHC staining protocol.

Immunohistochemistry (Formalin/PFA-fixed paraffin-embedded sections) - Anti-PRMT1 antibody [EPR18344] - BSA and Azide free (AB240314)
  • IHC-P

Supplier Data

Immunohistochemistry (Formalin/PFA-fixed paraffin-embedded sections) - Anti-PRMT1 antibody [EPR18344] - BSA and Azide free (AB240314)

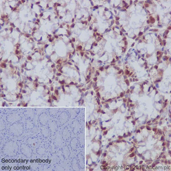
Immunohistochemical analysis of paraffin-embedded mouse liver tissue labeling PRMT1 with ab190892 at 1/500 dilution, followed by Goat Anti-Rabbit IgG H&L (HRP) (ab97051) at 1/500 dilution. Nuclear and cytoplasmic staining on mouse liver tissue is observed. Counter stained with Hematoxylin.

Secondary antibody only control : Used PBS instead of primary antibody, secondary antibody is Goat Anti-Rabbit IgG H&L (HRP) (ab97051) at 1/500 dilution.

It has been shown that in living cells PRMT1 shuttles between the nucleus and the cytoplasm depending on the methylation status of substrate proteins. Genes to Cells (2009) 14, 309–317.

This data was developed using the same antibody clone in a different buffer formulation containing PBS, BSA, glycerol, and sodium azide (ab190892).

Perform heat mediated antigen retrieval with Tris/EDTA buffer pH 9.0 before commencing with IHC staining protocol.

Immunohistochemistry (Formalin/PFA-fixed paraffin-embedded sections) - Anti-PRMT1 antibody [EPR18344] - BSA and Azide free (AB240314)
  • IHC-P

Supplier Data

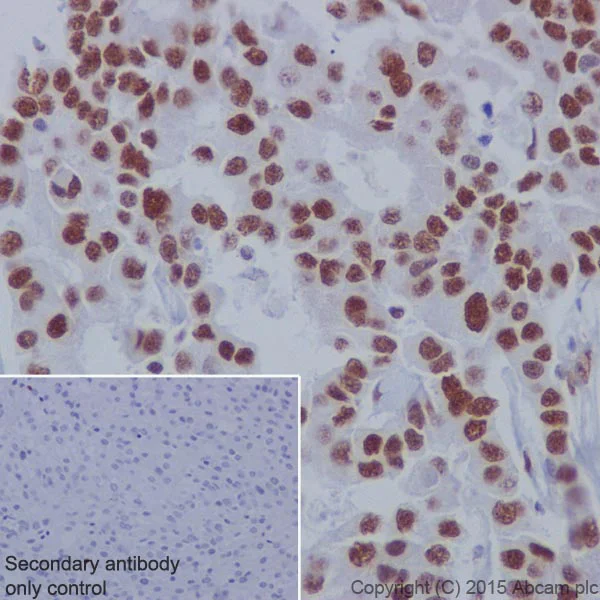
Immunohistochemistry (Formalin/PFA-fixed paraffin-embedded sections) - Anti-PRMT1 antibody [EPR18344] - BSA and Azide free (AB240314)

Immunohistochemical analysis of paraffin-embedded Human breast cancer tissue labeling PRMT1 with ab190892 at 1/500 dilution, followed by Goat Anti-Rabbit IgG H&L (HRP) (ab97051) at 1/500 dilution. Nuclear and weak cytoplasmic staining on Human breast cancer tissue is observed. Counter stained with Hematoxylin.

Secondary antibody only control : Used PBS instead of primary antibody, secondary antibody is Goat Anti-Rabbit IgG H&L (HRP) (ab97051) at 1/500 dilution.

This data was developed using the same antibody clone in a different buffer formulation containing PBS, BSA, glycerol, and sodium azide (ab190892).

Perform heat mediated antigen retrieval with Tris/EDTA buffer pH 9.0 before commencing with IHC staining protocol.

Immunoprecipitation - Anti-PRMT1 antibody [EPR18344] - BSA and Azide free (AB240314)
  • IP

Supplier Data

Immunoprecipitation - Anti-PRMT1 antibody [EPR18344] - BSA and Azide free (AB240314)

PRMT1 was immunoprecipitated from 1mg of HEK-293 (Human epithelial cell line from embryonic kidney) whole cell lysate with ab190892 at 1/80 dilution. Western blot was performed from the immunoprecipitate using ab190892 at 1/1000 dilution. VeriBlot for IP Detection Reagent (HRP) (ab131366), was used for detection at 1/10000 dilution.

Lane 1 : HEK-293 whole cell lysate 10ug (Input).

Lane 2 : ab190892 IP in HEK-293 whole cell lysate.

Lane 3 : Rabbit monoclonal IgG (ab172730) instead of ab190892 in HEK293 whole cell lysate.

Blocking and dilution buffer and concentration : 5% NFDM/TBST
Exposure time : 30 seconds.

This data was developed using the same antibody clone in a different buffer formulation containing PBS, BSA, glycerol, and sodium azide (ab190892).

