JavaScript is disabled in your browser. Please enable JavaScript to view this website.
AB17771

Anti-procollagen type IIA antibody [2]

5

(2 Reviews)

|

(4 Publications)

Mouse Monoclonal Collagen II antibody. Suitable for IHC-P and reacts with Human samples. Cited in 4 publications.

View Alternative Names

Collagen alpha-1(II) chain, Alpha-1 type II collagen, COL2A1

3 Images
Immunohistochemistry (Formalin/PFA-fixed paraffin-embedded sections) - Anti-procollagen type IIA antibody [2] (AB17771)
  • IHC-P

AbReview9333****

Immunohistochemistry (Formalin/PFA-fixed paraffin-embedded sections) - Anti-procollagen type IIA antibody [2] (AB17771)

ab17771 staining mouse eye tissue sections -- conjunctiva and limbus by IHC-P. The tissue was fixed with paraformaldehyde and antigen retrieval was heat mediated using citrate buffer. The blocking agent was 1% TSA at 25°C for 1 hour. The primary antibody was incubated (undiluted) at 25°C for 15 hours. A biotinylated anti-mouse was used as the secondary antibody.

This image is courtesy of an anonymous Abreview

Immunohistochemistry (Formalin/PFA-fixed paraffin-embedded sections) - Anti-procollagen type IIA antibody [2] (AB17771)
  • IHC-P

Unknown

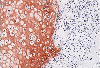
Immunohistochemistry (Formalin/PFA-fixed paraffin-embedded sections) - Anti-procollagen type IIA antibody [2] (AB17771)

ab17771, at a 1/1000 dilution, staining specific tumour cells of biopsy from a chondroblastoma by IHC-P. The antibody was detected with an HRP conjugated Goat anti-Mouse antibody.

Immunohistochemistry (Formalin/PFA-fixed paraffin-embedded sections) - Anti-procollagen type IIA antibody [2] (AB17771)
  • IHC-P

Unknown

Immunohistochemistry (Formalin/PFA-fixed paraffin-embedded sections) - Anti-procollagen type IIA antibody [2] (AB17771)

ab17771, at a 1/1000 dilution, staining fetal bone anlage in the hand (around week 10) by IHC-P.

Key facts

Host species

Mouse

Clonality

Monoclonal

Clone number

2

Isotype

IgG1

Light chain type

kappa

Carrier free

No

Reacts with

Human

Applications

IHC-P

applications

Immunogen

The exact immunogen used to generate this antibody is proprietary information.

Epitope

Epitope is located at the amino-terminal part of procollagen type IIA.

Reactivity data

{ "title": "Reactivity Data", "filters": { "stats": ["", "Species", "Dilution Info", "Notes"], "tabs": { "all-applications": {"fullname" : "All Applications", "shortname": "All Applications"}, "IHCP" : {"fullname" : "Immunohistochemistry (Formalin/PFA-fixed paraffin-embedded sections)", "shortname":"IHC-P"} }, "product-promise": { "all": "all", "testedAndGuaranteed": "tested", "guaranteed": "expected", "predicted": "predicted", "notRecommended": "not-recommended" } }, "values": { "Human": { "IHCP-species-checked": "testedAndGuaranteed", "IHCP-species-dilution-info": "", "IHCP-species-notes": "<p></p> Perform enzymatic antigen retrieval before commencing with IHC staining protocol." } } }

Properties and storage information

Form
Liquid
Purification technique
Affinity purification Protein G
Storage buffer
pH: 7.4 Preservative: 0.097% Sodium azide Constituents: 2.9% Sodium chloride, 0.0268% PBS
Shipped at conditions
Blue Ice
Appropriate short-term storage conditions
+4°C
Appropriate long-term storage conditions
-20°C
Aliquoting information
Upon delivery aliquot
Storage information
Avoid freeze / thaw cycle

Supplementary information

This supplementary information is collated from multiple sources and compiled automatically.

