JavaScript is disabled in your browser. Please enable JavaScript to view this website.
AB247219

Anti-pro Caspase-7 antibody [Y33] - BSA and Azide free

Be the first to review this product! Submit a review

|

(0 Publication)

Rabbit Recombinant Monoclonal Caspase-7 antibody. Carrier free. Suitable for IHC-P, WB and reacts with Human samples.

View Alternative Names

MCH3, CASP7, Caspase-7, CASP-7, Apoptotic protease Mch-3, CMH-1, ICE-like apoptotic protease 3, ICE-LAP3

3 Images
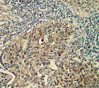
Immunohistochemistry (Formalin/PFA-fixed paraffin-embedded sections) - Anti-pro Caspase-7 antibody [Y33] - BSA and Azide free (AB247219)
  • IHC-P

Unknown

Immunohistochemistry (Formalin/PFA-fixed paraffin-embedded sections) - Anti-pro Caspase-7 antibody [Y33] - BSA and Azide free (AB247219)

This data was developed using ab32067, the same antibody clone in a different buffer formulation.

Immunohistochemical analysis of paraffin-embedded human lung squamous carcinoma using ab32067 at 1/50 dilution.

Perform heat mediated antigen retrieval with citrate buffer pH 6 before commencing with IHC staining protocol.

Western blot - Anti-pro Caspase-7 antibody [Y33] - BSA and Azide free (AB247219)
  • WB

Unknown

Western blot - Anti-pro Caspase-7 antibody [Y33] - BSA and Azide free (AB247219)

This data was developed using ab32067, the same antibody clone in a different buffer formulation.

All lanes:

Western blot - Anti-pro Caspase-7 antibody [Y33] - BSA and Azide free (ab247219) at 1/1000 dilution

All lanes:

Jurkat cell lysate

Predicted band size: 34 kDa

Observed band size: 34 kDa

false

Western blot - Anti-pro Caspase-7 antibody [Y33] - BSA and Azide free (AB247219)
  • WB

Lab

Western blot - Anti-pro Caspase-7 antibody [Y33] - BSA and Azide free (AB247219)

This data was developed using ab32067, the same antibody clone in a different buffer formulation.

Lane 1 : Wild type HAP1 whole cell lysate (20 μg)

Lane 2 : Staurosporin treated HAP1 whole cell lysate (20 μg)

Lane 3 : CASP7 knockout HAP1 whole cell lysate (20 μg)

Lane 4 : Staurosporin treated CASP7 knockout HAP1 whole cell lysate (20 μg)

Lane 5 : HeLa whole cell lysate (20 μg)

Lane 6 : Staurosporin treated HeLa whole cell lysate (20 μg)

Lanes 1 - 6 : Merged signal (red and green). Green - ab32067 observed at 38 kDa. Red - loading control, ab18058, observed at 130 kDa.

ab32067 was shown to recognize pro Caspase 7 when HAP1 + pro Caspase 7 knockout samples were used, along with additional cross-reactive bands. Wild-type and pro Caspase 7 knockout samples were subjected to SDS-PAGE. ab32067 and ab18058 (Mouse anti-Vinculin loading control) were incubated overnight at 4°C at 1/1000 dilution and 1/10000 dilution respectively. Blots were developed with Goat anti-Rabbit IgG H&L (IRDye® 800CW) preabsorbed ab216773 and Goat anti-Mouse IgG H&L (IRDye® 680RD) preabsorbed ab216776 secondary antibodies at 1/20000 dilution for 1 hour at room temperature before imaging.

All lanes:

Western blot - Anti-pro Caspase-7 antibody [Y33] (<a href='/en-us/products/primary-antibodies/pro-caspase-7-antibody-y33-ab32067'>ab32067</a>)

Predicted band size: 34 kDa

false

Key facts

Host species

Rabbit

Clonality

Monoclonal

Clone number

Y33

Isotype

IgG

Carrier free

Yes

Reacts with

Human

Applications

IHC-P, WB

applications

Immunogen

The exact immunogen used to generate this antibody is proprietary information.

Specificity

The antibody only recognizes the pro-form of Caspase-7. It does not react with the cleaved forms (active enzyme) of Caspase-7.

