JavaScript is disabled in your browser. Please enable JavaScript to view this website.
AB124904

Anti-Profilin 1 antibody [EPR6304]

5

(2 Reviews)

|

(28 Publications)

Knockout Tested Rabbit Recombinant Monoclonal Profilin 1 antibody. Suitable for IHC-P, WB, ICC/IF, Flow Cyt (Intra) and reacts with Human, Mouse, Rat samples. Cited in 28 publications.

View Alternative Names

Profilin-1, Epididymis tissue protein Li 184a, Profilin I, PFN1

12 Images
Immunocytochemistry/ Immunofluorescence - Anti-Profilin 1 antibody [EPR6304] (AB124904)
  • ICC/IF

Unknown

Immunocytochemistry/ Immunofluorescence - Anti-Profilin 1 antibody [EPR6304] (AB124904)

Immunocytochemistry/ Immunofluorescence analysis of Jurkat (Human T cell leukemia T lymphocyte) cells labeling Profilin 1 with Purified ab124904 at 1 : 100 dilution (1.4 µg/ml). Cells were fixed in 100% Methanol. Cells were counterstained with ab195889 Anti-alpha Tubulin antibody [DM1A] - Microtubule Marker (Alexa Fluor® 594) 1 : 200 (2.5 µg/ml). Goat anti rabbit IgG (Alexa Fluor® 488, ab150077) was used as the secondary antibody at 1 : 1000 (2 µg/ml) dilution. DAPI nuclear counterstain. PBS instead of the primary antibody was used as the secondary antibody only control.

Flow Cytometry (Intracellular) - Anti-Profilin 1 antibody [EPR6304] (AB124904)
  • Flow Cyt (Intra)

Unknown

Flow Cytometry (Intracellular) - Anti-Profilin 1 antibody [EPR6304] (AB124904)

Overlay histogram showing HeLa cells stained with unpurifiedab124904 (red line). The cells were fixed with 80% methanol (5 min) and then permeabilized with 0.1% PBS-Tween for 20 min. The cells were then incubated in 1x PBS / 10% normal goat serum / 0.3M glycine to block non-specific protein-protein interactions followed by the antibody (ab124904, 1/1000 dilution) for 30 min at 22°C. The secondary antibody used was Alexa Fluor® 488 goat anti-rabbit IgG (H&L) (ab150077) at 1/2000 dilution for 30 min at 22°C. Isotype control antibody (black line) was rabbit IgG (monoclonal) (0.1μg/1x106 cells) used under the same conditions. Unlabelled sample (blue line) was also used as a control. Acquisition of >5,000 events were collected using a 20mW Argon ion laser (488nm) and 525/30 bandpass filter.

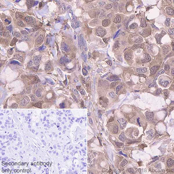
Immunohistochemistry (Formalin/PFA-fixed paraffin-embedded sections) - Anti-Profilin 1 antibody [EPR6304] (AB124904)
  • IHC-P

Unknown

Immunohistochemistry (Formalin/PFA-fixed paraffin-embedded sections) - Anti-Profilin 1 antibody [EPR6304] (AB124904)

Immunohistochemistry (Formalin/PFA-fixed paraffin-embedded sections) analysis of Human breast carcinoma tissue sections labeling Profilin 1 with Purified ab124904 at 1 : 800 dilution (0.18 μg/ml). Heat mediated antigen retrieval was performed using ab93684 (Tris/EDTA buffer, pH 9.0). ImmunoHistoProbe one step HRP Polymer (ready to use)was used as the secondary antibody. Negative control : PBS instead of the primary antibody. Hematoxylin was used as a counterstain.

Immunocytochemistry/ Immunofluorescence - Anti-Profilin 1 antibody [EPR6304] (AB124904)
  • ICC/IF

Unknown

Immunocytochemistry/ Immunofluorescence - Anti-Profilin 1 antibody [EPR6304] (AB124904)

Unpurified ab124904, at 1/250 dilution, staining Profilin 1 in HeLa cells by Immunofluorescence.