Procollagen type IIA also known as COL2A1 is a precursor of type II collagen important in forming fibrillar collagen networks. This protein has a molecular mass of approximately 146 kDa. Its expression occurs largely in cartilaginous tissues particularly during the early stages of chondrogenesis. Procollagen type IIA is also found in non-skeletal tissues such as the eye indicating its diverse roles during organismal development.
Biological function summary

Procollagen type IIA contributes to the structural integrity of cartilaginous matrices supporting tissue framework and providing tensile strength. Procollagen type IIA is a precursor in the collagen synthesis pathway where it undergoes a series of enzymatic modifications before converting into mature type II collagen fibrils. This protein forms part of a larger collagen synthesis complex and interacts with enzymes like procollagen N-proteinase playing an essential role in matrix formation.

Pathways

Procollagen type IIA participates in the extracellular matrix (ECM) organization pathway. This involvement is key in skeletal development and tissue repair. The protein interacts closely with other structural components like procollagen type IIB to support chondrogenic activities. Also it is part of the transforming growth factor-beta (TGF-beta) signaling pathway which regulates chondrocyte function and differentiation.

Procollagen type IIA mutations are linked to skeletal disorders such as stickler syndrome and achondrogenesis type II. These mutations disrupt normal collagen fiber assembly affecting cartilage function and leading to distinct skeletal abnormalities. In these disorders it is interconnected with proteins like matrix metalloproteinases (MMPs) which influence tissue remodeling and degradation exacerbating the disease conditions.

Product protocols

For this product, it's our understanding that no specific protocols are required. You can visit:

Target data

Type II collagen is specific for cartilaginous tissues. It is essential for the normal embryonic development of the skeleton, for linear growth and for the ability of cartilage to resist compressive forces.
See full target information COL2A1

Publications (4)

Recent publications for all applications. Explore the full list and refine your search

Disease markers 2021:4251763 PubMed34804261

2021

Development and Verification of an Immune-Based Gene Signature for Risk Stratification and Immunotherapeutic Efficacy Assessment in Gastric Cancer.

Applications

Unspecified application

Species

Unspecified reactive species

Feng Qiu,Yumei Zhu,Yafeng Shi,Jingjing Ji,Yingchao Jin

Aging 13:11433-11454 PubMed33839696

2021

Overexpression of long non-coding RNA AP001505.9 inhibits human hyaline chondrocyte dedifferentiation.

Applications

Unspecified application

Species

Unspecified reactive species

Lin Chen,Jinying Xu,Shuang Lv,Yan Zhao,Dongjie Sun,Yangyang Zheng,Xianglan Li,Lihong Zhang,Guangfan Chi,Yulin Li

Science translational medicine 6:266ra171 PubMed25504882

2014

Protein-releasing polymeric scaffolds induce fibrochondrocytic differentiation of endogenous cells for knee meniscus regeneration in sheep.

Applications

Unspecified application

Species

Unspecified reactive species

Chang H Lee,Scott A Rodeo,Lisa Ann Fortier,Chuanyong Lu,Cevat Erisken,Jeremy J Mao

PloS one 9:e91662 PubMed24626259

2014

Biochemical and structural characterization of neocartilage formed by mesenchymal stem cells in alginate hydrogels.

Applications

IHC-P

Species

Human

Magnus Ø Olderøy,Magnus B Lilledahl,Marianne Sandvold Beckwith,Jan Egil Melvik,Finn Reinholt,Pawel Sikorski,Jan E Brinchmann
View all publications

Product promise

We are committed to supporting your work with high-quality reagents, and we're here for you every step of the way. In the unlikely event that one of our products does not perform as expected, you're protected by our Product Promise.
For full details, please see our Terms & Conditions

Please note: All products are 'FOR RESEARCH USE ONLY. NOT FOR USE IN DIAGNOSTIC OR THERAPEUTIC PROCEDURES'.

For licensing inquiries, please contact partnerships@abcam.com