JavaScript is disabled in your browser. Please enable JavaScript to view this website.
AB282287

Anti-ProCathepsin B antibody [EPR24353-25] - BSA and Azide free

  • BOND RX™ Validated
  • RabMAb
  • Recombinant
  • KO Validated
  • What is this?

Be the first to review this product! Submit a review

|

(0 Publication)

Rabbit Recombinant Monoclonal Cathepsin B antibody. Carrier free. Suitable for Flow Cyt (Intra), WB, IHC-P and reacts with Mouse, Human, Rat samples.

View Alternative Names

CPSB, CTSB, Cathepsin B, APP secretase, Cathepsin B1, APPS

10 Images
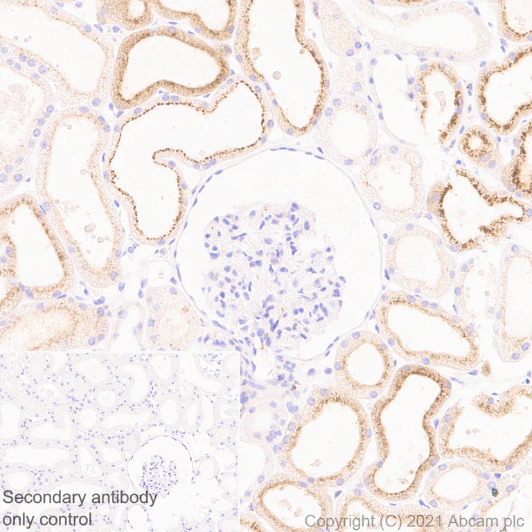
Immunohistochemistry (Formalin/PFA-fixed paraffin-embedded sections) - Anti-ProCathepsin B antibody [EPR24353-25] - BSA and Azide free (AB282287)
  • IHC-P

Supplier Data

Immunohistochemistry (Formalin/PFA-fixed paraffin-embedded sections) - Anti-ProCathepsin B antibody [EPR24353-25] - BSA and Azide free (AB282287)

This data was developed using ab270998, the same antibody clone in a different buffer formulation.

Immunohistochemical analysis of paraffin-embedded Human kidney tissue labelling ProCathepsin B with ab270998 at 1/1000 (0.456 μg/mL) dilution, followed by a ready to use LeicaDS9800 (Bond™ Polymer Refine Detection) was used. Punctate cytoplasmic staining in human kidney. The section was incubated with ab270998 for 30 mins at room temperature. The immunostaining was performed on a Leica Biosystems BOND® RX instrument Counterstained with Hematoxylin.

Secondary antibody only control : Secondary antibody is a ready to use LeicaDS9800 (Bond™ Polymer Refine Detection) was used.

Heat mediated antigen retrieval with Tris-EDTA buffer (pH 9.0, epitope retrieval solution2) for 20 mins.

Immunohistochemistry (Formalin/PFA-fixed paraffin-embedded sections) - Anti-ProCathepsin B antibody [EPR24353-25] - BSA and Azide free (AB282287)
  • IHC-P

Supplier Data

Immunohistochemistry (Formalin/PFA-fixed paraffin-embedded sections) - Anti-ProCathepsin B antibody [EPR24353-25] - BSA and Azide free (AB282287)

This data was developed using ab270998, the same antibody clone in a different buffer formulation.

Immunohistochemical analysis of paraffin-embedded Human gastric adenocarcinoma tissue labelling ProCathepsin B with ab270998 at 1/1000 (0.456 μg/mL) dilution, followed by a ready to use LeicaDS9800 (Bond™ Polymer Refine Detection) was used. Positive staining on human gastric adenocarcinoma. The section was incubated with ab270998 for 30 mins at room temperature. The immunostaining was performed on a Leica Biosystems BOND® RX instrument Counterstained with Hematoxylin.

Secondary antibody only control : Secondary antibody is a ready to use LeicaDS9800 (Bond™ Polymer Refine Detection) was used.

Heat mediated antigen retrieval with Tris-EDTA buffer (pH 9.0, epitope retrieval solution2) for 20 mins.

