JavaScript is disabled in your browser. Please enable JavaScript to view this website.
AB320642

Anti-Progerin antibody [EPR28694-72]

  • BOND RX™ Validated
  • 20ul selling size
  • Recombinant
  • RabMAb
  • What is this?

Be the first to review this product! Submit a review

|

(0 Publication)

Rabbit Recombinant Monoclonal Lamin-A/C antibody. Suitable for WB, IHC-P, ICC/IF, IP and reacts with Transfected cell lysate - Human, Transfected cell line - Human samples.

View Alternative Names

LMN1, Prelamin-A/C

6 Images
Immunohistochemistry (Formalin/PFA-fixed paraffin-embedded sections) - Anti-Progerin antibody [EPR28694-72] (AB320642)
  • IHC-P

Supplier Data

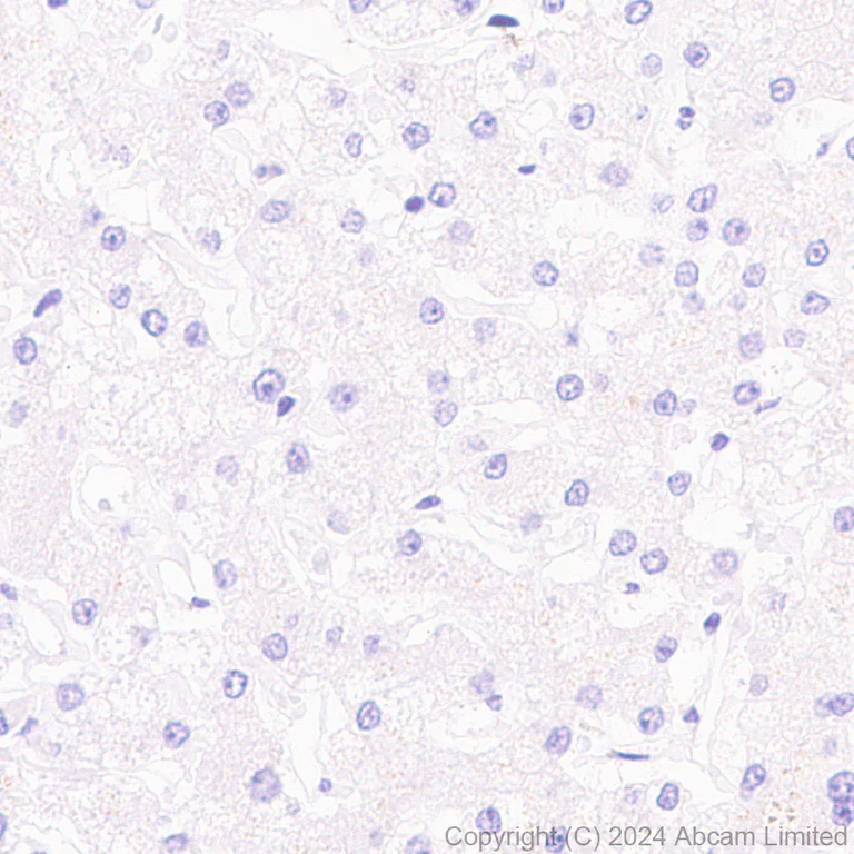
Immunohistochemistry (Formalin/PFA-fixed paraffin-embedded sections) - Anti-Progerin antibody [EPR28694-72] (AB320642)

Immunohistochemical analysis of paraffin-embedded Human liver tissue labeling Progerin with ab320642 at 1/500 (1.018 ug/ml) dilution, followed by a ready to use LeicaDS9800 (Bond™ Polymer Refine Detection).

Negative control : No staining in human liver (PMID : 36497176).
The section was incubated with ab320642 for 30 mins at room temperature.
The immunostaining was performed on a Leica Biosystems BOND® RX instrument

Counterstained with Hematoxylin.

Secondary antibody only control : Secondary antibody is a ready to use LeicaDS9800 (Bond™ Polymer Refine Detection).

Heat mediated antigen retrieval was performed with Tris-EDTA buffer (pH 9.0, Epitope Retrieval Solution2) for 20 mins

Immunohistochemistry (Formalin/PFA-fixed paraffin-embedded sections) - Anti-Progerin antibody [EPR28694-72] (AB320642)
  • IHC-P

Supplier Data

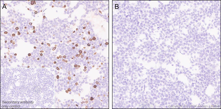
Immunohistochemistry (Formalin/PFA-fixed paraffin-embedded sections) - Anti-Progerin antibody [EPR28694-72] (AB320642)

Immunohistochemical analysis of paraffin-embedded (A) HEK-293T (human embryonic kidney epithelial cell) transfected with a human progerin expression vector containing a Flag-tag and (B) HEK-293T transfected with an empty vector containing a Flag-tag. tissue labeling Progerin with ab320642 at 1/500 (1.018 ug/ml) dilution, followed by a ready to use LeicaDS9800 (Bond™ Polymer Refine Detection).

