JavaScript is disabled in your browser. Please enable JavaScript to view this website.
AB215364

Anti-PRMT5 antibody [EPR5772] - BSA and Azide free

Be the first to review this product! Submit a review

|

(2 Publications)

Rabbit Recombinant Monoclonal PRMT5 antibody. Carrier free. Suitable for IHC-P, IP, WB, ICC/IF, Flow Cyt (Intra) and reacts with Human, Mouse, Rat samples. Cited in 2 publications.

View Alternative Names

HRMT1L5, IBP72, JBP1, SKB1, PRMT5, Protein arginine N-methyltransferase 5, 72 kDa ICln-binding protein, Histone-arginine N-methyltransferase PRMT5, Jak-binding protein 1, Shk1 kinase-binding protein 1 homolog, SKB1 homolog, SKB1Hs

7 Images
Immunocytochemistry/ Immunofluorescence - Anti-PRMT5 antibody [EPR5772] - BSA and Azide free (AB215364)
  • ICC/IF

Supplier Data

Immunocytochemistry/ Immunofluorescence - Anti-PRMT5 antibody [EPR5772] - BSA and Azide free (AB215364)

Immunocytochemistry/Immunofluorescence analysis of HeLa cells labelling PRMT5 (green) with purified ab109451 at 1/50. Cells were fixed with 4% paraformaldehyde and permeabilized with 0.1% Triton X-100. ab150077, an Alexa Fluor® 488-conjugated goat anti-rabbit IgG (1/200) was used as the secondary antibody. DAPI (blue) was used as the nuclear counterstain.

Control : primary antibody (1/50) and secondary antibody Alexa Fluor® 594-conjugated goat anti-mouse IgG (1/400).

This data was developed using the same antibody clone in a different buffer formulation containing PBS, BSA, glycerol, and sodium azide (ab109451).

Immunocytochemistry/ Immunofluorescence - Anti-PRMT5 antibody [EPR5772] - BSA and Azide free (AB215364)
  • ICC/IF

Unknown

Immunocytochemistry/ Immunofluorescence - Anti-PRMT5 antibody [EPR5772] - BSA and Azide free (AB215364)

ICC/IF image of ab109451 (unpurified) stained HepG2 cells. The cells were 100% methanol fixed (5 min) and then incubated in 1%BSA / 10% normal goat serum / 0.3M glycine in 0.1% PBS-Tween for 1h to permeabilise the cells and block non-specific protein-protein interactions. The cells were then incubated with the antibody (ab109451, 1/100 dilution) overnight at +4°C. The secondary antibody (green) was ab96899, DyLight® 488 goat anti-rabbit IgG (H+L) used at a 1/250 dilution for 1h. Alexa Fluor® 594 WGA was used to label plasma membranes (red) at a 1/200 dilution for 1h. DAPI was used to stain the cell nuclei (blue) at a concentration of 1.43µM.

This data was developed using the same antibody clone in a different buffer formulation containing PBS, BSA, glycerol, and sodium azide (ab109451).

Flow Cytometry (Intracellular) - Anti-PRMT5 antibody [EPR5772] - BSA and Azide free (AB215364)
  • Flow Cyt (Intra)

Unknown

Flow Cytometry (Intracellular) - Anti-PRMT5 antibody [EPR5772] - BSA and Azide free (AB215364)

Overlay histogram showing HeLa cells stained with ab109451 (unpurified, red line). The cells were fixed with 80% methanol (5 min) and then permeabilized with 0.1% PBS-Tween for 20 min. The cells were then incubated in 1x PBS / 10% normal goat serum / 0.3M glycine to block non-specific protein-protein interactions followed by the antibody (ab109451, 1/100 dilution) for 30 min at 22°C. The secondary antibody used was DyLight® 488 goat anti-rabbit IgG (H+L) (ab96899) at 1/500 dilution for 30 min at 22°C. Isotype control antibody (black line) was rabbit IgG (monclonal) (1μg/1x106 cells) used under the same conditions. Acquisition of >5,000 events was performed.

