JavaScript is disabled in your browser. Please enable JavaScript to view this website.
AB232020

Anti-Profilin 1 antibody [EPR6304] - BSA and Azide free

Be the first to review this product! Submit a review

|

(3 Publications)

Knockout Tested Rabbit Recombinant Monoclonal Profilin 1 antibody. Carrier free. Suitable for Flow Cyt (Intra), ICC/IF, IHC-P, WB and reacts with Human, Mouse, Rat samples. Cited in 3 publications.

View Alternative Names

Profilin-1, Epididymis tissue protein Li 184a, Profilin I, PFN1

9 Images
Immunohistochemistry (Formalin/PFA-fixed paraffin-embedded sections) - Anti-Profilin 1 antibody [EPR6304] - BSA and Azide free (AB232020)
  • IHC-P

Supplier Data

Immunohistochemistry (Formalin/PFA-fixed paraffin-embedded sections) - Anti-Profilin 1 antibody [EPR6304] - BSA and Azide free (AB232020)

Unpurified ab124904, at 1/500 dilution, staining Profilin 1 in paraffin-embedded human colon tissue by Immunohistochemistry.

This data was developed using the same antibody clone in a different buffer formulation containing PBS, BSA, glycerol, and sodium azide (ab124904).

Heat mediated antigen retrieval was performed before commencing with IHC staining protocol.

Immunocytochemistry/ Immunofluorescence - Anti-Profilin 1 antibody [EPR6304] - BSA and Azide free (AB232020)
  • ICC/IF

Unknown

Immunocytochemistry/ Immunofluorescence - Anti-Profilin 1 antibody [EPR6304] - BSA and Azide free (AB232020)

This image was made using ab124904 which is the same antibody as ab232020 with BSA and Azide
Immunocytochemistry/ Immunofluorescence analysis of Jurkat (Human T cell leukemia T lymphocyte) cells labeling Profilin 1 with Purified ab124904 at 1 : 100 dilution (1.4 µg/ml). Cells were fixed in 100% Methanol. Cells were counterstained with ab195889 Anti-alpha Tubulin antibody [DM1A] - Microtubule Marker (Alexa Fluor® 594) 1 : 200 (2.5 µg/ml). Goat anti rabbit IgG (Alexa Fluor® 488, ab150077) was used as the secondary antibody at 1 : 1000 (2 µg/ml) dilution. DAPI nuclear counterstain. PBS instead of the primary antibody was used as the secondary antibody only control.

Flow Cytometry (Intracellular) - Anti-Profilin 1 antibody [EPR6304] - BSA and Azide free (AB232020)
  • Flow Cyt (Intra)

Unknown

Flow Cytometry (Intracellular) - Anti-Profilin 1 antibody [EPR6304] - BSA and Azide free (AB232020)

Overlay histogram showing HeLa cells stained with unpurifiedab124904 (red line). The cells were fixed with 80% methanol (5 min) and then permeabilized with 0.1% PBS-Tween for 20 min. The cells were then incubated in 1x PBS / 10% normal goat serum / 0.3M glycine to block non-specific protein-protein interactions followed by the antibody (ab124904, 1/1000 dilution) for 30 min at 22°C. The secondary antibody used was Alexa Fluor® 488 goat anti-rabbit IgG (H&L) (ab150077) at 1/2000 dilution for 30 min at 22°C. Isotype control antibody (black line) was rabbit IgG (monoclonal) (0.1μg/1x106 cells) used under the same conditions. Unlabelled sample (blue line) was also used as a control. Acquisition of >5,000 events were collected using a 20mW Argon ion laser (488nm) and 525/30 bandpass filter.

This data was developed using the same antibody clone in a different buffer formulation containing PBS, BSA, glycerol, and sodium azide (ab124904).

