JavaScript is disabled in your browser. Please enable JavaScript to view this website.
AB318966

Anti-ProDynorphin antibody [EPR28632-48]

  • BOND RX™ Validated
  • 20ul selling size
  • Recombinant
  • Advanced Validation
  • RabMAb
  • What is this?

Be the first to review this product! Submit a review

|

(0 Publication)

Rabbit Recombinant Monoclonal ProDynorphin antibody. Suitable for mIHC, Dot, WB, IP, IHC-Fr, IHC-P and reacts with Mouse, Rat, Synthetic peptide - Mouse samples.

View Alternative Names

Proenkephalin-B, Beta-neoendorphin-dynorphin, Preprodynorphin

19 Images
Immunohistochemistry (Formalin/PFA-fixed paraffin-embedded sections) - Anti-ProDynorphin antibody [EPR28632-48] (AB318966)
  • IHC-P

Supplier Data

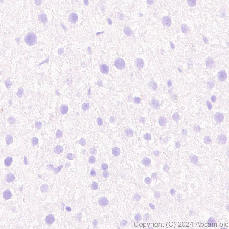
Immunohistochemistry (Formalin/PFA-fixed paraffin-embedded sections) - Anti-ProDynorphin antibody [EPR28632-48] (AB318966)

Immunohistochemical analysis of paraffin-embedded Mouse striatum tissue labeling ProDynorphin with ab318966 at 1/2000 (0.252 ug/ml) dilution, followed by a ready to use LeicaDS9800 (Bond™ Polymer Refine Detection).

Positive staining in mouse striatum.
The section was incubated with ab318966 for 30 mins at room temperature.
The immunostaining was performed on a Leica Biosystems BOND® RX instrument

Counterstained with Hematoxylin.

Secondary antibody only control : Secondary antibody is a ready to use LeicaDS9800 (Bond™ Polymer Refine Detection).

Heat mediated antigen retrieval was performed with Tris-EDTA buffer (pH 9.0, Epitope Retrieval Solution2) for 20 mins

Immunohistochemistry (Frozen sections) - Anti-ProDynorphin antibody [EPR28632-48] (AB318966)
  • IHC-Fr

Supplier Data

Immunohistochemistry (Frozen sections) - Anti-ProDynorphin antibody [EPR28632-48] (AB318966)

Immunohistochemical analysis of 4% PFA-fixed, 0.2% Triton X-100 permeabilized frozen Rat dorsomedial hypothalamic nucleus (perfused fixed) tissue labeling ProDynorphin with ab318966 at 1/50 (10.2 ug/ml) dilution followed by ab150081 Goat Anti-Rabbit IgG H&L (Alexa Fluor® 488) preadsorbed at 1/1000 2 ug/mL dilution (Green).

Confocal image showing positive staining on rat dorsomedial hypothalamic nucleus (DMH). The nuclear counterstain was DAPI (Blue). The section was incubated with ab318966 for 60 mins at room temperature. The section was then mounted using Fluoromount®.The immunostaining was performed on a Leica Biosystems BOND® RX instrument. Image was taken with a confocal microscope (Leica-Microsystems, TCS SP8).

Secondary antibody control : Secondary antibody is ab150081 Goat Anti-Rabbit IgG H&L (Alexa Fluor® 488) preadsorbedat 1/1000 2 ug/mL dilution.

Heat mediated antigen retrieval using sodium citrate buffer (10mM citrate pH 6.0 + 0.05% Tween-20)

Immunohistochemistry (Formalin/PFA-fixed paraffin-embedded sections) - Anti-ProDynorphin antibody [EPR28632-48] (AB318966)
  • IHC-P

Supplier Data

Immunohistochemistry (Formalin/PFA-fixed paraffin-embedded sections) - Anti-ProDynorphin antibody [EPR28632-48] (AB318966)

Immunohistochemical analysis of paraffin-embedded Rat striatum tissue labeling ProDynorphin with ab318966 at 1/2000 (0.252 ug/ml) dilution, followed by a ready to use LeicaDS9800 (Bond™ Polymer Refine Detection).

Positive staining in rat striatum.
The section was incubated with ab318966 for 30 mins at room temperature.
The immunostaining was performed on a Leica Biosystems BOND® RX instrument

Counterstained with Hematoxylin.

Secondary antibody only control : Secondary antibody is a ready to use LeicaDS9800 (Bond™ Polymer Refine Detection).

