JavaScript is disabled in your browser. Please enable JavaScript to view this website.
AB183179

Anti-pro Caspase-3 antibody [E61] - BSA and Azide free

Be the first to review this product! Submit a review

|

(8 Publications)

Rabbit Recombinant Monoclonal Caspase-3 antibody. Carrier free. Suitable for IHC-P, IP, WB, ICC/IF, Flow Cyt (Intra) and reacts with Human samples. Cited in 8 publications.

View Alternative Names

CPP32, CASP3, Caspase-3, CASP-3, Apopain, Cysteine protease CPP32, Protein Yama, SREBP cleavage activity 1, CPP-32, SCA-1

7 Images
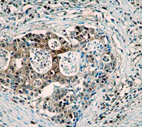
Immunohistochemistry (Formalin/PFA-fixed paraffin-embedded sections) - Anti-pro Caspase-3 antibody [E61] - BSA and Azide free (AB183179)
  • IHC-P

Unknown

Immunohistochemistry (Formalin/PFA-fixed paraffin-embedded sections) - Anti-pro Caspase-3 antibody [E61] - BSA and Azide free (AB183179)

Immunohistochemical analysis of human paraffin-embedded cervical carcinoma tissue using ab32150 at 1/500 dilution.

This data was developed using the same antibody clone in a different buffer formulation containing PBS, BSA, glycerol, and sodium azide (ab32150).

Perform heat mediated antigen retrieval with citrate buffer pH 6 before commencing with IHC staining protocol.

Flow Cytometry (Intracellular) - Anti-pro Caspase-3 antibody [E61] - BSA and Azide free (AB183179)
  • Flow Cyt (Intra)

Unknown

Flow Cytometry (Intracellular) - Anti-pro Caspase-3 antibody [E61] - BSA and Azide free (AB183179)

Overlay histogram showing Jurkat cells stained with ab32150 (red line). The cells were fixed with 80% methanol (5 min) and then permeabilized with 0.1% PBS-Tween for 20 min. The cells were then incubated in 1x PBS / 10% normal goat serum / 0.3M glycine to block non-specific protein-protein interactions. The cells were then incubated with the antibody (ab32150, 1/100 dilution) for 30 min at 22°C. The secondary antibody used was anti-rabbit DyLight® 488 (ab96899) at 1/500 dilution for 30 min at 22°C. Isotype control antibody (black line) was rabbit IgG (1μg/1x106 cells) used under the same conditions. Acquisition of >5,000 events was performed. This antibody gave a positive signal in Jurkat cells fixed with 4% paraformaldehyde (10 min)/permeabilized in 0.1% PBS-Tween used under the same conditions.

This data was developed using the same antibody clone in a different buffer formulation containing PBS, BSA, glycerol, and sodium azide (ab32150).

Immunocytochemistry/ Immunofluorescence - Anti-pro Caspase-3 antibody [E61] - BSA and Azide free (AB183179)
  • ICC/IF

Lab

Immunocytochemistry/ Immunofluorescence - Anti-pro Caspase-3 antibody [E61] - BSA and Azide free (AB183179)

Immunofluorescent analysis of 4% paraformaldehyde-fixed, 0.1% Triton X-100 permeabilized Jurkat (Human T cell leukemia cell line from peripheral blood) cells labelling pro Caspase-3 with primary antibody anti-pro Caspase-3 (ab32150) at 1/200 dilution, followed by Goat Anti-Rabbit IgG H&L (Alexa Fluor® 488) (ab150081) secondary antibody at 1/1000 dilution. Confocal image showing cytoplasmic staining in Jurkat cells. Anti-alpha Tubulin antibody (DM1A) - Microtubule Marker (Alexa Fluor® 594) (ab195889) was used to counterstain tubulin at 1/200 dilution. The nuclear counter stain is DAPI (blue). Image was taken with a confocal microscope (Leica-Microsystems, TCS SP8).

This data was developed using the same antibody clone in a different buffer formulation containing PBS, BSA, glycerol, and sodium azide (ab32150).