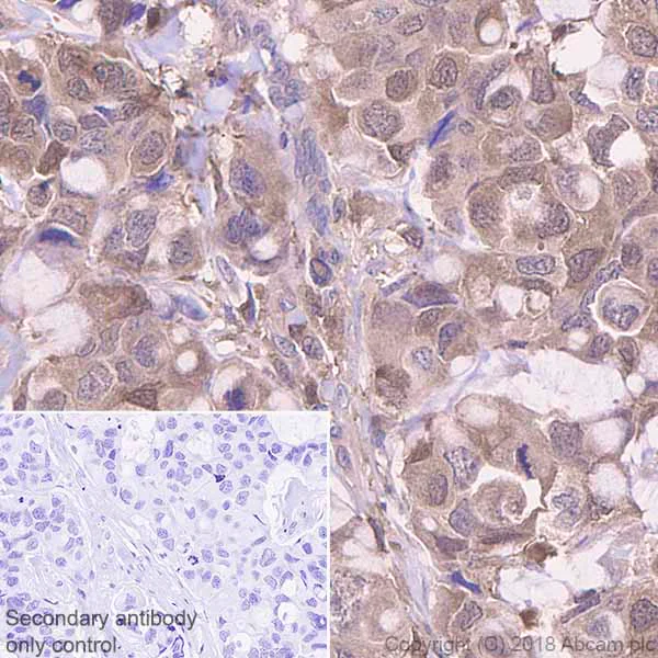
Immunohistochemistry (Formalin/PFA-fixed paraffin-embedded sections) - Anti-Profilin 1 antibody [EPR6304] - BSA and Azide free (AB232020)
  • IHC-P

Unknown

Immunohistochemistry (Formalin/PFA-fixed paraffin-embedded sections) - Anti-Profilin 1 antibody [EPR6304] - BSA and Azide free (AB232020)

This image was made using ab124904 which is the same antibody as ab232020 with BSA and Azide
Immunohistochemistry (Formalin/PFA-fixed paraffin-embedded sections) analysis of Human breast carcinoma tissue sections labeling Profilin 1 with Purified ab124904 at 1 : 800 dilution (0.18 μg/ml). Heat mediated antigen retrieval was performed using ab93684 (Tris/EDTA buffer, pH 9.0). ImmunoHistoProbe one step HRP Polymer (ready to use)was used as the secondary antibody. Negative control : PBS instead of the primary antibody. Hematoxylin was used as a counterstain.

Immunocytochemistry/ Immunofluorescence - Anti-Profilin 1 antibody [EPR6304] - BSA and Azide free (AB232020)
  • ICC/IF

Unknown

Immunocytochemistry/ Immunofluorescence - Anti-Profilin 1 antibody [EPR6304] - BSA and Azide free (AB232020)

Unpurified ab124904, at 1/250 dilution, staining Profilin 1 in HeLa cells by Immunofluorescence.

This data was developed using the same antibody clone in a different buffer formulation containing PBS, BSA, glycerol, and sodium azide (ab124904).

Flow Cytometry (Intracellular) - Anti-Profilin 1 antibody [EPR6304] - BSA and Azide free (AB232020)
  • Flow Cyt (Intra)

Unknown

Flow Cytometry (Intracellular) - Anti-Profilin 1 antibody [EPR6304] - BSA and Azide free (AB232020)

This image was made using ab124904 which is the same antibody as ab232020 with BSA and Azide Intracellular Flow Cytometry analysis of HeLa (Human cervix adenocarcinoma epithelial cell) cells labeling Profilin 1 with Purified ab124904 at 1/200 dilution (1 μg/ml) (red). Cells were fixed with 80% Methanol. A Goat anti rabbit IgG (Alexa Fluor® 488, ab150077) secondary antibody was used at 1/2000. Isotype control - Rabbit monoclonal IgG (Black). Unlabeled control - Cell without incubation with primary antibody and secondary antibody (Blue).

Western blot - Anti-Profilin 1 antibody [EPR6304] - BSA and Azide free (AB232020)
  • WB

Lab

Western blot - Anti-Profilin 1 antibody [EPR6304] - BSA and Azide free (AB232020)

This data was developed using the same antibody clone in a different buffer formulation (ab124904)

ab124904 was shown to react with PFN1 in wild-type HAP1 cells in Western blot with loss of signal observed in a PFN1 knockout cell line. Wild-type HAP1 and PFN1 knockout cell lysates were subjected to SDS-PAGE. Membranes were blocked in 5% milk in TBST for 1 hr before incubation with ab124904 overnight at 4 °C at a 1/30000 dilution. Blots were incubated with secondary antibodies at 0.2ug/mL before imaging.

