JavaScript is disabled in your browser. Please enable JavaScript to view this website.
AB264264

Anti-Prohibitin antibody

Be the first to review this product! Submit a review

|

(0 Publication)

Rabbit Polyclonal Prohibitin antibody. Suitable for IHC-P, WB and reacts with Human samples. Immunogen corresponding to Synthetic Peptide within Human PHB1 aa 200 to C-terminus.

View Alternative Names

PHB, PHB1, Prohibitin 1

2 Images
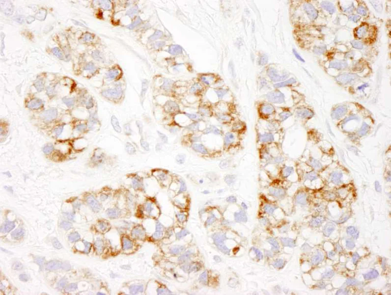
Immunohistochemistry (Formalin/PFA-fixed paraffin-embedded sections) - Anti-Prohibitin antibody (AB264264)
  • IHC-P

Unknown

Immunohistochemistry (Formalin/PFA-fixed paraffin-embedded sections) - Anti-Prohibitin antibody (AB264264)

Formalion-fixed, paraffin-embeded human breast carcinoma tissue stained for Prohibitin using ab264264 at 1/200 dilution in immunohistochemical analysis. DAB staining.

Epitope retrieval with citrate buffer pH 6.0 is recommended for FFPE tissue sections.

Western blot - Anti-Prohibitin antibody (AB264264)
  • WB

Supplier Data

Western blot - Anti-Prohibitin antibody (AB264264)

All lanes:

Western blot - Anti-Prohibitin antibody (ab264264) at 0.04 µg/mL

Lane 1:

HeLa (human epithelial cell line from cervix adenocarcinoma) whole cell lysate at 50 µg

Lane 2:

HeLa whole cell lysate at 15 µg

Lane 3:

HeLa whole cell lysate at 5 µg

Lane 4:

HEK-293T (human epithelial cell line from embryonic kidney transformed with large T antigen) whole cell lysate at 50 µg

Predicted band size: 30 kDa

true

Exposure time: 3min

Key facts

Host species

Rabbit

Clonality

Polyclonal

Isotype

IgG

Carrier free

No

Reacts with

Human

Applications

IHC-P, WB

applications

Immunogen

Synthetic Peptide within Human PHB1 aa 200 to C-terminus. The exact immunogen used to generate this antibody is proprietary information.

P35232

Reactivity data

{ "title": "Reactivity Data", "filters": { "stats": ["", "Species", "Dilution Info", "Notes"], "tabs": { "all-applications": {"fullname" : "All Applications", "shortname": "All Applications"}, "IHCP" : {"fullname" : "Immunohistochemistry (Formalin/PFA-fixed paraffin-embedded sections)", "shortname":"IHC-P"}, "WB" : {"fullname" : "Western blot", "shortname":"WB"} }, "product-promise": { "all": "all", "testedAndGuaranteed": "tested", "guaranteed": "expected", "predicted": "predicted", "notRecommended": "not-recommended" } }, "values": { "Human": { "IHCP-species-checked": "testedAndGuaranteed", "IHCP-species-dilution-info": "1/100 - 1/500", "IHCP-species-notes": "<p></p> Perform heat-mediated antigen retrieval with citrate buffer pH 6 before commencing with IHC staining protocol.", "WB-species-checked": "testedAndGuaranteed", "WB-species-dilution-info": "1/2000 - 1/10000", "WB-species-notes": "<p></p>" }, "Mouse": { "IHCP-species-checked": "predicted", "IHCP-species-dilution-info": "", "IHCP-species-notes": "", "WB-species-checked": "predicted", "WB-species-dilution-info": "", "WB-species-notes": "" }, "Rat": { "IHCP-species-checked": "predicted", "IHCP-species-dilution-info": "", "IHCP-species-notes": "", "WB-species-checked": "predicted", "WB-species-dilution-info": "", "WB-species-notes": "" }, "Cow": { "IHCP-species-checked": "predicted", "IHCP-species-dilution-info": "", "IHCP-species-notes": "", "WB-species-checked": "predicted", "WB-species-dilution-info": "", "WB-species-notes": "" } } }

Properties and storage information

Form
Liquid
Purification technique
Affinity purification Immunogen
Storage buffer
pH: 6.8 - 7.4 Preservative: 0.09% Sodium azide Constituents: Tris buffered saline, 0.1% BSA
Shipped at conditions
Blue Ice
Appropriate short-term storage duration
1-2 weeks
Appropriate short-term storage conditions
+4°C
Appropriate long-term storage conditions
-20°C
Aliquoting information
Upon delivery aliquot
Storage information
Avoid freeze / thaw cycle

Supplementary information

This supplementary information is collated from multiple sources and compiled automatically.