Flow Cytometry (Intracellular) - Anti-Profilin 1 antibody [EPR6304] (AB124904)
  • Flow Cyt (Intra)

Unknown

Flow Cytometry (Intracellular) - Anti-Profilin 1 antibody [EPR6304] (AB124904)

Intracellular Flow Cytometry analysis of HeLa (Human cervix adenocarcinoma epithelial cell) cells labeling Profilin 1 with Purified ab124904 at 1/200 dilution (1 μg/ml) (red). Cells were fixed with 80% Methanol. A Goat anti rabbit IgG (Alexa Fluor® 488, ab150077) secondary antibody was used at 1/2000. Isotype control - Rabbit monoclonal IgG (Black). Unlabeled control - Cell without incubation with primary antibody and secondary antibody (Blue).

Immunohistochemistry (Formalin/PFA-fixed paraffin-embedded sections) - Anti-Profilin 1 antibody [EPR6304] (AB124904)
  • IHC-P

Unknown

Immunohistochemistry (Formalin/PFA-fixed paraffin-embedded sections) - Anti-Profilin 1 antibody [EPR6304] (AB124904)

Unpurified ab124904, at 1/500 dilution, staining Profilin 1 in paraffin-embedded human colon tissue by Immunohistochemistry.

Heat mediated antigen retrieval was performed before commencing with IHC staining protocol.

Western blot - Anti-Profilin 1 antibody [EPR6304] (AB124904)
  • WB

Lab

Western blot - Anti-Profilin 1 antibody [EPR6304] (AB124904)

ab124904 was shown to react with PFN1 in wild-type HAP1 cells in Western blot with loss of signal observed in a PFN1 knockout cell line. Wild-type HAP1 and PFN1 knockout cell lysates were subjected to SDS-PAGE. Membranes were blocked in 5% milk in TBST for 1 hr before incubation with ab124904 overnight at 4 °C at a 1/30000 dilution. Blots were incubated with secondary antibodies at 0.2ug/mL before imaging.

This data was provided by YCharOS Inc., an open science company with the mission of characterizing commercially available antibody reagents for all human proteins. Abcam and YCharOS are working together to help address the reproducibility crisis by enabling the life science community to better evaluate commercially available antibodies.

All lanes:

Western blot - Anti-Profilin 1 antibody [EPR6304] (ab124904) at 1/30000 dilution

Lane 1:

Wild-type HAP1 lysate at 20 µg

Lane 2:

PFN1 knock-out HAP1 lysate at 20 µg

Observed band size: 15 kDa

false

Western blot - Anti-Profilin 1 antibody [EPR6304] (AB124904)
  • WB

Unknown

Western blot - Anti-Profilin 1 antibody [EPR6304] (AB124904)

All lanes:

Western blot - Anti-Profilin 1 antibody [EPR6304] (ab124904) at 1/10000 dilution

Lane 1:

Jurkat cell lysate at 10 µg

Lane 2:

JAR cell lysate at 10 µg

Lane 3:

HepG2 cell lysate at 10 µg

Lane 4:

293T cell lysate at 10 µg

Secondary

All lanes:

HRP labelled goat anti-rabbit at 1/2000 dilution

Predicted band size: 15 kDa

Observed band size: 12 kDa

false

Western blot - Anti-Profilin 1 antibody [EPR6304] (AB124904)
  • WB

Lab

Western blot - Anti-Profilin 1 antibody [EPR6304] (AB124904)

All lanes:

Western blot - Anti-Profilin 1 antibody [EPR6304] (ab124904) at 1/10000 dilution

Lane 1:

Jurkat (Human T cell leukemia T lymphocyte) whole cell lysates at 15 µg

Lane 2:

Mouse brain lysates at 15 µg

Lane 3:

