JavaScript is disabled in your browser. Please enable JavaScript to view this website.
AB236222

Anti-Progesterone Receptor antibody [SP42] - BSA and Azide free

Be the first to review this product! Submit a review

|

(1 Publication)

Rabbit Recombinant Monoclonal Progesterone Receptor antibody. Carrier free. Suitable for IHC-P, Flow Cyt, ICC/IF and reacts with Mouse, Human, Rat samples. Cited in 1 publication.

View Alternative Names

NR3C3, PGR, Progesterone receptor, PR, Nuclear receptor subfamily 3 group C member 3

12 Images
Immunohistochemistry (Formalin/PFA-fixed paraffin-embedded sections) - Anti-Progesterone Receptor antibody [SP42] - BSA and Azide free (AB236222)
  • IHC-P

Supplier Data

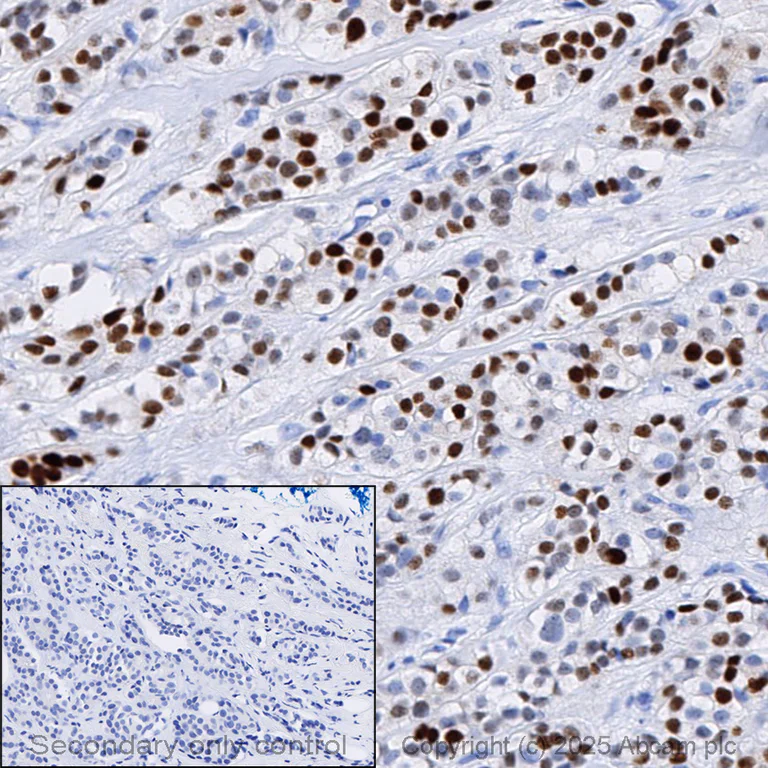
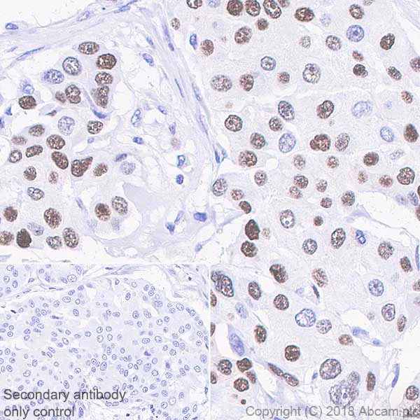
Immunohistochemistry (Formalin/PFA-fixed paraffin-embedded sections) - Anti-Progesterone Receptor antibody [SP42] - BSA and Azide free (AB236222)

Immunohistochemistry (Formalin/PFA-fixed paraffin-embedded sections) analysis of Human breast tissue sections labeling Progesterone Receptor with ab101688 at 1/400 dilution. Heat mediated antigen retrieval with sodium citrate buffer (pH 6.0, epitope retrieval solution 1) for 10mins. Rabbit specific IHC polymer detection kit HRP/DAB (ab209101) was used as the secondary antibody. Hematoxylin was used as a counterstain. Sporadically nuclear staining on human breast tissue, performed on a Leica Biosystems BOND® RX instrument.
This data was developed using the same antibody clone in a different buffer formulation containing PBS, BSA and sodium azide (ab101688).