Western blot - Anti-pro Caspase-3 antibody [E61] - BSA and Azide free (AB183179)
  • WB

Supplier Data

Western blot - Anti-pro Caspase-3 antibody [E61] - BSA and Azide free (AB183179)

This data was developed using the same antibody clone in a different buffer formulation containing PBS, BSA, glycerol, and sodium azide (ab32150). Anti-CASP3 antibody [E61] (ab32150) staining at 1/1000 dilution, shown in green; Mouse anti-Alpha Tubulin [DM1A] (ab7291) loading control staining at 1/20000 dilution, shown in red. In Western blot, ab32150 was shown to bind specifically to CASP3. A band was observed at 30 kDa in treated wild-type HeLa cell lysates with no signal observed at this size in CASP3 knockout cell line. To generate this image, wild-type and CASP3 knockout HeLa cell lysates were analysed. First, samples were run on an SDS-PAGE gel then transferred onto a nitrocellulose membrane. Membranes were blocked in 3 % milk in TBS-0.1 % Tween® 20 (TBS-T) before incubation with primary antibodies overnight at 4 °C. Blots were washed four times in TBS-T, incubated with secondary antibodies for 1 h at room temperature, washed again four times then imaged. Secondary antibodies used were Goat anti-Rabbit IgG H&L 800CW and Goat anti-Mouse IgG H&L 680RD at 1/20000 dilution.

All lanes:

Western blot - Anti-pro Caspase-3 antibody [E61] (<a href='/en-us/products/primary-antibodies/pro-caspase-3-antibody-e61-ab32150'>ab32150</a>) at 1/500 dilution

Lane 1:

Wild-type HeLa Treated Staurosporine (2uM, 4h) cell lysate at 20 µg

Lane 2:

CASP3 knockout HeLa Treated Staurosporine (2uM, 4h) cell lysate at 20 µg

Lane 3:

Wild-type HeLa Vehicle Control Staurosporine (0uM, 4h) cell lysate at 20 µg

Lane 4:

CASP3 knockout HeLa Vehicle Control Staurosporine (0uM, 4h) cell lysate at 20 µg

Secondary

Lanes 1 - 4:

Goat anti-Rabbit IgG H&L 800CW at 1/20000 dilution

Lanes 1 - 4:

Goat anti-Mouse IgG H&L 680RD at 1/20000 dilution

Predicted band size: 31 kDa

Observed band size: 30 kDa

false

Immunoprecipitation - Anti-pro Caspase-3 antibody [E61] - BSA and Azide free (AB183179)
  • IP

Lab

Immunoprecipitation - Anti-pro Caspase-3 antibody [E61] - BSA and Azide free (AB183179)

This data was developed using ab32150, the same antibody clone in a different buffer formulation. pro Caspase-3 was immunoprecipitated from 0.35 mg HeLa (Human cervix adenocarcinoma epithelial cell) whole cell lysate 10 μg with ab32150 at 1/20 dilution (0.6μg). VeriBlot for IP Detection Reagent (HRP) (ab131366) was used at 1/5000 dilution.

Lane 1 : HeLa (Human cervix adenocarcinoma epithelial cell) whole cell lysate 10 μg

Lane 2 : ab32150 IP in HeLa whole cell lysate

Lane 3 : Rabbit monoclonal IgG (ab172730) instead of ab32150 in HeLa whole cell lysate

Blocking and dilution buffer and concentration : 5% NFDM/TBST.

All lanes:

Immunoprecipitation - Anti-pro Caspase-3 antibody [E61] (<a href='/en-us/products/primary-antibodies/pro-caspase-3-antibody-e61-ab32150'>ab32150</a>)

Predicted band size: 31 kDa

Observed band size: 35 kDa

false

Western blot - Anti-pro Caspase-3 antibody [E61] - BSA and Azide free (AB183179)
  • WB

Unknown

Western blot - Anti-pro Caspase-3 antibody [E61] - BSA and Azide free (AB183179)

This WB data was generated using the same anti-pro Caspase-3 antibody clone, E61, in a different buffer formulation (ab32150).

Lane 1 : Wild-type HAP1 cell lysate
Lane 2 : Wild-type HAP1 cell lysate + Staurosporine (1μM for 4h)
Lane 3 : Caspase-3 knockout HAP1 cell lysate
Lane 4 : Caspase-3 knockout HAP1 cell lysate + Staurosporine (1μM for 4h)
Lanes 1 - 4 : Merged signal (red and green). Green - ab32150 observed at 35 kDa. Red - loading control, ab8245, observed at 37 kDa.

ab32150 was shown to specifically react with pro Caspase 3 when Caspase 3 knockout samples were used. Wild-type and Caspase 3 knockout samples (± Staurosporine treatment) were subjected to SDS-PAGE. ab32150 and ab8245 (loading control to GAPDH) were diluted to 1/1000 and 1/10000 respectively and incubated overnight at 4°C. Blots were developed with Goat anti-Rabbit IgG H&L (IRDye® 800CW) preadsorbed (ab216773) and Goat anti-Mouse IgG H&L (IRDye® 680RD) preadsorbed (ab216776) secondary antibodies at 1/10000 dilution for 1 hour at room temperature before imaging.

