JavaScript is disabled in your browser. Please enable JavaScript to view this website.
AB191562

Anti-PRMT3 antibody [EPR13279]

Be the first to review this product! Submit a review

|

(13 Publications)

Rabbit Recombinant Monoclonal PRMT3 antibody. Suitable for IP, WB, ICC/IF, IHC-P and reacts with Human samples. Cited in 13 publications.

View Alternative Names

HRMT1L3, PRMT3, Protein arginine N-methyltransferase 3, Heterogeneous nuclear ribonucleoprotein methyltransferase-like protein 3

5 Images
Immunohistochemistry (Formalin/PFA-fixed paraffin-embedded sections) - Anti-PRMT3 antibody [EPR13279] (AB191562)
  • IHC-P

Supplier Data

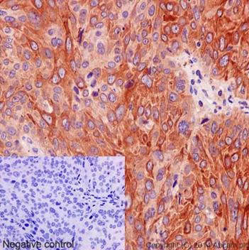
Immunohistochemistry (Formalin/PFA-fixed paraffin-embedded sections) - Anti-PRMT3 antibody [EPR13279] (AB191562)

Immunohistochemical analysis of paraffin-embedded, human cervix carcinoma tissue labeling PRMT3 with ab191562 at a 1/100 dilution. Counter stained with hematoxylin. In the negative control PBS was used instead of primary antibody.

Perform heat mediated antigen retrieval with Tris/EDTA buffer pH 9.0 before commencing with IHC staining protocol.

Immunocytochemistry/ Immunofluorescence - Anti-PRMT3 antibody [EPR13279] (AB191562)
  • ICC/IF

Supplier Data

Immunocytochemistry/ Immunofluorescence - Anti-PRMT3 antibody [EPR13279] (AB191562)

Immunofluorescence analysis of, paraformaldehyde-fixed, MCF7 cells labeling PRMT3 with ab191562 at a 1/50 dilution. As secondary antibody goat anti-rabbit IgG (Alexa Fluor® 488) ab150077 was used at a 1/200 dilution. In blue DAPI staining. In the negative controls cells were treated with anti-PRMT3 at a 1/50 dilution as primary antibody and goat anti-mouse IgG (Alexa Fluor®594) at a 1/400 dilution as secondary antibody.

Immunoprecipitation - Anti-PRMT3 antibody [EPR13279] (AB191562)
  • IP

Supplier Data

Immunoprecipitation - Anti-PRMT3 antibody [EPR13279] (AB191562)

Western blot analysis on immunoprecipitation from 1) 293 cell lysate and 2) PBS, labeling PRMT3 using ab191562 at 1/40 dilution and HRP-conjugated anti-rabbit IgG preferentially detecting the non-reduced form of rabbit IgG at a 1/1500 dilution.

All lanes:

Immunoprecipitation - Anti-PRMT3 antibody [EPR13279] (ab191562)

Predicted band size: 60 kDa

Observed band size: 70 kDa

true

Western blot - Anti-PRMT3 antibody [EPR13279] (AB191562)
  • WB

Lab

Western blot - Anti-PRMT3 antibody [EPR13279] (AB191562)

Western blot : Anti-PRMT3 antibody [EPR13279] ab191562 staining at 1/2000 dilution, shown in green; Mouse anti GAPDH ab8245 loading control staining at 1/20000 dilution, shown in magenta. A band was observed at 68 kDa in Wild-type A549 cell lysates with no signal observed at this size in PRMT3 knockout A549 cell line. To generate this image, samples were run on an SDS-PAGE gel then transferred onto a nitrocellulose membrane. Membranes were blocked in 5pc Milk in TBS-0.1 % Tween® 20 (TBS-T) before incubation with primary antibodies overnight at 4 °C. Blots were washed four times in TBS-T, incubated with secondary antibodies for 1 h at room temperature, washed again four times then imaged. Secondary antibodies used were Goat anti-Rabbit 800CW and Goat anti-Mouse 680RD at 1/20,000 dilution.