Heat mediated antigen retrieval was performed with Tris-EDTA buffer (pH 9.0, Epitope Retrieval Solution2) for 20 mins

Immunohistochemistry (Formalin/PFA-fixed paraffin-embedded sections) - Anti-ProDynorphin antibody [EPR28632-48] (AB318966)
  • IHC-P

Supplier Data

Immunohistochemistry (Formalin/PFA-fixed paraffin-embedded sections) - Anti-ProDynorphin antibody [EPR28632-48] (AB318966)

Immunohistochemical analysis of paraffin-embedded Mouse pituitary tissue labeling ProDynorphin with ab318966 at 1/2000 (0.252 ug/ml) dilution, followed by a ready to use LeicaDS9800 (Bond™ Polymer Refine Detection).

Positive staining in mouse pituitary.
The section was incubated with ab318966 for 30 mins at room temperature.
The immunostaining was performed on a Leica Biosystems BOND® RX instrument

Counterstained with Hematoxylin.

Secondary antibody only control : Secondary antibody is a ready to use LeicaDS9800 (Bond™ Polymer Refine Detection).

Heat mediated antigen retrieval was performed with Tris-EDTA buffer (pH 9.0, Epitope Retrieval Solution2) for 20 mins

Immunohistochemistry (Formalin/PFA-fixed paraffin-embedded sections) - Anti-ProDynorphin antibody [EPR28632-48] (AB318966)
  • IHC-P

Supplier Data

Immunohistochemistry (Formalin/PFA-fixed paraffin-embedded sections) - Anti-ProDynorphin antibody [EPR28632-48] (AB318966)

Immunohistochemical analysis of paraffin-embedded Rat pituitary tissue labeling ProDynorphin with ab318966 at 1/2000 (0.252 ug/ml) dilution, followed by a ready to use LeicaDS9800 (Bond™ Polymer Refine Detection).

Positive staining in rat pituitary.
The section was incubated with ab318966 for 30 mins at room temperature.
The immunostaining was performed on a Leica Biosystems BOND® RX instrument

Counterstained with Hematoxylin.

Secondary antibody only control : Secondary antibody is a ready to use LeicaDS9800 (Bond™ Polymer Refine Detection).

Heat mediated antigen retrieval was performed with Tris-EDTA buffer (pH 9.0, Epitope Retrieval Solution2) for 20 mins

Immunohistochemistry (Formalin/PFA-fixed paraffin-embedded sections) - Anti-ProDynorphin antibody [EPR28632-48] (AB318966)
  • IHC-P

Supplier Data

Immunohistochemistry (Formalin/PFA-fixed paraffin-embedded sections) - Anti-ProDynorphin antibody [EPR28632-48] (AB318966)

Immunohistochemical analysis of paraffin-embedded Mouse hippocampus tissue labeling ProDynorphin with ab318966 at 1/2000 (0.252 ug/ml) dilution, followed by a ready to use LeicaDS9800 (Bond™ Polymer Refine Detection).

Positive staining in mouse hippocampus.
The section was incubated with ab318966 for 30 mins at room temperature.
The immunostaining was performed on a Leica Biosystems BOND® RX instrument

Counterstained with Hematoxylin.

Secondary antibody only control : Secondary antibody is a ready to use LeicaDS9800 (Bond™ Polymer Refine Detection).

Heat mediated antigen retrieval was performed with Tris-EDTA buffer (pH 9.0, Epitope Retrieval Solution2) for 20 mins

Immunohistochemistry (Formalin/PFA-fixed paraffin-embedded sections) - Anti-ProDynorphin antibody [EPR28632-48] (AB318966)
  • IHC-P

Supplier Data

Immunohistochemistry (Formalin/PFA-fixed paraffin-embedded sections) - Anti-ProDynorphin antibody [EPR28632-48] (AB318966)

Immunohistochemical analysis of paraffin-embedded Rat liver tissue labeling ProDynorphin with ab318966 at 1/2000 (0.252 ug/ml) dilution, followed by a ready to use LeicaDS9800 (Bond™ Polymer Refine Detection).

Negative control : No staining in rat liver (PMID : 3864164).
The section was incubated with ab318966 for 30 mins at room temperature.
The immunostaining was performed on a Leica Biosystems BOND® RX instrument

Counterstained with Hematoxylin.

Secondary antibody only control : Secondary antibody is a ready to use LeicaDS9800 (Bond™ Polymer Refine Detection).