This data was provided by YCharOS Inc., an open science company with the mission of characterizing commercially available antibody reagents for all human proteins. Abcam and YCharOS are working together to help address the reproducibility crisis by enabling the life science community to better evaluate commercially available antibodies.

All lanes:

Western blot - Anti-Profilin 1 antibody [EPR6304] (<a href='/en-us/products/primary-antibodies/profilin-1-antibody-epr6304-ab124904'>ab124904</a>) at 1/30000 dilution

Lane 1:

Wild-type HAP1 lysate at 20 µg

Lane 2:

PFN1 knock-out HAP1 lysate at 20 µg

Observed band size: 15 kDa

false

Western blot - Anti-Profilin 1 antibody [EPR6304] - BSA and Azide free (AB232020)
  • WB

Lab

Western blot - Anti-Profilin 1 antibody [EPR6304] - BSA and Azide free (AB232020)

This data was developed using the same antibody clone in a different buffer formulation containing PBS, BSA, glycerol, and sodium azide (ab124904).

Lanes 1 - 4 : Merged signal (red and green). Green - ab124904 observed at 15 kDa. Red - loading control, ab8245, observed at 37 kDa.

ab124904 was shown to specifically react with in wild-type HAP1 cells as signal was lost in PFN1 knockout cells. Wild-type and PFN1 knockout samples were subjected to SDS-PAGE. The membrane was blocked with 3% NF Milk. ab124904 and ab8245 (Mouse anti-GAPDH loading control) were incubated overnight at 4°C at 1/10000 dilution and 1/20000 dilution respectively. Blots were developed with Goat anti-Rabbit IgG H&L (IRDye® 800CW) preabsorbed ab216773 and Goat anti-Mouse IgG H&L (IRDye® 680RD) preabsorbed ab216776 secondary antibodies at 1/20000 dilution for 1 hour at room temperature before imaging.

All lanes:

Western blot - Anti-Profilin 1 antibody [EPR6304] (<a href='/en-us/products/primary-antibodies/profilin-1-antibody-epr6304-ab124904'>ab124904</a>) at 1/1000 dilution

Lane 1:

Wild-type HAP1 whole cell lysate at 20 µg

Lane 2:

PFN1 knockout HAP1 whole cell lysate at 20 µg

Lane 3:

HeLa whole cell lysate at 20 µg

Lane 4:

Jurkat whole cell lysate at 20 µg

Predicted band size: 15 kDa

false

OI-RD Scanning - Anti-Profilin 1 antibody [EPR6304] - BSA and Azide free (AB232020)
  • OI-RD Scanning

Unknown

OI-RD Scanning - Anti-Profilin 1 antibody [EPR6304] - BSA and Azide free (AB232020)

We have systematically measured KD (the equilibrium dissociation constant between the antibody and its antigen), of more than 840 recombinant antibodies to assess not only their individual KD values but also to see the average affinity of antibody. Based on the comparison with published literature values for mouse monoclonal antibodies, Recombinant antibodies appear to be on average 1-2 order of magnitude higher affinity.

Key facts

Host species

Rabbit

Clonality

Monoclonal

Clone number

EPR6304

Isotype

IgG

Carrier free

Yes

Reacts with

Mouse, Rat, Human

Applications

Flow Cyt (Intra), ICC/IF, IHC-P, WB

applications

Immunogen

The exact immunogen used to generate this antibody is proprietary information.

Specificity

The mouse and rat recommendation is based on the WB results. We do not guarantee IHC-P for mouse and rat.

