JavaScript is disabled in your browser. Please enable JavaScript to view this website.
AB271091

Anti-PRMT6 antibody [EPR24230-93]

Be the first to review this product! Submit a review

|

(0 Publication)

Rabbit Recombinant Monoclonal PRMT6 antibody. Suitable for ICC/IF, IP, WB, Flow Cyt (Intra) and reacts with Human, Transfected cell lysate samples.

View Alternative Names

HRMT1L6, PRMT6, Protein arginine N-methyltransferase 6, Heterogeneous nuclear ribonucleoprotein methyltransferase-like protein 6, Histone-arginine N-methyltransferase PRMT6

5 Images
Flow Cytometry (Intracellular) - Anti-PRMT6 antibody [EPR24230-93] (AB271091)
  • Flow Cyt (Intra)

Supplier Data

Flow Cytometry (Intracellular) - Anti-PRMT6 antibody [EPR24230-93] (AB271091)

Flow cytometric analysis of 4% paraformaldehyde fixed 90% methanol permeabilized MCF7 (Human breast adenocarcinoma epithelial cell) cells labelling PRMT6 with ab271091 at 1/50 dilution (1ug)/ (Red) compared with a Rabbit monoclonal IgG (ab172730) (Black) isotype control and an unlabelled control (cells without incubation with primary antibody and secondary antibody) (Blue). A Goat Anti-Rabbit IgG (Alexa Fluor® 488, ab150081) at 1/2000 dilution was used as the secondary antibody.

Immunocytochemistry/ Immunofluorescence - Anti-PRMT6 antibody [EPR24230-93] (AB271091)
  • ICC/IF

Supplier Data

Immunocytochemistry/ Immunofluorescence - Anti-PRMT6 antibody [EPR24230-93] (AB271091)

Immunofluorescent analysis of 4% Paraformaldehyde-fixed, 0.1% TritonX-100 permeabilized MCF7 cells labelling PRMT6 with ab271091 at 1/50 (11.56 ug/ml) dilution, followed by ab150081 Goat Anti-Rabbit IgG H&L (Alexa Fluor® 488) preadsorbed antibody at 1/1000 2 ug/ml dilution (Green). Confocal image showing positive nuclear staining in MCF7 cell line is observed. ab195889 Anti-alpha Tubulin mouse monoclonal antibody - Microtubule Marker (Alexa Fluor® 594) was used to counterstain tubulin at 1/200 2.5ug/ml dilution (Red). The Nuclear counterstain was DAPI (Blue).

Secondary antibody only control : Secondary antibody is ab150081 Goat Anti-Rabbit IgG H&L (Alexa Fluor® 488) preadsorbed at 1/1000 2 ug/ml dilution.

Immunoprecipitation - Anti-PRMT6 antibody [EPR24230-93] (AB271091)
  • IP

Supplier Data

Immunoprecipitation - Anti-PRMT6 antibody [EPR24230-93] (AB271091)

PRMT6 was immunoprecipitated from 0.35 mg SH-SY5Y (human neuroblastoma epithelial cell) whole cell lysate with ab271091 at 1/30 dilution (2ug in 0.35mg lysates). Western blot was performed on the immunoprecipitate using ab271091 at 1/1000 dilution. VeriBlot for IP secondary antibody(HRP)(ab131366) was used at 1/5000 dilution.

Lane 1 : SH-SY5Y (human neuroblastoma epithelial cell) whole cell lysate 10 ug

Lane 2 : ab271091 IP in SH-SY5Y whole cell lysate

Lane 3 : Rabbit monoclonal IgG (ab172730) instead of ab271091 in SH-SY5Y whole cell lysate

Blocking and dilution buffer and concentration : 5% NFDM/TBST.

Exposure time : 41 seconds

All lanes:

Immunoprecipitation - Anti-PRMT6 antibody [EPR24230-93] (ab271091)

Predicted band size: 41 kDa

false

Western blot - Anti-PRMT6 antibody [EPR24230-93] (AB271091)
  • WB

Lab

Western blot - Anti-PRMT6 antibody [EPR24230-93] (AB271091)

Blocking and diluting buffer and concentration : 5% NFDM/TBST

The observed MW/expression profile is consistent with what has been described in the literature (PMID : 29262320).