Rat brain lysates at 15 µg

Secondary

All lanes:

Western blot - Goat Anti-Rabbit IgG H&L (HRP) (<a href='/en-us/products/secondary-antibodies/goat-rabbit-igg-h-l-hrp-ab97051'>ab97051</a>) at 1/20000 dilution

Predicted band size: 15 kDa

Observed band size: 12 kDa

false

Western blot - Anti-Profilin 1 antibody [EPR6304] (AB124904)
  • WB

Lab

Western blot - Anti-Profilin 1 antibody [EPR6304] (AB124904)

All lanes:

Western blot - Anti-Profilin 1 antibody [EPR6304] (ab124904) at 1/10000 dilution

All lanes:

Human fetal brain lysates at 15 µg

Secondary

All lanes:

Goat Anti-Rabbit IgG (HRP) with minimal cross-reactivity with human IgG at 1/2000 dilution

Predicted band size: 15 kDa

Observed band size: 12 kDa

false

Western blot - Anti-Profilin 1 antibody [EPR6304] (AB124904)
  • WB

Lab

Western blot - Anti-Profilin 1 antibody [EPR6304] (AB124904)

Lanes 1 - 4 : Merged signal (red and green). Green - ab124904 observed at 15 kDa. Red - loading control, ab8245, observed at 37 kDa.

ab124904 was shown to specifically react with in wild-type HAP1 cells as signal was lost in PFN1 knockout cells. Wild-type and PFN1 knockout samples were subjected to SDS-PAGE. The membrane was blocked with 3% NF Milk. ab124904 and ab8245 (Mouse anti-GAPDH loading control) were incubated overnight at 4°C at 1/10000 dilution and 1/20000 dilution respectively. Blots were developed with Goat anti-Rabbit IgG H&L (IRDye® 800CW) preabsorbed ab216773 and Goat anti-Mouse IgG H&L (IRDye® 680RD) preabsorbed ab216776 secondary antibodies at 1/20000 dilution for 1 hour at room temperature before imaging.

All lanes:

Western blot - Anti-Profilin 1 antibody [EPR6304] (ab124904) at 1/1000 dilution

Lane 1:

Wild-type HAP1 whole cell lysate at 20 µg

Lane 2:

PFN1 knockout HAP1 whole cell lysate at 20 µg

Lane 3:

HeLa whole cell lysate at 20 µg

Lane 4:

Jurkat whole cell lysate at 20 µg

Predicted band size: 15 kDa

false

OI-RD Scanning - Anti-Profilin 1 antibody [EPR6304] (AB124904)
  • OI-RD Scanning

Unknown

OI-RD Scanning - Anti-Profilin 1 antibody [EPR6304] (AB124904)

We have systematically measured KD (the equilibrium dissociation constant between the antibody and its antigen), of more than 840 recombinant antibodies to assess not only their individual KD values but also to see the average affinity of antibody. Based on the comparison with published literature values for mouse monoclonal antibodies, Recombinant antibodies appear to be on average 1-2 order of magnitude higher affinity.

Key facts

Host species

Rabbit

Clonality

Monoclonal

Clone number

EPR6304

Isotype

IgG

Carrier free

No

Reacts with

Mouse, Rat, Human

Applications

IHC-P, WB, Flow Cyt (Intra), ICC/IF

applications

Immunogen

The exact immunogen used to generate this antibody is proprietary information.

Specificity

The mouse and rat recommendation is based on the WB results. We do not guarantee IHC-P for mouse and rat.

