JavaScript is disabled in your browser. Please enable JavaScript to view this website.
AB32150

Anti-pro Caspase-3 antibody [E61]

  • 20ul selling size
  • RabMAb
  • Recombinant
  • KO Validated
  • What is this?

5

(2 Reviews)

|

(183 Publications)

Rabbit Recombinant Monoclonal Caspase-3 antibody. Suitable for IHC-P, IP, WB, ICC/IF, Flow Cyt (Intra) and reacts with Human samples. Cited in 183 publications.

View Alternative Names

CPP32, CASP3, Caspase-3, CASP-3, Apopain, Cysteine protease CPP32, Protein Yama, SREBP cleavage activity 1, CPP-32, SCA-1

7 Images
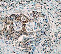
Immunohistochemistry (Formalin/PFA-fixed paraffin-embedded sections) - Anti-pro Caspase-3 antibody [E61] (AB32150)
  • IHC-P

Unknown

Immunohistochemistry (Formalin/PFA-fixed paraffin-embedded sections) - Anti-pro Caspase-3 antibody [E61] (AB32150)

Immunohistochemical analysis of human paraffin-embedded cervical carcinoma tissue using ab32150 at 1/500 dilution.

Perform heat mediated antigen retrieval with citrate buffer pH 6 before commencing with IHC staining protocol.

Flow Cytometry (Intracellular) - Anti-pro Caspase-3 antibody [E61] (AB32150)
  • Flow Cyt (Intra)

Unknown

Flow Cytometry (Intracellular) - Anti-pro Caspase-3 antibody [E61] (AB32150)

Overlay histogram showing Jurkat cells stained with ab32150 (red line). The cells were fixed with 80% methanol (5 min) and then permeabilized with 0.1% PBS-Tween for 20 min. The cells were then incubated in 1x PBS / 10% normal goat serum / 0.3M glycine to block non-specific protein-protein interactions. The cells were then incubated with the antibody (ab32150, 1/100 dilution) for 30 min at 22°C. The secondary antibody used was anti-rabbit DyLight® 488 (ab96899) at 1/500 dilution for 30 min at 22°C. Isotype control antibody (black line) was rabbit IgG (1μg/1x106 cells) used under the same conditions. Acquisition of >5,000 events was performed. This antibody gave a positive signal in Jurkat cells fixed with 4% paraformaldehyde (10 min)/permeabilized in 0.1% PBS-Tween used under the same conditions.

Immunocytochemistry/ Immunofluorescence - Anti-pro Caspase-3 antibody [E61] (AB32150)
  • ICC/IF

Lab

Immunocytochemistry/ Immunofluorescence - Anti-pro Caspase-3 antibody [E61] (AB32150)

Immunofluorescent analysis of 4% paraformaldehyde-fixed, 0.1% Triton X-100 permeabilized Jurkat (Human T cell leukemia cell line from peripheral blood) cells labelling pro Caspase-3 with primary antibody anti-pro Caspase-3 (ab32150) at 1/200 dilution, followed by Goat Anti-Rabbit IgG H&L (Alexa Fluor® 488) (ab150081) secondary antibody at 1/1000 dilution. Confocal image showing cytoplasmic staining in Jurkat cells. Anti-alpha Tubulin antibody (DM1A) - Microtubule Marker (Alexa Fluor® 594) (ab195889) was used to counterstain tubulin at 1/200 dilution. The nuclear counter stain is DAPI (blue). Image was taken with a confocal microscope (Leica-Microsystems, TCS SP8).

Immunoprecipitation - Anti-pro Caspase-3 antibody [E61] (AB32150)
  • IP

Lab

Immunoprecipitation - Anti-pro Caspase-3 antibody [E61] (AB32150)

pro Caspase-3 was immunoprecipitated from 0.35 mg HeLa (Human cervix adenocarcinoma epithelial cell) whole cell lysate 10 μg with ab32150 at 1/20 dilution (0.6μg). VeriBlot for IP Detection Reagent (HRP) (ab131366) was used at 1/5000 dilution.

Lane 1 : HeLa (Human cervix adenocarcinoma epithelial cell) whole cell lysate 10 μg

Lane 2 : ab32150 IP in HeLa whole cell lysate

Lane 3 : Rabbit monoclonal IgG (ab172730) instead of ab32150 in HeLa whole cell lysate

Blocking and dilution buffer and concentration : 5% NFDM/TBST.