All lanes:

Western blot - Anti-PRMT3 antibody [EPR13279] (ab191562) at 1/2000 dilution

Lane 1:

Wild-type A549 at 20 µg

Lane 2:

PRMT3 knockout A549 at 20 µg

Lane 3:

HeLa at 20 µg

Lane 4:

U-87 MG at 20 µg

Secondary

All lanes:

Goat anti-Rabbit 800CW & Goat anti-Mouse 680RD at 1/20000 dilution

Predicted band size: 60 kDa

Observed band size: 68 kDa,37 kDa

false

Western blot - Anti-PRMT3 antibody [EPR13279] (AB191562)
  • WB

Supplier Data

Western blot - Anti-PRMT3 antibody [EPR13279] (AB191562)

All lanes:

Western blot - Anti-PRMT3 antibody [EPR13279] (ab191562) at 1/10000 dilution

Lane 1:

HepG2 cell lysate at 20 µg

Lane 2:

HeLa cell lysate at 20 µg

Lane 3:

293 cell lysate at 20 µg

Lane 4:

MCF7 cell lysate at 20 µg

Secondary

All lanes:

goat anti-rabbit IgG, (H+L), peroxidase conjugated at 1/1000 dilution

Predicted band size: 60 kDa

Observed band size: 70 kDa

true

  • Carrier free

    Anti-PRMT3 antibody [EPR13279] - BSA and Azide free

Key facts

Host species

Rabbit

Clonality

Monoclonal

Clone number

EPR13279

Isotype

IgG

Carrier free

No

Reacts with

Human

Applications

IP, IHC-P, ICC/IF, WB

applications

Immunogen

The exact immunogen used to generate this antibody is proprietary information.

Reactivity data

{ "title": "Reactivity Data", "filters": { "stats": ["", "Species", "Dilution Info", "Notes"], "tabs": { "all-applications": {"fullname" : "All Applications", "shortname": "All Applications"}, "IP" : {"fullname" : "Immunoprecipitation", "shortname":"IP"}, "WB" : {"fullname" : "Western blot", "shortname":"WB"}, "ICCIF" : {"fullname" : "Immunocytochemistry/ Immunofluorescence", "shortname":"ICC/IF"}, "IHCP" : {"fullname" : "Immunohistochemistry (Formalin/PFA-fixed paraffin-embedded sections)", "shortname":"IHC-P"} }, "product-promise": { "all": "all", "testedAndGuaranteed": "tested", "guaranteed": "expected", "predicted": "predicted", "notRecommended": "not-recommended" } }, "values": { "Human": { "IP-species-checked": "testedAndGuaranteed", "IP-species-dilution-info": "1/40", "IP-species-notes": "<p></p>", "WB-species-checked": "testedAndGuaranteed", "WB-species-dilution-info": "1/2000 - 1/50000", "WB-species-notes": "<p></p>", "ICCIF-species-checked": "testedAndGuaranteed", "ICCIF-species-dilution-info": "1/50", "ICCIF-species-notes": "<p></p>", "IHCP-species-checked": "testedAndGuaranteed", "IHCP-species-dilution-info": "1/100", "IHCP-species-notes": "<p></p> Perform heat-mediated antigen retrieval with Tris/EDTA buffer pH 9.0 before commencing with IHC staining protocol." } } }

Product details

Patented technology
Our RabMAb® technology is a patented hybridoma-based technology for making rabbit monoclonal antibodies. For details on our patents, please refer to RabMAb® patents.

What are the advantages of a recombinant monoclonal antibody?
This product is a recombinant monoclonal antibody, which offers several advantages including:

  • - High batch-to-batch consistency and reproducibility
  • - Improved sensitivity and specificity
  • - Long-term security of supply
  • - Animal-free batch production

For more information, read more on recombinant antibodies.