Reactivity data

{ "title": "Reactivity Data", "filters": { "stats": ["", "Species", "Dilution Info", "Notes"], "tabs": { "all-applications": {"fullname" : "All Applications", "shortname": "All Applications"}, "FlowCytIntra" : {"fullname" : "Flow Cytometry (Intracellular)", "shortname":"Flow Cyt (Intra)"}, "ICCIF" : {"fullname" : "Immunocytochemistry/ Immunofluorescence", "shortname":"ICC/IF"}, "IHCP" : {"fullname" : "Immunohistochemistry (Formalin/PFA-fixed paraffin-embedded sections)", "shortname":"IHC-P"}, "WB" : {"fullname" : "Western blot", "shortname":"WB"} }, "product-promise": { "all": "all", "testedAndGuaranteed": "tested", "guaranteed": "expected", "predicted": "predicted", "notRecommended": "not-recommended" } }, "values": { "Human": { "FlowCytIntra-species-checked": "testedAndGuaranteed", "FlowCytIntra-species-dilution-info": "", "FlowCytIntra-species-notes": "<p></p>", "ICCIF-species-checked": "testedAndGuaranteed", "ICCIF-species-dilution-info": "", "ICCIF-species-notes": "<p></p>", "IHCP-species-checked": "testedAndGuaranteed", "IHCP-species-dilution-info": "", "IHCP-species-notes": "<p></p>", "WB-species-checked": "testedAndGuaranteed", "WB-species-dilution-info": "", "WB-species-notes": "<p></p>" }, "Mouse": { "FlowCytIntra-species-checked": "guaranteed", "FlowCytIntra-species-dilution-info": "", "FlowCytIntra-species-notes": "", "ICCIF-species-checked": "guaranteed", "ICCIF-species-dilution-info": "", "ICCIF-species-notes": "", "IHCP-species-checked": "guaranteed", "IHCP-species-dilution-info": "", "IHCP-species-notes": "", "WB-species-checked": "testedAndGuaranteed", "WB-species-dilution-info": "", "WB-species-notes": "<p></p>" }, "Rat": { "FlowCytIntra-species-checked": "guaranteed", "FlowCytIntra-species-dilution-info": "", "FlowCytIntra-species-notes": "", "ICCIF-species-checked": "guaranteed", "ICCIF-species-dilution-info": "", "ICCIF-species-notes": "", "IHCP-species-checked": "guaranteed", "IHCP-species-dilution-info": "", "IHCP-species-notes": "", "WB-species-checked": "testedAndGuaranteed", "WB-species-dilution-info": "", "WB-species-notes": "<p></p>" } } }

Product details

ab232020 is the carrier-free version of ab124904.

Patented technology
Our RabMAb® technology is a patented hybridoma-based technology for making rabbit monoclonal antibodies. For details on our patents, please refer to RabMAb® patents.

What are the advantages of a recombinant monoclonal antibody?
This product is a recombinant monoclonal antibody, which offers several advantages including:

  • - High batch-to-batch consistency and reproducibility
  • - Improved sensitivity and specificity
  • - Long-term security of supply
  • - Animal-free batch production

For more information, read more on recombinant antibodies.

Conjugation ready
Our carrier-free antibodies are typically supplied in a PBS-only formulation, purified and free of BSA, sodium azide and glycerol. This conjugation-ready format is designed for use with fluorochromes, metal isotopes, oligonucleotides, and enzymes, which makes them ideal for antibody labelling, functional and cell-based assays, flow-based assays (e.g. mass cytometry) and Multiplex Imaging applications.

Use our conjugation kits for antibody conjugates that are ready-to-use in as little as 20 minutes with 1 minute hands-on-time and 100% antibody recovery: available for fluorescent dyes, HRP, biotin and gold.

Compatibility
This product is compatible with the Maxpar® Antibody Labeling Kit from Fluidigm, without the need for antibody preparation. Maxpar® is a trademark of Fluidigm Canada Inc.

Properties and storage information

Form
Liquid
Purification technique
Affinity purification Protein A
Storage buffer
pH: 7.2 - 7.4 Constituents: 100% PBS
Shipped at conditions
Blue Ice
Appropriate short-term storage conditions
+4°C
Appropriate long-term storage conditions
+4°C
Storage information
Do Not Freeze

Supplementary information

This supplementary information is collated from multiple sources and compiled automatically.