This data was developed using the same antibody clone in a different buffer formulation containing PBS, BSA, glycerol, and sodium azide (ab109451).

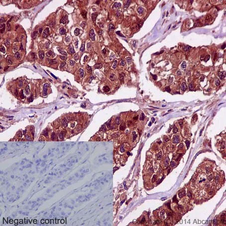
Immunohistochemistry (Formalin/PFA-fixed paraffin-embedded sections) - Anti-PRMT5 antibody [EPR5772] - BSA and Azide free (AB215364)
  • IHC-P

Supplier Data

Immunohistochemistry (Formalin/PFA-fixed paraffin-embedded sections) - Anti-PRMT5 antibody [EPR5772] - BSA and Azide free (AB215364)

Immunohistochemistry (Formalin/PFA-fixed paraffin-embedded sections) analysis of human infiltrating duct carcinoma of breast tissue sections labelling PRMT5 with purified ab109451 at 1/100. A prediluted HRP-polymer conjugated anti-rabbit IgG was used as the secondary antibody. Negative control using PBS instead of primary antibody. Counterstained with Hematoxylin.

This data was developed using the same antibody clone in a different buffer formulation containing PBS, BSA, glycerol, and sodium azide (ab109451).

Perform heat mediated antigen retrieval before commencing with IHC staining protocol.

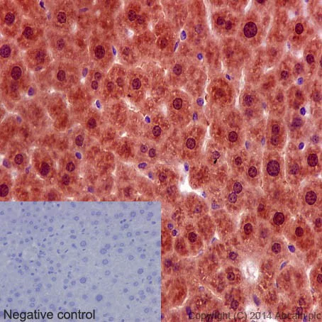
Immunohistochemistry (Formalin/PFA-fixed paraffin-embedded sections) - Anti-PRMT5 antibody [EPR5772] - BSA and Azide free (AB215364)
  • IHC-P

Supplier Data

Immunohistochemistry (Formalin/PFA-fixed paraffin-embedded sections) - Anti-PRMT5 antibody [EPR5772] - BSA and Azide free (AB215364)

Immunohistochemistry (Formalin/PFA-fixed paraffin-embedded sections) analysis of mouse liver tissue sections labelling PRMT5 with purified ab109451 at 1/100. A prediluted HRP-polymer conjugated anti-rabbit IgG was used as the secondary antibody. Negative control using PBS instead of primary antibody. Counterstained with Hematoxylin.

This data was developed using the same antibody clone in a different buffer formulation containing PBS, BSA, glycerol, and sodium azide (ab109451).

Perform heat mediated antigen retrieval before commencing with IHC staining protocol.

Immunoprecipitation - Anti-PRMT5 antibody [EPR5772] - BSA and Azide free (AB215364)
  • IP

Lab

Immunoprecipitation - Anti-PRMT5 antibody [EPR5772] - BSA and Azide free (AB215364)

This data was developed using ab109451, the same antibody clone in a different buffer formulation.PRMT5 was immunoprecipitated from 0.35 mg Mouse brain tissue lysate 10 ug with ab109451 at 1/30 dilution (2ug in 0.35mg lysates). Western blot was performed on the immunoprecipitate using ab109451 at 1/1000 dilution. VeriBlot for IP Detection Reagent (HRP)(ab131366) was used at 1/5000 dilution.

Lane 1 : Mouse brain tissue lysate 10 ug

Lane 2 : ab109451 IP in Mouse brain tissue lysate

Lane 3 : Rabbit monoclonal IgG (ab172730) instead of ab109451 in mouse brain tissue lysate

Blocking and dilution buffer and concentration : 5% NFDM/TBST.

