JavaScript is disabled in your browser. Please enable JavaScript to view this website.
AB279343

Anti-Pro-Collagen III alpha 1 antibody [EPR24255-13] - BSA and Azide free

Be the first to review this product! Submit a review

|

(0 Publication)

Rabbit Recombinant Monoclonal Collagen III antibody. Carrier free. Suitable for ICC/IF, IHC-P and reacts with Human samples.

View Alternative Names

Collagen alpha-1(III) chain, COL3A1

4 Images
Immunohistochemistry (Formalin/PFA-fixed paraffin-embedded sections) - Anti-Pro-Collagen III alpha 1 antibody [EPR24255-13] - BSA and Azide free (AB279343)
  • IHC-P

Supplier Data

Immunohistochemistry (Formalin/PFA-fixed paraffin-embedded sections) - Anti-Pro-Collagen III alpha 1 antibody [EPR24255-13] - BSA and Azide free (AB279343)

This data was developed using ab279338, the same antibody clone in a different buffer formulation.

Immunohistochemical analysis of paraffin-embedded Human kidney tissue labeling Pro-Collagen III alpha 1 with ab279338 at 1/2000 dilution followed by a ready to use Rabbit specific IHC polymer detection kit HRP/DAB (ab209101). Positive staining on human kidney. (PMID : 24475278) The section was incubated with ab279338 for 30 mins at room temperature. The immunostaining was performed on a Leica Biosystems BOND® RX instrument Counterstained with Hematoxylin.

Secondary antibody only control : Secondary antibody is a ready to use Rabbit specific IHC polymer detection kit HRP/DAB (ab209101).

Heat mediated antigen retrieval with Tris-EDTA buffer (pH 9.0, epitope retrieval solution2) for 20 mins

Immunohistochemistry (Formalin/PFA-fixed paraffin-embedded sections) - Anti-Pro-Collagen III alpha 1 antibody [EPR24255-13] - BSA and Azide free (AB279343)
  • IHC-P

Supplier Data

Immunohistochemistry (Formalin/PFA-fixed paraffin-embedded sections) - Anti-Pro-Collagen III alpha 1 antibody [EPR24255-13] - BSA and Azide free (AB279343)

This data was developed using ab279338, the same antibody clone in a different buffer formulation.

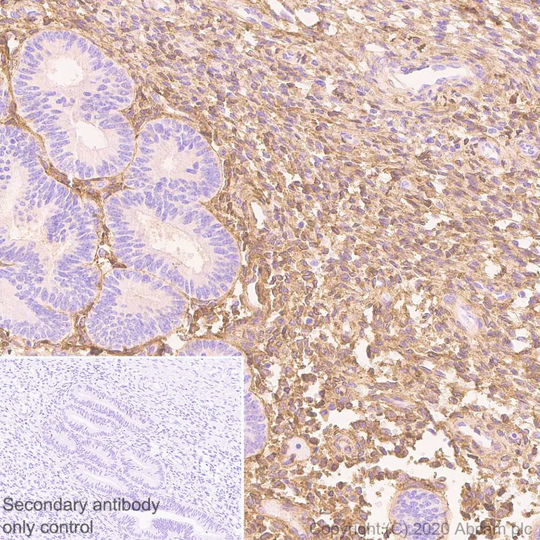
Immunohistochemical analysis of paraffin-embedded Human gastric adenocarcinoma tissue labeling Pro-Collagen III alpha 1 with ab279338 at 1/2000 dilution followed by a ready to use Rabbit specific IHC polymer detection kit HRP/DAB (ab209101). Positive staining on human gastric adenocarcinoma. The section was incubated with ab279338 for 30 mins at room temperature. The immunostaining was performed on a Leica Biosystems BOND® RX instrument Counterstained with Hematoxylin.

Secondary antibody only control : Secondary antibody is a ready to use Rabbit specific IHC polymer detection kit HRP/DAB (ab209101).

Heat mediated antigen retrieval with Tris-EDTA buffer (pH 9.0, epitope retrieval solution2) for 20 mins

Immunocytochemistry/ Immunofluorescence - Anti-Pro-Collagen III alpha 1 antibody [EPR24255-13] - BSA and Azide free (AB279343)
  • ICC/IF

Supplier Data

Immunocytochemistry/ Immunofluorescence - Anti-Pro-Collagen III alpha 1 antibody [EPR24255-13] - BSA and Azide free (AB279343)

This data was developed using ab279338, the same antibody clone in a different buffer formulation.

Immunofluorescent analysis of 4% Paraformaldehyde-fixed, 0.1% TritonX-100 permeabilized HFF-1 cells labelling Pro-Collagen III alpha 1 with ab279338 at 1/50 dilution, followed by ab150077 Goat Anti-Rabbit IgG H&L (Alexa Fluor® 488) antibody at 1/1000 dilution (Green). Confocal image showing cytoplasmic staining in HFF-1 cell line is observed. ab195889 Anti-alpha Tubulin mouse monoclonal antibody - Microtubule Marker (Alexa Fluor® 594) was used to counterstain tubulin at 1/200 dilution (Red). The Nuclear counterstain was DAPI (Blue).

