JavaScript is disabled in your browser. Please enable JavaScript to view this website.
AB282598

Anti-Proenkephalin-B antibody [EPR24508-29] - BSA and Azide free

Be the first to review this product! Submit a review

|

(0 Publication)

Rabbit Recombinant Monoclonal ProDynorphin antibody. Carrier free. Suitable for Dot, IHC-P and reacts with Recombinant full length protein - Rat, Rat samples.

View Alternative Names

Proenkephalin-B, Beta-neoendorphin-dynorphin, Preprodynorphin, Pdyn

5 Images
Immunohistochemistry (Formalin/PFA-fixed paraffin-embedded sections) - Anti-Proenkephalin-B antibody [EPR24508-29] - BSA and Azide free (AB282598)
  • IHC-P

Supplier Data

Immunohistochemistry (Formalin/PFA-fixed paraffin-embedded sections) - Anti-Proenkephalin-B antibody [EPR24508-29] - BSA and Azide free (AB282598)

This data was developed using ab282574, the same antibody clone in a different buffer formulation.

Immunohistochemical analysis of paraffin-embedded Rat lung tissue labeling ProDynorphin with ab282574 at 1/4000 (0.146 ug/ml) followed by a Rabbit specific IHC polymer detection kit HRP/DAB (ab209101) at Ready to use dilution. Negative control : no staining on rat lung. The section was incubated with ab282574 for 30 mins at room temperature. The immunostaining was performed on a Leica Biosystems BOND® RX instrument Counterstained with Hematoxylin.

Secondary antibody only control : Secondary antibody is Rabbit specific IHC polymer detection kit HRP/DAB (ab209101) at Ready to use dilution.

Heat mediated antigen retrieval with Tris-EDTA buffer (pH 9.0, epitope retrieval solution2) for 20 mins

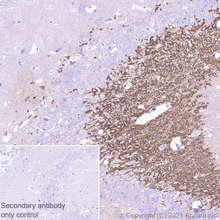
Immunohistochemistry (Formalin/PFA-fixed paraffin-embedded sections) - Anti-Proenkephalin-B antibody [EPR24508-29] - BSA and Azide free (AB282598)
  • IHC-P

Supplier Data

Immunohistochemistry (Formalin/PFA-fixed paraffin-embedded sections) - Anti-Proenkephalin-B antibody [EPR24508-29] - BSA and Azide free (AB282598)

This data was developed using ab282574, the same antibody clone in a different buffer formulation.

Immunohistochemical analysis of paraffin-embedded Rat hippocampus tissue labeling ProDynorphin with ab282574 at 1/4000 (0.146 ug/ml) followed by a Rabbit specific IHC polymer detection kit HRP/DAB (ab209101) at Ready to use dilution. Cytoplasmic staining on rat hippocampus. The section was incubated with ab282574 for 30 mins at room temperature. The immunostaining was performed on a Leica Biosystems BOND® RX instrument. Counterstained with Hematoxylin.

Secondary antibody only control : Secondary antibody is Rabbit specific IHC polymer detection kit HRP/DAB (ab209101) at Ready to use dilution.

Heat mediated antigen retrieval with Tris-EDTA buffer (pH 9.0, epitope retrieval solution2) for 20 mins

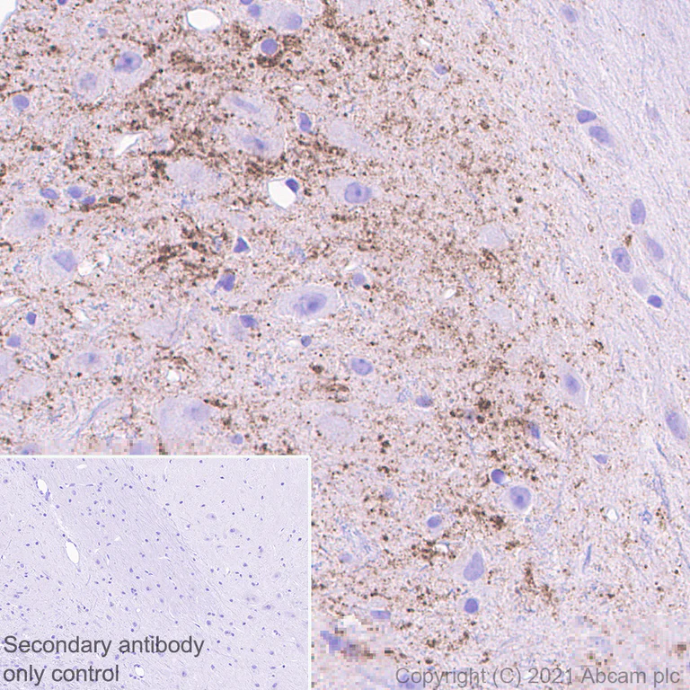
Immunohistochemistry (Formalin/PFA-fixed paraffin-embedded sections) - Anti-Proenkephalin-B antibody [EPR24508-29] - BSA and Azide free (AB282598)
  • IHC-P

Supplier Data

Immunohistochemistry (Formalin/PFA-fixed paraffin-embedded sections) - Anti-Proenkephalin-B antibody [EPR24508-29] - BSA and Azide free (AB282598)

This data was developed using ab282574, the same antibody clone in a different buffer formulation.