Reactivity data

{ "title": "Reactivity Data", "filters": { "stats": ["", "Species", "Dilution Info", "Notes"], "tabs": { "all-applications": {"fullname" : "All Applications", "shortname": "All Applications"}, "IHCP" : {"fullname" : "Immunohistochemistry (Formalin/PFA-fixed paraffin-embedded sections)", "shortname":"IHC-P"}, "WB" : {"fullname" : "Western blot", "shortname":"WB"}, "ICCIF" : {"fullname" : "Immunocytochemistry/ Immunofluorescence", "shortname":"ICC/IF"}, "FlowCytIntra" : {"fullname" : "Flow Cytometry (Intracellular)", "shortname":"Flow Cyt (Intra)"} }, "product-promise": { "all": "all", "testedAndGuaranteed": "tested", "guaranteed": "expected", "predicted": "predicted", "notRecommended": "not-recommended" } }, "values": { "Human": { "IHCP-species-checked": "testedAndGuaranteed", "IHCP-species-dilution-info": "1/500 - 1/1000", "IHCP-species-notes": "<p>The mouse and rat recommendation is based on the WB results. We do not guarantee IHC-P for mouse and rat.</p> Perform heat-mediated antigen retrieval before commencing with IHC staining protocol.", "WB-species-checked": "testedAndGuaranteed", "WB-species-dilution-info": "1/10000 - 1/50000", "WB-species-notes": "<p></p>", "ICCIF-species-checked": "testedAndGuaranteed", "ICCIF-species-dilution-info": "1/100", "ICCIF-species-notes": "<p><strong>For unpurified use at 1/250 - 1/500</strong></p>", "FlowCytIntra-species-checked": "testedAndGuaranteed", "FlowCytIntra-species-dilution-info": "1/200", "FlowCytIntra-species-notes": "<p><a href='/en-us/products/primary-antibodies/rabbit-igg-monoclonal-epr25a-isotype-control-ab172730'>ab172730</a> - Rabbit monoclonal IgG, is suitable for use as an isotype control with this antibody.</p>" }, "Mouse": { "IHCP-species-checked": "guaranteed", "IHCP-species-dilution-info": "", "IHCP-species-notes": "", "WB-species-checked": "testedAndGuaranteed", "WB-species-dilution-info": "1/10000 - 1/50000", "WB-species-notes": "<p></p>", "ICCIF-species-checked": "guaranteed", "ICCIF-species-dilution-info": "", "ICCIF-species-notes": "", "FlowCytIntra-species-checked": "guaranteed", "FlowCytIntra-species-dilution-info": "", "FlowCytIntra-species-notes": "" }, "Rat": { "IHCP-species-checked": "guaranteed", "IHCP-species-dilution-info": "", "IHCP-species-notes": "", "WB-species-checked": "testedAndGuaranteed", "WB-species-dilution-info": "1/10000 - 1/50000", "WB-species-notes": "<p></p>", "ICCIF-species-checked": "guaranteed", "ICCIF-species-dilution-info": "", "ICCIF-species-notes": "", "FlowCytIntra-species-checked": "guaranteed", "FlowCytIntra-species-dilution-info": "", "FlowCytIntra-species-notes": "" } } }

Product details

Patented technology
Our RabMAb® technology is a patented hybridoma-based technology for making rabbit monoclonal antibodies. For details on our patents, please refer to RabMAb® patents.

What are the advantages of a recombinant monoclonal antibody?
This product is a recombinant monoclonal antibody, which offers several advantages including:

  • - High batch-to-batch consistency and reproducibility
  • - Improved sensitivity and specificity
  • - Long-term security of supply
  • - Animal-free batch production

For more information, read more on recombinant antibodies.

Properties and storage information

Form
Liquid
Purification technique
Affinity purification Protein A
Storage buffer
pH: 7.2 - 7.4 Preservative: 0.01% Sodium azide Constituents: PBS, 40% Glycerol (glycerin, glycerine), 0.05% BSA
Shipped at conditions
Blue Ice
Appropriate short-term storage duration
1-2 weeks
Appropriate short-term storage conditions
+4°C
Appropriate long-term storage conditions
-20°C
Aliquoting information
Upon delivery aliquot
Storage information
Stable for 12 months at -20°C

Supplementary information

This supplementary information is collated from multiple sources and compiled automatically.

