JavaScript is disabled in your browser. Please enable JavaScript to view this website.
AB252821

Anti-Procalcitonin antibody [4A6]

Be the first to review this product! Submit a review

|

(2 Publications)

Rat Recombinant Monoclonal Calcitonin antibody. Suitable for ICC/IF, IHC-P and reacts with Human samples. Cited in 2 publications.

View Alternative Names

CALC1, CALCA, Calcitonin

4 Images
Immunohistochemistry (Formalin/PFA-fixed paraffin-embedded sections) - Anti-Procalcitonin antibody [4A6] (AB252821)
  • IHC-P

Unknown

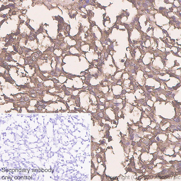
Immunohistochemistry (Formalin/PFA-fixed paraffin-embedded sections) - Anti-Procalcitonin antibody [4A6] (AB252821)

Immunohistochemical analysis of paraffin-embedded human thyroid medullary carcinoma tissue labeling Procalcitonin with ab252821 at 1/1000 dilution followed by a ready to use Goat Anti-rat IgG H&L (HRP polymer) (ab214882). Positive staining on human thyroid medullary carcinoma. The section was incubated with ab252821 for 30 mins at room temperature. The immunostaining was performed on a Leica Biosystems BOND® RX instrument. Counterstained with Hematoxylin.

Secondary antibody only control : Secondary antibody is a ready to use Goat Anti-rat IgG H&L (HRP polymer) (ab214882).

Heat mediated antigen retrieval with Tris-EDTA buffer (pH 9.0, epitope retrieval solution2) for 20 mins.

Immunohistochemistry (Formalin/PFA-fixed paraffin-embedded sections) - Anti-Procalcitonin antibody [4A6] (AB252821)
  • IHC-P

Unknown

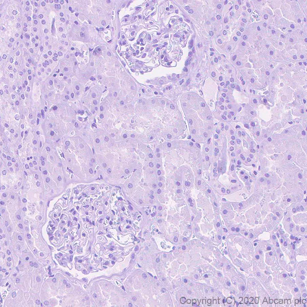
Immunohistochemistry (Formalin/PFA-fixed paraffin-embedded sections) - Anti-Procalcitonin antibody [4A6] (AB252821)

Immunohistochemical analysis of paraffin-embedded human kidney tissue labeling Procalcitonin with ab252821 at 1/100 dilution followed by a ready to use Goat Anti-rat IgG H&L (HRP polymer) (ab214882).

Negative control : No staining on human kidney.

The section was incubated with ab252821 for 30 mins at room temperature. The immunostaining was performed on a Leica Biosystems BOND® RX instrument. Counterstained with Hematoxylin.

Secondary antibody only control : Secondary antibody is a ready to use Goat Anti-rat IgG H&L (HRP polymer) (ab214882).

Heat mediated antigen retrieval with Tris-EDTA buffer (pH 9.0, epitope retrieval solution2) for 20 mins.

Immunohistochemistry (Formalin/PFA-fixed paraffin-embedded sections) - Anti-Procalcitonin antibody [4A6] (AB252821)
  • IHC-P

Unknown

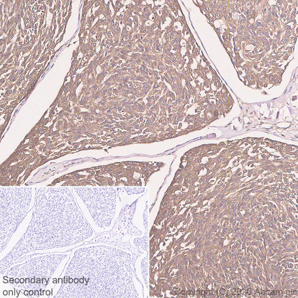
Immunohistochemistry (Formalin/PFA-fixed paraffin-embedded sections) - Anti-Procalcitonin antibody [4A6] (AB252821)

Immunohistochemical analysis of paraffin-embedded human follicular adenocarcinoma of thyroid tissue labeling Procalcitonin with ab252821 at 1/1000 dilution followed by a ready to use Goat Anti-rat IgG H&L (HRP polymer) (ab214882). Positive staining on human follicular adenocarcinoma of thyroid. The section was incubated with ab252821 for 30 mins at room temperature. The immunostaining was performed on a Leica Biosystems BOND® RX instrument. Counterstained with Hematoxylin.

Secondary antibody only control : Secondary antibody is a ready to use Goat Anti-rat IgG H&L (HRP polymer) (ab214882).

Heat mediated antigen retrieval with Tris-EDTA buffer (pH 9.0, epitope retrieval solution2) for 20 mins.

Immunocytochemistry/ Immunofluorescence - Anti-Procalcitonin antibody [4A6] (AB252821)
  • ICC/IF

Unknown

Immunocytochemistry/ Immunofluorescence - Anti-Procalcitonin antibody [4A6] (AB252821)

Immunofluorescent analysis of 4% Paraformaldehyde-fixed, 0.1% TritonX-100 permeabilized TT cells labelling Procalcitonin with ab252821 at 1/500 dilution, followed by ab150157 Goat Anti-rat IgG H&L (Alexa Fluor® 488) antibody at 1/1000 dilution (Green). Confocal image showing cytoplasmic staining in TT cells. ab179513 Anti-beta Tubulin rabbit monoclonal antibody was used to counterstain tubulin at 1/500 dilution (Red). The nuclear counterstain was DAPI (Blue).

Secondary antibody only control : Secondary antibody is ab150157 Goat Anti-rat IgG H&L (Alexa Fluor® 488) at 1/1000 dilution.

  • Carrier free

    Anti-Procalcitonin antibody [4A6] - BSA and Azide free

Key facts

Host species

Rat

Clonality

Monoclonal

Clone number

4A6

Isotype

IgG2a

Carrier free

No

Reacts with

Human

Applications

IHC-P, ICC/IF

applications

Immunogen

The exact immunogen used to generate this antibody is proprietary information.