Profilin 1 also known as Profilin-1 or Profilin is a small actin-binding protein with a molecular weight of approximately 15 kDa. It is expressed across various tissues including muscle brain and epithelial cells. Profilin 1 interacts with monomeric actin (G-actin) to regulate actin polymerization by binding to actin monomers. This protein also interacts with polyphosphoinositides and proline-rich sequences playing a mechanical role in balancing actin filament assembly and disassembly.
Biological function summary

Profilin 1 acts as an important regulator of the cytoskeleton facilitating cellular processes like motility and division. It participates in the formation of actin filaments by delivering actin monomers to barbed ends promoting polymerization. Profilin 1 is part of the complex that controls actin dynamics and this ability to modulate actin structure allows it to influence cell shape and internal movement. The protein's interactions help support the actin cytoskeleton for intracellular trafficking and signal transduction.

Pathways

Profilin 1 has important roles in the regulation of the actin cytoskeleton and Rho signaling pathways. These pathways are important in cell migration and adhesion. During cellular processes Profilin 1's interactions with actin and polyphosphoinositides link it to other proteins such as Rho GTPases which are associated with cytoskeletal dynamics. Profilin 1 can influence these pathways by modulating actin dynamics and interacting with proteins involved in these signaling cascades.

Disruptions in Profilin 1 function are linked to neurodegenerative diseases and cancer metastasis. For example aberrant Profilin 1 activity can contribute to amyotrophic lateral sclerosis (ALS) by affecting neuronal structure and transport. Dysregulation of its interaction with actin or polyphosphoinositides might also lead to enhanced cancer cell migration and invasion. It may interact with other proteins implicated in these diseases such as the ALS-related protein TDP-43 or cancer-related kinases making it significant in understanding these conditions.

Product protocols

For this product, it's our understanding that no specific protocols are required. You can visit:

Target data

Binds to actin and affects the structure of the cytoskeleton. At high concentrations, profilin prevents the polymerization of actin, whereas it enhances it at low concentrations. By binding to PIP2, it inhibits the formation of IP3 and DG. Inhibits androgen receptor (AR) and HTT aggregation and binding of G-actin is essential for its inhibition of AR.
See full target information PFN1

Publications (3)

Recent publications for all applications. Explore the full list and refine your search

Molecular therapy. Oncology 33:200915 PubMed39802675

2025

Cell-derived Newcastle disease virus variant with two amino acid substitutions near cleavage site of F shows favorable traits as oncolytic virus.

Applications

Unspecified application

Species

Unspecified reactive species

Marco Huberts,J Fréderique de Graaf,Daphne Groeneveld,Stefan van Nieuwkoop,Ron A M Fouchier,Bernadette G van den Hoogen

Journal of molecular medicine (Berlin, Germany) 101:1015-1028 PubMed37462767

2023

Novel insights into the nervous system affected by prolonged hyperglycemia.

Applications

Unspecified application

Species

Unspecified reactive species

Kamila Zglejc-Waszak,Konark Mukherjee,Agnieszka Korytko,Bogdan Lewczuk,Andrzej Pomianowski,Joanna Wojtkiewicz,Marta Banach,Michał Załęcki,Natalia Nowicka,Julia Jarosławska,Bernard Kordas,Krzysztof Wąsowicz,Judyta K Juranek

Neuropathology : official journal of the Japanese Society of Neuropathology 43:84-94 PubMed35915909

2022

The receptor for advanced glycation end products and its ligands' expression in OVE26 diabetic sciatic nerve during the development of length-dependent neuropathy.

Applications

Unspecified application

Species

Unspecified reactive species

Kamila Zglejc-Waszak,Ann Marie Schmidt,Judyta K Juranek
View all publications

Product promise

We are committed to supporting your work with high-quality reagents, and we're here for you every step of the way. In the unlikely event that one of our products does not perform as expected, you're protected by our Product Promise.
For full details, please see our Terms & Conditions

Please note: All products are 'FOR RESEARCH USE ONLY. NOT FOR USE IN DIAGNOSTIC OR THERAPEUTIC PROCEDURES'.

For licensing inquiries, please contact partnerships@abcam.com