Immunohistochemistry (Formalin/PFA-fixed paraffin-embedded sections) - Anti-Progesterone Receptor antibody [SP42] - BSA and Azide free (AB236222)
  • IHC-P

Unknown

Immunohistochemistry (Formalin/PFA-fixed paraffin-embedded sections) - Anti-Progesterone Receptor antibody [SP42] - BSA and Azide free (AB236222)

ab101688, at a 1/400 dilution, staining Progesterone Receptor in formalin fixed, paraffin embedded Human breast carcinoma by Immunohistochemistry.

This data was developed using the same antibody clone in a different buffer formulation containing PBS, BSA and sodium azide (ab101688).

Immunocytochemistry/ Immunofluorescence - Anti-Progesterone Receptor antibody [SP42] - BSA and Azide free (AB236222)
  • ICC/IF

Unknown

Immunocytochemistry/ Immunofluorescence - Anti-Progesterone Receptor antibody [SP42] - BSA and Azide free (AB236222)

Immunocytochemistry/ Immunofluorescence analysis of T-47D (human ductal breast epithelial tumor epithelial cell) cells labeling Progesterone Receptor with purified ab101688 at 1 : 100 (2.66 µg/ml). Cells were fixed in 4% paraformaldehyde and permeabilized with 0.1% Triton X-100. Cells were counterstained with ab195889 Anti-alpha Tubulin antibody [DM1A] - Microtubule Marker (Alexa Fluor® 594) 1 : 200 (2.5 µg/ml). Goat anti rabbit IgG (Alexa Fluor® 488, ab150077) was used as the secondary antibody at 1 : 1000 (2 µg/ml) dilution. DAPI nuclear counterstain. PBS instead of the primary antibody was used as the secondary antibody only control.This data was developed using the same antibody clone in a different buffer formulation containing PBS, BSA, glycerol, and sodium azide (ab236222)

Flow Cytometry - Anti-Progesterone Receptor antibody [SP42] - BSA and Azide free (AB236222)
  • Flow Cyt

Unknown

Flow Cytometry - Anti-Progesterone Receptor antibody [SP42] - BSA and Azide free (AB236222)

Flow Cytometry analysis of T-47D (human ductal breast epithelial tumor epithelial cell) cells labeling Progesterone Receptor with purified ab101688 at 1 : 260 dilution (1.02 µg/ml) - Red. Cells were fixed with 4% paraformaldehyde . A Goat anti rabbit IgG (Alexa Fluor® 488, ab150077) secondary antibody was used at 1 : 2000 dilution. Isotype control - Rabbit monoclonal IgG (ab172730) - Black. Unlabeled control - Blue.This data was developed using the same antibody clone in a different buffer formulation containing PBS, BSA, glycerol, and sodium azide (ab236222)

Immunohistochemistry (Formalin/PFA-fixed paraffin-embedded sections) - Anti-Progesterone Receptor antibody [SP42] - BSA and Azide free (AB236222)
  • IHC-P

Lab

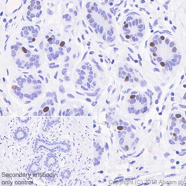
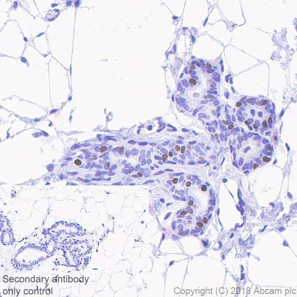
Immunohistochemistry (Formalin/PFA-fixed paraffin-embedded sections) - Anti-Progesterone Receptor antibody [SP42] - BSA and Azide free (AB236222)

This data was developed using ab101688, the same antibody clone in a different buffer formulation.

Immunohistochemical analysis of formalin fixed paraffin embedded human breast carcinoma labelling progesterone receptor with ab101688 at a concentration of 0.8µg/ml. The immunostaining was performed on a Ventana DISCOVERY ULTRA (Roche Tissue Diagnostics) instrument with a OptiView DAB IHC Detection Kit. Heat mediated antigen retrieval was performed with DISCOVERY cell conditioning solution (CC1) 100°C, pH8.5 for 32mins. ab101688 anti-Progesterone Receptor antibody [SP42] was incubated for 16mins at 37°C. Sections were counterstained with Hematoxylin II. Image inset shows absence of staining in secondary antibody only control.

Customers are encouraged to optimise antigen retrieval conditions, antibody concentration, incubation times and temperature for best results in their own IHC assay workflow (automated and manual).