Positive staining in (A) HEK-293T transfected with a human progerin expression vector containing a Flag-tag. No staining in (B) HEK-293T transfected with an empty vector containing a Flag-tag.
The section was incubated with ab320642 for 30 mins at room temperature.
The immunostaining was performed on a Leica Biosystems BOND® RX instrument

Counterstained with Hematoxylin.

Secondary antibody only control : Secondary antibody is a ready to use LeicaDS9800 (Bond™ Polymer Refine Detection).

Heat mediated antigen retrieval was performed with Tris-EDTA buffer (pH 9.0, Epitope Retrieval Solution2) for 20 mins

Immunocytochemistry/ Immunofluorescence - Anti-Progerin antibody [EPR28694-72] (AB320642)
  • ICC/IF

Supplier Data

Immunocytochemistry/ Immunofluorescence - Anti-Progerin antibody [EPR28694-72] (AB320642)

Immunofluorescent analysis of 4% Paraformaldehyde-fixed, 0.1% TritonX-100 permeabilized 293T (human embryonic kidney epithelial cell) cells labelling Progerin with ab320642 at 1/200 (2.545 ug/ml) dilution, followed by ab150081 Goat Anti-Rabbit IgG H&L (Alexa Fluor® 488) preadsorbed antibody at 1/1000 2 ug/mL dilution (Green).

Confocal image showing nuclear envelope staining in 293T cells transfected with human Progerin expression vector containing a Flag tag (shown in green). The counterstain was observed in magenta. Nuclear DNA was labelled with DAPI (shown in blue). Image was taken with a confocal microscope (Leica-Microsystems, TCS SP8).

Anti-FLAG mouse monoclonal antibody was used to counterstain tubulin at 1/500 2ug/ml dilution (Magenta), followed by ab150120 Goat Anti-Mouse IgG H&L (Alexa Fluor® 594) preadsorbed antibody at 1/1000 2 ug/mL dilution. The Nuclear counterstain was DAPI (Blue).

Secondary antibody only control : Secondary antibody is ab150081 Goat Anti-Rabbit IgG H&L (Alexa Fluor® 488) preadsorbed at 1/1000 2 ug/mL dilution.

Immunoprecipitation - Anti-Progerin antibody [EPR28694-72] (AB320642)
  • IP

Supplier Data

Immunoprecipitation - Anti-Progerin antibody [EPR28694-72] (AB320642)

Progerin was immunoprecipitated from 0.35 mg HEK-293T (human embryonic kidney epithelial cell) cells transfected with a human progerin expression vector containing a Flag-tag whole cell lysate with ab320642 at 1/30 dilution (2ug in 0.35mg lysates). Western blot was performed on the immunoprecipitate using ab320642 at 1/1000 dilution. VeriBlot for IP secondary antibody(HRP)(ab131366) was used at 1/5000 dilution.

Lane 1 : HEK-293T (human embryonic kidney epithelial cell) cells transfected with a human progerin expression vector containing a Flag-tag, whole cell lysate
Lane 2 : ab320642 IP in HEK-293T (human embryonic kidney epithelial cell) cells transfected with a human progerin expression vector containing a Flag-tag whole cell lysate
Lane 3 : Rabbit monoclonal IgG (ab172730) instead of ab320642 in HEK-293T cells transfected with a human progerin expression vector containing a Flag-tag whole cell lysate

Blocking and dilution buffer and concentration : 5% NFDM/TBST

All lanes:

Immunoprecipitation - Anti-Progerin antibody [EPR28694-72] (ab320642) at 1/30 dilution

All lanes:

HEK-293T (human embryonic kidney epithelial cell) cells transfected with a human progerin expression vector containing a Flag-tag whole cell lysate

Secondary

All lanes:

Immunoprecipitation - VeriBlot for IP Detection Reagent (HRP) (<a href='/en-us/products/reagents/veriblot-for-ip-detection-reagent-hrp-ab131366'>ab131366</a>) at 1/5000 dilution

false

Exposure time: 6s

Western blot - Anti-Progerin antibody [EPR28694-72] (AB320642)
  • WB

Supplier Data

Western blot - Anti-Progerin antibody [EPR28694-72] (AB320642)

Blocking and diluting buffer and concentration : 5% NFDM/TBST.