Heat mediated antigen retrieval was performed with Tris-EDTA buffer (pH 9.0, Epitope Retrieval Solution2) for 20 mins

Immunohistochemistry (Formalin/PFA-fixed paraffin-embedded sections) - Anti-ProDynorphin antibody [EPR28632-48] (AB318966)
  • IHC-P

Supplier Data

Immunohistochemistry (Formalin/PFA-fixed paraffin-embedded sections) - Anti-ProDynorphin antibody [EPR28632-48] (AB318966)

Immunohistochemical analysis of paraffin-embedded Mouse liver tissue labeling ProDynorphin with ab318966 at 1/2000 (0.252 ug/ml) dilution, followed by a ready to use LeicaDS9800 (Bond™ Polymer Refine Detection).

Negative control : No staining in mouse liver.
The section was incubated with ab318966 for 30 mins at room temperature.
The immunostaining was performed on a Leica Biosystems BOND® RX instrument

Counterstained with Hematoxylin.

Secondary antibody only control : Secondary antibody is a ready to use LeicaDS9800 (Bond™ Polymer Refine Detection).

Heat mediated antigen retrieval was performed with Tris-EDTA buffer (pH 9.0, Epitope Retrieval Solution2) for 20 mins

Immunohistochemistry (Frozen sections) - Anti-ProDynorphin antibody [EPR28632-48] (AB318966)
  • IHC-Fr

Supplier Data

Immunohistochemistry (Frozen sections) - Anti-ProDynorphin antibody [EPR28632-48] (AB318966)

Immunohistochemical analysis of 4% PFA-fixed, 0.2% Triton X-100 permeabilized frozen Rat liver (fresh frozen) tissue labeling ProDynorphin with ab318966 at 1/50 (10.06 ug/ml) dilution followed by ab150081 Goat Anti-Rabbit IgG H&L (Alexa Fluor® 488) preadsorbed at 1/1000 2 ug/mL dilution (Green).

Negative control : confocal ima ge showing no staining on rat liver. The nuclear counterstain was DAPI (Blue). The section was incubated with ab318966 for 60 mins at room temperature. The section was then mounted using Fluoromount®.The immunostaining was performed on a Leica Biosystems BOND® RX instrument. Image was taken with a confocal microscope (Leica-Microsystems, TCS SP8).

Secondary antibody control : Secondary antibody is ab150081 Goat Anti-Rabbit IgG H&L (Alexa Fluor® 488) preadsorbedat 1/1000 2 ug/mL dilution.

Immunohistochemistry (Frozen sections) - Anti-ProDynorphin antibody [EPR28632-48] (AB318966)
  • IHC-Fr

Supplier Data

Immunohistochemistry (Frozen sections) - Anti-ProDynorphin antibody [EPR28632-48] (AB318966)

Immunohistochemical analysis of 4% PFA-fixed, 0.2% Triton X-100 permeabilized frozen Mouse liver (fresh frozen) tissue labeling ProDynorphin with ab318966 at 1/50 (10.06 ug/ml) dilution followed by ab150081 Goat Anti-Rabbit IgG H&L (Alexa Fluor® 488) preadsorbed at 1/1000 2 ug/mL dilution (Green).

Negative control : confocal ima ge showing no staining on mouse liver. The nuclear counterstain was DAPI (Blue). The section was incubated with ab318966 for 60 mins at room temperature. The section was then mounted using Fluoromount®.The immunostaining was performed on a Leica Biosystems BOND® RX instrument. Image was taken with a confocal microscope (Leica-Microsystems, TCS SP8).

Secondary antibody control : Secondary antibody is ab150081 Goat Anti-Rabbit IgG H&L (Alexa Fluor® 488) preadsorbedat 1/1000 2 ug/mL dilution.

Multiplex immunohistochemistry - Anti-ProDynorphin antibody [EPR28632-48] (AB318966)
  • mIHC

Lab

Multiplex immunohistochemistry - Anti-ProDynorphin antibody [EPR28632-48] (AB318966)

Multiplex immunohistochemistry analysis of formalin/PFA-fixed paraffin-embedded Mouse hippocampus tissue staining ProDynorphin with ab318966 at a 1 : 5000 (0.1 ug/ml) dilution, SYNPR with ab314136 at 1 : 8000 (0.06 ug/ml) dilution and Wolframin with ab259362 at a 1 : 5000 (0.091 ug/ml) dilution followed by secondary antibody Opal Polymer HRP Ms + Rb.

Panel A : merged staining of anti-ProDynorphin (magenta; Opal570), anti-SYNPR (green; Opal520) and anti-Wolframin (yellow; Opal690) on mouse hippocampus.
Panel B : anti-ProDynorphin staining the mossy fibers of CA3 in mouse hippocampus.
Panel C : anti-SYNPR staining the mossy fibers of CA3 in mouse hippocampus.
Panel D : anti-Wolframin staining the pyramidal neurons of CA1 in mouse hippocampus.
Nuclear DNA was labeled with DAPI (shown in blue).