Profilin 1 also known as Profilin-1 or Profilin is a small actin-binding protein with a molecular weight of approximately 15 kDa. It is expressed across various tissues including muscle brain and epithelial cells. Profilin 1 interacts with monomeric actin (G-actin) to regulate actin polymerization by binding to actin monomers. This protein also interacts with polyphosphoinositides and proline-rich sequences playing a mechanical role in balancing actin filament assembly and disassembly.
Biological function summary

Profilin 1 acts as an important regulator of the cytoskeleton facilitating cellular processes like motility and division. It participates in the formation of actin filaments by delivering actin monomers to barbed ends promoting polymerization. Profilin 1 is part of the complex that controls actin dynamics and this ability to modulate actin structure allows it to influence cell shape and internal movement. The protein's interactions help support the actin cytoskeleton for intracellular trafficking and signal transduction.

Pathways

Profilin 1 has important roles in the regulation of the actin cytoskeleton and Rho signaling pathways. These pathways are important in cell migration and adhesion. During cellular processes Profilin 1's interactions with actin and polyphosphoinositides link it to other proteins such as Rho GTPases which are associated with cytoskeletal dynamics. Profilin 1 can influence these pathways by modulating actin dynamics and interacting with proteins involved in these signaling cascades.

Disruptions in Profilin 1 function are linked to neurodegenerative diseases and cancer metastasis. For example aberrant Profilin 1 activity can contribute to amyotrophic lateral sclerosis (ALS) by affecting neuronal structure and transport. Dysregulation of its interaction with actin or polyphosphoinositides might also lead to enhanced cancer cell migration and invasion. It may interact with other proteins implicated in these diseases such as the ALS-related protein TDP-43 or cancer-related kinases making it significant in understanding these conditions.

Product protocols

For this product, it's our understanding that no specific protocols are required. You can visit:

Target data

Binds to actin and affects the structure of the cytoskeleton. At high concentrations, profilin prevents the polymerization of actin, whereas it enhances it at low concentrations. By binding to PIP2, it inhibits the formation of IP3 and DG. Inhibits androgen receptor (AR) and HTT aggregation and binding of G-actin is essential for its inhibition of AR.
See full target information PFN1

Publications (28)

Recent publications for all applications. Explore the full list and refine your search

Glia 73:1707-1726 PubMed40317528

2025

Nuclear Profilin-1 for DNA Damage Repair Is Involved in Phagocytic Impairment of Senescent Microglia.

Applications

Unspecified application

Species

Unspecified reactive species

Chan Rim,Soyoung Sung,Hui-Ju Kim,Seung Hyun Kim,Minyeop Nahm,Min-Soo Kwon

EMBO reports 25:3240-3262 PubMed39026010

2024

The actin binding protein profilin 1 localizes inside mitochondria and is critical for their function.

Applications

Unspecified application

Species

Unspecified reactive species

Tracy-Ann Read,Bruno A Cisterna,Kristen Skruber,Samah Ahmadieh,Tatiana M Liu,Josefine A Vitriol,Yang Shi,Joseph B Black,Mitchell T Butler,Halli L Lindamood,Austin Eyt Lefebvre,Alena Cherezova,Daria V Ilatovskaya,James E Bear,Neal L Weintraub,Eric A Vitriol

Cytoskeleton (Hoboken, N.J.) 82:81-90 PubMed38623956

2024

Haplo-insufficiency of Profilin1 in vascular endothelial cells is beneficial but not sufficient to confer protection against experimentally induced atherosclerosis.

Applications

Unspecified application

Species

Unspecified reactive species

Abigail Allen-Gondringer,David Gau,Partha Dutta,Partha Roy

PNAS nexus 2:pgad305 PubMed37781098

2023

Vascular endothelial cell-specific disruption of the gene leads to severe multiorgan pathology and inflammation causing mortality.

