JavaScript is disabled in your browser. Please enable JavaScript to view this website.
AB278080

Anti-Pro-Collagen III alpha 1 antibody [EPR24257-57]

Be the first to review this product! Submit a review

|

(2 Publications)

Rabbit Recombinant Monoclonal Collagen III antibody. Suitable for IHC-Fr, IHC-P and reacts with Rat, Mouse samples. Cited in 2 publications.

View Alternative Names

Collagen alpha-1(III) chain, Col3a1

4 Images
Immunohistochemistry (Frozen sections) - Anti-Pro-Collagen III alpha 1 antibody [EPR24257-57] (AB278080)
  • IHC-Fr

Supplier Data

Immunohistochemistry (Frozen sections) - Anti-Pro-Collagen III alpha 1 antibody [EPR24257-57] (AB278080)

Immunohistochemical analysis of 4% PFA-fixed, 0.2% Triton X-100 permeabilized frozen rat cardiac muscle tissue labeling Pro-Collagen III alpha 1 with ab278080 at 1/250 (2.024 μg/ml) dilution followed by ab150077 Goat Anti-Rabbit IgG H&L (Alexa Fluor® 488) at 1/1000 dilution (Green). Positive staining on rat cardiac muscle is observed. The nuclear counterstain was DAPI (Blue).

Secondary antibody control : Secondary antibody is ab150077 Goat Anti-Rabbit IgG H&L (Alexa Fluor® 488) at 1/1000 dilution.

Heat mediated antigen retrieval using sodium citrate buffer (10mM citrate pH 6.0 + 0.05% Tween-20).

Immunohistochemistry (Formalin/PFA-fixed paraffin-embedded sections) - Anti-Pro-Collagen III alpha 1 antibody [EPR24257-57] (AB278080)
  • IHC-P

Supplier Data

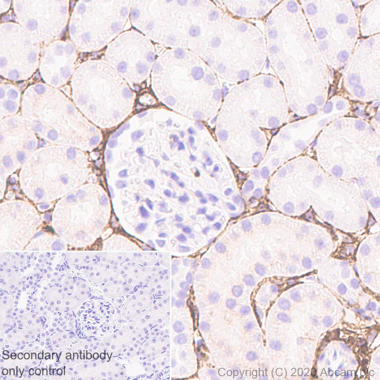
Immunohistochemistry (Formalin/PFA-fixed paraffin-embedded sections) - Anti-Pro-Collagen III alpha 1 antibody [EPR24257-57] (AB278080)

Immunohistochemical analysis of paraffin-embedded rat kidney tissue labeling Pro-Collagen III alpha 1 with ab278080 at 1/2000 (0.253 μg/ml) dilution followed by ready to use Rabbit specific IHC polymer detection kit HRP/DAB (ab209101). Positive staining on stromal cells of rat kidney. The section was incubated with ab278080 for 30 mins at room temperature. The immunostaining was performed on a Leica Biosystems BOND® RX instrument. Counterstained with Hematoxylin.

Secondary antibody only control : Secondary antibody is ready to use Rabbit specific IHC polymer detection kit HRP/DAB (ab209101).

Heat mediated antigen retrieval with Tris-EDTA buffer (pH 9.0, epitope retrieval solution2) for 20 mins.

Immunohistochemistry (Frozen sections) - Anti-Pro-Collagen III alpha 1 antibody [EPR24257-57] (AB278080)
  • IHC-Fr

Supplier Data

Immunohistochemistry (Frozen sections) - Anti-Pro-Collagen III alpha 1 antibody [EPR24257-57] (AB278080)

Immunohistochemical analysis of 4% PFA-fixed, 0.2% Triton X-100 permeabilized frozen mouse cardiac muscle tissue labeling Pro-Collagen III alpha 1 with ab278080 at 1/250 (2.024 μg/ml) dilution followed by ab150077 Goat Anti-Rabbit IgG H&L (Alexa Fluor® 488) at 1/1000 dilution (Green). Positive staining on mouse cardiac muscle is observed. The nuclear counterstain was DAPI (Blue).

Secondary antibody control : Secondary antibody is ab150077 Goat Anti-Rabbit IgG H&L (Alexa Fluor® 488) at 1/1000 dilution.

Heat mediated antigen retrieval using sodium citrate buffer (10mM citrate pH 6.0 + 0.05% Tween-20).