Properties and storage information

Form
Liquid
Purification technique
Affinity purification Protein A
Storage buffer
pH: 7.2 - 7.4 Preservative: 0.01% Sodium azide Constituents: PBS, 40% Glycerol (glycerin, glycerine), 0.05% BSA
Shipped at conditions
Blue Ice
Appropriate short-term storage duration
1-2 weeks
Appropriate short-term storage conditions
+4°C
Appropriate long-term storage conditions
-20°C
Aliquoting information
Upon delivery aliquot
Storage information
Avoid freeze / thaw cycle

Supplementary information

This supplementary information is collated from multiple sources and compiled automatically.

Protein arginine methyltransferase 3 (PRMT3) plays an important role in the methylation of arginine residues on various substrates which influences protein-protein interactions signal transduction and gene expression. Also known as HRMT1L3 PRMT3 has an approximate molecular weight of 59 kDa. Researchers find this enzyme mainly in the cytoplasm although it can also localize in the nucleus. Expression of PRMT3 happens across multiple tissues with notable presence in the liver and lungs.
Biological function summary

PRMT3 methylates ribosomal protein S2 an activity that suggests its participation in ribosome assembly and nucleolar functions. It forms a complex with ribosomal proteins and several metabolic enzymes which highlight its involvement in protein synthesis and cellular metabolic regulation. The activity of PRMT3 regulates the biogenesis of ribosomes which are central to protein production in cells.

Pathways

PRMT3 influences various cellular processes like the ribosome biogenesis and the mTOR signaling pathway. Its interaction with the ribosome synthesis pathway aids in the maturation and assembly of ribosomal subunits. In the mTOR pathway PRMT3 relates to S6 kinase and eukaryotic initiation factors affecting cell growth and metabolism through the regulation of protein synthesis.

PRMT3 may influence the development of metabolic syndromes and certain cancers. Studies suggest a potential link between PRMT3 dysregulation and the onset of insulin resistance making it significant in the context of type 2 diabetes. Additionally abnormal PRMT3 expression connects with progression of malignancies potentially through interacting with oncogenic proteins and altering signaling pathways that regulate cell cycle and apoptosis.

Product protocols

For this product, it's our understanding that no specific protocols are required. You can visit:

Target data

Protein-arginine N-methyltransferase that catalyzes both the monomethylation and asymmetric dimethylation of the guanidino nitrogens of arginine residues in target proteins, and therefore falls into the group of type I methyltransferases (Probable). May regulate retinoic acid synthesis and signaling by inhibiting ALDH1A1 retinal dehydrogenase activity (PubMed : 33495566).
See full target information PRMT3

Publications (13)

Recent publications for all applications. Explore the full list and refine your search

Nature communications 15:7930 PubMed39256398

2024

Targeting PRMT3 impairs methylation and oligomerization of HSP60 to boost anti-tumor immunity by activating cGAS/STING signaling.

Applications

Unspecified application

Species

Unspecified reactive species

Yunxing Shi,Zongfeng Wu,Shaoru Liu,Dinglan Zuo,Yi Niu,Yuxiong Qiu,Liang Qiao,Wei He,Jiliang Qiu,Yunfei Yuan,Guocan Wang,Binkui Li

Communications biology 7:753 PubMed38902349

2024

Protein arginine methyltransferase 2 controls inflammatory signaling in acute myeloid leukemia.

Applications

Unspecified application

Species

Unspecified reactive species

Camille Sauter,Thomas Morin,Fabien Guidez,John Simonet,Cyril Fournier,Céline Row,Denis Masnikov,Baptiste Pernon,Anne Largeot,Aziza Aznague,Yann Hérault,Guy Sauvageau,Marc Maynadié,Mary Callanan,Jean-Noël Bastie,Romain Aucagne,Laurent Delva

Nature communications 14:1932 PubMed37024475

2023

PRMT3-mediated arginine methylation of IGF2BP1 promotes oxaliplatin resistance in liver cancer.

