JavaScript is disabled in your browser. Please enable JavaScript to view this website.
AB270999

Anti-proCathepsin D antibody [EPR24352-13]

Be the first to review this product! Submit a review

|

(0 Publication)

Rabbit Recombinant Monoclonal Cathepsin D antibody. Suitable for ICC/IF, IP, Flow Cyt (Intra), WB and reacts with Mouse samples.

View Alternative Names

Cathepsin D, Ctsd

4 Images
Flow Cytometry (Intracellular) - Anti-proCathepsin D antibody [EPR24352-13] (AB270999)
  • Flow Cyt (Intra)

Supplier Data

Flow Cytometry (Intracellular) - Anti-proCathepsin D antibody [EPR24352-13] (AB270999)

Flow cytometric analysis of 4% paraformaldehyde fixed 90% methanol permeabilized Neuro-2a (Mouse neuroblastoma neuroblast) cells labelling pro-Cathepsin D with ab270999 at 1/50 dilution (1μg) (Red) compared with a Rabbit monoclonal IgG (ab172730) (Black) isotype control and an unlabelled control (cells without incubation with primary antibody and secondary antibody) (Blue). A Goat anti rabbit IgG (Alexa Fluor® 488, ab150077) at 1/2000 dilution was used as the secondary antibody.

Immunocytochemistry/ Immunofluorescence - Anti-proCathepsin D antibody [EPR24352-13] (AB270999)
  • ICC/IF

Supplier Data

Immunocytochemistry/ Immunofluorescence - Anti-proCathepsin D antibody [EPR24352-13] (AB270999)

Immunofluorescent analysis of 100% methanol-fixed, 0.1% Triton X-100 permeabilized Neuro-2a cells labelling pro-Cathepsin D with ab270999 at 1/50 (11.48 μg/ml) dilution, followed by ab150077 Goat Anti-Rabbit IgG H&L (Alexa Fluor® 488) antibody at 1/1000 dilution (Green). Confocal image showing cytoplasmic staining in Neuro-2a cells. ab195889 Anti-alpha Tubulin mouse monoclonal antibody - Microtubule Marker (Alexa Fluor® 594) was used to counterstain tubulin at 1/200 dilution (Red). The nuclear counterstain was DAPI (Blue).

Secondary antibody only control : Secondary antibody is ab150077 Goat Anti-Rabbit IgG H&L (Alexa Fluor® 488) at 1/1000 dilution.

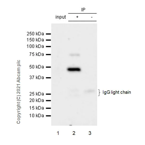
Immunoprecipitation - Anti-proCathepsin D antibody [EPR24352-13] (AB270999)
  • IP

Supplier Data

Immunoprecipitation - Anti-proCathepsin D antibody [EPR24352-13] (AB270999)

pro-Cathepsin D was immunoprecipitated from 0.35 mg RAW 264.7 (mouse abelson murine leukemia virus-induced tumor macrophage) whole cell lysate 10 μg with ab270999 at 1/30 dilution (2μg in 0.35mg lysates). Western blot was performed on the immunoprecipitate using ab270999 at 1/1000 dilution. VeriBlot for IP secondary antibody(HRP)(ab131366) was used at 1/5000 dilution.

Lane 1 : RAW 264.7 whole cell lysate 10 μg

Lane 2 : ab270999 IP in RAW 264.7 whole cell lysate

Lane 3 : Rabbit monoclonal IgG (ab172730) instead of ab270999 in RAW 264.7 whole cell lysate

Blocking and dilution buffer and concentration : 5% NFDM/TBST.

Exposure time : 67 seconds

All lanes:

Immunoprecipitation - Anti-proCathepsin D antibody [EPR24352-13] (ab270999)

Predicted band size: 45 kDa

Observed band size: 48 kDa

false

Western blot - Anti-proCathepsin D antibody [EPR24352-13] (AB270999)
  • WB

Lab

Western blot - Anti-proCathepsin D antibody [EPR24352-13] (AB270999)

Blocking and diluting buffer and concentration : 5% NFDM/TBST

The molecular weight observed is consistent with what has been described in the literature (PMID : 28453791).