Prohibitin often known as PHB is a 30 kDa protein that plays significant mechanical roles in cellular processes. It is widely present in various tissues and cells acting as a mitochondrial marker and associates with other mitochondrial markers. Prohibitin protein exists in a highly conserved structure which makes it essential across different species. It localizes within the inner mitochondrial membrane where it exerts functions important for cellular energy homeostasis and mitochondrial stability.
Biological function summary

The protein is involved in the regulation of mitochondrial respiratory function and stabilization of mitochondrial nucleoid. Prohibitin protein forms a complex with related proteins contributing to the maintenance of mitochondrial morphology and integrity. Its role extends to cell cycle control and apoptosis making it a significant player in cellular proliferation and survival. Additionally it influences cellular senescence and stress responses offering protection against various stressors.

Pathways

Prohibitin integrates into mitochondrial dynamics and energy production pathways. It participates in the regulation of oxidative phosphorylation a core component for ATP generation. Prohibitin collaborates with proteins like co-chaperones and complexes such as the inner mitochondrial membrane complex which further illustrates its integration into cellular pathways. The interplay of these proteins and pathways underlines Prohibitin's role in maintaining mitochondrial function.

Prohibitin shows notable connections to cancer and neurodegenerative diseases. Its dysregulation links to the progression of cancers where it interacts with the retinoblastoma protein influencing cellular proliferation pathways. In neurodegenerative diseases Prohibitin participates in mechanisms that may affect the development of conditions like Alzheimer's disease associated with its role in mitochondrial dysfunction and oxidative stress. These interactions highlight Prohibitin's importance in both health and disease contexts and its potential as a therapeutic target.

Product protocols

For this product, it's our understanding that no specific protocols are required. You can visit:

Target data

Protein with pleiotropic attributes mediated in a cell-compartment- and tissue-specific manner, which include the plasma membrane-associated cell signaling functions, mitochondrial chaperone, and transcriptional co-regulator of transcription factors in the nucleus (PubMed : 11302691, PubMed : 20959514, PubMed : 28017329, PubMed : 31522117). Plays a role in adipose tissue and glucose homeostasis in a sex-specific manner (By similarity). Contributes to pulmonary vascular remodeling by accelerating proliferation of pulmonary arterial smooth muscle cells (By similarity).. In the mitochondria, together with PHB2, forms large ring complexes (prohibitin complexes) in the inner mitochondrial membrane (IMM) and functions as a chaperone protein that stabilizes mitochondrial respiratory enzymes and maintains mitochondrial integrity in the IMM, which is required for mitochondrial morphogenesis, neuronal survival, and normal lifespan (Probable). The prohibitin complex, with DNAJC19, regulates cardiolipin remodeling and the protein turnover of OMA1 in a cardiolipin-binding manner (By similarity). Regulates mitochondrial respiration activity playing a role in cellular aging (PubMed : 11302691). The prohibitin complex plays a role of mitophagy receptor involved in targeting mitochondria for autophagic degradation (PubMed : 28017329). Involved in mitochondrial-mediated antiviral innate immunity, activates RIG-I-mediated signal transduction and production of IFNB1 and pro-inflammatory cytokine IL6 (PubMed : 31522117).. In the nucleus, acts as a transcription coregulator, enhances promoter binding by TP53, a transcription factor it activates, but reduces the promoter binding by E2F1, a transcription factor it represses (PubMed : 14500729). Interacts with STAT3 to affect IL17 secretion in T-helper Th17 cells (PubMed : 31899195).. In the plasma membrane, cooperates with CD86 to mediate CD86-signaling in B lymphocytes that regulates the level of IgG1 produced through the activation of distal signaling intermediates (By similarity). Upon CD40 engagement, required to activate NF-kappa-B signaling pathway via phospholipase C and protein kinase C activation (By similarity).
See full target information PHB1

Product promise

We are committed to supporting your work with high-quality reagents, and we're here for you every step of the way. In the unlikely event that one of our products does not perform as expected, you're protected by our Product Promise.
For full details, please see our Terms & Conditions

Please note: All products are 'FOR RESEARCH USE ONLY. NOT FOR USE IN DIAGNOSTIC OR THERAPEUTIC PROCEDURES'.

For licensing inquiries, please contact partnerships@abcam.com