Applications

Unspecified application

Species

Unspecified reactive species

Abigail Allen-Gondringer,David Gau,Christopher Varghese,David Boone,Donna Stolz,Adriana Larregina,Partha Roy

The Journal of biological chemistry 299:105044 PubMed37451478

2023

Vascular endothelial profilin-1 drives a protumorigenic tumor microenvironment and tumor progression in renal cancer.

Applications

Unspecified application

Species

Unspecified reactive species

David Gau,Andrew Daoud,Abigail Allen,Marion Joy,April Sagan,Sanghoon Lee,Peter C Lucas,Stefan Duensing,David Boone,Hatice U Osmanbeyoglu,Partha Roy

F1000Research 12:348 PubMed37576538

2023

The identification of high-performing antibodies for Profilin-1 for use in Western blot, immunoprecipitation and immunofluorescence.

Applications

WB, ICC

Species

Human, Human

Riham Ayoubi,Ian McDowell,Maryam Fotouhi,Kathleen Southern,Peter S McPherson,Carl Laflamme

Advanced science (Weinheim, Baden-Wurttemberg, Germany) 10:e2204786 PubMed36504438

2022

Single-Cell and Spatial Transcriptomics Decodes Wharton's Jelly-Derived Mesenchymal Stem Cells Heterogeneity and a Subpopulation with Wound Repair Signatures.

Applications

Unspecified application

Species

Unspecified reactive species

Penghong Chen,Shijie Tang,Ming Li,Dezhi Wang,Caixiang Chen,Yiqun Qiu,Zhuoqun Fang,Haoruo Zhang,Hangqi Gao,Haiyan Weng,Kailun Hu,Jian Lin,Qingxia Lin,Yi Tan,Shirong Li,Jinghua Chen,Liangwan Chen,Xiaosong Chen

The Journal of neuroscience : the official journal of the Society for Neuroscience 43:540-558 PubMed36460463

2022

mTORC2 Loss in Oligodendrocyte Progenitor Cells Results in Regional Hypomyelination in the Central Nervous System.

Applications

Unspecified application

Species

Unspecified reactive species

Kristin D Dahl,Adam R Almeida,Hannah A Hathaway,Jennifer Bourne,Tanya L Brown,Lisbet T Finseth,Teresa L Wood,Wendy B Macklin

International journal of molecular sciences 23: PubMed35628504

2022

The Amyotrophic Lateral Sclerosis M114T PFN1 Mutation Deregulates Alternative Autophagy Pathways and Mitochondrial Homeostasis.

Applications

Unspecified application

Species

Unspecified reactive species

Elisa Teyssou,Laura Chartier,Delphine Roussel,Nirma D Perera,Ivan Nemazanyy,Dominique Langui,Mélanie Albert,Thierry Larmonier,Safaa Saker,François Salachas,Pierre-François Pradat,Vincent Meininger,Philippe Ravassard,Francine Côté,Christian S Lobsiger,Séverine Boillée,Bradley J Turner,Danielle Seilhean,Stéphanie Millecamps

The EMBO journal 41:e110324 PubMed35451091

2022

TFAM loss induces nuclear actin assembly upon mDia2 malonylation to promote liver cancer metastasis.

Applications

Unspecified application

Species

Unspecified reactive species

Qichao Huang,Dan Wu,Jing Zhao,Zeyu Yan,Lin Chen,Shanshan Guo,Dalin Wang,Chong Yuan,Yinping Wang,Xiaoli Liu,Jinliang Xing
View all publications

Product promise

We are committed to supporting your work with high-quality reagents, and we're here for you every step of the way. In the unlikely event that one of our products does not perform as expected, you're protected by our Product Promise.
For full details, please see our Terms & Conditions

Please note: All products are 'FOR RESEARCH USE ONLY. NOT FOR USE IN DIAGNOSTIC OR THERAPEUTIC PROCEDURES'.

For licensing inquiries, please contact partnerships@abcam.com