Immunohistochemistry (Formalin/PFA-fixed paraffin-embedded sections) - Anti-Progesterone Receptor antibody [SP42] - BSA and Azide free (AB236222)
  • IHC-P

Supplier Data

Immunohistochemistry (Formalin/PFA-fixed paraffin-embedded sections) - Anti-Progesterone Receptor antibody [SP42] - BSA and Azide free (AB236222)

Immunohistochemistry (Formalin/PFA-fixed paraffin-embedded sections) analysis of Human breast cancer tissue sections labeling Progesterone Receptor with ab101688 at 1/400 dilution. Heat mediated antigen retrieval with sodium citrate buffer (pH 6.0, epitope retrieval solution 1) for 10mins. Rabbit specific IHC polymer detection kit HRP/DAB (ab209101) was used as the secondary antibody. Hematoxylin was used as a counterstain. Nuclear staining on human breast cancer tissue, performed on a Leica Biosystems BOND® RX instrument.
This data was developed using the same antibody clone in a different buffer formulation containing PBS, BSA and sodium azide (ab101688).

Immunohistochemistry (Formalin/PFA-fixed paraffin-embedded sections) - Anti-Progesterone Receptor antibody [SP42] - BSA and Azide free (AB236222)
  • IHC-P

Unknown

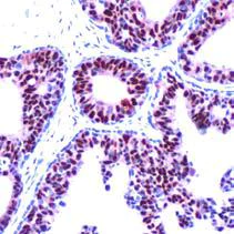
Immunohistochemistry (Formalin/PFA-fixed paraffin-embedded sections) - Anti-Progesterone Receptor antibody [SP42] - BSA and Azide free (AB236222)

Immunohistochemistry (Formalin/PFA-fixed paraffin-embedded sections) analysis of Human breast cancer tissue sections labeling Progesterone Receptor with ab101688 at 1/400 dilution (0.61 μg/ml). Heat mediated antigen retrieval with sodium citrate buffer (pH 6.0, epitope retrieval solution 1) for 10mins. Rabbit specific IHC polymer detection kit HRP/DAB (ab209101) was used as the secondary antibody. Hematoxylin was used as a counterstain. Nuclear staining on human breast cancer, performed on a Leica Biosystems BOND™ RX instrument.
The section was incubated with ab101688 for 30 mins at room temperature.

This image was generated using ab101688, the same clone, but with a different buffer formulation.

Immunohistochemistry (Formalin/PFA-fixed paraffin-embedded sections) - Anti-Progesterone Receptor antibody [SP42] - BSA and Azide free (AB236222)
  • IHC-P

Unknown

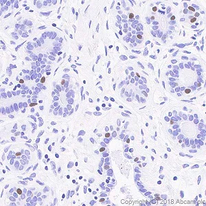
Immunohistochemistry (Formalin/PFA-fixed paraffin-embedded sections) - Anti-Progesterone Receptor antibody [SP42] - BSA and Azide free (AB236222)

Immunohistochemistry (Formalin/PFA-fixed paraffin-embedde sections) analysis of Human breast tissue sections labeling Progesterone Receptor with ab101688 at 1/400 dilution (0.61 μg/ml). Heat mediated antigen retrieval with sodium citrate buffer (pH 6.0, epitope retrieval solution 1) for 10mins. Rabbit specific IHC polymer detection kit HRP/DAB (ab209101) was used as the secondary antibody. Hematoxylin was used as a counterstain. Sporadically nuclear staining on human breast, performed on a Leica Biosystems BOND™ RX instrument.
The section was incubated with ab101688 for 30 mins at room temperature.

This image was generated using ab101688, the same clone, but with a different buffer formulation.

Immunohistochemistry (Formalin/PFA-fixed paraffin-embedded sections) - Anti-Progesterone Receptor antibody [SP42] - BSA and Azide free (AB236222)
  • IHC-P

Unknown

Immunohistochemistry (Formalin/PFA-fixed paraffin-embedded sections) - Anti-Progesterone Receptor antibody [SP42] - BSA and Azide free (AB236222)

Immunohistochemistry (Formalin/PFA-fixed paraffin-embedded sections) analysis of Rat breast tissue sections labeling Progesterone Receptor with ab101688 at 1/400 dilution (0.61 μg/ml). Heat mediated antigen retrieval with sodium citrate buffer (pH 6.0, epitope retrieval solution 1) for 10mins. Rabbit specific IHC polymer detection kit HRP/DAB (ab209101) was used as the secondary antibody. Hematoxylin was used as a counterstain. Nuclear staining on rat breast, performed on a Leica Biosystems BOND™ RX instrument.
The section was incubated with ab101688 for 30 mins at room temperature.