Secondary antibody only control : Secondary antibody is ab150077 Goat Anti-Rabbit IgG H&L (Alexa Fluor® 488) at 1/1000 dilution.

Immunohistochemistry (Formalin/PFA-fixed paraffin-embedded sections) - Anti-Pro-Collagen III alpha 1 antibody [EPR24255-13] - BSA and Azide free (AB279343)
  • IHC-P

Supplier Data

Immunohistochemistry (Formalin/PFA-fixed paraffin-embedded sections) - Anti-Pro-Collagen III alpha 1 antibody [EPR24255-13] - BSA and Azide free (AB279343)

This data was developed using ab279338, the same antibody clone in a different buffer formulation.

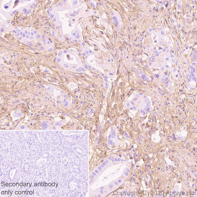
Immunohistochemical analysis of paraffin-embedded Human endometrium tissue labeling Pro-Collagen III alpha 1 with ab279338 at 1/2000 dilution followed by a ready to use Rabbit specific IHC polymer detection kit HRP/DAB (ab209101). Positive staining on human endometrium. (PMID : 31075413) The section was incubated with ab279338 for 30 mins at room temperature. The immunostaining was performed on a Leica Biosystems BOND® RX instrument Counterstained with Hematoxylin.

Secondary antibody only control : Secondary antibody is a ready to use Rabbit specific IHC polymer detection kit HRP/DAB (ab209101).

Heat mediated antigen retrieval with Tris-EDTA buffer (pH 9.0, epitope retrieval solution2) for 20 mins

  • Unconjugated

    Anti-Pro-Collagen III alpha 1 antibody [EPR24255-13]

  • 665 Alexa Fluor® 647

    Alexa Fluor® 647 Anti-Pro-Collagen III alpha 1 antibody [EPR24255-13]

  • 519 Alexa Fluor® 488

    Alexa Fluor® 488 Anti-Pro-Collagen III Alpha 1 antibody [EPR24255-13]

Key facts

Host species

Rabbit

Clonality

Monoclonal

Clone number

EPR24255-13

Isotype

IgG

Carrier free

Yes

Reacts with

Human

Applications

IHC-P, ICC/IF

applications

Immunogen

The exact immunogen used to generate this antibody is proprietary information.

Reactivity data

{ "title": "Reactivity Data", "filters": { "stats": ["", "Species", "Dilution Info", "Notes"], "tabs": { "all-applications": {"fullname" : "All Applications", "shortname": "All Applications"}, "ICCIF" : {"fullname" : "Immunocytochemistry/ Immunofluorescence", "shortname":"ICC/IF"}, "IHCP" : {"fullname" : "Immunohistochemistry (Formalin/PFA-fixed paraffin-embedded sections)", "shortname":"IHC-P"}, "WB" : {"fullname" : "Western blot", "shortname":"WB"}, "FlowCytIntra" : {"fullname" : "Flow Cytometry (Intracellular)", "shortname":"Flow Cyt (Intra)"}, "IP" : {"fullname" : "Immunoprecipitation", "shortname":"IP"} }, "product-promise": { "all": "all", "testedAndGuaranteed": "tested", "guaranteed": "expected", "predicted": "predicted", "notRecommended": "not-recommended" } }, "values": { "Human": { "ICCIF-species-checked": "testedAndGuaranteed", "ICCIF-species-dilution-info": "", "ICCIF-species-notes": "<p></p>", "IHCP-species-checked": "testedAndGuaranteed", "IHCP-species-dilution-info": "", "IHCP-species-notes": "<p></p>", "WB-species-checked": "notRecommended", "WB-species-dilution-info": "", "WB-species-notes": "<p></p>", "FlowCytIntra-species-checked": "notRecommended", "FlowCytIntra-species-dilution-info": "", "FlowCytIntra-species-notes": "<p></p>", "IP-species-checked": "notRecommended", "IP-species-dilution-info": "", "IP-species-notes": "<p></p>" }, "Mouse": { "ICCIF-species-checked": "notRecommended", "ICCIF-species-dilution-info": "", "ICCIF-species-notes": "", "IHCP-species-checked": "notRecommended", "IHCP-species-dilution-info": "", "IHCP-species-notes": "<p></p>", "WB-species-checked": "notRecommended", "WB-species-dilution-info": "", "WB-species-notes": "<p></p>", "FlowCytIntra-species-checked": "notRecommended", "FlowCytIntra-species-dilution-info": "", "FlowCytIntra-species-notes": "", "IP-species-checked": "notRecommended", "IP-species-dilution-info": "", "IP-species-notes": "" }, "Rat": { "ICCIF-species-checked": "notRecommended", "ICCIF-species-dilution-info": "", "ICCIF-species-notes": "", "IHCP-species-checked": "notRecommended", "IHCP-species-dilution-info": "", "IHCP-species-notes": "<p></p>", "WB-species-checked": "notRecommended", "WB-species-dilution-info": "", "WB-species-notes": "<p></p>", "FlowCytIntra-species-checked": "notRecommended", "FlowCytIntra-species-dilution-info": "", "FlowCytIntra-species-notes": "", "IP-species-checked": "notRecommended", "IP-species-dilution-info": "", "IP-species-notes": "" } } }