Reactivity data

{ "title": "Reactivity Data", "filters": { "stats": ["", "Species", "Dilution Info", "Notes"], "tabs": { "all-applications": {"fullname" : "All Applications", "shortname": "All Applications"}, "ICCIF" : {"fullname" : "Immunocytochemistry/ Immunofluorescence", "shortname":"ICC/IF"}, "IHCP" : {"fullname" : "Immunohistochemistry (Formalin/PFA-fixed paraffin-embedded sections)", "shortname":"IHC-P"} }, "product-promise": { "all": "all", "testedAndGuaranteed": "tested", "guaranteed": "expected", "predicted": "predicted", "notRecommended": "not-recommended" } }, "values": { "Human": { "ICCIF-species-checked": "testedAndGuaranteed", "ICCIF-species-dilution-info": "1/500", "ICCIF-species-notes": "<p></p>", "IHCP-species-checked": "testedAndGuaranteed", "IHCP-species-dilution-info": "1/100", "IHCP-species-notes": "<p></p>" } } }

Product details

What are the advantages of a recombinant monoclonal antibody?
This product is a recombinant monoclonal antibody, which offers several advantages including:

  • - High batch-to-batch consistency and reproducibility
  • - Improved sensitivity and specificity
  • - Long-term security of supply
  • - Animal-free batch production

For more information, read more on recombinant antibodies.

Want a custom formulation?
This antibody clone is manufactured by Abcam. If you require a custom buffer formulation or conjugation for your experiments, please contact orders@abcam.com

Properties and storage information

Form
Liquid
Purification technique
Ion exchange chromatography
Storage buffer
pH: 7.2 - 7.4 Preservative: 0.01% Sodium azide Constituents: PBS, 40% Glycerol (glycerin, glycerine), 0.05% BSA
Shipped at conditions
Blue Ice
Appropriate short-term storage duration
1-2 weeks
Appropriate short-term storage conditions
+4°C
Appropriate long-term storage conditions
-20°C
Aliquoting information
Upon delivery aliquot
Storage information
Avoid freeze / thaw cycle

Supplementary information

This supplementary information is collated from multiple sources and compiled automatically.

Procalcitonin also known as PCT is a protein precursor of the hormone calcitonin. It has a molecular mass of about 13 kilodaltons. Procalcitonin is expressed in the thyroid gland typically but can also be produced in other tissues like the liver and kidney during inflammation or sepsis. It gets increasingly produced in response to bacterial infections making it a significant marker for conditions involving systemic inflammation.
Biological function summary

The function of procalcitonin is related to its precursor status for calcitonin which helps regulate calcium homeostasis. During infections PCT levels rise without its cleavage into active calcitonin indicating that its biological role extends beyond calcium regulation. It does not form part of any larger protein complex in its marker role. When released in response to bacterial infections procalcitonin serves as an indicator for the severity of the infection which is particularly useful in distinguishing bacterial from viral infections.

Pathways

Procalcitonin gets involved in the immune response pathway primarily due to its expression during bacterial infections. An important pathway is the inflammatory response where procalcitonin production gets triggered serving as a mediator in immune system activation. It is related to cytokines in the immune response which elevated PCT can represent indirectly indicating the presence and level of infection-driven inflammation.

Procalcitonin levels are used significantly in diagnosing and managing sepsis and bacterial infections. Procalcitonin concentrations rise sharply in a bacterial systemic infection and help differentiate it from viral infections an important diagnostic criterion. Additionally in sepsis another important protein involved is C-reactive protein (CRP) often used alongside PCT as a biomarker for inflammatory states in the body. This relationship underlines the importance of PCT in managing infectious diseases through targeted diagnostic pathways.

Product protocols

For this product, it's our understanding that no specific protocols are required. You can visit:

Target data

Calcitonin. Calcitonin is a peptide hormone that causes a rapid but short-lived drop in the level of calcium and phosphate in blood by promoting the incorporation of those ions in the bones. Calcitonin function is mediated by the calcitonin receptor/CALCR and the CALCR-RAMP2 (AMYR2) receptor complex (PubMed : 35324283).. Katacalcin. Katacalcin is a potent plasma calcium-lowering peptide.
See full target information CALCA

Publications (2)

Recent publications for all applications. Explore the full list and refine your search

Current protocols 4:e1030 PubMed38923763

2024

Applications of Surface Plasmon Resonance (SPR) to the Study of Diverse Protein-Ligand Interactions.

Applications

Unspecified application

Species

Unspecified reactive species

Dana M Burris,Samuel W Gillespie,Emma Joy Campbell,S Nick Ice,Vikas Yadav,William D Picking,Christian L Lorson,Kamal Singh

Analytical and bioanalytical chemistry 402:989-95 PubMed22006244

2011

A new strategy for the development of monoclonal antibodies for the determination of human procalcitonin in serum samples.

Applications

Unspecified application

Species

Unspecified reactive species

Elisabeth Kremmer,Kathleen Meyer,Friedrich A Grässer,Andrew Flatley,Miwako Kösters,Peter B Luppa,Petra M Krämer
View all publications

Product promise

We are committed to supporting your work with high-quality reagents, and we're here for you every step of the way. In the unlikely event that one of our products does not perform as expected, you're protected by our Product Promise.
For full details, please see our Terms & Conditions

Please note: All products are 'FOR RESEARCH USE ONLY. NOT FOR USE IN DIAGNOSTIC OR THERAPEUTIC PROCEDURES'.

For licensing inquiries, please contact partnerships@abcam.com