Immunohistochemical analysis of paraffin-embedded Rat hypothalamus tissue labeling ProDynorphin with ab282574 at 1/4000 (0.146 ug/ml) followed by a Rabbit specific IHC polymer detection kit HRP/DAB (ab209101) at Ready to use dilution. Cytoplasmic staining on part of rat hypothalamus. The section was incubated with ab282574 for 30 mins at room temperature. The immunostaining was performed on a Leica Biosystems BOND® RX instrument Counterstained with Hematoxylin.

Secondary antibody only control : Secondary antibody is Rabbit specific IHC polymer detection kit HRP/DAB (ab209101) at Ready to use dilution.

Heat mediated antigen retrieval with Tris-EDTA buffer (pH 9.0, epitope retrieval solution2) for 20 mins

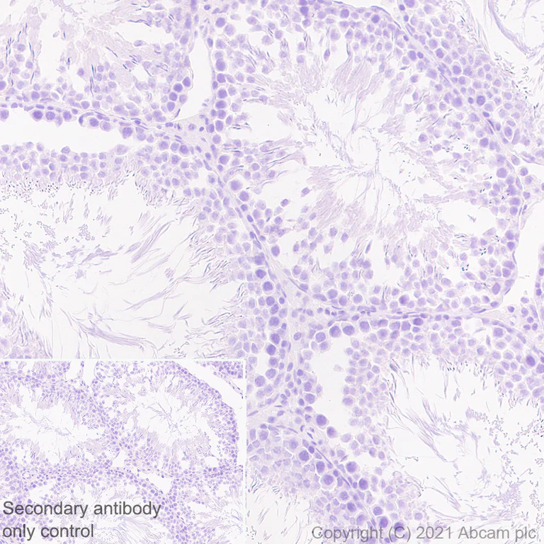
Immunohistochemistry (Formalin/PFA-fixed paraffin-embedded sections) - Anti-Proenkephalin-B antibody [EPR24508-29] - BSA and Azide free (AB282598)
  • IHC-P

Supplier Data

Immunohistochemistry (Formalin/PFA-fixed paraffin-embedded sections) - Anti-Proenkephalin-B antibody [EPR24508-29] - BSA and Azide free (AB282598)

This data was developed using ab282574, the same antibody clone in a different buffer formulation.

Immunohistochemical analysis of paraffin-embedded Rat testis tissue labeling ProDynorphin with ab282574 at 1/4000 (0.146 ug/ml) followed by a Rabbit specific IHC polymer detection kit HRP/DAB (ab209101) at Ready to use dilution. Negative control : no staining on rat testis. The section was incubated with ab282574 for 30 mins at room temperature. The immunostaining was performed on a Leica Biosystems BOND® RX instrument Counterstained with Hematoxylin.

Secondary antibody only control : Secondary antibody is Rabbit specific IHC polymer detection kit HRP/DAB (ab209101) at Ready to use dilution.

Heat mediated antigen retrieval with Tris-EDTA buffer (pH 9.0, epitope retrieval solution2) for 20 mins

Dot Blot - Anti-Proenkephalin-B antibody [EPR24508-29] - BSA and Azide free (AB282598)
  • Dot

Supplier Data

Dot Blot - Anti-Proenkephalin-B antibody [EPR24508-29] - BSA and Azide free (AB282598)

This data was developed using ab282574, the same antibody clone in a different buffer formulation.

Dot blot analysis of ProDynorphin using ab282574 at 1/1000 (0.583 ug/ml) followed by a Goat Anti-Rabbit IgG, (H+L), Peroxidase conjugated (ab97051) at 1/100,000 dilution.

Lane 1 : Rat ProDynorphin full-length protein

Lane 2 : Rat ProDynorphin pro-peptide

Lane 3 : Rat ProDynorphin (Alpha-neoendorphin) peptide

Lane 4 : Rat ProDynorphin (Dynorphin A) peptide

Lane 5 : Rat ProDynorphin (Leu-enkephalin) peptide

Lane 6 : Rat ProDynorphin peptide

Lane 7 : Bovine serum albumin (BSA)

Exposure time : 3 minutes

Blocking and diluting buffer and concentration : 5% NFDM/TBST

Key facts

Host species

Rabbit

Clonality

Monoclonal

Clone number

EPR24508-29

Isotype

IgG

Carrier free

Yes

Reacts with

Rat

Applications

IHC-P, Dot

applications

Immunogen

The exact immunogen used to generate this antibody is proprietary information.