All lanes:

Western blot - Anti-PRMT6 antibody [EPR24230-93] (ab271091) at 1/1000 dilution

Lane 1:

Human testis tissue lysate at 20 µg

Lane 2:

Human kidney tissue lysate at 20 µg

Secondary

All lanes:

Goat Anti-Rabbit IgG (HRP) with minimal cross-reactivity with human IgG at 1/2000 dilution

Predicted band size: 41 kDa

Observed band size: 42 kDa

false

Exposure time: 3min

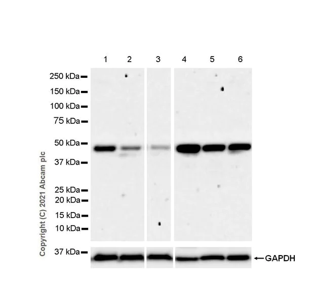
Western blot - Anti-PRMT6 antibody [EPR24230-93] (AB271091)
  • WB

Lab

Western blot - Anti-PRMT6 antibody [EPR24230-93] (AB271091)

Blocking and diluting buffer and concentration : 5% NFDM/TBST

The observed MW/expression profile is consistent with what has been described in the literature (PMID : 29262320).

Exposure time : 3 minutes

All lanes:

Western blot - Anti-PRMT6 antibody [EPR24230-93] (ab271091) at 1/1000 dilution

Lane 1:

HeLa (human cervix adenocarcinoma epithelial cell) transfected with scrambled siRNA control whole cell lysate at 20 µg

Lane 2:

Hela transfected with PRMT6 siRNA 1 whole cell lysate at 20 µg

Lane 3:

Hela transfected with PRMT6 siRNA 2 whole cell lysate at 20 µg

Lane 4:

MCF7 (human breast adenocarcinoma epithelial cell) whole cell lysate at 20 µg

Lane 5:

SH-SY5Y (human neuroblastoma epithelial cell) whole cell lysate at 20 µg

Lane 6:

LNCaP (human prostate carcinoma epithelial cell) whole cell lysate at 20 µg

Secondary

All lanes:

Goat Anti-Rabbit IgG, (H+L), Peroxidase conjugated (<a href='/en-us/products/secondary-antibodies/goat-rabbit-igg-h-l-hrp-ab97051'>ab97051</a>) at 1/100000 dilution

Predicted band size: 41 kDa

Observed band size: 42 kDa

false

  • Carrier free

    Anti-PRMT6 antibody [EPR24230-93] - BSA and Azide free

Key facts

Host species

Rabbit

Clonality

Monoclonal

Clone number

EPR24230-93

Isotype

IgG

Carrier free

No

Reacts with

Human

Applications

ICC/IF, Flow Cyt (Intra), IP, WB

applications

Immunogen

The exact immunogen used to generate this antibody is proprietary information.