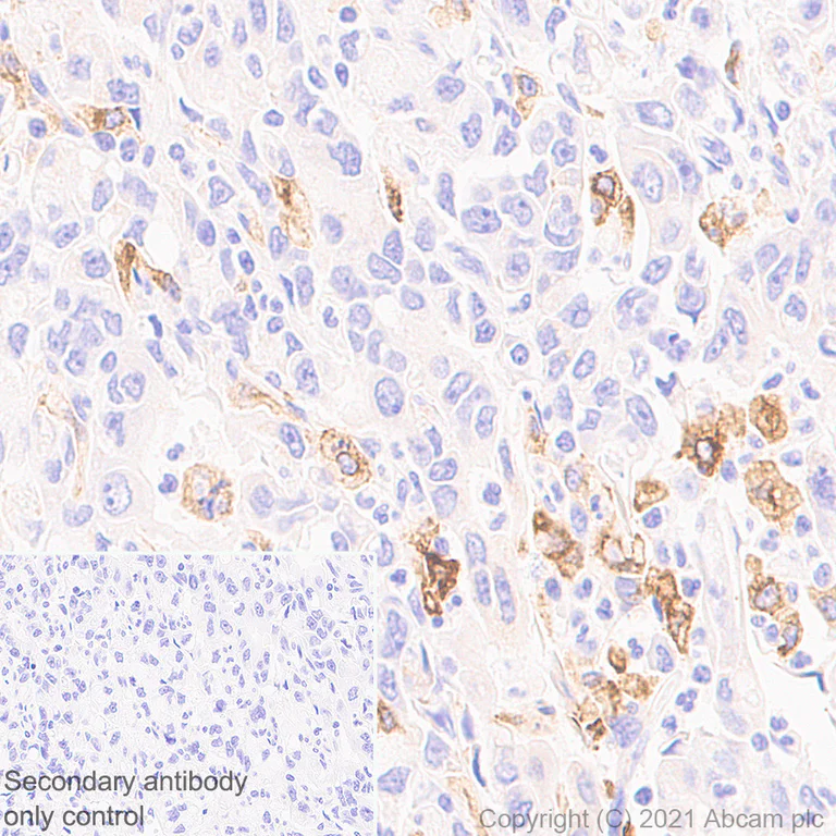
Immunohistochemistry (Formalin/PFA-fixed paraffin-embedded sections) - Anti-ProCathepsin B antibody [EPR24353-25] - BSA and Azide free (AB282287)
  • IHC-P

Supplier Data

Immunohistochemistry (Formalin/PFA-fixed paraffin-embedded sections) - Anti-ProCathepsin B antibody [EPR24353-25] - BSA and Azide free (AB282287)

This data was developed using ab270998, the same antibody clone in a different buffer formulation.

Immunohistochemical analysis of paraffin-embedded Human cervical carcinoma tissue labelling ProCathepsin B with ab270998 at 1/1000 (0.456 μg/mL) dilution, followed by a ready to use LeicaDS9800 (Bond™ Polymer Refine Detection) was used. Positive staining in human cervical carcinoma. The section was incubated with ab270998 for 30 mins at room temperature. The immunostaining was performed on a Leica Biosystems BOND® RX instrument Counterstained with Hematoxylin.

Secondary antibody only control : Secondary antibody is a ready to use LeicaDS9800 (Bond™ Polymer Refine Detection) was used.

Heat mediated antigen retrieval with Tris-EDTA buffer (pH 9.0, epitope retrieval solution2) for 20 mins.

Flow Cytometry (Intracellular) - Anti-ProCathepsin B antibody [EPR24353-25] - BSA and Azide free (AB282287)
  • Flow Cyt (Intra)

Supplier Data

Flow Cytometry (Intracellular) - Anti-ProCathepsin B antibody [EPR24353-25] - BSA and Azide free (AB282287)

This data was developed using ab270998, the same antibody clone in a different buffer formulation.

Flow cytometric analysis of 4% paraformaldehyde fixed 90% methanol permeabilized J774A.1 (Mouse reticulum cell sarcoma monocyte macrophage) cells labelling ProCathepsin B with ab270998 at 1/500 dilution (0.1μg)/ (Red) compared with a Rabbit monoclonal IgG (ab172730) (Black) isotype control and an unlabelled control (cells without incubation with primary antibody and secondary antibody) (Blue). A Goat anti rabbit IgG (Alexa Fluor® 488, ab150077) at 1/2000 dilution was used as the secondary antibody.

Western blot - Anti-ProCathepsin B antibody [EPR24353-25] - BSA and Azide free (AB282287)
  • WB

Collaborator

Western blot - Anti-ProCathepsin B antibody [EPR24353-25] - BSA and Azide free (AB282287)

This data was developed using ab270998, the same antibody clone in a different buffer formulation.

ab270998 was shown to react with CTSB in wild-type HAP1 cells in Western blot with loss of signal observed in a CTSB knockout cell line. Wild-type HAP1 and CTSB knockout cell lysates were subjected to SDS-PAGE. Membranes were blocked in 5% milk in TBST for 1 hr before incubation with ab270998 overnight at 4 °C at a 1/100 dilution. Blots were incubated with secondary antibodies at 0.2 µg/mL before imaging.