All lanes:

Immunoprecipitation - Anti-pro Caspase-3 antibody [E61] (ab32150)

Predicted band size: 31 kDa

Observed band size: 35 kDa

false

Western blot - Anti-pro Caspase-3 antibody [E61] (AB32150)
  • WB

Unknown

Western blot - Anti-pro Caspase-3 antibody [E61] (AB32150)

Lane 1 : Wild-type HAP1 cell lysate
Lane 2 : Wild-type HAP1 cell lysate + Staurosporine (1μM for 4h)
Lane 3 : Caspase-3 knockout HAP1 cell lysate
Lane 4 : Caspase-3 knockout HAP1 cell lysate + Staurosporine (1μM for 4h)
Lanes 1 - 4 : Merged signal (red and green). Green - ab32150 observed at 35 kDa. Red - loading control, ab8245, observed at 37 kDa.

ab32150 was shown to specifically react with pro Caspase 3 when Caspase 3 knockout samples were used. Wild-type and Caspase 3 knockout samples (± Staurosporine treatment) were subjected to SDS-PAGE. ab32150 and ab8245 (loading control to GAPDH) were diluted to 1/1000 and 1/10000 respectively and incubated overnight at 4°C. Blots were developed with Goat anti-Rabbit IgG H&L (IRDye® 800CW) preadsorbed (ab216773) and Goat anti-Mouse IgG H&L (IRDye® 680RD) preadsorbed (ab216776) secondary antibodies at 1/10000 dilution for 1 hour at room temperature before imaging.

All lanes:

Western blot - Anti-pro Caspase-3 antibody [E61] (ab32150)

Predicted band size: 31 kDa

Observed band size: 35 kDa

false

Western blot - Anti-pro Caspase-3 antibody [E61] (AB32150)
  • WB

Supplier Data

Western blot - Anti-pro Caspase-3 antibody [E61] (AB32150)

Anti-CASP3 antibody [E61] (ab32150) staining at 1/1000 dilution, shown in green; Mouse anti-Alpha Tubulin [DM1A] (ab7291) loading control staining at 1/20000 dilution, shown in red. In Western blot, ab32150 was shown to bind specifically to CASP3. A band was observed at 30 kDa in treated wild-type HeLa cell lysates with no signal observed at this size in CASP3 knockout cell line. To generate this image, wild-type and CASP3 knockout HeLa cell lysates were analysed. First, samples were run on an SDS-PAGE gel then transferred onto a nitrocellulose membrane. Membranes were blocked in 3 % milk in TBS-0.1 % Tween® 20 (TBS-T) before incubation with primary antibodies overnight at 4 °C. Blots were washed four times in TBS-T, incubated with secondary antibodies for 1 h at room temperature, washed again four times then imaged. Secondary antibodies used were Goat anti-Rabbit IgG H&L 800CW and Goat anti-Mouse IgG H&L 680RD at 1/20000 dilution.

All lanes:

Western blot - Anti-pro Caspase-3 antibody [E61] (ab32150) at 1/500 dilution

Lane 1:

Wild-type HeLa Treated Staurosporine (2uM, 4h) cell lysate at 20 µg

Lane 2:

CASP3 knockout HeLa Treated Staurosporine (2uM, 4h) cell lysate at 20 µg

Lane 3:

Wild-type HeLa Vehicle Control Staurosporine (0uM, 4h) cell lysate at 20 µg

Lane 4:

CASP3 knockout HeLa Vehicle Control Staurosporine (0uM, 4h) cell lysate at 20 µg

Secondary

Lanes 1 - 4:

Goat anti-Rabbit IgG H&L 800CW at 1/20000 dilution

Lanes 1 - 4:

Goat anti-Mouse IgG H&L 680RD at 1/20000 dilution

Predicted band size: 31 kDa

Observed band size: 30 kDa

false

Western blot - Anti-pro Caspase-3 antibody [E61] (AB32150)
  • WB

Unknown

Western blot - Anti-pro Caspase-3 antibody [E61] (AB32150)

All lanes:

Western blot - Anti-pro Caspase-3 antibody [E61] (ab32150) at 1/1000 dilution

All lanes:

Hela cell lysate

Predicted band size: 31 kDa

Observed band size: 35 kDa

false

  • Biotin

    Biotin Anti-pro Caspase-3 antibody [E61]