Reactivity data

{ "title": "Reactivity Data", "filters": { "stats": ["", "Species", "Dilution Info", "Notes"], "tabs": { "all-applications": {"fullname" : "All Applications", "shortname": "All Applications"}, "ICCIF" : {"fullname" : "Immunocytochemistry/ Immunofluorescence", "shortname":"ICC/IF"}, "IP" : {"fullname" : "Immunoprecipitation", "shortname":"IP"}, "WB" : {"fullname" : "Western blot", "shortname":"WB"}, "FlowCytIntra" : {"fullname" : "Flow Cytometry (Intracellular)", "shortname":"Flow Cyt (Intra)"}, "IHCP" : {"fullname" : "Immunohistochemistry (Formalin/PFA-fixed paraffin-embedded sections)", "shortname":"IHC-P"}, "ChIP" : {"fullname" : "ChIP", "shortname":"ChIP"} }, "product-promise": { "all": "all", "testedAndGuaranteed": "tested", "guaranteed": "expected", "predicted": "predicted", "notRecommended": "not-recommended" } }, "values": { "Human": { "ICCIF-species-checked": "testedAndGuaranteed", "ICCIF-species-dilution-info": "1/50", "ICCIF-species-notes": "<p></p>", "IP-species-checked": "testedAndGuaranteed", "IP-species-dilution-info": "1/30", "IP-species-notes": "<p></p>", "WB-species-checked": "testedAndGuaranteed", "WB-species-dilution-info": "1/1000", "WB-species-notes": "<p></p>", "FlowCytIntra-species-checked": "testedAndGuaranteed", "FlowCytIntra-species-dilution-info": "1/50", "FlowCytIntra-species-notes": "<p></p>", "IHCP-species-checked": "notRecommended", "IHCP-species-dilution-info": "", "IHCP-species-notes": "<p></p>", "ChIP-species-checked": "notRecommended", "ChIP-species-dilution-info": "", "ChIP-species-notes": "<p></p>" }, "Mouse": { "ICCIF-species-checked": "notRecommended", "ICCIF-species-dilution-info": "1/50", "ICCIF-species-notes": "<p></p>", "IP-species-checked": "notRecommended", "IP-species-dilution-info": "1/30", "IP-species-notes": "<p></p>", "WB-species-checked": "notRecommended", "WB-species-dilution-info": "1/1000", "WB-species-notes": "<p></p>", "FlowCytIntra-species-checked": "notRecommended", "FlowCytIntra-species-dilution-info": "1/50", "FlowCytIntra-species-notes": "<p></p>", "IHCP-species-checked": "notRecommended", "IHCP-species-dilution-info": "", "IHCP-species-notes": "<p></p>", "ChIP-species-checked": "notRecommended", "ChIP-species-dilution-info": "", "ChIP-species-notes": "" }, "Rat": { "ICCIF-species-checked": "notRecommended", "ICCIF-species-dilution-info": "", "ICCIF-species-notes": "", "IP-species-checked": "notRecommended", "IP-species-dilution-info": "", "IP-species-notes": "", "WB-species-checked": "notRecommended", "WB-species-dilution-info": "1/1000", "WB-species-notes": "<p></p>", "FlowCytIntra-species-checked": "notRecommended", "FlowCytIntra-species-dilution-info": "", "FlowCytIntra-species-notes": "", "IHCP-species-checked": "notRecommended", "IHCP-species-dilution-info": "", "IHCP-species-notes": "<p></p>", "ChIP-species-checked": "notRecommended", "ChIP-species-dilution-info": "", "ChIP-species-notes": "" }, "Transfected cell lysate": { "ICCIF-species-checked": "notRecommended", "ICCIF-species-dilution-info": "", "ICCIF-species-notes": "", "IP-species-checked": "notRecommended", "IP-species-dilution-info": "", "IP-species-notes": "", "WB-species-checked": "testedAndGuaranteed", "WB-species-dilution-info": "1/1000", "WB-species-notes": "<p></p>", "FlowCytIntra-species-checked": "notRecommended", "FlowCytIntra-species-dilution-info": "", "FlowCytIntra-species-notes": "", "IHCP-species-checked": "notRecommended", "IHCP-species-dilution-info": "", "IHCP-species-notes": "", "ChIP-species-checked": "notRecommended", "ChIP-species-dilution-info": "", "ChIP-species-notes": "" } } }

Product details

Patented technology
Our RabMAb® technology is a patented hybridoma-based technology for making rabbit monoclonal antibodies. For details on our patents, please refer to RabMAb® patents.

What are the advantages of a recombinant monoclonal antibody?
This product is a recombinant monoclonal antibody, which offers several advantages including:

  • - High batch-to-batch consistency and reproducibility
  • - Improved sensitivity and specificity
  • - Long-term security of supply
  • - Animal-free batch production

For more information, read more on recombinant antibodies.

Properties and storage information

Form
Liquid
Purification technique
Affinity purification Protein A
Storage buffer
pH: 7.2 - 7.4 Preservative: 0.01% Sodium azide Constituents: PBS, 40% Glycerol (glycerin, glycerine), 0.05% BSA
Shipped at conditions
Blue Ice
Appropriate short-term storage duration
1-2 weeks
Appropriate short-term storage conditions
+4°C
Appropriate long-term storage conditions
-20°C
Aliquoting information
Upon delivery aliquot
Storage information
Avoid freeze / thaw cycle

Supplementary information

This supplementary information is collated from multiple sources and compiled automatically.