Western blot analysis of HEK-293T cells transfected with a human progerin expression vector containing a Flag-tag whole cell lysate 2 ug mixed with HeLa whole cell lysate 20 ug. The membrane was cut into strips and each strip was incubated separately with the following antibodies : Lane 1 : anti Lamin A + Lamin C antibody ab108595 (1 : 1000), Lane 2 : anti Flag-tag antibody (1 : 10000), Lane 3 : anti-progerin ab320642 (1 : 1000).

The anti-progerin antibody ab320642 specifically detects human progerin.

The expression profile/ molecular weight observed is consistent with what has been described in the literature (PMID : 12714972, PMID : 33408413, PMID : 34694158).

In Western blot, Anti-GAPDH antibody [EPR16891] - Loading Control (ab181602) staining at 1/200000 dilution.

In Western blot, Anti-Lamin A + Lamin C antibody - (ab108595) staining at 64-76KDa dilution.

In Western blot, Anti-Flag tag staining at 1/10000 dilution.

All lanes:

Western blot - Anti-Progerin antibody [EPR28694-72] (ab320642) at 1/1000 dilution

All lanes:

HEK-293T (human embryonic kidney epithelial cell) cells transfected with a human progerin expression vector containing a Flag-tag whole cell lysate 2 μg mixed with HeLa (human cervical adenocarcinoma epithelial cell) whole cell lysate at 20 µg

Secondary

All lanes:

Western blot - Goat Anti-Rabbit IgG H&L (HRP) (<a href='/en-us/products/secondary-antibodies/goat-rabbit-igg-h-l-hrp-ab97051'>ab97051</a>) at 1/100000 dilution

Observed band size: 74 kDa,64-76 kDa

false

Exposure time: 81s

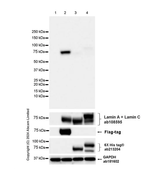
Western blot - Anti-Progerin antibody [EPR28694-72] (AB320642)
  • WB

Supplier Data

Western blot - Anti-Progerin antibody [EPR28694-72] (AB320642)

Blocking and diluting buffer and concentration : 5% NFDM/TBST.

This antibody does not cross-react with human Lamin A and Lamin C.

In Western blot, Anti-GAPDH antibody [EPR16891] - Loading Control (ab181602) staining at 1/200000 dilution.

In Western blot, Anti-Lamin A + Lamin C antibody - (ab108595) staining at 64-76KDa dilution.

In Western blot, Anti-Flag tag staining at 1/10000 dilution.

In Western blot, (Anti-6X His tag® antibody [EPR20547] - ChIP Grade (ab213204) staining at 1/5000 dilution.

All lanes:

Western blot - Anti-Progerin antibody [EPR28694-72] (ab320642) at 1/1000 dilution

Lane 1:

HEK-293T (human embryonic kidney epithelial cell) cells transfected with an empty vector containing a DDDDK-tag, whole cell lysate at 20 µg

Lane 2:

HEK-293T cells transfected with a human progerin expression vector containing a Flag-tag, whole cell lysate at 20 µg

Lane 3:

HEK-293T cells transfected with a human Lamin C expression vector containing a myc-His-tag®, whole cell lysate at 20 µg

Lane 4:

HEK-293T cells transfected with a human Lamin A expression vector containing a myc-His-tag®, whole cell lysate at 20 µg

Secondary

All lanes:

Western blot - Goat Anti-Rabbit IgG H&L (HRP) (<a href='/en-us/products/secondary-antibodies/goat-rabbit-igg-h-l-hrp-ab97051'>ab97051</a>) at 1/100000 dilution

Observed band size: 74 kDa,36 kDa,64-76 kDa

false

Exposure time: 10s

  • Carrier free

    Anti-Progerin antibody [EPR28694-72] - BSA and Azide free

Key facts

Host species

Rabbit

Clonality

Monoclonal

Clone number

EPR28694-72

Isotype

IgG

Carrier free

No

Reacts with

Human

Applications

ICC/IF, IP, IHC-P, WB

applications

Immunogen

The exact immunogen used to generate this antibody is proprietary information.