This data was provided by YCharOS Inc., an open science company with the mission of characterizing commercially available antibody reagents for all human proteins. Abcam and YCharOS are working together to help address the reproducibility crisis by enabling the life science community to better evaluate commercially available antibodies.

All lanes:

Western blot - Anti-ProCathepsin B antibody [EPR24353-25] (<a href='/en-us/products/primary-antibodies/procathepsin-b-antibody-epr24353-25-ab270998'>ab270998</a>) at 1/100 dilution

Lane 1:

Wild-type HAP1 cell lysate at 30 µg

Lane 2:

CTSB knockout cell lysates at 30 µg

false

Flow Cytometry (Intracellular) - Anti-ProCathepsin B antibody [EPR24353-25] - BSA and Azide free (AB282287)
  • Flow Cyt (Intra)

Supplier Data

Flow Cytometry (Intracellular) - Anti-ProCathepsin B antibody [EPR24353-25] - BSA and Azide free (AB282287)

This data was developed using ab270998, the same antibody clone in a different buffer formulation.

Flow cytometric analysis of 4% paraformaldehyde fixed 90% methanol permeabilized Daudi (Human Burkitt's lymphoma lymphoblast, Left)/ SK-MEL-28 (Human malignant melanoma, Right) cells labelling ProCathepsin B with ab270998 at 1/500 dilution (0.1μg)/ (Red) compared with a Rabbit monoclonal IgG (ab172730) (Black) isotype control and an unlabelled control (cells without incubation with primary antibody and secondary antibody) (Blue). A Goat anti rabbit IgG (Alexa Fluor® 488, ab150077) at 1/2000 dilution was used as the secondary antibody. Negative control : Daudi.

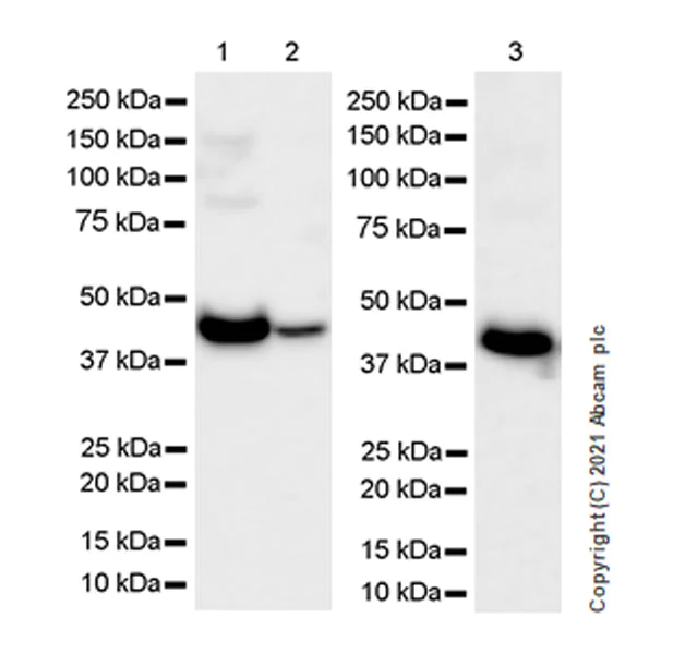
Western blot - Anti-ProCathepsin B antibody [EPR24353-25] - BSA and Azide free (AB282287)
  • WB

Lab

Western blot - Anti-ProCathepsin B antibody [EPR24353-25] - BSA and Azide free (AB282287)

This data was developed using ab270998, the same antibody clone in a different buffer formulation.

Blocking and diluting buffer and concentration : 5% NFDM/TBST. Lanes 1-5 : Merged signal (red and green). Green - ab270998 observed at 43 kDa. Red - loading control ab7291 observed at 50 kDa.

ab270998 Anti-ProCathepsin B antibody [EPR24353-25] was shown to specifically react with ProCathepsin B in wild-type HAP1 cells. Loss of signal was observed when knockout cell line was used. Wild-type and Cathepsin B knockout samples were subjected to SDS-PAGE. ab270998 and Anti-alpha Tubulin antibody [DM1A] - Loading Control (ab7291) were incubated at room temperature for 2. 5 hours at 1/1000 dilution and 1/20000 dilution respectively. Blots were developed with Goat anti-Rabbit IgG H&L (IRDye® 800CW) preadsorbed (ab216773) and Goat anti-Mouse IgG H&L (IRDye® 680RD) preadsorbed (ab216776) secondary antibodies at 1/20000 dilution for 1 hour at room temperature before imaging.