The section was incubated in three rounds of staining : in the order of ab318966, ab314136 and ab259362 for 30 mins at room temperature. Each round was followed by a separate fluorescent tyramide signal amplification system.

The immunostaining was performed on a Leica Biosystems BOND® RX instrument with an Opal 4-color kit. Image acquisition was performed with Leica SP8 confocal microscope.

Heat mediated antigen retrieval with Tris-EDTA buffer (pH 9.0, epitope retrieval solution2) for 20 mins

Immunohistochemistry (Frozen sections) - Anti-ProDynorphin antibody [EPR28632-48] (AB318966)
  • IHC-Fr

Supplier Data

Immunohistochemistry (Frozen sections) - Anti-ProDynorphin antibody [EPR28632-48] (AB318966)

Immunohistochemical analysis of 4% PFA-fixed, 0.2% Triton X-100 permeabilized frozen Mouse arcuate nucleus (perfused fixed) tissue labeling ProDynorphin with ab318966 at 1/50 (10.2 ug/ml) dilution followed by ab150081 Goat Anti-Rabbit IgG H&L (Alexa Fluor® 488) preadsorbed at 1/1000 2 ug/mL dilution (Green).

Confocal image showing positive staining on mouse arcuate nucleus (ARC) of hypothalamus. The nuclear counterstain was DAPI (Blue). The section was incubated with ab318966 for 60 mins at room temperature. The section was then mounted using Fluoromount®.The immunostaining was performed on a Leica Biosystems BOND® RX instrument. Image was taken with a confocal microscope (Leica-Microsystems, TCS SP8).

Secondary antibody control : Secondary antibody is ab150081 Goat Anti-Rabbit IgG H&L (Alexa Fluor® 488) preadsorbedat 1/1000 2 ug/mL dilution.

Heat mediated antigen retrieval using sodium citrate buffer (10mM citrate pH 6.0 + 0.05% Tween-20)

Immunohistochemistry (Frozen sections) - Anti-ProDynorphin antibody [EPR28632-48] (AB318966)
  • IHC-Fr

Supplier Data

Immunohistochemistry (Frozen sections) - Anti-ProDynorphin antibody [EPR28632-48] (AB318966)

Immunohistochemical analysis of 4% PFA-fixed, 0.2% Triton X-100 permeabilized frozen Rat hippocampus (fresh frozen) tissue labeling ProDynorphin with ab318966 at 1/50 (10.06 ug/ml) dilution followed by ab150081 Goat Anti-Rabbit IgG H&L (Alexa Fluor® 488) preadsorbed at 1/1000 2 ug/mL dilution (Green).

Panel A : merged staining of anti-ProDynorphin (ab318966, green), anti-NeuN (ab190565, grey) and anti-GFAP (ab201732, magenta) on rat hippocampus.
Panel B : anti-ProDynorphin stained on rat hippocampus.
Panel C : anti-NeuN stained in neurons of rat hippocampus.
Panel D : anti-GFAP stained in astrocytes of rat hippocampus.
The section was incubated in two rounds of staining : in the order of ab318966 and ab190565, ab201732 for 1 hr at room temperature. The nuclear counterstain was DAPI (Blue). The section was then mounted using Fluoromount®.The immunostaining was performed on a Leica Biosystems BOND® RX instrument. Image was taken with a confocal microscope (Leica-Microsystems, TCS SP8).

Secondary antibody control : Secondary antibody is ab150081 Goat Anti-Rabbit IgG H&L (Alexa Fluor® 488) preadsorbedat 1/1000 2 ug/mL dilution.

Immunohistochemistry (Frozen sections) - Anti-ProDynorphin antibody [EPR28632-48] (AB318966)
  • IHC-Fr

Supplier Data

Immunohistochemistry (Frozen sections) - Anti-ProDynorphin antibody [EPR28632-48] (AB318966)

Immunohistochemical analysis of 4% PFA-fixed, 0.2% Triton X-100 permeabilized frozen Mouse hippocampus (fresh frozen) tissue labeling ProDynorphin with ab318966 at 1/50 (10.06 ug/ml) dilution followed by ab150081 Goat Anti-Rabbit IgG H&L (Alexa Fluor® 488) preadsorbed at 1/1000 2 ug/mL dilution (Green).