Reactivity data

{ "title": "Reactivity Data", "filters": { "stats": ["", "Species", "Dilution Info", "Notes"], "tabs": { "all-applications": {"fullname" : "All Applications", "shortname": "All Applications"}, "ICCIF" : {"fullname" : "Immunocytochemistry/ Immunofluorescence", "shortname":"ICC/IF"}, "IP" : {"fullname" : "Immunoprecipitation", "shortname":"IP"}, "Dot" : {"fullname" : "Dot Blot", "shortname":"Dot"}, "WB" : {"fullname" : "Western blot", "shortname":"WB"}, "IHCP" : {"fullname" : "Immunohistochemistry (Formalin/PFA-fixed paraffin-embedded sections)", "shortname":"IHC-P"}, "IHCFr" : {"fullname" : "Immunohistochemistry (Frozen sections)", "shortname":"IHC-Fr"}, "FlowCytIntra" : {"fullname" : "Flow Cytometry (Intracellular)", "shortname":"Flow Cyt (Intra)"} }, "product-promise": { "all": "all", "testedAndGuaranteed": "tested", "guaranteed": "expected", "predicted": "predicted", "notRecommended": "not-recommended" } }, "values": { "Human": { "ICCIF-species-checked": "notRecommended", "ICCIF-species-dilution-info": "", "ICCIF-species-notes": "", "IP-species-checked": "notRecommended", "IP-species-dilution-info": "", "IP-species-notes": "", "Dot-species-checked": "notRecommended", "Dot-species-dilution-info": "", "Dot-species-notes": "", "WB-species-checked": "notRecommended", "WB-species-dilution-info": "", "WB-species-notes": "<p></p>", "IHCP-species-checked": "notRecommended", "IHCP-species-dilution-info": "", "IHCP-species-notes": "<p></p>", "IHCFr-species-checked": "notRecommended", "IHCFr-species-dilution-info": "", "IHCFr-species-notes": "", "FlowCytIntra-species-checked": "notRecommended", "FlowCytIntra-species-dilution-info": "", "FlowCytIntra-species-notes": "" }, "Mouse": { "ICCIF-species-checked": "notRecommended", "ICCIF-species-dilution-info": "", "ICCIF-species-notes": "<p></p>", "IP-species-checked": "notRecommended", "IP-species-dilution-info": "", "IP-species-notes": "<p></p>", "Dot-species-checked": "notRecommended", "Dot-species-dilution-info": "", "Dot-species-notes": "", "WB-species-checked": "notRecommended", "WB-species-dilution-info": "", "WB-species-notes": "<p></p>", "IHCP-species-checked": "notRecommended", "IHCP-species-dilution-info": "", "IHCP-species-notes": "<p></p>", "IHCFr-species-checked": "notRecommended", "IHCFr-species-dilution-info": "", "IHCFr-species-notes": "<p></p>", "FlowCytIntra-species-checked": "notRecommended", "FlowCytIntra-species-dilution-info": "", "FlowCytIntra-species-notes": "<p></p>" }, "Rat": { "ICCIF-species-checked": "notRecommended", "ICCIF-species-dilution-info": "", "ICCIF-species-notes": "<p></p>", "IP-species-checked": "notRecommended", "IP-species-dilution-info": "", "IP-species-notes": "<p></p>", "Dot-species-checked": "guaranteed", "Dot-species-dilution-info": "", "Dot-species-notes": "", "WB-species-checked": "notRecommended", "WB-species-dilution-info": "", "WB-species-notes": "<p></p>", "IHCP-species-checked": "testedAndGuaranteed", "IHCP-species-dilution-info": "", "IHCP-species-notes": "<p></p>", "IHCFr-species-checked": "notRecommended", "IHCFr-species-dilution-info": "", "IHCFr-species-notes": "<p></p>", "FlowCytIntra-species-checked": "notRecommended", "FlowCytIntra-species-dilution-info": "", "FlowCytIntra-species-notes": "<p></p>" }, "Recombinant full length protein - Rat": { "ICCIF-species-checked": "notRecommended", "ICCIF-species-dilution-info": "", "ICCIF-species-notes": "", "IP-species-checked": "notRecommended", "IP-species-dilution-info": "", "IP-species-notes": "", "Dot-species-checked": "testedAndGuaranteed", "Dot-species-dilution-info": "", "Dot-species-notes": "<p></p>", "WB-species-checked": "notRecommended", "WB-species-dilution-info": "", "WB-species-notes": "", "IHCP-species-checked": "notRecommended", "IHCP-species-dilution-info": "", "IHCP-species-notes": "", "IHCFr-species-checked": "notRecommended", "IHCFr-species-dilution-info": "", "IHCFr-species-notes": "", "FlowCytIntra-species-checked": "notRecommended", "FlowCytIntra-species-dilution-info": "", "FlowCytIntra-species-notes": "" } } }

Product details

ab282598 is the carrier-free version of ab282574.