Exposure time : 100 seconds

All lanes:

Immunoprecipitation - Anti-PRMT5 antibody [EPR5772] (<a href='/en-us/products/primary-antibodies/prmt5-antibody-epr5772-ab109451'>ab109451</a>)

Predicted band size: 36 kDa,73 kDa

false

OI-RD Scanning - Anti-PRMT5 antibody [EPR5772] - BSA and Azide free (AB215364)
  • OI-RD Scanning

Unknown

OI-RD Scanning - Anti-PRMT5 antibody [EPR5772] - BSA and Azide free (AB215364)

We have systematically measured KD (the equilibrium dissociation constant between the antibody and its antigen), of more than 840 recombinant antibodies to assess not only their individual KD values but also to see the average affinity of antibody. Based on the comparison with published literature values for mouse monoclonal antibodies, Recombinant antibodies appear to be on average 1-2 order of magnitude higher affinity.

Key facts

Host species

Rabbit

Clonality

Monoclonal

Clone number

EPR5772

Isotype

IgG

Carrier free

Yes

Reacts with

Mouse, Rat, Human

Applications

Flow Cyt (Intra), IP, IHC-P, WB, ICC/IF

applications

Immunogen

The exact immunogen used to generate this antibody is proprietary information.

Reactivity data

{ "title": "Reactivity Data", "filters": { "stats": ["", "Species", "Dilution Info", "Notes"], "tabs": { "all-applications": {"fullname" : "All Applications", "shortname": "All Applications"}, "IHCP" : {"fullname" : "Immunohistochemistry (Formalin/PFA-fixed paraffin-embedded sections)", "shortname":"IHC-P"}, "IP" : {"fullname" : "Immunoprecipitation", "shortname":"IP"}, "WB" : {"fullname" : "Western blot", "shortname":"WB"}, "ICCIF" : {"fullname" : "Immunocytochemistry/ Immunofluorescence", "shortname":"ICC/IF"}, "FlowCytIntra" : {"fullname" : "Flow Cytometry (Intracellular)", "shortname":"Flow Cyt (Intra)"} }, "product-promise": { "all": "all", "testedAndGuaranteed": "tested", "guaranteed": "expected", "predicted": "predicted", "notRecommended": "not-recommended" } }, "values": { "Human": { "IHCP-species-checked": "testedAndGuaranteed", "IHCP-species-dilution-info": "", "IHCP-species-notes": "<p></p>", "IP-species-checked": "guaranteed", "IP-species-dilution-info": "", "IP-species-notes": "", "WB-species-checked": "guaranteed", "WB-species-dilution-info": "", "WB-species-notes": "<p></p>", "ICCIF-species-checked": "testedAndGuaranteed", "ICCIF-species-dilution-info": "", "ICCIF-species-notes": "<p></p>", "FlowCytIntra-species-checked": "testedAndGuaranteed", "FlowCytIntra-species-dilution-info": "", "FlowCytIntra-species-notes": "<p><a href='/en-us/products/primary-antibodies/rabbit-igg-monoclonal-epr25a-isotype-control-low-endotoxin-azide-free-ab199376'>ab199376</a> - Rabbit monoclonal IgG, is suitable for use as an isotype control with this antibody.</p>" }, "Mouse": { "IHCP-species-checked": "guaranteed", "IHCP-species-dilution-info": "", "IHCP-species-notes": "", "IP-species-checked": "testedAndGuaranteed", "IP-species-dilution-info": "", "IP-species-notes": "<p></p>", "WB-species-checked": "guaranteed", "WB-species-dilution-info": "", "WB-species-notes": "<p></p>", "ICCIF-species-checked": "guaranteed", "ICCIF-species-dilution-info": "", "ICCIF-species-notes": "", "FlowCytIntra-species-checked": "guaranteed", "FlowCytIntra-species-dilution-info": "", "FlowCytIntra-species-notes": "" }, "Rat": { "IHCP-species-checked": "predicted", "IHCP-species-dilution-info": "", "IHCP-species-notes": "", "IP-species-checked": "predicted", "IP-species-dilution-info": "", "IP-species-notes": "", "WB-species-checked": "guaranteed", "WB-species-dilution-info": "", "WB-species-notes": "<p></p>", "ICCIF-species-checked": "predicted", "ICCIF-species-dilution-info": "", "ICCIF-species-notes": "", "FlowCytIntra-species-checked": "predicted", "FlowCytIntra-species-dilution-info": "", "FlowCytIntra-species-notes": "" } } }

Product details

ab215364 is the carrier-free version of ab109451.