Panel A : merged staining of anti-ProDynorphin (ab318966, green), anti-NeuN (ab190565, grey) and anti-GFAP (ab201732, magenta) on mouse hippocampus.
Panel B : anti-ProDynorphin stained on mouse hippocampus.
Panel C : anti-NeuN stained in neurons of mouse hippocampus.
Panel D : anti-GFAP stained in astrocytes of mouse hippocampus.
The section was incubated in two rounds of staining : in the order of ab318966 and ab190565, ab201732 for 1 hr at room temperature. The nuclear counterstain was DAPI (Blue). The section was then mounted using Fluoromount®.The immunostaining was performed on a Leica Biosystems BOND® RX instrument. Image was taken with a confocal microscope (Leica-Microsystems, TCS SP8).

Secondary antibody control : Secondary antibody is ab150081 Goat Anti-Rabbit IgG H&L (Alexa Fluor® 488) preadsorbedat 1/1000 2 ug/mL dilution.

Immunoprecipitation - Anti-ProDynorphin antibody [EPR28632-48] (AB318966)
  • IP

Supplier Data

Immunoprecipitation - Anti-ProDynorphin antibody [EPR28632-48] (AB318966)

ProDynorphin was immunoprecipitated from 0.35 mg Mouse pituitary tissue lysate with ab318966 at 1/30 dilution (2ug in 0.35mg lysates). Western blot was performed on the immunoprecipitate using ab318966 at 1/1000 dilution. VeriBlot for IP secondary antibody(HRP)(ab131366) was used at 1/5000 dilution.

Lane 1 : Mouse pituitary tissue lysate
Lane 2 : ab318966 IP in Mouse pituitary tissue lysate
Lane 3 : Rabbit monoclonal IgG (ab172730) instead of ab318966 in mouse pituitary tissue lysate

All lanes:

Immunoprecipitation - Anti-ProDynorphin antibody [EPR28632-48] (ab318966) at 1/30 dilution

All lanes:

Mouse pituitary tissue lysate

Secondary

All lanes:

Immunoprecipitation - VeriBlot for IP Detection Reagent (HRP) (<a href='/en-us/products/reagents/veriblot-for-ip-detection-reagent-hrp-ab131366'>ab131366</a>) at 1/5000 dilution

false

Exposure time: 15s

Western blot - Anti-ProDynorphin antibody [EPR28632-48] (AB318966)
  • WB

Supplier Data

Western blot - Anti-ProDynorphin antibody [EPR28632-48] (AB318966)

Low expression : cerebellum (PMID : 16966485).

The expression profile/ molecular weight observed is consistent with what has been described in the literature (PMID : 16966485, PMID : 9712897).

In Western blot, Anti-GAPDH antibody [EPR16891] - Loading Control (ab181602) staining at 1/200000 dilution.

All lanes:

Western blot - Anti-ProDynorphin antibody [EPR28632-48] (ab318966) at 1/1000 dilution

Lane 1:

Rat striatum tissue lysate at 20 µg

Lane 2:

Rat brain tissue lysate at 20 µg

Lane 3:

Rat cerebellum tissue lysate at 20 µg

Secondary

All lanes:

Western blot - Goat Anti-Rabbit IgG H&L (HRP) (<a href='/en-us/products/secondary-antibodies/goat-rabbit-igg-h-l-hrp-ab97051'>ab97051</a>) at 1/100000 dilution

Observed band size: 18 kDa,28 kDa,36 kDa

false

Exposure time: 37s

Western blot - Anti-ProDynorphin antibody [EPR28632-48] (AB318966)
  • WB

Supplier Data

Western blot - Anti-ProDynorphin antibody [EPR28632-48] (AB318966)

Low expression : cerebellum (PMID : 16966485).

The expression profile/ molecular weight observed is consistent with what has been described in the literature (PMID : 16966485, PMID : 9712897).

In Western blot, Anti-GAPDH antibody [EPR16891] - Loading Control (ab181602) staining at 1/200000 dilution.

All lanes:

Western blot - Anti-ProDynorphin antibody [EPR28632-48] (ab318966) at 1/1000 dilution

Lane 1:

Mouse striatum tissue lysate at 20 µg

Lane 2:

Mouse brain tissue lysate at 20 µg

Lane 3:

Mouse cerebellum tissue lysate at 20 µg

Secondary

All lanes:

Western blot - Goat Anti-Rabbit IgG H&L (HRP) (<a href='/en-us/products/secondary-antibodies/goat-rabbit-igg-h-l-hrp-ab97051'>ab97051</a>) at 1/100000 dilution

Observed band size: 18 kDa,28 kDa,36 kDa

false

Exposure time: 81s

Western blot - Anti-ProDynorphin antibody [EPR28632-48] (AB318966)
  • WB

Supplier Data

Western blot - Anti-ProDynorphin antibody [EPR28632-48] (AB318966)

Negative control : liver(PMID : 3864164), kidney.