  • HRP

    HRP Anti-pro Caspase-3 antibody [E61]

  • Carrier free

    Anti-pro Caspase-3 antibody [E61] - BSA and Azide free

  • 665 Alexa Fluor® 647

    Alexa Fluor® 647 Anti-pro Caspase-3 antibody [E61]

  • 519 Alexa Fluor® 488

    Alexa Fluor® 488 Anti-pro Caspase-3 antibody [E61]

Key facts

Host species

Rabbit

Clonality

Monoclonal

Clone number

E61

Isotype

IgG

Carrier free

No

Reacts with

Human

Applications

Flow Cyt (Intra), ICC/IF, WB, IP, IHC-P

applications

Immunogen

The exact immunogen used to generate this antibody is proprietary information.

Specificity

The antibody only recognizes the pro-form of Caspase-3. It does not react with the cleaved forms (active enzyme) of Caspase-3.

Reactivity data

{ "title": "Reactivity Data", "filters": { "stats": ["", "Species", "Dilution Info", "Notes"], "tabs": { "all-applications": {"fullname" : "All Applications", "shortname": "All Applications"}, "IHCP" : {"fullname" : "Immunohistochemistry (Formalin/PFA-fixed paraffin-embedded sections)", "shortname":"IHC-P"}, "IP" : {"fullname" : "Immunoprecipitation", "shortname":"IP"}, "WB" : {"fullname" : "Western blot", "shortname":"WB"}, "ICCIF" : {"fullname" : "Immunocytochemistry/ Immunofluorescence", "shortname":"ICC/IF"}, "FlowCytIntra" : {"fullname" : "Flow Cytometry (Intracellular)", "shortname":"Flow Cyt (Intra)"} }, "product-promise": { "all": "all", "testedAndGuaranteed": "tested", "guaranteed": "expected", "predicted": "predicted", "notRecommended": "not-recommended" } }, "values": { "Human": { "IHCP-species-checked": "testedAndGuaranteed", "IHCP-species-dilution-info": "1/500", "IHCP-species-notes": "<p></p>", "IP-species-checked": "testedAndGuaranteed", "IP-species-dilution-info": "1/20", "IP-species-notes": "<p></p>", "WB-species-checked": "testedAndGuaranteed", "WB-species-dilution-info": "1/1000", "WB-species-notes": "<p></p>", "ICCIF-species-checked": "testedAndGuaranteed", "ICCIF-species-dilution-info": "1/200", "ICCIF-species-notes": "<p></p>", "FlowCytIntra-species-checked": "testedAndGuaranteed", "FlowCytIntra-species-dilution-info": "1/100", "FlowCytIntra-species-notes": "<p><a href='/en-us/products/primary-antibodies/rabbit-igg-monoclonal-epr25a-isotype-control-ab172730'>ab172730</a> - Rabbit monoclonal IgG, is suitable for use as an isotype control with this antibody.</p>" } } }

Product details

Patented technology
Our RabMAb® technology is a patented hybridoma-based technology for making rabbit monoclonal antibodies. For details on our patents, please refer to RabMAb® patents.

What are the advantages of a recombinant monoclonal antibody?
This product is a recombinant monoclonal antibody, which offers several advantages including:

  • - High batch-to-batch consistency and reproducibility
  • - Improved sensitivity and specificity
  • - Long-term security of supply
  • - Animal-free batch production

For more information, read more on recombinant antibodies.

Species reactivity
Rat: We have preliminary internal testing data to indicate this antibody may not react with this species.
Please contact us for more information.

Properties and storage information

Form
Liquid
Purification technique
Affinity purification Protein A
Storage buffer
pH: 7.2 - 7.4 Preservative: 0.01% Sodium azide Constituents: PBS, 50% Glycerol (glycerin, glycerine), 0.05% BSA
Shipped at conditions
Blue Ice
Appropriate short-term storage conditions
+4°C
Appropriate long-term storage conditions
-20°C
Aliquoting information
Upon delivery aliquot
Storage information
Avoid freeze / thaw cycle

Supplementary information

This supplementary information is collated from multiple sources and compiled automatically.