Immunohistochemistry (Formalin/PFA-fixed paraffin-embedded sections) - Anti-Pro-Collagen III alpha 1 antibody [EPR24257-57] (AB278080)
  • IHC-P

Supplier Data

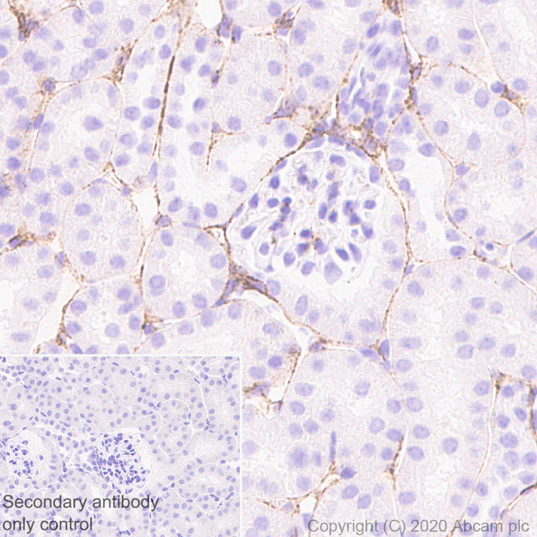
Immunohistochemistry (Formalin/PFA-fixed paraffin-embedded sections) - Anti-Pro-Collagen III alpha 1 antibody [EPR24257-57] (AB278080)

Immunohistochemical analysis of paraffin-embedded mouse kidney tissue labeling Pro-Collagen III alpha 1 with ab278080 at 1/2000 (0.253 μg/ml) dilution followed by ready to use Rabbit specific IHC polymer detection kit HRP/DAB (ab209101). Positive staining on stromal cells of mouse kidney. The section was incubated with ab278080 for 30 mins at room temperature. The immunostaining was performed on a Leica Biosystems BOND® RX instrument. Counterstained with Hematoxylin.

Secondary antibody only control : Secondary antibody is ready to use Rabbit specific IHC polymer detection kit HRP/DAB (ab209101).

Heat mediated antigen retrieval with Tris-EDTA buffer (pH 9.0, epitope retrieval solution2) for 20 mins.

Key facts

Host species

Rabbit

Clonality

Monoclonal

Clone number

EPR24257-57

Isotype

IgG

Carrier free

No

Reacts with

Mouse, Rat

Applications

IHC-P, IHC-Fr

applications

Immunogen

The exact immunogen used to generate this antibody is proprietary information.

Specificity

This antibody recognizes Pro-Collagen III alpha 1.

Reactivity data

{ "title": "Reactivity Data", "filters": { "stats": ["", "Species", "Dilution Info", "Notes"], "tabs": { "all-applications": {"fullname" : "All Applications", "shortname": "All Applications"}, "IHCFr" : {"fullname" : "Immunohistochemistry (Frozen sections)", "shortname":"IHC-Fr"}, "WB" : {"fullname" : "Western blot", "shortname":"WB"}, "ICCIF" : {"fullname" : "Immunocytochemistry/ Immunofluorescence", "shortname":"ICC/IF"}, "FlowCyt" : {"fullname" : "Flow Cytometry", "shortname":"Flow Cyt"}, "IP" : {"fullname" : "Immunoprecipitation", "shortname":"IP"}, "IHCP" : {"fullname" : "Immunohistochemistry (Formalin/PFA-fixed paraffin-embedded sections)", "shortname":"IHC-P"} }, "product-promise": { "all": "all", "testedAndGuaranteed": "tested", "guaranteed": "expected", "predicted": "predicted", "notRecommended": "not-recommended" } }, "values": { "Human": { "IHCFr-species-checked": "notRecommended", "IHCFr-species-dilution-info": "", "IHCFr-species-notes": "", "WB-species-checked": "notRecommended", "WB-species-dilution-info": "", "WB-species-notes": "<p></p>", "ICCIF-species-checked": "notRecommended", "ICCIF-species-dilution-info": "", "ICCIF-species-notes": "", "FlowCyt-species-checked": "notRecommended", "FlowCyt-species-dilution-info": "", "FlowCyt-species-notes": "", "IP-species-checked": "notRecommended", "IP-species-dilution-info": "", "IP-species-notes": "", "IHCP-species-checked": "notRecommended", "IHCP-species-dilution-info": "1/2000", "IHCP-species-notes": "<p></p>" }, "Mouse": { "IHCFr-species-checked": "testedAndGuaranteed", "IHCFr-species-dilution-info": "1/250", "IHCFr-species-notes": "<p>Heat mediated antigen retrieval using sodium citrate buffer (10mM citrate pH 6.0 + 0.05% Tween-20).</p>", "WB-species-checked": "notRecommended", "WB-species-dilution-info": "", "WB-species-notes": "<p></p>", "ICCIF-species-checked": "notRecommended", "ICCIF-species-dilution-info": "", "ICCIF-species-notes": "<p></p>", "FlowCyt-species-checked": "notRecommended", "FlowCyt-species-dilution-info": "", "FlowCyt-species-notes": "<p></p>", "IP-species-checked": "notRecommended", "IP-species-dilution-info": "", "IP-species-notes": "<p></p>", "IHCP-species-checked": "testedAndGuaranteed", "IHCP-species-dilution-info": "1/2000", "IHCP-species-notes": "<p></p>" }, "Rat": { "IHCFr-species-checked": "testedAndGuaranteed", "IHCFr-species-dilution-info": "1/250", "IHCFr-species-notes": "<p>Heat mediated antigen retrieval using sodium citrate buffer (10mM citrate pH 6.0 + 0.05% Tween-20).</p>", "WB-species-checked": "notRecommended", "WB-species-dilution-info": "", "WB-species-notes": "<p></p>", "ICCIF-species-checked": "notRecommended", "ICCIF-species-dilution-info": "", "ICCIF-species-notes": "<p></p>", "FlowCyt-species-checked": "notRecommended", "FlowCyt-species-dilution-info": "", "FlowCyt-species-notes": "", "IP-species-checked": "notRecommended", "IP-species-dilution-info": "", "IP-species-notes": "", "IHCP-species-checked": "testedAndGuaranteed", "IHCP-species-dilution-info": "1/2000", "IHCP-species-notes": "<p></p>" } } }

Product details

This antibody recognizes Pro-Collagen III alpha 1.