This image was generated using ab101688, the same clone, but with a different buffer formulation.

Immunohistochemistry (Formalin/PFA-fixed paraffin-embedded sections) - Anti-Progesterone Receptor antibody [SP42] - BSA and Azide free (AB236222)
  • IHC-P

Unknown

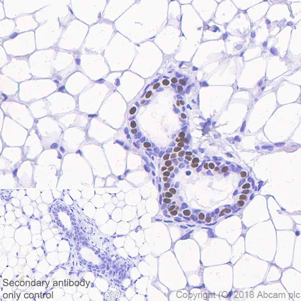
Immunohistochemistry (Formalin/PFA-fixed paraffin-embedded sections) - Anti-Progesterone Receptor antibody [SP42] - BSA and Azide free (AB236222)

Immunohistochemistry (Formalin/PFA-fixed paraffin-embedded sections) analysis of Mouse breast tissue sections labeling Progesterone Receptor with ab101688 at 1/400 dilution (0.61 μg/ml). Heat mediated antigen retrieval with sodium citrate buffer (pH 6.0, epitope retrieval solution 1) for 10mins. Rabbit specific IHC polymer detection kit HRP/DAB (ab209101) was used as the secondary antibody. Hematoxylin was used as a counterstain. Nuclear staining on mouse breast, performed on a Leica Biosystems BOND™ RX instrument.
The section was incubated with ab101688 for 30 mins at room temperature.

This image was generated using ab101688, the same clone, but with a different buffer formulation.

Immunohistochemistry (Formalin/PFA-fixed paraffin-embedded sections) - Anti-Progesterone Receptor antibody [SP42] - BSA and Azide free (AB236222)
  • IHC-P

Supplier Data

Immunohistochemistry (Formalin/PFA-fixed paraffin-embedded sections) - Anti-Progesterone Receptor antibody [SP42] - BSA and Azide free (AB236222)

Immunohistochemistry (Formalin/PFA-fixed paraffin-embedded sections) analysis of Mouse breast tissue sections labeling Progesterone Receptor with ab101688 at 1/400 dilution. Heat mediated antigen retrieval with sodium citrate buffer (pH 6.0, epitope retrieval solution 1) for 10mins. Rabbit specific IHC polymer detection kit HRP/DAB (ab209101) was used as the secondary antibody. Hematoxylin was used as a counterstain. Nuclear staining on mouse breast tissue, performed on a Leica Biosystems BOND® RX instrument.
This data was developed using the same antibody clone in a different buffer formulation containing PBS, BSA and sodium azide (ab101688).

Immunohistochemistry (Formalin/PFA-fixed paraffin-embedded sections) - Anti-Progesterone Receptor antibody [SP42] - BSA and Azide free (AB236222)
  • IHC-P

Supplier Data

Immunohistochemistry (Formalin/PFA-fixed paraffin-embedded sections) - Anti-Progesterone Receptor antibody [SP42] - BSA and Azide free (AB236222)

Immunohistochemistry (Formalin/PFA-fixed paraffin-embedded sections) analysis of Rat breast tissue sections labeling Progesterone Receptor with ab101688 at 1/400 dilution. Heat mediated antigen retrieval with sodium citrate buffer (pH 6.0, epitope retrieval solution 1) for 10mins. Rabbit specific IHC polymer detection kit HRP/DAB (ab209101) was used as the secondary antibody. Hematoxylin was used as a counterstain. Nuclear staining on rat breast tissue, performed on a Leica Biosystems BOND® RX instrument.
This data was developed using the same antibody clone in a different buffer formulation containing PBS, BSA and sodium azide (ab101688).

Key facts

Host species

Rabbit

Clonality

Monoclonal

Clone number

SP42

Isotype

IgG

Carrier free

Yes

Reacts with

Mouse, Rat, Human

Applications

ICC/IF, Flow Cyt, IHC-P

applications

Immunogen

The exact immunogen used to generate this antibody is proprietary information.