Reactivity data

{ "title": "Reactivity Data", "filters": { "stats": ["", "Species", "Dilution Info", "Notes"], "tabs": { "all-applications": {"fullname" : "All Applications", "shortname": "All Applications"}, "WB" : {"fullname" : "Western blot", "shortname":"WB"}, "IHCP" : {"fullname" : "Immunohistochemistry (Formalin/PFA-fixed paraffin-embedded sections)", "shortname":"IHC-P"}, "ICCIF" : {"fullname" : "Immunocytochemistry/ Immunofluorescence", "shortname":"ICC/IF"}, "IP" : {"fullname" : "Immunoprecipitation", "shortname":"IP"} }, "product-promise": { "all": "all", "testedAndGuaranteed": "tested", "guaranteed": "expected", "predicted": "predicted", "notRecommended": "not-recommended" } }, "values": { "Human": { "WB-species-checked": "predicted", "WB-species-dilution-info": "", "WB-species-notes": "", "IHCP-species-checked": "predicted", "IHCP-species-dilution-info": "", "IHCP-species-notes": "", "ICCIF-species-checked": "predicted", "ICCIF-species-dilution-info": "", "ICCIF-species-notes": "", "IP-species-checked": "predicted", "IP-species-dilution-info": "", "IP-species-notes": "" }, "Transfected cell line - Human": { "WB-species-checked": "notRecommended", "WB-species-dilution-info": "", "WB-species-notes": "", "IHCP-species-checked": "testedAndGuaranteed", "IHCP-species-dilution-info": "1/500", "IHCP-species-notes": "<p></p> Perform heat-mediated antigen retrieval with Tris/EDTA buffer pH 9.0 before commencing with IHC staining protocol.", "ICCIF-species-checked": "testedAndGuaranteed", "ICCIF-species-dilution-info": "1/200", "ICCIF-species-notes": "<p></p>", "IP-species-checked": "notRecommended", "IP-species-dilution-info": "", "IP-species-notes": "" }, "Transfected cell lysate - Human": { "WB-species-checked": "testedAndGuaranteed", "WB-species-dilution-info": "1/1000", "WB-species-notes": "<p></p>", "IHCP-species-checked": "notRecommended", "IHCP-species-dilution-info": "", "IHCP-species-notes": "", "ICCIF-species-checked": "notRecommended", "ICCIF-species-dilution-info": "", "ICCIF-species-notes": "", "IP-species-checked": "testedAndGuaranteed", "IP-species-dilution-info": "1/30", "IP-species-notes": "<p></p>" } } }

Product details

Patented technology
Our RabMAb® technology is a patented hybridoma-based technology for making rabbit monoclonal antibodies. For details on our patents, please refer to RabMAb® patents.

What are the advantages of a recombinant monoclonal antibody?
This product is a recombinant monoclonal antibody, which offers several advantages including:

  • - High batch-to-batch consistency and reproducibility
  • - Improved sensitivity and specificity
  • - Long-term security of supply
  • - Animal-free batch production

For more information, read more on recombinant antibodies.

Properties and storage information

Form
Liquid
Purification technique
Affinity purification Protein A
Storage buffer
pH: 7.2 - 7.4 Preservative: 0.01% Sodium azide Constituents: PBS, 40% Glycerol (glycerin, glycerine), 0.05% BSA
Shipped at conditions
Blue Ice
Appropriate short-term storage duration
1-2 weeks
Appropriate short-term storage conditions
+4°C
Appropriate long-term storage conditions
-20°C
Aliquoting information
Upon delivery aliquot
Storage information
Avoid freeze / thaw cycle

Supplementary information

This supplementary information is collated from multiple sources and compiled automatically.

Progerin also known as a truncated version of Lamin A (LMNA) is a mutant protein that emerges due to a cryptic splice site in the LMNA gene. This results in a 607 amino acid protein with a mass of approximately 65 kDa. Progerin is expressed in the cell nucleus and accumulates over time predominantly affecting cells with high turnover rates such as those in the skin cardiovascular system and adipose tissues. This abnormal protein disrupts the normal function of the nuclear lamina.
Biological function summary

Progerin acts by compromising cellular structural integrity and altering gene expression. It integrates into the nuclear lamina but fails to undergo proper post-translational modification which is vital for cellular functions like mitosis nuclear migration and chromatin organization. Progerin's presence affects the mechanical properties of the nucleus hindering its role in stress response and inducing cellular aging. This mutant protein functions independently as it does not form part of a larger protein complex but rather disturbs the assembly of the lamina network.