Reactivity data

{ "title": "Reactivity Data", "filters": { "stats": ["", "Species", "Dilution Info", "Notes"], "tabs": { "all-applications": {"fullname" : "All Applications", "shortname": "All Applications"}, "IHCP" : {"fullname" : "Immunohistochemistry (Formalin/PFA-fixed paraffin-embedded sections)", "shortname":"IHC-P"}, "IP" : {"fullname" : "Immunoprecipitation", "shortname":"IP"}, "FlowCyt" : {"fullname" : "Flow Cytometry", "shortname":"Flow Cyt"}, "WB" : {"fullname" : "Western blot", "shortname":"WB"} }, "product-promise": { "all": "all", "testedAndGuaranteed": "tested", "guaranteed": "expected", "predicted": "predicted", "notRecommended": "not-recommended" } }, "values": { "Human": { "IHCP-species-checked": "testedAndGuaranteed", "IHCP-species-dilution-info": "", "IHCP-species-notes": "<p></p>", "IP-species-checked": "notRecommended", "IP-species-dilution-info": "", "IP-species-notes": "<p></p>", "FlowCyt-species-checked": "notRecommended", "FlowCyt-species-dilution-info": "", "FlowCyt-species-notes": "<p></p>", "WB-species-checked": "testedAndGuaranteed", "WB-species-dilution-info": "", "WB-species-notes": "<p></p>" } } }

Product details

ab247219 is the carrier-free version of ab32067.

Species reactivity
Mouse, Rat: We have preliminary internal testing data to indicate this antibody may not react with these species.
Please contact us for more information.

Patented technology
Our RabMAb® technology is a patented hybridoma-based technology for making rabbit monoclonal antibodies. For details on our patents, please refer to RabMAb® patents.

What are the advantages of a recombinant monoclonal antibody?
This product is a recombinant monoclonal antibody, which offers several advantages including:

  • - High batch-to-batch consistency and reproducibility
  • - Improved sensitivity and specificity
  • - Long-term security of supply
  • - Animal-free batch production

For more information, read more on recombinant antibodies.

Conjugation ready
Our carrier-free antibodies are typically supplied in a PBS-only formulation, purified and free of BSA, sodium azide and glycerol. This conjugation-ready format is designed for use with fluorochromes, metal isotopes, oligonucleotides, and enzymes, which makes them ideal for antibody labelling, functional and cell-based assays, flow-based assays (e.g. mass cytometry) and Multiplex Imaging applications.

Use our conjugation kits for antibody conjugates that are ready-to-use in as little as 20 minutes with 1 minute hands-on-time and 100% antibody recovery: available for fluorescent dyes, HRP, biotin and gold.

Compatibility
This product is compatible with the Maxpar® Antibody Labeling Kit from Fluidigm, without the need for antibody preparation. Maxpar® is a trademark of Fluidigm Canada Inc.

Properties and storage information

Form
Liquid
Purification technique
Affinity purification Protein A
Storage buffer
pH: 7.2 - 7.4 Constituents: PBS
Shipped at conditions
Blue Ice
Appropriate short-term storage conditions
+4°C
Appropriate long-term storage conditions
+4°C
Storage information
Do Not Freeze

Supplementary information

This supplementary information is collated from multiple sources and compiled automatically.

Pro Caspase-7 also known as CASP-7 is an important component in the apoptotic machinery functioning as an inactive precursor of the enzyme caspase-7. This zymogen has a molecular mass of approximately 34 kDa and is primarily expressed in the cytosol of cells. It undergoes proteolytic cleavage to become active caspase-7 an important step for executing apoptosis. This conversion allows it to cleave specific substrates leading to cell dismantling. Researchers often refer to it by its other names such as CMH-1 or ICE-LAP3 in scientific literature.
Biological function summary

Pro Caspase-7 is intricately involved in the execution phase of apoptosis. It is a component of a multiprotein complex known as the apoptosome which assembles in response to apoptotic signals. Within this complex pro Caspase-7 undergoes activation and subsequently cleaves various cellular proteins. This action results in the characteristic apoptotic changes like DNA fragmentation and membrane blebbing. Its activity is important in maintaining tissue homeostasis and ensuring the removal of damaged cells.

Pathways

Pro Caspase-7 is deeply integrated into the intrinsic and extrinsic apoptotic pathways. In the intrinsic pathway it operates downstream of mitochondrial signals alongside caspase-3 another executioner caspase. The extrinsic pathway involves the death receptor-mediated signals where caspase-8 can indirectly activate pro Caspase-7. These pathways illustrate interconnectivity often involving cross-activation of caspases guaranteeing efficient cell death regulation.