Applications

Unspecified application

Species

Unspecified reactive species

Yunxing Shi,Yi Niu,Yichuan Yuan,Kai Li,Chengrui Zhong,Zhiyu Qiu,Keren Li,Zhu Lin,Zhiwen Yang,Dinglan Zuo,Jiliang Qiu,Wei He,Chenwei Wang,Yadi Liao,Guocan Wang,Yunfei Yuan,Binkui Li

Cell reports 42:112316 PubMed36995937

2023

CDK5-PRMT1-WDR24 signaling cascade promotes mTORC1 signaling and tumor growth.

Applications

Unspecified application

Species

Unspecified reactive species

Shasha Yin,Liu Liu,Lauren E Ball,Yalong Wang,Mark T Bedford,Stephen A Duncan,Haizhen Wang,Wenjian Gan

Science advances 8:eadd8928 PubMed36475791

2022

Arginine methylation of BRD4 by PRMT2/4 governs transcription and DNA repair.

Applications

Unspecified application

Species

Unspecified reactive species

Liu Liu,Baicheng Lin,Shasha Yin,Lauren E Ball,Joe R Delaney,David T Long,Wenjian Gan

Nucleic acids research 50:11799-11819 PubMed36350639

2022

Type I arginine methyltransferases are intervention points to unveil the oncogenic Epstein-Barr virus to the immune system.

Applications

Unspecified application

Species

Unspecified reactive species

Gaelle Angrand,Alicia Quillévéré,Nadège Loaëc,Van-Trang Dinh,Ronan Le Sénéchal,Rahima Chennoufi,Patricia Duchambon,Marc Keruzoré,Rodrigo Prado Martins,Marie-Paule Teulade-Fichou,Robin Fåhraeus,Marc Blondel

Cell death & disease 13:943 PubMed36351894

2022

PRMT3 drives glioblastoma progression by enhancing HIF1A and glycolytic metabolism.

Applications

Unspecified application

Species

Unspecified reactive species

Yunfei Liao,Zaili Luo,Yifeng Lin,Huiyao Chen,Tong Chen,Lingli Xu,Sean Orgurek,Kalen Berry,Monika Dzieciatkowska,Julie A Reisz,Angelo D'Alessandro,Wenhao Zhou,Q Richard Lu

Clinical and translational medicine 12:e686 PubMed35090076

2022

Protein arginine methyltransferase 3 promotes glycolysis and hepatocellular carcinoma growth by enhancing arginine methylation of lactate dehydrogenase A.

Applications

Unspecified application

Species

Unspecified reactive species

Yu Lei,Ping Han,Yu Chen,Han Wang,Shuhui Wang,Muru Wang,Jingmei Liu,Wei Yan,Dean Tian,Mei Liu

Cell death & disease 12:1066 PubMed34753906

2021

PRMT3 promotes tumorigenesis by methylating and stabilizing HIF1α in colorectal cancer.

Applications

Unspecified application

Species

Unspecified reactive species

Xin Zhang,Kexin Wang,Xingbo Feng,Jian Wang,Yali Chu,Chunmeng Jia,Qingsi He,Cheng Chen

Nature communications 12:3444 PubMed34103528

2021

PRMT5-mediated arginine methylation activates AKT kinase to govern tumorigenesis.

Applications

Unspecified application

Species

Unspecified reactive species

Shasha Yin,Liu Liu,Charles Brobbey,Viswanathan Palanisamy,Lauren E Ball,Shaun K Olsen,Michael C Ostrowski,Wenjian Gan
View all publications

Product promise

We are committed to supporting your work with high-quality reagents, and we're here for you every step of the way. In the unlikely event that one of our products does not perform as expected, you're protected by our Product Promise.
For full details, please see our Terms & Conditions

Please note: All products are 'FOR RESEARCH USE ONLY. NOT FOR USE IN DIAGNOSTIC OR THERAPEUTIC PROCEDURES'.

For licensing inquiries, please contact partnerships@abcam.com