JavaScript is disabled in your browser. Please enable JavaScript to view this website.
AB187294

Anti-Progesterone Receptor antibody [PR484]

Be the first to review this product! Submit a review

|

(1 Publication)

Mouse Monoclonal Progesterone Receptor antibody. Suitable for IHC-P and reacts with Human samples. Cited in 1 publication. Immunogen corresponding to Recombinant Full Length Protein corresponding to Human PGR.

View Alternative Names

NR3C3, PGR, Progesterone receptor, PR, Nuclear receptor subfamily 3 group C member 3

1 Images
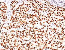
Immunohistochemistry (Formalin/PFA-fixed paraffin-embedded sections) - Anti-Progesterone Receptor antibody [PR484] (AB187294)
  • IHC-P

Supplier Data

Immunohistochemistry (Formalin/PFA-fixed paraffin-embedded sections) - Anti-Progesterone Receptor antibody [PR484] (AB187294)

Immunohistochemical analysis of formalin-fixed, paraffin-embedded Human breast carcinoma tissue labeling Progesterone Receptor with ab187294 at 1 μg/ml.

Key facts

Host species

Mouse

Clonality

Monoclonal

Clone number

PR484

Isotype

IgG1

Light chain type

kappa

Carrier free

No

Reacts with

Human

Applications

IHC-P

applications

Immunogen

Recombinant Full Length Protein corresponding to Human PGR.

P06401

Specificity

ab187294 is specific to progesterone receptor and shows minimal cross-reaction with other members of the family.

Reactivity data

{ "title": "Reactivity Data", "filters": { "stats": ["", "Species", "Dilution Info", "Notes"], "tabs": { "all-applications": {"fullname" : "All Applications", "shortname": "All Applications"}, "IHCP" : {"fullname" : "Immunohistochemistry (Formalin/PFA-fixed paraffin-embedded sections)", "shortname":"IHC-P"} }, "product-promise": { "all": "all", "testedAndGuaranteed": "tested", "guaranteed": "expected", "predicted": "predicted", "notRecommended": "not-recommended" } }, "values": { "Human": { "IHCP-species-checked": "testedAndGuaranteed", "IHCP-species-dilution-info": "1-2 µg/mL", "IHCP-species-notes": "<p></p> Perform heat-mediated antigen retrieval with Tris/EDTA buffer pH 9.0 before commencing with IHC staining protocol." }, "Chimpanzee": { "IHCP-species-checked": "predicted", "IHCP-species-dilution-info": "", "IHCP-species-notes": "" }, "Gorilla": { "IHCP-species-checked": "predicted", "IHCP-species-dilution-info": "", "IHCP-species-notes": "" } } }

Properties and storage information

Form
Liquid
Purification technique
Affinity purification Protein G
Purification notes
ab187294 was purified from Bioreactor Concentrate by Protein A/G.
Storage buffer
pH: 7.2 - 7.4 Preservative: 0.05% Sodium azide Constituents: PBS, 0.05% BSA
Shipped at conditions
Blue Ice
Appropriate short-term storage duration
1-2 weeks
Appropriate short-term storage conditions
+4°C
Appropriate long-term storage conditions
-20°C
Aliquoting information
Upon delivery aliquot
Storage information
Avoid freeze / thaw cycle

Supplementary information

This supplementary information is collated from multiple sources and compiled automatically.

The progesterone receptor (PR) also known as NR3C3 is a nuclear receptor that functions as a transcription factor in response to the hormone progesterone. This receptor has a mass of approximately 99 kDa and is expressed in tissues such as the reproductive organs including the uterus ovaries and mammary glands. It is also found in non-reproductive tissues like the brain and bone. The receptor has two main isoforms PR-A and PR-B which differ slightly in structure but have unique biological roles.
Biological function summary

The progesterone receptor plays a significant role in regulating gene expression related to reproductive processes. PR is not part of a larger complex by itself but interacts with various coactivators and corepressors to modulate transcription. In the uterus and mammary glands PR mediates the effects of progesterone by promoting cell proliferation and preparing tissues for pregnancy. In other systems PR also links to various metabolic and immunological pathways influencing cell cycle progression and immune response.

Pathways

Progesterone receptor activity is integrated within the reproductive hormone signaling pathways and the Wnt signaling pathway. The receptor interacts directly with key proteins such as estrogen receptor (ER) and steroid receptor coactivator (SRC) complexes which are pivotal in modulating response to hormonal signals. These interactions underline the essential role of PR in maintaining hormonal balance and regulating reproductive functions.

The progesterone receptor associates with breast cancer and endometriosis. Aberrant expression or mutations in PR can contribute to the development and progression of breast cancer often linked with the estrogen receptor's influence. In endometriosis PR's altered functionality affects cellular response to progesterone contributing to tissue growth outside the uterus. These conditions also involve interactions with proteins like BRCA1 in breast cancer highlighting how PR connects to broader cellular and pathological networks.

Product protocols

For this product, it's our understanding that no specific protocols are required. You can visit:

Target data

The steroid hormones and their receptors are involved in the regulation of eukaryotic gene expression and affect cellular proliferation and differentiation in target tissues. Depending on the isoform, progesterone receptor functions as a transcriptional activator or repressor.. Isoform A. Ligand-dependent transdominant repressor of steroid hormone receptor transcriptional activity including repression of its isoform B, MR and ER. Transrepressional activity may involve recruitment of corepressor NCOR2.. Isoform B. Transcriptional activator of several progesteron-dependent promoters in a variety of cell types. Involved in activation of SRC-dependent MAPK signaling on hormone stimulation.. Isoform 4. Increases mitochondrial membrane potential and cellular respiration upon stimulation by progesterone.
See full target information PGR

Publications (1)

Recent publications for all applications. Explore the full list and refine your search

Oncoscience 5:75-87 PubMed29854876

2018

Plasma-derived Exosomes Reverse Epithelial-to-Mesenchymal Transition after Photodynamic Therapy of Patients with Head and Neck Cancer.

Applications

Unspecified application

Species

Unspecified reactive species

Marie-Nicole Theodoraki,Saigopalakrishna S Yerneni,Cornelia Brunner,Joannis Theodorakis,Thomas K Hoffmann,Theresa L Whiteside
View all publications

Product promise

We are committed to supporting your work with high-quality reagents, and we're here for you every step of the way. In the unlikely event that one of our products does not perform as expected, you're protected by our Product Promise.
For full details, please see our Terms & Conditions

Please note: All products are 'FOR RESEARCH USE ONLY. NOT FOR USE IN DIAGNOSTIC OR THERAPEUTIC PROCEDURES'.

For licensing inquiries, please contact partnerships@abcam.com