JavaScript is disabled in your browser. Please enable JavaScript to view this website.
AB131110

Anti-Progesterone Receptor (phospho S190) antibody

Be the first to review this product! Submit a review

|

(2 Publications)

Rabbit Polyclonal Progesterone Receptor phospho S190 antibody. Suitable for WB, IHC-P, ICC/IF and reacts with Human samples. Cited in 2 publications. Immunogen corresponding to Synthetic Peptide within Human PGR phospho S190.

View Alternative Names

NR3C3, PGR, Progesterone receptor, PR, Nuclear receptor subfamily 3 group C member 3

3 Images
Immunocytochemistry/ Immunofluorescence - Anti-Progesterone Receptor (phospho S190) antibody (AB131110)
  • ICC/IF

Unknown

Immunocytochemistry/ Immunofluorescence - Anti-Progesterone Receptor (phospho S190) antibody (AB131110)

Immunocytochemistry/ Immunofluorescence analysis of methanol-fixed MCF cells labelling Progesterone Receptor (phospho S190) with ab131110 at 1/100 dilution.

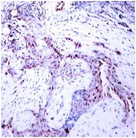
Immunohistochemistry (Formalin/PFA-fixed paraffin-embedded sections) - Anti-Progesterone Receptor (phospho S190) antibody (AB131110)
  • IHC-P

Unknown

Immunohistochemistry (Formalin/PFA-fixed paraffin-embedded sections) - Anti-Progesterone Receptor (phospho S190) antibody (AB131110)

Immunohistochemical analysis of paraffin-embedded Human breast carcinoma cells labelling Progesterone Receptor (phospho S190) with ab131110 at 1/50 dilution.

Western blot - Anti-Progesterone Receptor (phospho S190) antibody (AB131110)
  • WB

Unknown

Western blot - Anti-Progesterone Receptor (phospho S190) antibody (AB131110)

Incubate membrane with diluted antibody in 5% non-fat milk, 1 x TBS, 0.1% Tween20 at 4°C overnight with shaking.

All lanes:

Western blot - Anti-Progesterone Receptor (phospho S190) antibody (ab131110) at 1/500 dilution

Lane 1:

SKOV3 cell extracts, untreated

Lane 2:

SKOV3 cell extracts, treated with EGF

Predicted band size: 98 kDa

false

Key facts

Host species

Rabbit

Clonality

Polyclonal

Isotype

IgG

Carrier free

No

Reacts with

Human

Applications

ICC/IF, WB, IHC-P

applications

Immunogen

Synthetic Peptide within Human PGR phospho S190. The exact immunogen used to generate this antibody is proprietary information.

P06401

Reactivity data

{ "title": "Reactivity Data", "filters": { "stats": ["", "Species", "Dilution Info", "Notes"], "tabs": { "all-applications": {"fullname" : "All Applications", "shortname": "All Applications"}, "WB" : {"fullname" : "Western blot", "shortname":"WB"}, "IHCP" : {"fullname" : "Immunohistochemistry (Formalin/PFA-fixed paraffin-embedded sections)", "shortname":"IHC-P"}, "ICCIF" : {"fullname" : "Immunocytochemistry/ Immunofluorescence", "shortname":"ICC/IF"} }, "product-promise": { "all": "all", "testedAndGuaranteed": "tested", "guaranteed": "expected", "predicted": "predicted", "notRecommended": "not-recommended" } }, "values": { "Human": { "WB-species-checked": "testedAndGuaranteed", "WB-species-dilution-info": "1/500 - 1/1000", "WB-species-notes": "<p></p>", "IHCP-species-checked": "testedAndGuaranteed", "IHCP-species-dilution-info": "1/50 - 1/100", "IHCP-species-notes": "<p></p>", "ICCIF-species-checked": "testedAndGuaranteed", "ICCIF-species-dilution-info": "1/100 - 1/200", "ICCIF-species-notes": "<p></p>" }, "Mouse": { "WB-species-checked": "predicted", "WB-species-dilution-info": "", "WB-species-notes": "", "IHCP-species-checked": "predicted", "IHCP-species-dilution-info": "", "IHCP-species-notes": "", "ICCIF-species-checked": "predicted", "ICCIF-species-dilution-info": "", "ICCIF-species-notes": "" }, "Rat": { "WB-species-checked": "predicted", "WB-species-dilution-info": "", "WB-species-notes": "", "IHCP-species-checked": "predicted", "IHCP-species-dilution-info": "", "IHCP-species-notes": "", "ICCIF-species-checked": "predicted", "ICCIF-species-dilution-info": "", "ICCIF-species-notes": "" } } }