All lanes:

Western blot - Anti-pro Caspase-3 antibody [E61] (<a href='/en-us/products/primary-antibodies/pro-caspase-3-antibody-e61-ab32150'>ab32150</a>)

Predicted band size: 31 kDa

Observed band size: 35 kDa

false

Western blot - Anti-pro Caspase-3 antibody [E61] - BSA and Azide free (AB183179)
  • WB

CiteAb

Western blot - Anti-pro Caspase-3 antibody [E61] - BSA and Azide free (AB183179)

pro Caspase-3 western blot using anti-pro Caspase-3 antibody [E61] - BSA and Azide free ab183179. Publication image and figure legend from Gu, Y., Zhu, Z., et al., 2020, Aging (Albany NY), PubMed 32019904.

ab183179 was used in this publication in western blot. This may not be the same as the application(s) guaranteed by Abcam. For a full list of applications guaranteed by Abcam for ab183179 please see the product overview.

Effects of NNT-AS1 on the growth of CCLP1 and TFK1 cells, which were transfected with pcDNA-NNT-AS1 and si-NNT-AS1. (A) NNT-AS1 level was examined via qRT-PCR. (B) Proliferation was examined via BrdU. Expression of cyclinD1 was examined via western blot (C) and analyzed quantitatively (D) in both cells. (E) Apoptosis was examined via flow cytometry. Expression of cleaved-caspase-3 was examined via western blot (F) and analyzed quantitatively (G) in both cells. * p < 0.05, ** p < 0.01 and *** p < 0.001 contrasted with indicated set.

false

Key facts

Host species

Rabbit

Clonality

Monoclonal

Clone number

E61

Isotype

IgG

Carrier free

Yes

Reacts with

Human

Applications

Flow Cyt (Intra), WB, ICC/IF, IP, IHC-P

applications

Immunogen

The exact immunogen used to generate this antibody is proprietary information.

Specificity

The antibody only recognizes the pro-form of Caspase-3. It does not react with the cleaved forms (active enzyme) of Caspase-3.

Reactivity data

{ "title": "Reactivity Data", "filters": { "stats": ["", "Species", "Dilution Info", "Notes"], "tabs": { "all-applications": {"fullname" : "All Applications", "shortname": "All Applications"}, "IHCP" : {"fullname" : "Immunohistochemistry (Formalin/PFA-fixed paraffin-embedded sections)", "shortname":"IHC-P"}, "IP" : {"fullname" : "Immunoprecipitation", "shortname":"IP"}, "WB" : {"fullname" : "Western blot", "shortname":"WB"}, "ICCIF" : {"fullname" : "Immunocytochemistry/ Immunofluorescence", "shortname":"ICC/IF"}, "FlowCytIntra" : {"fullname" : "Flow Cytometry (Intracellular)", "shortname":"Flow Cyt (Intra)"} }, "product-promise": { "all": "all", "testedAndGuaranteed": "tested", "guaranteed": "expected", "predicted": "predicted", "notRecommended": "not-recommended" } }, "values": { "Human": { "IHCP-species-checked": "testedAndGuaranteed", "IHCP-species-dilution-info": "", "IHCP-species-notes": "<p></p>", "IP-species-checked": "testedAndGuaranteed", "IP-species-dilution-info": "", "IP-species-notes": "<p></p>", "WB-species-checked": "testedAndGuaranteed", "WB-species-dilution-info": "", "WB-species-notes": "<p></p>", "ICCIF-species-checked": "testedAndGuaranteed", "ICCIF-species-dilution-info": "", "ICCIF-species-notes": "<p></p>", "FlowCytIntra-species-checked": "testedAndGuaranteed", "FlowCytIntra-species-dilution-info": "", "FlowCytIntra-species-notes": "<p><a href='/en-us/products/primary-antibodies/rabbit-igg-monoclonal-epr25a-isotype-control-low-endotoxin-azide-free-ab199376'>ab199376</a> - Rabbit monoclonal IgG (Low endotoxin, Azide free), is suitable for use as an isotype control with this antibody.</p>" } } }

Product details

ab183179 is the carrier-free version of ab32150.

Patented technology
Our RabMAb® technology is a patented hybridoma-based technology for making rabbit monoclonal antibodies. For details on our patents, please refer to RabMAb® patents.