Pathways

Progerin influences the mechanistic pathways responsible for cellular aging and apoptosis. It disrupts the Wnt/β-catenin pathway affecting cell cycle regulation and the MAPK signaling pathway which relates to stress and growth responses. Progerin shares a close association with prelamin A and Lamin C as all these proteins derive from the same LMNA gene and interact through shared pathways influencing nuclear shape and transcriptome stability.

Progerin plays a significant role in Hutchinson-Gilford Progeria Syndrome (HGPS) and is implicated in age-related disorders like arteriosclerosis. HGPS results from the accumulation of Progerin leading to premature aging due to the faulty nuclear architecture. Progerin's relation with other proteins such as Lamin B1 and Lamin C affects the nuclear envelope's integrity exacerbating the progression of these disorders. The presence of Progerin may serve as a potential target for therapeutic interventions aimed at blocking its production or function which could mitigate its effects on aging-related pathologies.

Product protocols

For this product, it's our understanding that no specific protocols are required. You can visit:

Target data

Lamin-A/C. Lamins are intermediate filament proteins that assemble into a filamentous meshwork, and which constitute the major components of the nuclear lamina, a fibrous layer on the nucleoplasmic side of the inner nuclear membrane (PubMed : 10080180, PubMed : 10580070, PubMed : 10587585, PubMed : 10814726, PubMed : 11799477, PubMed : 12075506, PubMed : 12927431, PubMed : 15317753, PubMed : 18551513, PubMed : 18611980, PubMed : 2188730, PubMed : 22431096, PubMed : 2344612, PubMed : 23666920, PubMed : 24741066, PubMed : 31434876, PubMed : 31548606, PubMed : 37788673, PubMed : 37832547). Lamins provide a framework for the nuclear envelope, bridging the nuclear envelope and chromatin, thereby playing an important role in nuclear assembly, chromatin organization, nuclear membrane and telomere dynamics (PubMed : 10080180, PubMed : 10580070, PubMed : 10587585, PubMed : 10814726, PubMed : 11799477, PubMed : 12075506, PubMed : 12927431, PubMed : 15317753, PubMed : 18551513, PubMed : 18611980, PubMed : 22431096, PubMed : 23666920, PubMed : 24741066, PubMed : 31548606, PubMed : 37788673, PubMed : 37832547). Lamin A and C also regulate matrix stiffness by conferring nuclear mechanical properties (PubMed : 23990565, PubMed : 25127216). The structural integrity of the lamina is strictly controlled by the cell cycle, as seen by the disintegration and formation of the nuclear envelope in prophase and telophase, respectively (PubMed : 2188730, PubMed : 2344612). Lamin A and C are present in equal amounts in the lamina of mammals (PubMed : 10080180, PubMed : 10580070, PubMed : 10587585, PubMed : 10814726, PubMed : 11799477, PubMed : 12075506, PubMed : 12927431, PubMed : 15317753, PubMed : 18551513, PubMed : 18611980, PubMed : 22431096, PubMed : 23666920, PubMed : 31548606). Also invoved in DNA repair : recruited by DNA repair proteins XRCC4 and IFFO1 to the DNA double-strand breaks (DSBs) to prevent chromosome translocation by immobilizing broken DNA ends (PubMed : 31548606). Required for normal development of peripheral nervous system and skeletal muscle and for muscle satellite cell proliferation (PubMed : 10080180, PubMed : 10814726, PubMed : 11799477, PubMed : 18551513, PubMed : 22431096). Required for osteoblastogenesis and bone formation (PubMed : 12075506, PubMed : 15317753, PubMed : 18611980). Also prevents fat infiltration of muscle and bone marrow, helping to maintain the volume and strength of skeletal muscle and bone (PubMed : 10587585). Required for cardiac homeostasis (PubMed : 10580070, PubMed : 12927431, PubMed : 18611980, PubMed : 23666920).. Prelamin-A/C. Prelamin-A/C can accelerate smooth muscle cell senescence (PubMed : 20458013). It acts to disrupt mitosis and induce DNA damage in vascular smooth muscle cells (VSMCs), leading to mitotic failure, genomic instability, and premature senescence (PubMed : 20458013).
See full target information LMNA

Product promise

We are committed to supporting your work with high-quality reagents, and we're here for you every step of the way. In the unlikely event that one of our products does not perform as expected, you're protected by our Product Promise.
For full details, please see our Terms & Conditions

Please note: All products are 'FOR RESEARCH USE ONLY. NOT FOR USE IN DIAGNOSTIC OR THERAPEUTIC PROCEDURES'.

For licensing inquiries, please contact partnerships@abcam.com