Negative control : Daudi.

All lanes:

Western blot - Anti-ProCathepsin B antibody [EPR24353-25] (<a href='/en-us/products/primary-antibodies/procathepsin-b-antibody-epr24353-25-ab270998'>ab270998</a>) at 1/1000 dilution

Lane 1:

Wild-type HAP1 cell lysate at 20 µg

Lane 2:

Cathepsin B knockout HeLa cell lysate at 20 µg

Lane 3:

A549 (human lung carcinoma epithelial cell) whole cell lysate at 20 µg

Lane 4:

SK-MEL-28 (human malignant melanoma ) whole cell lysate at 20 µg

Lane 5:

Daudi (human burkitts lymphoma lymphoblast) whole cell lysate at 20 µg

Secondary

All lanes:

Goat Anti-Rabbit IgG H&L (IRDye® 800CW) (<a href='/en-us/products/secondary-antibodies/goat-rabbit-igg-h-l-irdye-800cw-preadsorbed-ab216773'>ab216773</a>) and Goat Anti-Mouse IgG H&L (IRDye® 680RD) (<a href='/en-us/products/secondary-antibodies/goat-mouse-igg-h-l-irdye-680rd-preadsorbed-ab216776'>ab216776</a>) at 1/10000 dilution

Predicted band size: 38 kDa

Observed band size: 43 kDa

false

Western blot - Anti-ProCathepsin B antibody [EPR24353-25] - BSA and Azide free (AB282287)
  • WB

Lab

Western blot - Anti-ProCathepsin B antibody [EPR24353-25] - BSA and Azide free (AB282287)

This data was developed using ab270998, the same antibody clone in a different buffer formulation.

Blocking and diluting buffer and concentration : 5% NFDM/TBST.

Exposure time : 10 seconds.

All lanes:

Western blot - Anti-ProCathepsin B antibody [EPR24353-25] (<a href='/en-us/products/primary-antibodies/procathepsin-b-antibody-epr24353-25-ab270998'>ab270998</a>) at 1/1000 dilution

Lane 1:

Mouse heart tissue lysate at 20 µg

Lane 2:

Mouse kidney tissue lysate at 20 µg

Lane 3:

Rat heart tissue lysate at 20 µg

Secondary

All lanes:

Western blot - Goat Anti-Rabbit IgG H&L (HRP) (<a href='/en-us/products/secondary-antibodies/goat-rabbit-igg-h-l-hrp-ab97051'>ab97051</a>) at 1/20000 dilution

Predicted band size: 38 kDa

Observed band size: 43 kDa

false

Western blot - Anti-ProCathepsin B antibody [EPR24353-25] - BSA and Azide free (AB282287)
  • WB

Lab

Western blot - Anti-ProCathepsin B antibody [EPR24353-25] - BSA and Azide free (AB282287)

This data was developed using ab270998, the same antibody clone in a different buffer formulation.

Blocking and diluting buffer and concentration : 5% NFDM/TBST.

This antibody specifically recognises the non-mature/full length form - ProCathepsin B.

Exposure time : 3 minutes.

All lanes:

Western blot - Anti-ProCathepsin B antibody [EPR24353-25] (<a href='/en-us/products/primary-antibodies/procathepsin-b-antibody-epr24353-25-ab270998'>ab270998</a>) at 1/5000 dilution

Lane 1:

His-tagged human Cathepsin B recombinant protein aa80-339

Lane 2:

His-tagged human Cathepsin B recombinant protein aa18-339

Secondary

All lanes:

Western blot - Goat Anti-Rabbit IgG H&L (HRP) (<a href='/en-us/products/secondary-antibodies/goat-rabbit-igg-h-l-hrp-ab97051'>ab97051</a>) at 1/100000 dilution

Predicted band size: 38 kDa

false

Western blot - Anti-ProCathepsin B antibody [EPR24353-25] - BSA and Azide free (AB282287)
  • WB

Lab

Western blot - Anti-ProCathepsin B antibody [EPR24353-25] - BSA and Azide free (AB282287)

This data was developed using ab270998, the same antibody clone in a different buffer formulation.