Patented technology
Our RabMAb® technology is a patented hybridoma-based technology for making rabbit monoclonal antibodies. For details on our patents, please refer to RabMAb® patents.

What are the advantages of a recombinant monoclonal antibody?
This product is a recombinant monoclonal antibody, which offers several advantages including:

  • - High batch-to-batch consistency and reproducibility
  • - Improved sensitivity and specificity
  • - Long-term security of supply
  • - Animal-free batch production

For more information, read more on recombinant antibodies.

Conjugation ready
Our carrier-free antibodies are typically supplied in a PBS-only formulation, purified and free of BSA, sodium azide and glycerol. This conjugation-ready format is designed for use with fluorochromes, metal isotopes, oligonucleotides, and enzymes, which makes them ideal for antibody labelling, functional and cell-based assays, flow-based assays (e.g. mass cytometry) and Multiplex Imaging applications.

Use our conjugation kits for antibody conjugates that are ready-to-use in as little as 20 minutes with 1 minute hands-on-time and 100% antibody recovery: available for fluorescent dyes, HRP, biotin and gold.

Compatibility
This product is compatible with the Maxpar® Antibody Labeling Kit from Fluidigm, without the need for antibody preparation. Maxpar® is a trademark of Fluidigm Canada Inc.

Properties and storage information

Form
Liquid
Purification technique
Affinity purification Protein A
Storage buffer
Constituents: PBS
Shipped at conditions
Blue Ice
Appropriate short-term storage conditions
+4°C
Appropriate long-term storage conditions
+4°C

Supplementary information

This supplementary information is collated from multiple sources and compiled automatically.

ProDynorphin also known as PDYN or preproenkephalin B serves as a precursor protein for the dynorphins. Dynorphins are class of opioid peptides that the body uses for modulating pain response and tailored hormone release. ProDynorphin appears with a mass of around 25 kDa and is expressed widely in the brain including areas such as the hippocampus and hypothalamus. Localization in the pituitary gland also occurs where it significantly contributes to the regulation of neuroendocrine systems.
Biological function summary

This protein influences a variety of physiological processes. Neurons express ProDynorphin in abundant amounts reflecting its importance in neurotransmission where it acts through specific receptors like the kappa opioid receptor. ProDynorphin is not known to function as part of a larger multiprotein complex but its role in signal pathways clearly impacts pain perception emotional response and addiction mechanisms in the central nervous system by releasing dynorphin A peptides among others.

Pathways

Researchers link ProDynorphin to significant opioid receptor pathways and stress response mechanisms. The protein interacts with key molecules such as the kappa opioid receptor influencing the opioid receptor signaling pathway. Another pathway influenced by ProDynorphin involves the dopamine system which connects it through shared roles with the peptide proenkephalin leading to potential impacts on reward and mood regulations due to dopamine's activity in these contexts.

ProDynorphin holds significance in conditions like chronic pain and mood disorders. Dysregulation or mutation in the gene encoding this protein associates with altered pain sensitivity and susceptibility to depressive disorders. Its direct connection to the kappa opioid receptor further ties it to addiction-related disorders as kappa receptor signaling commonly impacts withdrawal and relapse behaviors. The study of ProDynorphin within these diseases offers potential therapeutic targets for managing pain and mood dysregulation.

Product protocols

For this product, it's our understanding that no specific protocols are required. You can visit:

Target data

Leu-enkephalins compete with and mimic the effects of opiate drugs. They play a role in a number of physiologic functions, including pain perception and responses to stress (By similarity).. Dynorphin peptides differentially regulate the kappa opioid receptor. Dynorphin A(1-13) has a typical opioid activity, it is 700 times more potent than Leu-enkephalin (By similarity).. Leumorphin has a typical opioid activity and may have anti-apoptotic effect.
See full target information Pdyn

Product promise

We are committed to supporting your work with high-quality reagents, and we're here for you every step of the way. In the unlikely event that one of our products does not perform as expected, you're protected by our Product Promise.
For full details, please see our Terms & Conditions

Please note: All products are 'FOR RESEARCH USE ONLY. NOT FOR USE IN DIAGNOSTIC OR THERAPEUTIC PROCEDURES'.

For licensing inquiries, please contact partnerships@abcam.com