JavaScript is disabled in your browser. Please enable JavaScript to view this website.
AB242369

Anti-Profilin 1 antibody [CL3524]

Be the first to review this product! Submit a review

|

(3 Publications)

Mouse Monoclonal Profilin 1 antibody. Suitable for IHC-P, WB and reacts with Human samples. Cited in 3 publications. Immunogen corresponding to Recombinant Fragment Protein within Human PFN1 aa 50 to C-terminus.

View Alternative Names

Profilin-1, Epididymis tissue protein Li 184a, Profilin I, PFN1

7 Images
Immunohistochemistry (Formalin/PFA-fixed paraffin-embedded sections) - Anti-Profilin 1 antibody [CL3524] (AB242369)
  • IHC-P

Supplier Data

Immunohistochemistry (Formalin/PFA-fixed paraffin-embedded sections) - Anti-Profilin 1 antibody [CL3524] (AB242369)

Formalin-fixed, paraffin-embedded human fallopian tube tissue stained for Profilin 1 with ab242369 at a 1 : 1000 dilution in immunohistochemical analysis.

Immunohistochemistry (Formalin/PFA-fixed paraffin-embedded sections) - Anti-Profilin 1 antibody [CL3524] (AB242369)
  • IHC-P

Supplier Data

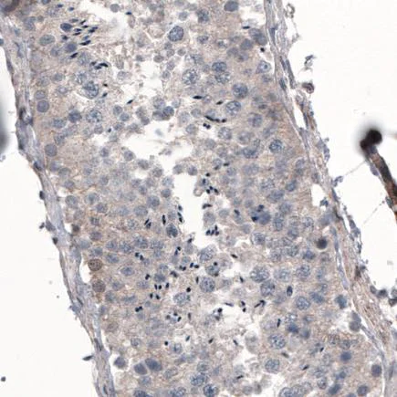
Immunohistochemistry (Formalin/PFA-fixed paraffin-embedded sections) - Anti-Profilin 1 antibody [CL3524] (AB242369)

Formalin-fixed, paraffin-embedded human testis tissue stained for Profilin 1 with ab242369 at a 1 : 1000 dilution in immunohistochemical analysis.

Immunohistochemistry (Formalin/PFA-fixed paraffin-embedded sections) - Anti-Profilin 1 antibody [CL3524] (AB242369)
  • IHC-P

Supplier Data

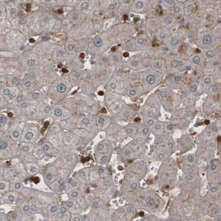
Immunohistochemistry (Formalin/PFA-fixed paraffin-embedded sections) - Anti-Profilin 1 antibody [CL3524] (AB242369)

Formalin-fixed, paraffin-embedded human liver tissue stained for Profilin 1 with ab242369 at a 1 : 1000 dilution in immunohistochemical analysis.

Immunohistochemistry (Formalin/PFA-fixed paraffin-embedded sections) - Anti-Profilin 1 antibody [CL3524] (AB242369)
  • IHC-P

Supplier Data

Immunohistochemistry (Formalin/PFA-fixed paraffin-embedded sections) - Anti-Profilin 1 antibody [CL3524] (AB242369)

Formalin-fixed, paraffin-embedded human kidney tissue stained for Profilin 1 with ab242369 at a 1 : 1000 dilution in immunohistochemical analysis.

Immunohistochemistry (Formalin/PFA-fixed paraffin-embedded sections) - Anti-Profilin 1 antibody [CL3524] (AB242369)
  • IHC-P

Supplier Data

Immunohistochemistry (Formalin/PFA-fixed paraffin-embedded sections) - Anti-Profilin 1 antibody [CL3524] (AB242369)

Formalin-fixed, paraffin-embedded human tonsil tissue stained for Profilin 1 with ab242369 at a 1 : 1000 dilution in immunohistochemical analysis.

Western blot - Anti-Profilin 1 antibody [CL3524] (AB242369)
  • WB

Supplier Data

Western blot - Anti-Profilin 1 antibody [CL3524] (AB242369)

Loading control is anti-GAPDH.

All lanes:

Western blot - Anti-Profilin 1 antibody [CL3524] (ab242369) at 1 µg/mL

Lane 1:

Control siRNA transfected U-251 MG (Human brain glioma cell line) cell lysate

Lanes 2 - 3:

siRNA#1 transfected U-251 MG cell lysate

Predicted band size: 15 kDa

false

Western blot - Anti-Profilin 1 antibody [CL3524] (AB242369)
  • WB

Supplier Data

Western blot - Anti-Profilin 1 antibody [CL3524] (AB242369)

All lanes:

Western blot - Anti-Profilin 1 antibody [CL3524] (ab242369) at 1 µg/mL

Lane 1:

HeLa (Human epithelial cell line from cervix adenocarcinoma) cell lysate

Lane 2:

HEK-293 (Human epithelial cell line from embryonic kidney) cell lysate

Lane 3:

A431 (Human epidermoid carcinoma cell line) cell lysate

Lane 4:

HepG2 (Human liver hepatocellular carcinoma cell line) cell lysate

Predicted band size: 15 kDa

false

Key facts

Host species

Mouse

Clonality

Monoclonal

Clone number

CL3524

Isotype

IgG2a

Carrier free

No

Reacts with

Human

Applications

IHC-P, WB

applications

Immunogen

Recombinant Fragment Protein within Human PFN1 aa 50 to C-terminus. The exact immunogen used to generate this antibody is proprietary information.