Blocking and diluting buffer and concentration : 5% NFDM/TBST.

Negative control : Daudi.

Exposure time : Lanes 1-6 : 158 seconds; Lane 7 : 10 seconds.

All lanes:

Western blot - Anti-ProCathepsin B antibody [EPR24353-25] (<a href='/en-us/products/primary-antibodies/procathepsin-b-antibody-epr24353-25-ab270998'>ab270998</a>) at 1/1000 dilution

Lane 1:

SK-MEL-28 (human malignant melanoma) whole cell lysate at 20 µg

Lane 2:

U266B1 (human multiple myeloma b lymphocyte) whole cell lysate at 20 µg

Lane 3:

MCF7 (human breast adenocarcinoma epithelial cell) whole cell lysate at 20 µg

Lane 4:

Daudi (human burkitts lymphoma lymphoblast) whole cell lysate at 20 µg

Lane 5:

Mouse thymus tissue lysate at 20 µg

Lane 6:

J774A.1 (mouse reticulum cell sarcoma monocyte macrophage) whole cell lysate at 20 µg

Lane 7:

Rat thymus tissue lysate at 20 µg

Secondary

All lanes:

Western blot - Goat Anti-Rabbit IgG H&L (HRP) (<a href='/en-us/products/secondary-antibodies/goat-rabbit-igg-h-l-hrp-ab97051'>ab97051</a>) at 1/20000 dilution

Predicted band size: 38 kDa

Observed band size: 43 kDa

false

Key facts

Host species

Rabbit

Clonality

Monoclonal

Clone number

EPR24353-25

Isotype

IgG

Carrier free

Yes

Reacts with

Rat, Human, Mouse

Applications

Flow Cyt (Intra), IHC-P, WB

applications

Immunogen

The exact immunogen used to generate this antibody is proprietary information.

Reactivity data

{ "title": "Reactivity Data", "filters": { "stats": ["", "Species", "Dilution Info", "Notes"], "tabs": { "all-applications": {"fullname" : "All Applications", "shortname": "All Applications"}, "IP" : {"fullname" : "Immunoprecipitation", "shortname":"IP"}, "FlowCytIntra" : {"fullname" : "Flow Cytometry (Intracellular)", "shortname":"Flow Cyt (Intra)"}, "WB" : {"fullname" : "Western blot", "shortname":"WB"}, "ICCIF" : {"fullname" : "Immunocytochemistry/ Immunofluorescence", "shortname":"ICC/IF"}, "IHCP" : {"fullname" : "Immunohistochemistry (Formalin/PFA-fixed paraffin-embedded sections)", "shortname":"IHC-P"} }, "product-promise": { "all": "all", "testedAndGuaranteed": "tested", "guaranteed": "expected", "predicted": "predicted", "notRecommended": "not-recommended" } }, "values": { "Human": { "IP-species-checked": "notRecommended", "IP-species-dilution-info": "", "IP-species-notes": "<p></p>", "FlowCytIntra-species-checked": "testedAndGuaranteed", "FlowCytIntra-species-dilution-info": "", "FlowCytIntra-species-notes": "<p></p>", "WB-species-checked": "testedAndGuaranteed", "WB-species-dilution-info": "", "WB-species-notes": "<p></p>", "ICCIF-species-checked": "notRecommended", "ICCIF-species-dilution-info": "", "ICCIF-species-notes": "<p></p>", "IHCP-species-checked": "testedAndGuaranteed", "IHCP-species-dilution-info": "", "IHCP-species-notes": "<p></p>" }, "Mouse": { "IP-species-checked": "notRecommended", "IP-species-dilution-info": "", "IP-species-notes": "<p></p>", "FlowCytIntra-species-checked": "testedAndGuaranteed", "FlowCytIntra-species-dilution-info": "", "FlowCytIntra-species-notes": "<p></p>", "WB-species-checked": "testedAndGuaranteed", "WB-species-dilution-info": "", "WB-species-notes": "<p></p>", "ICCIF-species-checked": "notRecommended", "ICCIF-species-dilution-info": "", "ICCIF-species-notes": "<p></p>", "IHCP-species-checked": "notRecommended", "IHCP-species-dilution-info": "", "IHCP-species-notes": "<p></p>" }, "Rat": { "IP-species-checked": "notRecommended", "IP-species-dilution-info": "", "IP-species-notes": "", "FlowCytIntra-species-checked": "guaranteed", "FlowCytIntra-species-dilution-info": "", "FlowCytIntra-species-notes": "", "WB-species-checked": "testedAndGuaranteed", "WB-species-dilution-info": "", "WB-species-notes": "<p></p>", "ICCIF-species-checked": "notRecommended", "ICCIF-species-dilution-info": "", "ICCIF-species-notes": "", "IHCP-species-checked": "notRecommended", "IHCP-species-dilution-info": "", "IHCP-species-notes": "<p></p>" } } }

Product details

ab282287 is the carrier-free version of ab270998.