Patented technology
Our RabMAb® technology is a patented hybridoma-based technology for making rabbit monoclonal antibodies. For details on our patents, please refer to RabMAb® patents.

What are the advantages of a recombinant monoclonal antibody?
This product is a recombinant monoclonal antibody, which offers several advantages including:

  • - High batch-to-batch consistency and reproducibility
  • - Improved sensitivity and specificity
  • - Long-term security of supply
  • - Animal-free batch production

For more information, read more on recombinant antibodies.

Properties and storage information

Form
Liquid
Purification technique
Affinity purification Protein A
Storage buffer
pH: 7.2 - 7.4 Preservative: 0.01% Sodium azide Constituents: PBS, 40% Glycerol (glycerin, glycerine), 0.05% BSA
Shipped at conditions
Blue Ice
Appropriate short-term storage duration
1-2 weeks
Appropriate short-term storage conditions
+4°C
Appropriate long-term storage conditions
-20°C
Aliquoting information
Upon delivery aliquot
Storage information
Avoid freeze / thaw cycle

Supplementary information

This supplementary information is collated from multiple sources and compiled automatically.

Pro-Collagen III alpha 1 also known as collagen III is a precursor to type III collagen. It has a molecular mass of approximately 139 kDa. This protein predominantly occurs in tissues like skin lung intestine and the vascular system where it plays a mechanical role by contributing to the structural integrity and mechanical properties of these organs. The synthesize beings in the fibroblasts and procollagen undergoes a series of post-translational modifications before it secreted into the extracellular matrix.
Biological function summary

This precursor form of collagen functions as part of the collagen formation process. As a component of the extracellular matrix it interacts with various components like glycosaminoglycans and elastin helping maintain elasticity and strength. Pro-collagen III is not a part of oligomeric complexes but rather after processing joins the fibrillar collagens to support tissue structure and repair.

Pathways

Pro-Collagen III alpha 1 plays a role in the processes of collagen biosynthesis and fibroblast growth signaling. It participates in the extracellular matrix organization pathway where it influences cellular adhesion migration and differentiation. This protein is related to other proteins such as collagen I and fibronectin through these pathways highlighting its importance in tissue integrity and wound healing.

The overproduction or dysfunction of Pro-Collagen III alpha 1 or its matured form collagen III often relates to fibrotic diseases and vascular conditions like Ehlers-Danlos syndrome. It interacts with collagen I in these scenarios which together can impact the phenotype of affected tissues leading to abnormalities in skin elasticity and cardiovascular complications. Understanding its role in these diseases helps in targeted therapies and potential treatment strategies.

Product protocols

For this product, it's our understanding that no specific protocols are required. You can visit:

Target data

Collagen type III occurs in most soft connective tissues along with type I collagen. Involved in regulation of cortical development. Is the major ligand of ADGRG1 in the developing brain and binding to ADGRG1 inhibits neuronal migration and activates the RhoA pathway by coupling ADGRG1 to GNA13 and possibly GNA12.
See full target information Collagen alpha-1(III) chain

Publications (2)

Recent publications for all applications. Explore the full list and refine your search

Clinical and experimental pharmacology & physiology 51:e13913 PubMed39103233

2024

Down-regulation of CYTL1 attenuates bleomycin-induced pulmonary fibrosis in mice by inhibiting M2 macrophage polarization via the TGF-β/CCN2 axis.

Applications

Unspecified application

Species

Unspecified reactive species

Yan Wang,Chenxi Liu,Yi Xie,Xiaomei Li

Disease models & mechanisms 16: PubMed37283037

2023

Lack of expression of miR-29a/b1 impairs bladder function in male mice.

Applications

Unspecified application

Species

Unspecified reactive species

Zunyi Wang,Robert Spitz,Chad Vezina,Jianghui Hou,Dale E Bjorling
View all publications

Product promise

We are committed to supporting your work with high-quality reagents, and we're here for you every step of the way. In the unlikely event that one of our products does not perform as expected, you're protected by our Product Promise.
For full details, please see our Terms & Conditions

Please note: All products are 'FOR RESEARCH USE ONLY. NOT FOR USE IN DIAGNOSTIC OR THERAPEUTIC PROCEDURES'.

For licensing inquiries, please contact partnerships@abcam.com