Properties and storage information

Form
Liquid
Purification technique
Affinity purification Immunogen
Purification notes
ab131110 was affinity-purified by affinity-chromatography using epitope-specific phosphopeptide. The antibody against non-phosphopeptide was removed by chromatography using non-phosphopeptide corresponding to the phosphorylation site.
Storage buffer
pH: 7.4 Preservative: 0.02% Sodium azide Constituents: PBS, 50% Glycerol (glycerin, glycerine), 0.88% Sodium chloride
Shipped at conditions
Blue Ice
Appropriate short-term storage conditions
+4°C
Appropriate long-term storage conditions
-20°C
Storage information
Stable for 12 months at -20°C

Supplementary information

This supplementary information is collated from multiple sources and compiled automatically.

The progesterone receptor (PR) also known as NR3C3 is a nuclear receptor that functions as a transcription factor in response to the hormone progesterone. This receptor has a mass of approximately 99 kDa and is expressed in tissues such as the reproductive organs including the uterus ovaries and mammary glands. It is also found in non-reproductive tissues like the brain and bone. The receptor has two main isoforms PR-A and PR-B which differ slightly in structure but have unique biological roles.
Biological function summary

The progesterone receptor plays a significant role in regulating gene expression related to reproductive processes. PR is not part of a larger complex by itself but interacts with various coactivators and corepressors to modulate transcription. In the uterus and mammary glands PR mediates the effects of progesterone by promoting cell proliferation and preparing tissues for pregnancy. In other systems PR also links to various metabolic and immunological pathways influencing cell cycle progression and immune response.

Pathways

Progesterone receptor activity is integrated within the reproductive hormone signaling pathways and the Wnt signaling pathway. The receptor interacts directly with key proteins such as estrogen receptor (ER) and steroid receptor coactivator (SRC) complexes which are pivotal in modulating response to hormonal signals. These interactions underline the essential role of PR in maintaining hormonal balance and regulating reproductive functions.

The progesterone receptor associates with breast cancer and endometriosis. Aberrant expression or mutations in PR can contribute to the development and progression of breast cancer often linked with the estrogen receptor's influence. In endometriosis PR's altered functionality affects cellular response to progesterone contributing to tissue growth outside the uterus. These conditions also involve interactions with proteins like BRCA1 in breast cancer highlighting how PR connects to broader cellular and pathological networks.

Product protocols

For this product, it's our understanding that no specific protocols are required. You can visit:

Target data

The steroid hormones and their receptors are involved in the regulation of eukaryotic gene expression and affect cellular proliferation and differentiation in target tissues. Depending on the isoform, progesterone receptor functions as a transcriptional activator or repressor.. Isoform A. Ligand-dependent transdominant repressor of steroid hormone receptor transcriptional activity including repression of its isoform B, MR and ER. Transrepressional activity may involve recruitment of corepressor NCOR2.. Isoform B. Transcriptional activator of several progesteron-dependent promoters in a variety of cell types. Involved in activation of SRC-dependent MAPK signaling on hormone stimulation.. Isoform 4. Increases mitochondrial membrane potential and cellular respiration upon stimulation by progesterone.
See full target information PGR phospho S190

Publications (2)

Recent publications for all applications. Explore the full list and refine your search

Journal of inflammation research 17:11175-11193 PubMed39713717

2024

Hsa_circRNA_100791 Modulates Trim13 Through Sponging miR-487b-5p to Facilitate Inflammation in Allergic Rhinitis.

Applications

Unspecified application

Species

Unspecified reactive species

Jianhua Wu,Yisha Wu,Peng Jin,Xiaoxue Zi,Yuzhu Wan,Kaiyue Sun,Li Shi,Deyun Wang

Advanced science (Weinheim, Baden-Wurttemberg, Germany) 10:e2302561 PubMed37897317

2023

Mammary Microvessels are Sensitive to Menstrual Cycle Sex Hormones.

Applications

Unspecified application

Species

Unspecified reactive species

Carmen Moccia,Marta Cherubini,Marina Fortea,Akinola Akinbote,Prasanna Padmanaban,Violeta Beltran-Sastre,Kristina Haase
View all publications

Product promise

We are committed to supporting your work with high-quality reagents, and we're here for you every step of the way. In the unlikely event that one of our products does not perform as expected, you're protected by our Product Promise.
For full details, please see our Terms & Conditions

Please note: All products are 'FOR RESEARCH USE ONLY. NOT FOR USE IN DIAGNOSTIC OR THERAPEUTIC PROCEDURES'.

For licensing inquiries, please contact partnerships@abcam.com