Product details

ab279343 is the carrier-free version of ab279338.

Patented technology
Our RabMAb® technology is a patented hybridoma-based technology for making rabbit monoclonal antibodies. For details on our patents, please refer to RabMAb® patents.

What are the advantages of a recombinant monoclonal antibody?
This product is a recombinant monoclonal antibody, which offers several advantages including:

  • - High batch-to-batch consistency and reproducibility
  • - Improved sensitivity and specificity
  • - Long-term security of supply
  • - Animal-free batch production

For more information, read more on recombinant antibodies.

Conjugation ready
Our carrier-free antibodies are typically supplied in a PBS-only formulation, purified and free of BSA, sodium azide and glycerol. This conjugation-ready format is designed for use with fluorochromes, metal isotopes, oligonucleotides, and enzymes, which makes them ideal for antibody labelling, functional and cell-based assays, flow-based assays (e.g. mass cytometry) and Multiplex Imaging applications.

Use our conjugation kits for antibody conjugates that are ready-to-use in as little as 20 minutes with 1 minute hands-on-time and 100% antibody recovery: available for fluorescent dyes, HRP, biotin and gold.

Compatibility
This product is compatible with the Maxpar® Antibody Labeling Kit from Fluidigm, without the need for antibody preparation. Maxpar® is a trademark of Fluidigm Canada Inc.

Properties and storage information

Form
Liquid
Purification technique
Affinity purification Protein A
Storage buffer
Constituents: 100% PBS
Shipped at conditions
Blue Ice
Appropriate short-term storage conditions
+4°C
Appropriate long-term storage conditions
+4°C

Supplementary information

This supplementary information is collated from multiple sources and compiled automatically.

Pro-Collagen III alpha 1 also known as collagen III is a precursor to type III collagen. It has a molecular mass of approximately 139 kDa. This protein predominantly occurs in tissues like skin lung intestine and the vascular system where it plays a mechanical role by contributing to the structural integrity and mechanical properties of these organs. The synthesize beings in the fibroblasts and procollagen undergoes a series of post-translational modifications before it secreted into the extracellular matrix.
Biological function summary

This precursor form of collagen functions as part of the collagen formation process. As a component of the extracellular matrix it interacts with various components like glycosaminoglycans and elastin helping maintain elasticity and strength. Pro-collagen III is not a part of oligomeric complexes but rather after processing joins the fibrillar collagens to support tissue structure and repair.

Pathways

Pro-Collagen III alpha 1 plays a role in the processes of collagen biosynthesis and fibroblast growth signaling. It participates in the extracellular matrix organization pathway where it influences cellular adhesion migration and differentiation. This protein is related to other proteins such as collagen I and fibronectin through these pathways highlighting its importance in tissue integrity and wound healing.

The overproduction or dysfunction of Pro-Collagen III alpha 1 or its matured form collagen III often relates to fibrotic diseases and vascular conditions like Ehlers-Danlos syndrome. It interacts with collagen I in these scenarios which together can impact the phenotype of affected tissues leading to abnormalities in skin elasticity and cardiovascular complications. Understanding its role in these diseases helps in targeted therapies and potential treatment strategies.

Product protocols

For this product, it's our understanding that no specific protocols are required. You can visit:

Target data

Collagen type III occurs in most soft connective tissues along with type I collagen. Involved in regulation of cortical development. Is the major ligand of ADGRG1 in the developing brain and binding to ADGRG1 inhibits neuronal migration and activates the RhoA pathway by coupling ADGRG1 to GNA13 and possibly GNA12.
See full target information COL3A1

Product promise

We are committed to supporting your work with high-quality reagents, and we're here for you every step of the way. In the unlikely event that one of our products does not perform as expected, you're protected by our Product Promise.
For full details, please see our Terms & Conditions

Please note: All products are 'FOR RESEARCH USE ONLY. NOT FOR USE IN DIAGNOSTIC OR THERAPEUTIC PROCEDURES'.

For licensing inquiries, please contact partnerships@abcam.com