Pro Caspase-3 also known as Caspase-3 zymogen is a central component in the apoptotic process. This inactive precursor form undergoes cleavage during apoptosis to become active caspase-3 an important executioner in cell death. Caspase-3 possesses a molecular weight of approximately 32 kDa. It is expressed ubiquitously in cells throughout the body with a higher concentration in tissues with rapid cell turnover such as thymus and gastrointestinal tract.
Biological function summary

The inactive pro Caspase-3 form serves as a safeguard in cells preventing premature apoptosis. It only becomes the active caspase-3 after specific activation ensuring controlled progression of apoptosis. This inactive form does not participate in any complex but becomes a part of the caspase family network upon cleavage. In its active form caspase-3 leads to the cleavage of several key cellular proteins driving the morphological and biochemical changes seen during apoptosis.

Pathways

Pro Caspase-3 is critical in the apoptotic signaling pathway. It serves as a link between intrinsic and extrinsic pathways of apoptosis. The intrinsic pathway often triggered by mitochondrial signals and the extrinsic pathway initiated by death receptor signals both lead to the activation of caspase-3. In these pathways pro Caspase-3 interacts with proteins like caspase-8 and cytochrome c playing a part in their signaling cascades and cellular outcomes.

Pro Caspase-3 is associated with conditions involving dysregulated apoptosis. One such condition is cancer where evasion of apoptosis leads to uncontrolled cell proliferation. The therapeutic targeting of pro Caspase-3 activation holds potential in reinstating apoptotic pathways in cancerous cells. Additionally it relates to neurodegenerative diseases like Alzheimer's where excessive apoptosis contributes to neuronal loss. Here active caspase-3 interacts with proteins like amyloid precursor protein suggesting a role in the disease's progression.

Product protocols

For this product, it's our understanding that no specific protocols are required. You can visit:

Target data

Thiol protease that acts as a major effector caspase involved in the execution phase of apoptosis (PubMed : 18723680, PubMed : 20566630, PubMed : 23650375, PubMed : 35338844, PubMed : 35446120, PubMed : 7596430). Following cleavage and activation by initiator caspases (CASP8, CASP9 and/or CASP10), mediates execution of apoptosis by catalyzing cleavage of many proteins (PubMed : 18723680, PubMed : 20566630, PubMed : 23650375, PubMed : 7596430). At the onset of apoptosis, it proteolytically cleaves poly(ADP-ribose) polymerase PARP1 at a '216-Asp-|-Gly-217' bond (PubMed : 10497198, PubMed : 16374543, PubMed : 7596430, PubMed : 7774019). Cleaves and activates sterol regulatory element binding proteins (SREBPs) between the basic helix-loop-helix leucine zipper domain and the membrane attachment domain (By similarity). Cleaves and activates caspase-6, -7 and -9 (CASP6, CASP7 and CASP9, respectively) (PubMed : 7596430). Cleaves and inactivates interleukin-18 (IL18) (PubMed : 37993714, PubMed : 9334240). Involved in the cleavage of huntingtin (PubMed : 8696339). Triggers cell adhesion in sympathetic neurons through RET cleavage (PubMed : 21357690). Cleaves DSG2 in response to apoptosis resulting in a loss of full length DSG2 at desmosome cell junctions and subsequent loss of cell-cell adhesion (PubMed : 17559062). Also cleaves JUP in response to apoptosis (PubMed : 17559062). Cleaves and inhibits serine/threonine-protein kinase AKT1 in response to oxidative stress (PubMed : 23152800). Acts as an inhibitor of type I interferon production during virus-induced apoptosis by mediating cleavage of antiviral proteins CGAS, IRF3 and MAVS, thereby preventing cytokine overproduction (PubMed : 30878284). Also involved in pyroptosis by mediating cleavage and activation of gasdermin-E (GSDME) (PubMed : 35338844, PubMed : 35446120). Cleaves XRCC4 and phospholipid scramblase proteins XKR4, XKR8 and XKR9, leading to promote phosphatidylserine exposure on apoptotic cell surface (PubMed : 23845944, PubMed : 33725486). Cleaves BIRC6 following inhibition of BIRC6-caspase binding by DIABLO/SMAC (PubMed : 36758104, PubMed : 36758106).
See full target information CASP3

Publications (183)

Recent publications for all applications. Explore the full list and refine your search

Scientific reports 15:22592 PubMed40595878

2025

LncRNAs regulates cell death in osteosarcoma.