All lanes:

Immunoprecipitation - Anti-PRMT1 antibody [EPR18344] (<a href='/en-us/products/primary-antibodies/prmt1-antibody-epr18344-ab190892'>ab190892</a>)

Predicted band size: 42 kDa

Observed band size: 42 kDa

true

Exposure time: 30s

Key facts

Host species

Rabbit

Clonality

Monoclonal

Clone number

EPR18344

Isotype

IgG

Carrier free

Yes

Reacts with

Mouse, Rat, Human

Applications

ICC/IF, IP, IHC-P, WB

applications

Immunogen

The exact immunogen used to generate this antibody is proprietary information.

Reactivity data

{ "title": "Reactivity Data", "filters": { "stats": ["", "Species", "Dilution Info", "Notes"], "tabs": { "all-applications": {"fullname" : "All Applications", "shortname": "All Applications"}, "IP" : {"fullname" : "Immunoprecipitation", "shortname":"IP"}, "WB" : {"fullname" : "Western blot", "shortname":"WB"}, "ICCIF" : {"fullname" : "Immunocytochemistry/ Immunofluorescence", "shortname":"ICC/IF"}, "IHCP" : {"fullname" : "Immunohistochemistry (Formalin/PFA-fixed paraffin-embedded sections)", "shortname":"IHC-P"} }, "product-promise": { "all": "all", "testedAndGuaranteed": "tested", "guaranteed": "expected", "predicted": "predicted", "notRecommended": "not-recommended" } }, "values": { "Human": { "IP-species-checked": "testedAndGuaranteed", "IP-species-dilution-info": "", "IP-species-notes": "<p></p> Perform heat-mediated antigen retrieval with Tris/EDTA buffer pH 9.0 before commencing with IHC staining protocol.", "WB-species-checked": "guaranteed", "WB-species-dilution-info": "", "WB-species-notes": "<p></p>", "ICCIF-species-checked": "testedAndGuaranteed", "ICCIF-species-dilution-info": "", "ICCIF-species-notes": "<p></p>", "IHCP-species-checked": "testedAndGuaranteed", "IHCP-species-dilution-info": "", "IHCP-species-notes": "<p></p> Perform heat-mediated antigen retrieval with Tris/EDTA buffer pH 9.0 before commencing with IHC staining protocol." }, "Mouse": { "IP-species-checked": "predicted", "IP-species-dilution-info": "", "IP-species-notes": "", "WB-species-checked": "guaranteed", "WB-species-dilution-info": "", "WB-species-notes": "<p></p>", "ICCIF-species-checked": "predicted", "ICCIF-species-dilution-info": "", "ICCIF-species-notes": "", "IHCP-species-checked": "predicted", "IHCP-species-dilution-info": "", "IHCP-species-notes": "" }, "Rat": { "IP-species-checked": "predicted", "IP-species-dilution-info": "", "IP-species-notes": "", "WB-species-checked": "guaranteed", "WB-species-dilution-info": "", "WB-species-notes": "<p></p>", "ICCIF-species-checked": "predicted", "ICCIF-species-dilution-info": "", "ICCIF-species-notes": "", "IHCP-species-checked": "predicted", "IHCP-species-dilution-info": "", "IHCP-species-notes": "" } } }

Product details

ab240314 is the carrier-free version of ab190892.

Patented technology
Our RabMAb® technology is a patented hybridoma-based technology for making rabbit monoclonal antibodies. For details on our patents, please refer to RabMAb® patents.

What are the advantages of a recombinant monoclonal antibody?
This product is a recombinant monoclonal antibody, which offers several advantages including:

  • - High batch-to-batch consistency and reproducibility
  • - Improved sensitivity and specificity
  • - Long-term security of supply
  • - Animal-free batch production

For more information, read more on recombinant antibodies.

Conjugation ready
Our carrier-free antibodies are typically supplied in a PBS-only formulation, purified and free of BSA, sodium azide and glycerol. This conjugation-ready format is designed for use with fluorochromes, metal isotopes, oligonucleotides, and enzymes, which makes them ideal for antibody labelling, functional and cell-based assays, flow-based assays (e.g. mass cytometry) and Multiplex Imaging applications.

Use our conjugation kits for antibody conjugates that are ready-to-use in as little as 20 minutes with 1 minute hands-on-time and 100% antibody recovery: available for fluorescent dyes, HRP, biotin and gold.

Compatibility
This product is compatible with the Maxpar® Antibody Labeling Kit from Fluidigm, without the need for antibody preparation. Maxpar® is a trademark of Fluidigm Canada Inc.

Properties and storage information

Form
Liquid
Purification technique
Affinity purification Protein A
Storage buffer
pH: 7.2 - 7.4 Constituents: PBS
Shipped at conditions
Blue Ice
Appropriate short-term storage conditions
+4°C
Appropriate long-term storage conditions
+4°C
Storage information
Do Not Freeze

Supplementary information

This supplementary information is collated from multiple sources and compiled automatically.