The expression profile/ molecular weight observed is consistent with what has been described in the literature (PMID : 16966485, PMID : 9712897).

In Western blot, Anti-GAPDH antibody [EPR16891] - Loading Control (ab181602) staining at 1/200000 dilution.

All lanes:

Western blot - Anti-ProDynorphin antibody [EPR28632-48] (ab318966) at 1/1000 dilution

Lane 1:

Mouse pituitary tissue lysate at 20 µg

Lane 2:

Mouse kidney tissue lysate at 30 µg

Lane 3:

Mouse liver tissue lysate at 30 µg

Lane 4:

Rat pituitary tissue lysate at 20 µg

Lane 5:

Rat liver tissue lysate at 30 µg

Lane 6:

Rat kidney tissue lysate at 40 µg

Secondary

All lanes:

Western blot - Goat Anti-Rabbit IgG H&L (HRP) (<a href='/en-us/products/secondary-antibodies/goat-rabbit-igg-h-l-hrp-ab97051'>ab97051</a>) at 1/100000 dilution

Observed band size: 18 kDa,28 kDa,36 kDa

false

Exposure time: 10s

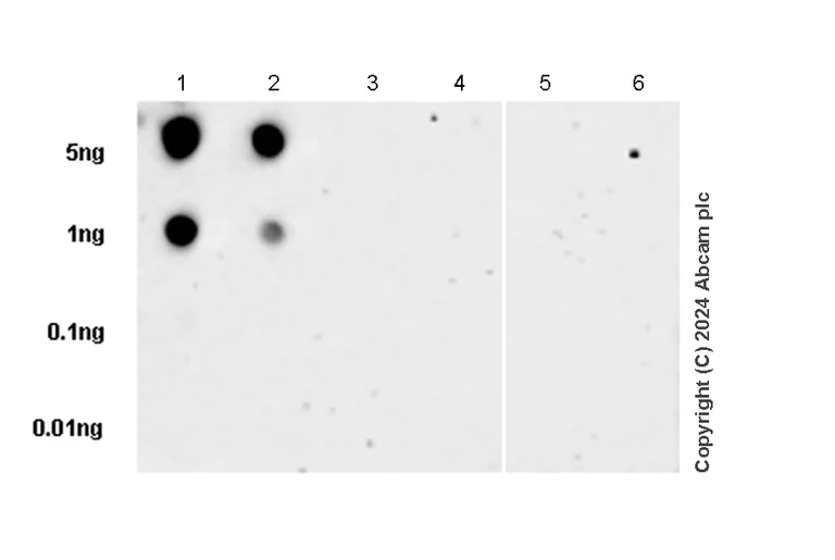
Dot Blot - Anti-ProDynorphin antibody [EPR28632-48] (AB318966)
  • Dot

Supplier Data

Dot Blot - Anti-ProDynorphin antibody [EPR28632-48] (AB318966)

Dot blot analysis of ProDynorphin using ab318966 at 1 : 1000 (0.503 ug/ml) followed by a Goat Anti-Rabbit IgG, (H+L), Peroxidase conjugated (ab97051) at 1 : 100,000 dilution.

Blocking and diluting buffer and concentration : 5% NFDM/TBST.

All lanes:

Dot Blot - Anti-ProDynorphin antibody [EPR28632-48] (ab318966) at 1/1000 dilution

Lane 1:

Mouse Proenkephalin-B full-length protein

Lane 2:

Mouse Proenkephalin-B pro-peptide

Lane 3:

Mouse Proenkephalin-B (Dynorphin A) peptide

Lane 4:

Mouse Proenkephalin-B (Alpha-neoendorphin) peptide

Lane 5:

Mouse Proenkephalin-B (Big dynorphin) peptide

Lane 6:

Mouse Proenkephalin-B peptide

Secondary

All lanes:

Dot Blot - Goat Anti-Rabbit IgG H&L (HRP) (<a href='/en-us/products/secondary-antibodies/goat-rabbit-igg-h-l-hrp-ab97051'>ab97051</a>) at 1/100000 dilution

false

Exposure time: 180s

  • Carrier free

    Anti-ProDynorphin antibody [EPR28632-48] - BSA and Azide free

Key facts

Host species

Rabbit

Clonality

Monoclonal

Clone number

EPR28632-48

Isotype

IgG

Carrier free

No

Reacts with

Mouse, Rat

Applications

IHC-Fr, mIHC, Dot, IHC-P, IP, WB

applications

Immunogen

The exact immunogen used to generate this antibody is proprietary information.