PRMT6 or Protein Arginine Methyltransferase 6 is an enzyme that adds methyl groups to arginine residues on target proteins. It is a member of the PRMT family and has a molecular mass of approximately 42 kDa. This enzyme is widely expressed in nucleous where it modifies histones and various nuclear proteins influencing chromatin structure and gene expression.
Biological function summary

PRMT6 plays a pivotal role in regulating transcription by methylating histone H3 at arginine 2 (H3R2) which suppresses gene expression. It forms part of larger chromatin remodeling complexes that modulate access to DNA. PRMT6 also interacts with p53 an important regulator of the cell cycle impacting its transcriptional activity and stability.

Pathways

PRMT6 is central to epigenetic and transcriptional regulation pathways. It functions alongside proteins like p53 and Mdm2 within the DNA damage response pathway where it influences cell proliferation and repair processes. This enzyme further relates to the Akt signaling pathway which affects cell growth and survival although it is not the primary pathway.

PRMT6 is implicated in cancer and systemic lupus erythematosus (SLE). In cancer deregulation of PRMT6 can lead to uncontrolled cell growth by affecting genes related to cell cycle and proliferation often interacting with protein p53. In systemic lupus erythematosus altered PRMT6 activity may contribute to abnormal immune responses associating with proteins involved in autoimmunity.

Product protocols

For this product, it's our understanding that no specific protocols are required. You can visit:

Target data

Arginine methyltransferase that can catalyze the formation of both omega-N monomethylarginine (MMA) and asymmetrical dimethylarginine (aDMA), with a strong preference for the formation of aDMA (PubMed : 17898714, PubMed : 18077460, PubMed : 18079182, PubMed : 19405910, PubMed : 30420520). Preferentially methylates arginyl residues present in a glycine and arginine-rich domain and displays preference for monomethylated substrates (PubMed : 17898714, PubMed : 18077460, PubMed : 18079182, PubMed : 19405910). Specifically mediates the asymmetric dimethylation of histone H3 'Arg-2' to form H3R2me2a (PubMed : 17898714, PubMed : 18077460, PubMed : 18079182). H3R2me2a represents a specific tag for epigenetic transcriptional repression and is mutually exclusive with methylation on histone H3 'Lys-4' (H3K4me2 and H3K4me3) (PubMed : 17898714, PubMed : 18077460). Acts as a transcriptional repressor of various genes such as HOXA2, THBS1 and TP53 (PubMed : 19509293). Repression of TP53 blocks cellular senescence (By similarity). Also methylates histone H2A and H4 'Arg-3' (H2AR3me and H4R3me, respectively). Acts as a regulator of DNA base excision during DNA repair by mediating the methylation of DNA polymerase beta (POLB), leading to the stimulation of its polymerase activity by enhancing DNA binding and processivity (PubMed : 16600869). Methylates HMGA1 (PubMed : 16157300, PubMed : 16159886). Regulates alternative splicing events. Acts as a transcriptional coactivator of a number of steroid hormone receptors including ESR1, ESR2, PGR and NR3C1. Promotes fasting-induced transcriptional activation of the gluconeogenic program through methylation of the CRTC2 transcription coactivator (By similarity). May play a role in innate immunity against HIV-1 in case of infection by methylating and impairing the function of various HIV-1 proteins such as Tat, Rev and Nucleocapsid protein p7 (NC) (PubMed : 17267505). Methylates GPS2, protecting GPS2 from ubiquitination and degradation (By similarity). Methylates SIRT7, inhibiting SIRT7 histone deacetylase activity and promoting mitochondria biogenesis (PubMed : 30420520).
See full target information PRMT6

Product promise

We are committed to supporting your work with high-quality reagents, and we're here for you every step of the way. In the unlikely event that one of our products does not perform as expected, you're protected by our Product Promise.
For full details, please see our Terms & Conditions

Please note: All products are 'FOR RESEARCH USE ONLY. NOT FOR USE IN DIAGNOSTIC OR THERAPEUTIC PROCEDURES'.

For licensing inquiries, please contact partnerships@abcam.com