Patented technology
Our RabMAb® technology is a patented hybridoma-based technology for making rabbit monoclonal antibodies. For details on our patents, please refer to RabMAb® patents.

What are the advantages of a recombinant monoclonal antibody?
This product is a recombinant monoclonal antibody, which offers several advantages including:

  • - High batch-to-batch consistency and reproducibility
  • - Improved sensitivity and specificity
  • - Long-term security of supply
  • - Animal-free batch production

For more information, read more on recombinant antibodies.

Conjugation ready
Our carrier-free antibodies are typically supplied in a PBS-only formulation, purified and free of BSA, sodium azide and glycerol. This conjugation-ready format is designed for use with fluorochromes, metal isotopes, oligonucleotides, and enzymes, which makes them ideal for antibody labelling, functional and cell-based assays, flow-based assays (e.g. mass cytometry) and Multiplex Imaging applications.

Use our conjugation kits for antibody conjugates that are ready-to-use in as little as 20 minutes with 1 minute hands-on-time and 100% antibody recovery: available for fluorescent dyes, HRP, biotin and gold.

Compatibility
This product is compatible with the Maxpar® Antibody Labeling Kit from Fluidigm, without the need for antibody preparation. Maxpar® is a trademark of Fluidigm Canada Inc.

Properties and storage information

Form
Liquid
Purification technique
Affinity purification Protein A
Storage buffer
pH: 7.2 - 7.4 Constituents: PBS
Shipped at conditions
Blue Ice
Appropriate short-term storage conditions
+4°C
Appropriate long-term storage conditions
+4°C
Storage information
Do Not Freeze

Supplementary information

This supplementary information is collated from multiple sources and compiled automatically.

PRMT5 also known as Protein Arginine Methyltransferase 5 is an enzyme with molecular weight approximately 72 kDa. This protein catalyzes symmetric dimethylation of arginine residues on target proteins affecting gene expression and signal transduction. PRMT5 is expressed in various tissues with significant presence in the brain pancreas and lung. It enhances methyltransferase activity by interacting with other proteins and substrates.
Biological function summary

PRMT5 influences numerous cellular processes including RNA processing signal transduction and DNA repair. It functions as part of a protein complex often involving MEP50/WDR77 which modulates its methylating activity on histones and other proteins. This interaction dictates the cellular roles that are central to maintaining normal cellular function and regulation.

Pathways

PRMT5 operates within the Wnt/β-catenin signaling and mTOR pathways among others. As it modulates the methylation of transcription factors and regulators it contributes to transcriptional repression or activation which is important for cellular proliferation and differentiation. PRMT5 interacts with proteins such as Smad7 and cyclin D1 influencing these signaling pathways.

PRMT5 shows significant associations with cancer and neurological disorders. Elevated levels of PRMT5 correlate with the progression of various cancers including lung and breast cancers making it a potential target for therapeutic intervention. Additionally PRMT5's interaction with oncogenic proteins like MYC and MDM4 highlights its role in tumorigenesis. Furthermore PRMT5 dysregulation is linked to neurodegenerative diseases impacting the protein's target specificity and exacerbating disease symptoms.

Product protocols

For this product, it's our understanding that no specific protocols are required. You can visit:

Target data

Arginine methyltransferase that can both catalyze the formation of omega-N monomethylarginine (MMA) and symmetrical dimethylarginine (sDMA), with a preference for the formation of MMA (PubMed : 10531356, PubMed : 11152681, PubMed : 11747828, PubMed : 12411503, PubMed : 15737618, PubMed : 17709427, PubMed : 20159986, PubMed : 20810653, PubMed : 21081503, PubMed : 21258366, PubMed : 21917714, PubMed : 22269951). Specifically mediates the symmetrical dimethylation of arginine residues in the small nuclear ribonucleoproteins Sm D1 (SNRPD1) and Sm D3 (SNRPD3); such methylation being required for the assembly and biogenesis of snRNP core particles (PubMed : 11747828, PubMed : 12411503, PubMed : 17709427). Methylates SUPT5H and may regulate its transcriptional elongation properties (PubMed : 12718890). May methylate the N-terminal region of MBD2 (PubMed : 16428440). Mono- and dimethylates arginine residues of myelin basic protein (MBP) in vitro. May play a role in cytokine-activated transduction pathways. Negatively regulates cyclin E1 promoter activity and cellular proliferation. Methylates histone H2A and H4 'Arg-3' during germ cell development (By similarity). Methylates histone H3 'Arg-8', which may repress transcription (By similarity). Methylates the Piwi proteins (PIWIL1, PIWIL2 and PIWIL4), methylation of Piwi proteins being required for the interaction with Tudor domain-containing proteins and subsequent localization to the meiotic nuage (By similarity). Methylates RPS10. Attenuates EGF signaling through the MAPK1/MAPK3 pathway acting at 2 levels. First, monomethylates EGFR; this enhances EGFR 'Tyr-1197' phosphorylation and PTPN6 recruitment, eventually leading to reduced SOS1 phosphorylation (PubMed : 21258366, PubMed : 21917714). Second, methylates RAF1 and probably BRAF, hence destabilizing these 2 signaling proteins and reducing their catalytic activity (PubMed : 21917714). Required for induction of E-selectin and VCAM-1, on the endothelial cells surface at sites of inflammation. Methylates HOXA9 (PubMed : 22269951). Methylates and regulates SRGAP2 which is involved in cell migration and differentiation (PubMed : 20810653). Acts as a transcriptional corepressor in CRY1-mediated repression of the core circadian component PER1 by regulating the H4R3 dimethylation at the PER1 promoter (By similarity). Methylates GM130/GOLGA2, regulating Golgi ribbon formation (PubMed : 20421892). Methylates H4R3 in genes involved in glioblastomagenesis in a CHTOP- and/or TET1-dependent manner (PubMed : 25284789). Symmetrically methylates POLR2A, a modification that allows the recruitment to POLR2A of proteins including SMN1/SMN2 and SETX. This is required for resolving RNA-DNA hybrids created by RNA polymerase II, that form R-loop in transcription terminal regions, an important step in proper transcription termination (PubMed : 26700805). Along with LYAR, binds the promoter of gamma-globin HBG1/HBG2 and represses its expression (PubMed : 25092918). Symmetrically methylates NCL (PubMed : 21081503). Methylates p53/TP53; methylation might possibly affect p53/TP53 target gene specificity (PubMed : 19011621). Involved in spliceosome maturation and mRNA splicing in prophase I spermatocytes through the catalysis of the symmetrical arginine dimethylation of SNRPB (small nuclear ribonucleoprotein-associated protein) and the interaction with tudor domain-containing protein TDRD6 (By similarity).
See full target information PRMT5

Publications (2)

Recent publications for all applications. Explore the full list and refine your search

PloS one 8:e82838 PubMed24349377

2013

Generation of human induced pluripotent stem cells using epigenetic regulators reveals a germ cell-like identity in partially reprogrammed colonies.

Applications

ICC/IF

Species

Human

Akshi Goyal,Shawn L Chavez,Renee A Reijo Pera

Molecular cancer research : MCR 11:1215-22 PubMed23928057

2013

Menin directly represses Gli1 expression independent of canonical Hedgehog signaling.

Applications

Unspecified application

Species

Unspecified reactive species

Buddha Gurung,Zijie Feng,Xianxin Hua
View all publications

Product promise

We are committed to supporting your work with high-quality reagents, and we're here for you every step of the way. In the unlikely event that one of our products does not perform as expected, you're protected by our Product Promise.
For full details, please see our Terms & Conditions

Please note: All products are 'FOR RESEARCH USE ONLY. NOT FOR USE IN DIAGNOSTIC OR THERAPEUTIC PROCEDURES'.

For licensing inquiries, please contact partnerships@abcam.com