What are the advantages of a recombinant monoclonal antibody?
This product is a recombinant monoclonal antibody, which offers several advantages including:

  • - High batch-to-batch consistency and reproducibility
  • - Improved sensitivity and specificity
  • - Long-term security of supply
  • - Animal-free batch production

For more information, read more on recombinant antibodies.

Conjugation ready
Our carrier-free antibodies are typically supplied in a PBS-only formulation, purified and free of BSA, sodium azide and glycerol. This conjugation-ready format is designed for use with fluorochromes, metal isotopes, oligonucleotides, and enzymes, which makes them ideal for antibody labelling, functional and cell-based assays, flow-based assays (e.g. mass cytometry) and Multiplex Imaging applications.

Use our conjugation kits for antibody conjugates that are ready-to-use in as little as 20 minutes with 1 minute hands-on-time and 100% antibody recovery: available for fluorescent dyes, HRP, biotin and gold.

Compatibility
This product is compatible with the Maxpar® Antibody Labeling Kit from Fluidigm, without the need for antibody preparation. Maxpar® is a trademark of Fluidigm Canada Inc.

Properties and storage information

Form
Liquid
Purification technique
Affinity purification Protein A
Storage buffer
pH: 7.2 Constituents: PBS
Shipped at conditions
Blue Ice
Appropriate short-term storage conditions
+4°C
Appropriate long-term storage conditions
+4°C
Storage information
Do Not Freeze

Supplementary information

This supplementary information is collated from multiple sources and compiled automatically.

Pro Caspase-3 also known as Caspase-3 zymogen is a central component in the apoptotic process. This inactive precursor form undergoes cleavage during apoptosis to become active caspase-3 an important executioner in cell death. Caspase-3 possesses a molecular weight of approximately 32 kDa. It is expressed ubiquitously in cells throughout the body with a higher concentration in tissues with rapid cell turnover such as thymus and gastrointestinal tract.
Biological function summary

The inactive pro Caspase-3 form serves as a safeguard in cells preventing premature apoptosis. It only becomes the active caspase-3 after specific activation ensuring controlled progression of apoptosis. This inactive form does not participate in any complex but becomes a part of the caspase family network upon cleavage. In its active form caspase-3 leads to the cleavage of several key cellular proteins driving the morphological and biochemical changes seen during apoptosis.

Pathways

Pro Caspase-3 is critical in the apoptotic signaling pathway. It serves as a link between intrinsic and extrinsic pathways of apoptosis. The intrinsic pathway often triggered by mitochondrial signals and the extrinsic pathway initiated by death receptor signals both lead to the activation of caspase-3. In these pathways pro Caspase-3 interacts with proteins like caspase-8 and cytochrome c playing a part in their signaling cascades and cellular outcomes.

Pro Caspase-3 is associated with conditions involving dysregulated apoptosis. One such condition is cancer where evasion of apoptosis leads to uncontrolled cell proliferation. The therapeutic targeting of pro Caspase-3 activation holds potential in reinstating apoptotic pathways in cancerous cells. Additionally it relates to neurodegenerative diseases like Alzheimer's where excessive apoptosis contributes to neuronal loss. Here active caspase-3 interacts with proteins like amyloid precursor protein suggesting a role in the disease's progression.

Product protocols

For this product, it's our understanding that no specific protocols are required. You can visit:

Target data

Thiol protease that acts as a major effector caspase involved in the execution phase of apoptosis (PubMed : 18723680, PubMed : 20566630, PubMed : 23650375, PubMed : 35338844, PubMed : 35446120, PubMed : 7596430). Following cleavage and activation by initiator caspases (CASP8, CASP9 and/or CASP10), mediates execution of apoptosis by catalyzing cleavage of many proteins (PubMed : 18723680, PubMed : 20566630, PubMed : 23650375, PubMed : 7596430). At the onset of apoptosis, it proteolytically cleaves poly(ADP-ribose) polymerase PARP1 at a '216-Asp-|-Gly-217' bond (PubMed : 10497198, PubMed : 16374543, PubMed : 7596430, PubMed : 7774019). Cleaves and activates sterol regulatory element binding proteins (SREBPs) between the basic helix-loop-helix leucine zipper domain and the membrane attachment domain (By similarity). Cleaves and activates caspase-6, -7 and -9 (CASP6, CASP7 and CASP9, respectively) (PubMed : 7596430). Cleaves and inactivates interleukin-18 (IL18) (PubMed : 37993714, PubMed : 9334240). Involved in the cleavage of huntingtin (PubMed : 8696339). Triggers cell adhesion in sympathetic neurons through RET cleavage (PubMed : 21357690). Cleaves and inhibits serine/threonine-protein kinase AKT1 in response to oxidative stress (PubMed : 23152800). Acts as an inhibitor of type I interferon production during virus-induced apoptosis by mediating cleavage of antiviral proteins CGAS, IRF3 and MAVS, thereby preventing cytokine overproduction (PubMed : 30878284). Also involved in pyroptosis by mediating cleavage and activation of gasdermin-E (GSDME) (PubMed : 35338844, PubMed : 35446120). Cleaves XRCC4 and phospholipid scramblase proteins XKR4, XKR8 and XKR9, leading to promote phosphatidylserine exposure on apoptotic cell surface (PubMed : 23845944, PubMed : 33725486). Cleaves BIRC6 following inhibition of BIRC6-caspase binding by DIABLO/SMAC (PubMed : 36758104, PubMed : 36758106).
See full target information CASP3