Exposure time : 3 minutes

All lanes:

Western blot - Anti-proCathepsin D antibody [EPR24352-13] (ab270999) at 1/1000 dilution

Lane 1:

RAW 264.7 (mouse abelson murine leukemia virus-induced tumor macrophage) whole cell lysate at 20 µg

Lane 2:

Neuro-2a (mouse neuroblastoma neuroblast) whole cell lysate at 20 µg

Secondary

All lanes:

Western blot - Goat Anti-Rabbit IgG H&L (HRP) (<a href='/en-us/products/secondary-antibodies/goat-rabbit-igg-h-l-hrp-ab97051'>ab97051</a>) at 1/50000 dilution

Predicted band size: 45 kDa

Observed band size: 48 kDa

false

Key facts

Host species

Rabbit

Clonality

Monoclonal

Clone number

EPR24352-13

Isotype

IgG

Carrier free

No

Reacts with

Mouse

Applications

Flow Cyt (Intra), IP, WB, ICC/IF

applications

Immunogen

The exact immunogen used to generate this antibody is proprietary information.

Reactivity data

{ "title": "Reactivity Data", "filters": { "stats": ["", "Species", "Dilution Info", "Notes"], "tabs": { "all-applications": {"fullname" : "All Applications", "shortname": "All Applications"}, "ICCIF" : {"fullname" : "Immunocytochemistry/ Immunofluorescence", "shortname":"ICC/IF"}, "IP" : {"fullname" : "Immunoprecipitation", "shortname":"IP"}, "FlowCytIntra" : {"fullname" : "Flow Cytometry (Intracellular)", "shortname":"Flow Cyt (Intra)"}, "WB" : {"fullname" : "Western blot", "shortname":"WB"}, "IHCP" : {"fullname" : "Immunohistochemistry (Formalin/PFA-fixed paraffin-embedded sections)", "shortname":"IHC-P"}, "IHCFr" : {"fullname" : "Immunohistochemistry (Frozen sections)", "shortname":"IHC-Fr"} }, "product-promise": { "all": "all", "testedAndGuaranteed": "tested", "guaranteed": "expected", "predicted": "predicted", "notRecommended": "not-recommended" } }, "values": { "Human": { "ICCIF-species-checked": "notRecommended", "ICCIF-species-dilution-info": "", "ICCIF-species-notes": "", "IP-species-checked": "notRecommended", "IP-species-dilution-info": "", "IP-species-notes": "", "FlowCytIntra-species-checked": "notRecommended", "FlowCytIntra-species-dilution-info": "", "FlowCytIntra-species-notes": "", "WB-species-checked": "notRecommended", "WB-species-dilution-info": "1/1000", "WB-species-notes": "<p></p>", "IHCP-species-checked": "notRecommended", "IHCP-species-dilution-info": "", "IHCP-species-notes": "<p></p>", "IHCFr-species-checked": "notRecommended", "IHCFr-species-dilution-info": "", "IHCFr-species-notes": "" }, "Mouse": { "ICCIF-species-checked": "testedAndGuaranteed", "ICCIF-species-dilution-info": "1/50", "ICCIF-species-notes": "<p></p>", "IP-species-checked": "testedAndGuaranteed", "IP-species-dilution-info": "1/30", "IP-species-notes": "<p></p>", "FlowCytIntra-species-checked": "testedAndGuaranteed", "FlowCytIntra-species-dilution-info": "1/50", "FlowCytIntra-species-notes": "<p></p>", "WB-species-checked": "testedAndGuaranteed", "WB-species-dilution-info": "1/1000", "WB-species-notes": "<p></p>", "IHCP-species-checked": "notRecommended", "IHCP-species-dilution-info": "", "IHCP-species-notes": "<p></p>", "IHCFr-species-checked": "notRecommended", "IHCFr-species-dilution-info": "", "IHCFr-species-notes": "<p></p>" }, "Rat": { "ICCIF-species-checked": "notRecommended", "ICCIF-species-dilution-info": "", "ICCIF-species-notes": "", "IP-species-checked": "notRecommended", "IP-species-dilution-info": "", "IP-species-notes": "", "FlowCytIntra-species-checked": "notRecommended", "FlowCytIntra-species-dilution-info": "", "FlowCytIntra-species-notes": "", "WB-species-checked": "notRecommended", "WB-species-dilution-info": "1/1000", "WB-species-notes": "<p></p>", "IHCP-species-checked": "notRecommended", "IHCP-species-dilution-info": "", "IHCP-species-notes": "<p></p>", "IHCFr-species-checked": "notRecommended", "IHCFr-species-dilution-info": "", "IHCFr-species-notes": "<p></p>" } } }