Patented technology
Our RabMAb® technology is a patented hybridoma-based technology for making rabbit monoclonal antibodies. For details on our patents, please refer to RabMAb® patents.

What are the advantages of a recombinant monoclonal antibody?
This product is a recombinant monoclonal antibody, which offers several advantages including:

  • - High batch-to-batch consistency and reproducibility
  • - Improved sensitivity and specificity
  • - Long-term security of supply
  • - Animal-free batch production

For more information, read more on recombinant antibodies.

Conjugation ready
Our carrier-free antibodies are typically supplied in a PBS-only formulation, purified and free of BSA, sodium azide and glycerol. This conjugation-ready format is designed for use with fluorochromes, metal isotopes, oligonucleotides, and enzymes, which makes them ideal for antibody labelling, functional and cell-based assays, flow-based assays (e.g. mass cytometry) and Multiplex Imaging applications.

Use our conjugation kits for antibody conjugates that are ready-to-use in as little as 20 minutes with 1 minute hands-on-time and 100% antibody recovery: available for fluorescent dyes, HRP, biotin and gold.

Compatibility
This product is compatible with the Maxpar® Antibody Labeling Kit from Fluidigm, without the need for antibody preparation. Maxpar® is a trademark of Fluidigm Canada Inc.

Properties and storage information

Form
Liquid
Purification technique
Affinity purification Protein A
Storage buffer
pH: 7.2 - 7.4 Constituents: PBS
Shipped at conditions
Blue Ice
Appropriate short-term storage conditions
+4°C
Appropriate long-term storage conditions
+4°C

Supplementary information

This supplementary information is collated from multiple sources and compiled automatically.

ProCathepsin B also known as Cathepsin B precursor or CTSB is a cysteine protease with a mature form mass of around 37 kDa. This protein begins as an inactive zymogen requiring processing to become active. It expresses mainly in lysosomes but can also be found extracellularly particularly in disease states. Typically abundant in various tissues ProCathepsin B undergoes proteolytic activation by removal of its propeptide region to function effectively in proteolysis.
Biological function summary

ProCathepsin B facilitates protein catabolism by degrading extracellular matrix components. It does not commonly form part of a larger protein complex allowing it to perform its proteolytic activity independently. The protein's actions are important for cellular turnover and tissue remodeling. In healthy tissues ProCathepsin B supports normal cellular homeostasis but dysregulation can lead to pathological conditions.

Pathways

ProCathepsin B plays a role in the proteolytic pathways involving processes such as autophagy and apoptosis. It participates in the ubiquitin-proteasome pathway interrelated with proteins like Ubiquitin and Caspases. These pathways control protein degradation and programmed cell death highlighting ProCathepsin B's importance in maintaining cellular function and regulation.

ProCathepsin B is associated with conditions like cancer and arthritis. In cancer its overexpression facilitates tumor invasion and metastasis often linked with proteins such as Matrix Metalloproteinases (MMPs). In arthritis increased ProCathepsin B activity contributes to joint tissue breakdown connecting with Collagen too. These associations make ProCathepsin B a potential target for therapeutic intervention in such disorders.

Product protocols

For this product, it's our understanding that no specific protocols are required. You can visit:

Target data

Thiol protease which is believed to participate in intracellular degradation and turnover of proteins (PubMed : 12220505). Cleaves matrix extracellular phosphoglycoprotein MEPE (PubMed : 12220505). Involved in the solubilization of cross-linked TG/thyroglobulin in the thyroid follicle lumen (By similarity). Has also been implicated in tumor invasion and metastasis (PubMed : 3972105).
See full target information CTSB

Product promise

We are committed to supporting your work with high-quality reagents, and we're here for you every step of the way. In the unlikely event that one of our products does not perform as expected, you're protected by our Product Promise.
For full details, please see our Terms & Conditions

Please note: All products are 'FOR RESEARCH USE ONLY. NOT FOR USE IN DIAGNOSTIC OR THERAPEUTIC PROCEDURES'.

For licensing inquiries, please contact partnerships@abcam.com