Applications

Unspecified application

Species

Unspecified reactive species

Ping'an Zou,Zhiwei Tao,Zhengxu Yang,Tao Xiong,Zhi Deng,Qincan Chen,Li Niu

eLife 14: PubMed40464376

2025

Targeting SLC7A11-mediated cysteine metabolism for the treatment of trastuzumab-resistant HER2-positive breast cancer.

Applications

Unspecified application

Species

Unspecified reactive species

Yijia Hua,Ningjun Duan,Chunxiao Sun,Fan Yang,Min Tian,Yanting Sun,Shuhan Zhao,Jue Gong,Qian Liu,Xiang Huang,Yan Liang,Ziyi Fu,Wei Li,Yongmei Yin

Frontiers in microbiology 15:1485667 PubMed39529669

2024

Japanese encephalitis virus infection induces mitochondrial-mediated apoptosis through the proapoptotic protein BAX.

Applications

Unspecified application

Species

Unspecified reactive species

Ke Yang,Xinran Li,Shuqing Yang,Yi Zheng,Sanjie Cao,Qigui Yan,Xiaobo Huang,Yiping Wen,Qin Zhao,Senyan Du,Yifei Lang,Shan Zhao,Rui Wu

Cancer biology & therapy 25:2408042 PubMed39341782

2024

Arntl-induced upregulation of DUSP1 inhibits tumor progression in esophageal squamous cell carcinoma by inactivating ERK signaling.

Applications

Unspecified application

Species

Unspecified reactive species

Jianjun Wang,Qifan Jia,Jingyao Sun,Sen Wu,Li Wei,Wenjian Yao

iScience 27:110226 PubMed39021800

2024

Osteopontin regulation of MerTK macrophages promotes Crohn's disease intestinal fibrosis.

Applications

Unspecified application

Species

Unspecified reactive species

Juanhan Liu,Wenbin Gong,Peizhao Liu,Yangguang Li,Haiyang Jiang,Cunxia Wu,Xiuwen Wu,Yun Zhao,Jianan Ren

Bioscience trends 18:482-491 PubMed38972749

2024

Ligustrazine alleviates the progression of coronary artery calcification by inhibiting caspase-3/GSDME mediated pyroptosis.

Applications

Unspecified application

Species

Unspecified reactive species

Honghui Yang,Guian Xu,Qingman Li,Lijie Zhu

European journal of medical research 29:291 PubMed38764054

2024

Radix Actinidiae chinensis induces the autophagy and apoptosis in renal cell carcinoma cells.

Applications

Unspecified application

Species

Unspecified reactive species

Biao Liu,Yuanliang Yan,Liang Zhang

Chemical biology & drug design 103:e14429 PubMed38230769

2024

Stachydrine represses the proliferation and enhances cell cycle arrest and apoptosis of breast cancer cells via PLA2G2A/DCN axis.

Applications

Unspecified application

Species

Unspecified reactive species

Zhen Zhai,Tianlong Mu,Lina Zhao,Dongsheng Zhu,Xin Zhong,Yiliang Li,Chen Liang,Wei Li,Qingyuan Zhou

Molecular medicine (Cambridge, Mass.) 30:5 PubMed38191316

2024

Soy isoflavones induces mitophagy to inhibit the progression of osteosarcoma by blocking the AKT/mTOR signaling pathway.

Applications

Unspecified application

Species

Unspecified reactive species

Ziang Zheng,Xinghan Zhao,Bo Yuan,Shan Jiang,Rushan Yan,Xiaowei Dong,Qijun Yao,Haidong Liang

American journal of translational research 15:6425-6436 PubMed38074801

2023

Up-regulation of miR-155 protects against chronic heart failure by inhibiting HIF-1α.

Applications

Unspecified application

Species

Unspecified reactive species

Yuntao Luo,Xu Deng,Qingyang Chen,Yahong Cai,Mingke Bie,Yuanting Zhang,Liqi Peng,Kunpeng Yao,Xinyu Chen,Huzhi Cai
View all publications

Product promise

We are committed to supporting your work with high-quality reagents, and we're here for you every step of the way. In the unlikely event that one of our products does not perform as expected, you're protected by our Product Promise.
For full details, please see our Terms & Conditions

Please note: All products are 'FOR RESEARCH USE ONLY. NOT FOR USE IN DIAGNOSTIC OR THERAPEUTIC PROCEDURES'.

For licensing inquiries, please contact partnerships@abcam.com