Product details

Patented technology
Our RabMAb® technology is a patented hybridoma-based technology for making rabbit monoclonal antibodies. For details on our patents, please refer to RabMAb® patents.

What are the advantages of a recombinant monoclonal antibody?
This product is a recombinant monoclonal antibody, which offers several advantages including:

  • - High batch-to-batch consistency and reproducibility
  • - Improved sensitivity and specificity
  • - Long-term security of supply
  • - Animal-free batch production

For more information, read more on recombinant antibodies.

Properties and storage information

Form
Liquid
Purification technique
Affinity purification Protein A
Storage buffer
pH: 7.2 - 7.4 Preservative: 0.01% Sodium azide Constituents: PBS, 40% Glycerol (glycerin, glycerine), 0.05% BSA
Shipped at conditions
Blue Ice
Appropriate short-term storage duration
1-2 weeks
Appropriate short-term storage conditions
+4°C
Appropriate long-term storage conditions
-20°C
Aliquoting information
Upon delivery aliquot
Storage information
Avoid freeze / thaw cycle

Supplementary information

This supplementary information is collated from multiple sources and compiled automatically.

Procathepsin D also known as CTSD is a precursor form of the enzyme Cathepsin D. It has a molecular mass of approximately 52 kDa. Procathepsin D is an aspartic protease expressed mainly in lysosomes but also found in many tissues like liver spleen and the endometrium. Its precursor form undergoes post-translational modification to become active involving the removal of its propeptide segment.
Biological function summary

This protease plays significant roles in protein degradation and processing within lysosomes. Procathepsin D remains part of lysosomal enzyme complexes influencing lysosomal balance and turnover of proteins. It contributes to the regulation of cell growth apoptosis and protein activation. Also it impacts antigen presentation and immunity showing importance in cellular maintenance and function.

Pathways

Procathepsin D participates in the lysosomal degradation pathway impacting autophagy and proteostasis. It interfaces with kinases and caspases routing signaling and apoptosis pathways. Through the lysosomal protein pathway it relates to proteins like Cathepsin B and L which also deal with proteolysis. Procathepsin D's degradation function influences metabolic processes interconnected with the immune response and tissue remodeling.

Procathepsin D shows connections to breast cancer and Alzheimer's disease. Elevated levels have been observed in breast cancer linking it with tumor progression where it may interact with proteins like cathepsin B. In Alzheimer's disease altered procathepsin D activity affects amyloid processing and neuroinflammation associating closely with proteins like amyloid precursor protein (APP) and other cathepsins involved in neurodegenerative processes.

Product protocols

For this product, it's our understanding that no specific protocols are required. You can visit:

Target data

Acid protease active in intracellular protein breakdown. Plays a role in APP processing following cleavage and activation by ADAM30 which leads to APP degradation.
See full target information Ctsd

Product promise

We are committed to supporting your work with high-quality reagents, and we're here for you every step of the way. In the unlikely event that one of our products does not perform as expected, you're protected by our Product Promise.
For full details, please see our Terms & Conditions

Please note: All products are 'FOR RESEARCH USE ONLY. NOT FOR USE IN DIAGNOSTIC OR THERAPEUTIC PROCEDURES'.

For licensing inquiries, please contact partnerships@abcam.com