Reactivity data

{ "title": "Reactivity Data", "filters": { "stats": ["", "Species", "Dilution Info", "Notes"], "tabs": { "all-applications": {"fullname" : "All Applications", "shortname": "All Applications"}, "IHCP" : {"fullname" : "Immunohistochemistry (Formalin/PFA-fixed paraffin-embedded sections)", "shortname":"IHC-P"}, "FlowCyt" : {"fullname" : "Flow Cytometry", "shortname":"Flow Cyt"}, "ICCIF" : {"fullname" : "Immunocytochemistry/ Immunofluorescence", "shortname":"ICC/IF"} }, "product-promise": { "all": "all", "testedAndGuaranteed": "tested", "guaranteed": "expected", "predicted": "predicted", "notRecommended": "not-recommended" } }, "values": { "Human": { "IHCP-species-checked": "testedAndGuaranteed", "IHCP-species-dilution-info": "", "IHCP-species-notes": "<p>Boil tissue section in 10mM citrate buffer, pH 6.0 for 10 minutes followed by cooling at room temperature for 20 minutes. Incubate primary antibody for 30 minutes at room temperature.</p> Perform heat-mediated antigen retrieval with citrate buffer pH 6 before commencing with IHC staining protocol.", "FlowCyt-species-checked": "testedAndGuaranteed", "FlowCyt-species-dilution-info": "", "FlowCyt-species-notes": "<p></p>", "ICCIF-species-checked": "testedAndGuaranteed", "ICCIF-species-dilution-info": "", "ICCIF-species-notes": "<p></p>" }, "Mouse": { "IHCP-species-checked": "testedAndGuaranteed", "IHCP-species-dilution-info": "", "IHCP-species-notes": "<p>Boil tissue section in 10mM citrate buffer, pH 6.0 for 10 minutes followed by cooling at room temperature for 20 minutes. Incubate primary antibody for 30 minutes at room temperature.</p> Perform heat-mediated antigen retrieval with citrate buffer pH 6 before commencing with IHC staining protocol.", "FlowCyt-species-checked": "guaranteed", "FlowCyt-species-dilution-info": "", "FlowCyt-species-notes": "", "ICCIF-species-checked": "guaranteed", "ICCIF-species-dilution-info": "", "ICCIF-species-notes": "" }, "Rat": { "IHCP-species-checked": "testedAndGuaranteed", "IHCP-species-dilution-info": "", "IHCP-species-notes": "<p>Boil tissue section in 10mM citrate buffer, pH 6.0 for 10 minutes followed by cooling at room temperature for 20 minutes. Incubate primary antibody for 30 minutes at room temperature.</p> Perform heat-mediated antigen retrieval with citrate buffer pH 6 before commencing with IHC staining protocol.", "FlowCyt-species-checked": "guaranteed", "FlowCyt-species-dilution-info": "", "FlowCyt-species-notes": "", "ICCIF-species-checked": "guaranteed", "ICCIF-species-dilution-info": "", "ICCIF-species-notes": "" } } }

Product details

ab236222 is the carrier-free version of ab101688.

What are the advantages of a recombinant monoclonal antibody?
This product is a recombinant monoclonal antibody, which offers several advantages including:

  • - High batch-to-batch consistency and reproducibility
  • - Improved sensitivity and specificity
  • - Long-term security of supply
  • - Animal-free batch production

For more information, read more on recombinant antibodies.

Conjugation ready
Our carrier-free antibodies are typically supplied in a PBS-only formulation, purified and free of BSA, sodium azide and glycerol. This conjugation-ready format is designed for use with fluorochromes, metal isotopes, oligonucleotides, and enzymes, which makes them ideal for antibody labelling, functional and cell-based assays, flow-based assays (e.g. mass cytometry) and Multiplex Imaging applications.

Use our conjugation kits for antibody conjugates that are ready-to-use in as little as 20 minutes with 1 minute hands-on-time and 100% antibody recovery: available for fluorescent dyes, HRP, biotin and gold.

Compatibility
This product is compatible with the Maxpar® Antibody Labeling Kit from Fluidigm, without the need for antibody preparation. Maxpar® is a trademark of Fluidigm Canada Inc.

Properties and storage information

Form
Liquid
Purification technique
Affinity purification Protein A/G
Purification notes
Purified from TCS by protein A/G.
Storage buffer
pH: 7.2 - 7.4 Constituents: PBS
Shipped at conditions
Blue Ice
Appropriate short-term storage conditions
+4°C
Appropriate long-term storage conditions
+4°C
Storage information
Do Not Freeze

Supplementary information

This supplementary information is collated from multiple sources and compiled automatically.