PRMT1 also known as protein arginine methyltransferase 1 is an important enzyme for post-translational modification. With a molecular mass of approximately 41 kDa PRMT1 is involved in the methylation of arginine residues on target proteins. This enzyme is ubiquitously expressed across various tissues indicating its widespread importance in cellular functions. PRMT1 functions in both the nucleus and cytoplasm impacting diverse cellular processes through its enzymatic activity.
Biological function summary

PRMT1 participates in several essential cellular functions including signal transduction gene expression and RNA processing. It methylates histones and non-histone proteins influencing chromatin structure and function. PRMT1 does not normally function as part of a complex but it interacts individually with different substrates to exert its effects. PRMT1 activity is essential in regulating transcriptional activation and repression highlighting its significant role in cellular regulation.

Pathways

PRMT1 plays a central role in the regulation of the glucocorticoid receptor signaling and p53 pathways. In glucocorticoid receptor signaling PRMT1 modifies transcription factors affecting their ability to bind DNA and regulate gene expression. In the p53 pathway PRMT1 methylates p53 itself impacting cell cycle arrest and apoptotic functions. These pathways demonstrate PRMT1’s interaction with other proteins like the p53 protein highlighting its integrative role in essential cellular processes.

PRMT1 is implicated in cancer and cardiovascular diseases. Aberrant expression or activity of PRMT1 associates with tumor progression and poor prognosis in cancers making it a target for therapeutic intervention. Additionally PRMT1 contributes to the pathogenesis of cardiovascular diseases by influencing the expression of genes linked to cardiac hypertrophy. PRMT1 interacts with the p53 protein impacting cancer development while also being connected through its regulatory function on p53-associated genes in these diseases.

Product protocols

For this product, it's our understanding that no specific protocols are required. You can visit:

Target data

Arginine methyltransferase that methylates (mono and asymmetric dimethylation) the guanidino nitrogens of arginyl residues present in proteins such as ESR1, histone H2, H3 and H4, FMR1, ILF3, HNRNPA1, HNRNPD, NFATC2IP, SUPT5H, TAF15, EWS, HABP4, SERBP1, RBM15, FOXO1, CHTOP, MAP3K5/ASK1, MICU1 and NPRL2 (PubMed : 10749851, PubMed : 15741314, PubMed : 16879614, PubMed : 18951090, PubMed : 22095282, PubMed : 25284789, PubMed : 26575292, PubMed : 26876602, PubMed : 27642082, PubMed : 30765518, PubMed : 31257072, PubMed : 38006878). Constitutes the main enzyme that mediates monomethylation and asymmetric dimethylation of histone H4 'Arg-4' (H4R3me1 and H4R3me2a, respectively), a specific tag for epigenetic transcriptional activation. May be involved in the regulation of TAF15 transcriptional activity, act as an activator of estrogen receptor (ER)-mediated transactivation, play a key role in neurite outgrowth and act as a negative regulator of megakaryocytic differentiation, by modulating p38 MAPK pathway. Methylates RBM15, promoting ubiquitination and degradation of RBM15 (PubMed : 26575292). Methylates MRE11 and TP53BP1, promoting the DNA damage response (PubMed : 15741314, PubMed : 16294045, PubMed : 29651020). Methylates FOXO1 and retains it in the nucleus increasing its transcriptional activity (PubMed : 18951090). Methylates CHTOP and this methylation is critical for its 5-hydroxymethylcytosine (5hmC)-binding activity (PubMed : 25284789). Methylates MAP3K5/ASK1 at 'Arg-78' and 'Arg-80' which promotes association of MAP3K5 with thioredoxin and negatively regulates MAP3K5 association with TRAF2, inhibiting MAP3K5 stimulation and MAP3K5-induced activation of JNK (PubMed : 22095282). Methylates H4R3 in genes involved in glioblastomagenesis in a CHTOP- and/or TET1-dependent manner (PubMed : 25284789). Plays a role in regulating alternative splicing in the heart (By similarity). Methylates NPRL2 at 'Arg-78' leading to inhibition of its GTPase activator activity and then the GATOR1 complex and consequently inducing timely mTORC1 activation under methionine-sufficient conditions (PubMed : 38006878).
See full target information PRMT1

Product promise

We are committed to supporting your work with high-quality reagents, and we're here for you every step of the way. In the unlikely event that one of our products does not perform as expected, you're protected by our Product Promise.
For full details, please see our Terms & Conditions

Associated Products

Select an associated product type
Alternative Product
Primary Antibodies

AB73246

Anti-PRMT1 antibody

primary-antibodies

prmt1-antibody-ab73246

4

(4 reviews)

Alternative Product
Primary Antibodies

AB7027

Anti-PRMT1 antibody [MAT-B12]

primary-antibodies

prmt1-antibody-mat-b12-ab7027

3

(1 reviews)

Alternative Product
Primary Antibodies

AB92299

Anti-PRMT1 antibody [EPR3292]

primary-antibodies

prmt1-antibody-epr3292-ab92299

0

(0 reviews)

Please note: All products are 'FOR RESEARCH USE ONLY. NOT FOR USE IN DIAGNOSTIC OR THERAPEUTIC PROCEDURES'.

For licensing inquiries, please contact partnerships@abcam.com