Dysregulation of pro Caspase-7 activity links to cancer and neurodegenerative diseases. In cancer underactive pro Caspase-7 results in reduced apoptosis aiding in uncontrolled cell proliferation. Conversely overactivation of pro Caspase-7 is implicated in neurodegenerative disorders like Alzheimer's disease due to excessive apoptosis. Its interactions with proteins such as BCL-2 in cancer and Tau in Alzheimer's illustrate its role in disease pathology.

Product protocols

For this product, it's our understanding that no specific protocols are required. You can visit:

Target data

Thiol protease involved in different programmed cell death processes, such as apoptosis, pyroptosis or granzyme-mediated programmed cell death, by proteolytically cleaving target proteins (PubMed : 11257230, PubMed : 11257231, PubMed : 11701129, PubMed : 15314233, PubMed : 16916640, PubMed : 17646170, PubMed : 18723680, PubMed : 19581639, PubMed : 8521391, PubMed : 8567622, PubMed : 8576161, PubMed : 9070923). Has a marked preference for Asp-Glu-Val-Asp (DEVD) consensus sequences, with some plasticity for alternate non-canonical sequences (PubMed : 12824163, PubMed : 15314233, PubMed : 17697120, PubMed : 19581639, PubMed : 20566630, PubMed : 23650375, PubMed : 23897474, PubMed : 27032039). Its involvement in the different programmed cell death processes is probably determined by upstream proteases that activate CASP7 (By similarity). Acts as an effector caspase involved in the execution phase of apoptosis : following cleavage and activation by initiator caspases (CASP8, CASP9 and/or CASP10), mediates execution of apoptosis by catalyzing cleavage of proteins, such as CLSPN, PARP1, PTGES3 and YY1 (PubMed : 10497198, PubMed : 16123041, PubMed : 16374543, PubMed : 16916640, PubMed : 18723680, PubMed : 20566630, PubMed : 21555521, PubMed : 22184066, PubMed : 22451931, PubMed : 27889207, PubMed : 28863261, PubMed : 31586028, PubMed : 34156061, PubMed : 35338844, PubMed : 35446120). Compared to CASP3, acts as a minor executioner caspase and cleaves a limited set of target proteins (PubMed : 18723680). Acts as a key regulator of the inflammatory response in response to bacterial infection by catalyzing cleavage and activation of the sphingomyelin phosphodiesterase SMPD1 in the extracellular milieu, thereby promoting membrane repair (PubMed : 21157428). Regulates pyroptosis in intestinal epithelial cells : cleaved and activated by CASP1 in response to S.typhimurium infection, promoting its secretion to the extracellular milieu, where it catalyzes activation of SMPD1, generating ceramides that repair membranes and counteract the action of gasdermin-D (GSDMD) pores (By similarity). Regulates granzyme-mediated programmed cell death in hepatocytes : cleaved and activated by granzyme B (GZMB) in response to bacterial infection, promoting its secretion to the extracellular milieu, where it catalyzes activation of SMPD1, generating ceramides that repair membranes and counteract the action of perforin (PRF1) pores (By similarity). Following cleavage by CASP1 in response to inflammasome activation, catalyzes processing and inactivation of PARP1, alleviating the transcription repressor activity of PARP1 (PubMed : 22464733). Acts as an inhibitor of type I interferon production during virus-induced apoptosis by mediating cleavage of antiviral proteins CGAS, IRF3 and MAVS, thereby preventing cytokine overproduction (By similarity). Cleaves and activates sterol regulatory element binding proteins (SREBPs) (PubMed : 8643593). Cleaves phospholipid scramblase proteins XKR4, XKR8 and XKR9 (By similarity). In case of infection, catalyzes cleavage of Kaposi sarcoma-associated herpesvirus protein ORF57, thereby preventing expression of viral lytic genes (PubMed : 20159985). Cleaves BIRC6 following inhibition of BIRC6-caspase binding by DIABLO/SMAC (PubMed : 36758104, PubMed : 36758106).. Isoform Beta. Lacks enzymatic activity.
See full target information CASP7

Product promise

We are committed to supporting your work with high-quality reagents, and we're here for you every step of the way. In the unlikely event that one of our products does not perform as expected, you're protected by our Product Promise.
For full details, please see our Terms & Conditions

Please note: All products are 'FOR RESEARCH USE ONLY. NOT FOR USE IN DIAGNOSTIC OR THERAPEUTIC PROCEDURES'.

For licensing inquiries, please contact partnerships@abcam.com