The progesterone receptor (PR) also known as NR3C3 is a nuclear receptor that functions as a transcription factor in response to the hormone progesterone. This receptor has a mass of approximately 99 kDa and is expressed in tissues such as the reproductive organs including the uterus ovaries and mammary glands. It is also found in non-reproductive tissues like the brain and bone. The receptor has two main isoforms PR-A and PR-B which differ slightly in structure but have unique biological roles.
Biological function summary

The progesterone receptor plays a significant role in regulating gene expression related to reproductive processes. PR is not part of a larger complex by itself but interacts with various coactivators and corepressors to modulate transcription. In the uterus and mammary glands PR mediates the effects of progesterone by promoting cell proliferation and preparing tissues for pregnancy. In other systems PR also links to various metabolic and immunological pathways influencing cell cycle progression and immune response.

Pathways

Progesterone receptor activity is integrated within the reproductive hormone signaling pathways and the Wnt signaling pathway. The receptor interacts directly with key proteins such as estrogen receptor (ER) and steroid receptor coactivator (SRC) complexes which are pivotal in modulating response to hormonal signals. These interactions underline the essential role of PR in maintaining hormonal balance and regulating reproductive functions.

The progesterone receptor associates with breast cancer and endometriosis. Aberrant expression or mutations in PR can contribute to the development and progression of breast cancer often linked with the estrogen receptor's influence. In endometriosis PR's altered functionality affects cellular response to progesterone contributing to tissue growth outside the uterus. These conditions also involve interactions with proteins like BRCA1 in breast cancer highlighting how PR connects to broader cellular and pathological networks.

Product protocols

For this product, it's our understanding that no specific protocols are required. You can visit:

Target data

The steroid hormones and their receptors are involved in the regulation of eukaryotic gene expression and affect cellular proliferation and differentiation in target tissues. Depending on the isoform, progesterone receptor functions as a transcriptional activator or repressor.. Isoform A. Ligand-dependent transdominant repressor of steroid hormone receptor transcriptional activity including repression of its isoform B, MR and ER. Transrepressional activity may involve recruitment of corepressor NCOR2.. Isoform B. Transcriptional activator of several progesteron-dependent promoters in a variety of cell types. Involved in activation of SRC-dependent MAPK signaling on hormone stimulation.. Isoform 4. Increases mitochondrial membrane potential and cellular respiration upon stimulation by progesterone.
See full target information PGR

Publications (1)

Recent publications for all applications. Explore the full list and refine your search

Cancer cell 42:444-463.e10 PubMed38428410

2024

Multi-omic profiling of follicular lymphoma reveals changes in tissue architecture and enhanced stromal remodeling in high-risk patients.

Applications

Unspecified application

Species

Unspecified reactive species

Andrea J Radtke,Ekaterina Postovalova,Arina Varlamova,Alexander Bagaev,Maria Sorokina,Olga Kudryashova,Mark Meerson,Margarita Polyakova,Ilia Galkin,Viktor Svekolkin,Sergey Isaev,Daniil Wiebe,Anna Sharun,Alexander Sarachakov,Grigory Perelman,Yaroslav Lozinsky,Ziv Yaniv,Bradley C Lowekamp,Emily Speranza,Li Yao,Stefania Pittaluga,Arthur L Shaffer,Danny Jonigk,James D Phelan,Theresa Davies-Hill,Da Wei Huang,Pavel Ovcharov,Krystle Nomie,Ekaterina Nuzhdina,Nikita Kotlov,Ravshan Ataullakhanov,Nathan Fowler,Michael Kelly,Jagan Muppidi,Jeremy L Davis,Jonathan M Hernandez,Wyndham H Wilson,Elaine S Jaffe,Louis M Staudt,Mark Roschewski,Ronald N Germain
View all publications

Product promise

We are committed to supporting your work with high-quality reagents, and we're here for you every step of the way. In the unlikely event that one of our products does not perform as expected, you're protected by our Product Promise.
For full details, please see our Terms & Conditions

Please note: All products are 'FOR RESEARCH USE ONLY. NOT FOR USE IN DIAGNOSTIC OR THERAPEUTIC PROCEDURES'.

For licensing inquiries, please contact partnerships@abcam.com