Publications (8)

Recent publications for all applications. Explore the full list and refine your search

International journal of experimental pathology : PubMed33350543

2020

Circular RNA ITCH mediates HO-induced myocardial cell apoptosis by targeting miR-17-5p via wnt/β-catenin signalling pathway.

Applications

Unspecified application

Species

Unspecified reactive species

Nengfeng Zhang,Xu Wang

Molecular medicine reports 22:3621-3628 PubMed32901887

2020

MicroRNA‑25‑3p regulates human nucleus pulposus cell proliferation and apoptosis in intervertebral disc degeneration by targeting Bim.

Applications

Unspecified application

Species

Unspecified reactive species

Zhifang Zhao,Jie Zheng,Youchen Ye,Kefeng Zhao,Ruozhang Wang,Ran Wang

Artificial cells, nanomedicine, and biotechnology 48:533-541 PubMed32041436

2020

Long non-coding RNA DANCR alleviates hypoxia-caused H9c2 cells damage through up regulation of HIF-1α.

Applications

Unspecified application

Species

Unspecified reactive species

Libin Qiu,Qian Zhao,Lingli Dai,Aoshuang Zhu,Xiaofei Xu,Shanshan Zhao,Jingcheng Chen

Aging 12:2333-2346 PubMed32019904

2020

Long non-coding RNA NNT-AS1 promotes cholangiocarcinoma cells proliferation and epithelial-to-mesenchymal transition through down-regulating miR-203.

Applications

Unspecified application

Species

Unspecified reactive species

Yulei Gu,Zhiqiang Zhu,Hui Pei,Dong Xu,Yumin Jiang,Luanluan Zhang,Lili Xiao

Molecular medicine reports 21:115-122 PubMed31939621

2020

Neuroprotective effect of CPCGI on Alzheimer's disease and its mechanism.

Applications

Unspecified application

Species

Unspecified reactive species

Xiaopeng Wang,Jing Zhao

Artificial cells, nanomedicine, and biotechnology 48:197-205 PubMed31851829

2019

miR-155 is high-expressed in polycystic ovarian syndrome and promotes cell proliferation and migration through targeting PDCD4 in KGN cells.

Applications

Unspecified application

Species

Unspecified reactive species

Huanjun Xia,Yaxian Zhao

Life sciences 236:116948 PubMed31605711

2019

Ginsenoside Rg1 defenses PC-12 cells against hydrogen peroxide-caused damage via up-regulation of miR-216a-5p.

Applications

Unspecified application

Species

Unspecified reactive species

Guangkun Yi,Li Liu,Chaoliang Lv,Yanchun Wei,Tingzhen Yan

Journal of experimental & clinical cancer research 28:92 PubMed19563663

2009

Phenotype-dependent apoptosis signalling in mesothelioma cells after selenite exposure.

Applications

Flow Cyt

Species

Human

Gustav Nilsonne,Eric Olm,Adam Szulkin,Filip Mundt,Agnes Stein,Branka Kocic,Anna-Klara Rundlöf,Aristi P Fernandes,Mikael Björnstedt,Katalin Dobra
View all publications

Product promise

We are committed to supporting your work with high-quality reagents, and we're here for you every step of the way. In the unlikely event that one of our products does not perform as expected, you're protected by our Product Promise.
For full details, please see our Terms & Conditions

Please note: All products are 'FOR RESEARCH USE ONLY. NOT FOR USE IN DIAGNOSTIC OR THERAPEUTIC PROCEDURES'.

For licensing inquiries, please contact partnerships@abcam.com