Reactivity data

{ "title": "Reactivity Data", "filters": { "stats": ["", "Species", "Dilution Info", "Notes"], "tabs": { "all-applications": {"fullname" : "All Applications", "shortname": "All Applications"}, "mIHC" : {"fullname" : "Multiplex immunohistochemistry", "shortname":"mIHC"}, "Dot" : {"fullname" : "Dot Blot", "shortname":"Dot"}, "WB" : {"fullname" : "Western blot", "shortname":"WB"}, "IP" : {"fullname" : "Immunoprecipitation", "shortname":"IP"}, "IHCFr" : {"fullname" : "Immunohistochemistry (Frozen sections)", "shortname":"IHC-Fr"}, "IHCP" : {"fullname" : "Immunohistochemistry (Formalin/PFA-fixed paraffin-embedded sections)", "shortname":"IHC-P"}, "ICCIF" : {"fullname" : "Immunocytochemistry/ Immunofluorescence", "shortname":"ICC/IF"} }, "product-promise": { "all": "all", "testedAndGuaranteed": "tested", "guaranteed": "expected", "predicted": "predicted", "notRecommended": "not-recommended" } }, "values": { "Human": { "mIHC-species-checked": "notRecommended", "mIHC-species-dilution-info": "", "mIHC-species-notes": "", "Dot-species-checked": "notRecommended", "Dot-species-dilution-info": "", "Dot-species-notes": "", "WB-species-checked": "notRecommended", "WB-species-dilution-info": "", "WB-species-notes": "<p></p>", "IP-species-checked": "notRecommended", "IP-species-dilution-info": "", "IP-species-notes": "", "IHCFr-species-checked": "notRecommended", "IHCFr-species-dilution-info": "", "IHCFr-species-notes": "", "IHCP-species-checked": "notRecommended", "IHCP-species-dilution-info": "", "IHCP-species-notes": "<p></p>", "ICCIF-species-checked": "notRecommended", "ICCIF-species-dilution-info": "", "ICCIF-species-notes": "" }, "Mouse": { "mIHC-species-checked": "testedAndGuaranteed", "mIHC-species-dilution-info": "", "mIHC-species-notes": "<p></p>", "Dot-species-checked": "guaranteed", "Dot-species-dilution-info": "", "Dot-species-notes": "", "WB-species-checked": "testedAndGuaranteed", "WB-species-dilution-info": "1/1000", "WB-species-notes": "<p></p>", "IP-species-checked": "testedAndGuaranteed", "IP-species-dilution-info": "1/30", "IP-species-notes": "<p></p>", "IHCFr-species-checked": "testedAndGuaranteed", "IHCFr-species-dilution-info": "1/50", "IHCFr-species-notes": "<p></p>", "IHCP-species-checked": "testedAndGuaranteed", "IHCP-species-dilution-info": "1/2000", "IHCP-species-notes": "<p></p> Perform heat-mediated antigen retrieval with Tris/EDTA buffer pH 9.0 before commencing with IHC staining protocol.", "ICCIF-species-checked": "notRecommended", "ICCIF-species-dilution-info": "", "ICCIF-species-notes": "<p></p>" }, "Rat": { "mIHC-species-checked": "guaranteed", "mIHC-species-dilution-info": "", "mIHC-species-notes": "", "Dot-species-checked": "guaranteed", "Dot-species-dilution-info": "", "Dot-species-notes": "", "WB-species-checked": "testedAndGuaranteed", "WB-species-dilution-info": "1/1000", "WB-species-notes": "<p></p>", "IP-species-checked": "guaranteed", "IP-species-dilution-info": "", "IP-species-notes": "", "IHCFr-species-checked": "testedAndGuaranteed", "IHCFr-species-dilution-info": "1/50", "IHCFr-species-notes": "<p></p>", "IHCP-species-checked": "testedAndGuaranteed", "IHCP-species-dilution-info": "1/2000", "IHCP-species-notes": "<p></p> Perform heat-mediated antigen retrieval with Tris/EDTA buffer pH 9.0 before commencing with IHC staining protocol.", "ICCIF-species-checked": "notRecommended", "ICCIF-species-dilution-info": "", "ICCIF-species-notes": "<p></p>" }, "Synthetic peptide - Mouse": { "mIHC-species-checked": "notRecommended", "mIHC-species-dilution-info": "", "mIHC-species-notes": "", "Dot-species-checked": "testedAndGuaranteed", "Dot-species-dilution-info": "1/1000", "Dot-species-notes": "<p></p>", "WB-species-checked": "notRecommended", "WB-species-dilution-info": "", "WB-species-notes": "", "IP-species-checked": "notRecommended", "IP-species-dilution-info": "", "IP-species-notes": "", "IHCFr-species-checked": "notRecommended", "IHCFr-species-dilution-info": "", "IHCFr-species-notes": "", "IHCP-species-checked": "notRecommended", "IHCP-species-dilution-info": "", "IHCP-species-notes": "", "ICCIF-species-checked": "notRecommended", "ICCIF-species-dilution-info": "", "ICCIF-species-notes": "" } } }