P07737

Reactivity data

{ "title": "Reactivity Data", "filters": { "stats": ["", "Species", "Dilution Info", "Notes"], "tabs": { "all-applications": {"fullname" : "All Applications", "shortname": "All Applications"}, "IHCP" : {"fullname" : "Immunohistochemistry (Formalin/PFA-fixed paraffin-embedded sections)", "shortname":"IHC-P"}, "WB" : {"fullname" : "Western blot", "shortname":"WB"} }, "product-promise": { "all": "all", "testedAndGuaranteed": "tested", "guaranteed": "expected", "predicted": "predicted", "notRecommended": "not-recommended" } }, "values": { "Human": { "IHCP-species-checked": "testedAndGuaranteed", "IHCP-species-dilution-info": "1/1000 - 1/2500", "IHCP-species-notes": "<p></p> Perform heat-mediated antigen retrieval with citrate buffer pH 6 before commencing with IHC staining protocol.", "WB-species-checked": "testedAndGuaranteed", "WB-species-dilution-info": "1 µg/mL", "WB-species-notes": "<p></p>" } } }

Properties and storage information

Form
Liquid
Purification technique
Affinity purification Protein A
Purification notes
Purified from TCS.
Storage buffer
pH: 7.2 Preservative: 0.02% Sodium azide Constituents: PBS, 40% Glycerol (glycerin, glycerine)
Shipped at conditions
Blue Ice
Appropriate short-term storage duration
1-2 weeks
Appropriate short-term storage conditions
+4°C
Appropriate long-term storage conditions
-20°C
Aliquoting information
Upon delivery aliquot
Storage information
Avoid freeze / thaw cycle

Supplementary information

This supplementary information is collated from multiple sources and compiled automatically.

Profilin 1 also known as Profilin-1 or Profilin is a small actin-binding protein with a molecular weight of approximately 15 kDa. It is expressed across various tissues including muscle brain and epithelial cells. Profilin 1 interacts with monomeric actin (G-actin) to regulate actin polymerization by binding to actin monomers. This protein also interacts with polyphosphoinositides and proline-rich sequences playing a mechanical role in balancing actin filament assembly and disassembly.
Biological function summary

Profilin 1 acts as an important regulator of the cytoskeleton facilitating cellular processes like motility and division. It participates in the formation of actin filaments by delivering actin monomers to barbed ends promoting polymerization. Profilin 1 is part of the complex that controls actin dynamics and this ability to modulate actin structure allows it to influence cell shape and internal movement. The protein's interactions help support the actin cytoskeleton for intracellular trafficking and signal transduction.

Pathways

Profilin 1 has important roles in the regulation of the actin cytoskeleton and Rho signaling pathways. These pathways are important in cell migration and adhesion. During cellular processes Profilin 1's interactions with actin and polyphosphoinositides link it to other proteins such as Rho GTPases which are associated with cytoskeletal dynamics. Profilin 1 can influence these pathways by modulating actin dynamics and interacting with proteins involved in these signaling cascades.

Disruptions in Profilin 1 function are linked to neurodegenerative diseases and cancer metastasis. For example aberrant Profilin 1 activity can contribute to amyotrophic lateral sclerosis (ALS) by affecting neuronal structure and transport. Dysregulation of its interaction with actin or polyphosphoinositides might also lead to enhanced cancer cell migration and invasion. It may interact with other proteins implicated in these diseases such as the ALS-related protein TDP-43 or cancer-related kinases making it significant in understanding these conditions.

Product protocols

For this product, it's our understanding that no specific protocols are required. You can visit:

Target data

Binds to actin and affects the structure of the cytoskeleton. At high concentrations, profilin prevents the polymerization of actin, whereas it enhances it at low concentrations. By binding to PIP2, it inhibits the formation of IP3 and DG. Inhibits androgen receptor (AR) and HTT aggregation and binding of G-actin is essential for its inhibition of AR.
See full target information PFN1

Publications (3)

Recent publications for all applications. Explore the full list and refine your search

The Journal of biological chemistry 300:105583 PubMed38141770

2023

Actin-binding protein profilin1 is an important determinant of cellular phosphoinositide control.

Applications

Unspecified application

Species

Unspecified reactive species

Morgan M C Ricci,Andrew Orenberg,Lee Ohayon,David Gau,Rachel C Wills,Yongho Bae,Tuhin Das,David Koes,Gerald R V Hammond,Partha Roy

F1000Research 12:348 PubMed37576538

2023

The identification of high-performing antibodies for Profilin-1 for use in Western blot, immunoprecipitation and immunofluorescence.

Applications

WB

Species

Human

Riham Ayoubi,Ian McDowell,Maryam Fotouhi,Kathleen Southern,Peter S McPherson,Carl Laflamme

Nucleic acids research 49:8024-8036 PubMed34223906

2021

LSH catalyzes ATP-driven exchange of histone variants macroH2A1 and macroH2A2.

Applications

Unspecified application

Species

Unspecified reactive species

Kai Ni,Kathrin Muegge
View all publications

Product promise

We are committed to supporting your work with high-quality reagents, and we're here for you every step of the way. In the unlikely event that one of our products does not perform as expected, you're protected by our Product Promise.
For full details, please see our Terms & Conditions

Please note: All products are 'FOR RESEARCH USE ONLY. NOT FOR USE IN DIAGNOSTIC OR THERAPEUTIC PROCEDURES'.

For licensing inquiries, please contact partnerships@abcam.com