Product details

Patented technology
Our RabMAb® technology is a patented hybridoma-based technology for making rabbit monoclonal antibodies. For details on our patents, please refer to RabMAb® patents.

What are the advantages of a recombinant monoclonal antibody?
This product is a recombinant monoclonal antibody, which offers several advantages including:

  • - High batch-to-batch consistency and reproducibility
  • - Improved sensitivity and specificity
  • - Long-term security of supply
  • - Animal-free batch production

For more information, read more on recombinant antibodies.

Properties and storage information

Form
Liquid
Purification technique
Affinity purification Protein A
Storage buffer
pH: 7.2 - 7.4 Preservative: 0.01% Sodium azide Constituents: PBS, 40% Glycerol (glycerin, glycerine), 0.05% BSA
Shipped at conditions
Blue Ice
Appropriate short-term storage duration
1-2 weeks
Appropriate short-term storage conditions
+4°C
Appropriate long-term storage conditions
-20°C
Aliquoting information
Upon delivery aliquot
Storage information
Avoid freeze / thaw cycle

Supplementary information

This supplementary information is collated from multiple sources and compiled automatically.

ProDynorphin also known as PDYN or preproenkephalin B serves as a precursor protein for the dynorphins. Dynorphins are class of opioid peptides that the body uses for modulating pain response and tailored hormone release. ProDynorphin appears with a mass of around 25 kDa and is expressed widely in the brain including areas such as the hippocampus and hypothalamus. Localization in the pituitary gland also occurs where it significantly contributes to the regulation of neuroendocrine systems.
Biological function summary

This protein influences a variety of physiological processes. Neurons express ProDynorphin in abundant amounts reflecting its importance in neurotransmission where it acts through specific receptors like the kappa opioid receptor. ProDynorphin is not known to function as part of a larger multiprotein complex but its role in signal pathways clearly impacts pain perception emotional response and addiction mechanisms in the central nervous system by releasing dynorphin A peptides among others.

Pathways

Researchers link ProDynorphin to significant opioid receptor pathways and stress response mechanisms. The protein interacts with key molecules such as the kappa opioid receptor influencing the opioid receptor signaling pathway. Another pathway influenced by ProDynorphin involves the dopamine system which connects it through shared roles with the peptide proenkephalin leading to potential impacts on reward and mood regulations due to dopamine's activity in these contexts.

ProDynorphin holds significance in conditions like chronic pain and mood disorders. Dysregulation or mutation in the gene encoding this protein associates with altered pain sensitivity and susceptibility to depressive disorders. Its direct connection to the kappa opioid receptor further ties it to addiction-related disorders as kappa receptor signaling commonly impacts withdrawal and relapse behaviors. The study of ProDynorphin within these diseases offers potential therapeutic targets for managing pain and mood dysregulation.

Product protocols

For this product, it's our understanding that no specific protocols are required. You can visit:

Target data

Leu-enkephalins compete with and mimic the effects of opiate drugs. They play a role in a number of physiologic functions, including pain perception and responses to stress (By similarity).. Dynorphin peptides differentially regulate the kappa opioid receptor. Dynorphin A(1-13) has a typical opioid activity, it is 700 times more potent than Leu-enkephalin (By similarity).. Leumorphin has a typical opioid activity and may have anti-apoptotic effect.
See full target information Pdyn

Product promise

We are committed to supporting your work with high-quality reagents, and we're here for you every step of the way. In the unlikely event that one of our products does not perform as expected, you're protected by our Product Promise.
For full details, please see our Terms & Conditions

Please note: All products are 'FOR RESEARCH USE ONLY. NOT FOR USE IN DIAGNOSTIC OR THERAPEUTIC PROCEDURES'.

For licensing inquiries, please contact partnerships@abcam.com