JavaScript is disabled in your browser. Please enable JavaScript to view this website.
AB75766

Anti-Prohibitin antibody [EP2803Y]

5

(1 Review)

|

(26 Publications)

Rabbit Recombinant Monoclonal Prohibitin antibody. Suitable for IHC-P, IP, WB, ICC/IF, Flow Cyt (Intra) and reacts with Mouse, Rat, Human samples. Cited in 26 publications.

View Alternative Names

PHB, PHB1, Prohibitin 1

22 Images
Immunocytochemistry/ Immunofluorescence - Anti-Prohibitin antibody [EP2803Y] (AB75766)
  • ICC/IF

Unknown

Immunocytochemistry/ Immunofluorescence - Anti-Prohibitin antibody [EP2803Y] (AB75766)

Immunocytochemistry/Immunofluorescence analysis of HeLa (human epithelial cell line from cervix adenocarcinoma) cells labelling Prohibitin with ab75766 at 1/100. An Alexa Fluor® 488-conjugated anti-rabbit IgG was used as the secondary antibody.

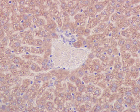
Immunohistochemistry (Formalin/PFA-fixed paraffin-embedded sections) - Anti-Prohibitin antibody [EP2803Y] (AB75766)
  • IHC-P

Unknown

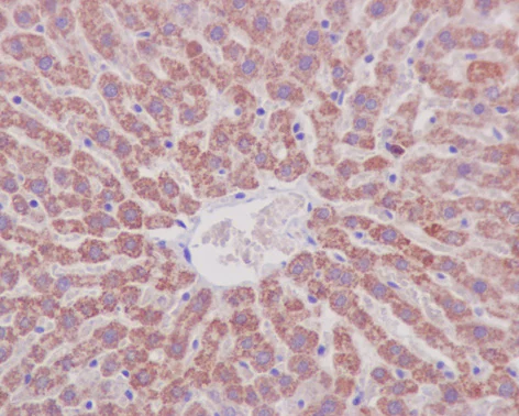
Immunohistochemistry (Formalin/PFA-fixed paraffin-embedded sections) - Anti-Prohibitin antibody [EP2803Y] (AB75766)

Immunohistochemistry (Formalin/PFA-fixed paraffin-embedded sections) analysis of normal liver tissue labelling Prohibitin with ab75766.

Perform heat mediated antigen retrieval before commencing with IHC staining protocol.

Flow Cytometry (Intracellular) - Anti-Prohibitin antibody [EP2803Y] (AB75766)
  • Flow Cyt (Intra)

Unknown

Flow Cytometry (Intracellular) - Anti-Prohibitin antibody [EP2803Y] (AB75766)

ab75766 staining Prohibitin in the human cell line A431 (human epidermoid carcinomacell line) by intracellular flow cytometry. Cells were fixed with 4% paraformaldehyde and the sample was incubated with the primary antibody at a dilution of 1/120. A goat anti rabbit IgG (Alexa Fluor® 488) at a dilution of 1/500 was used as the secondary antibody.

Isoytype control : Rabbit monoclonal IgG (Black)

Unlabelled control : Cell without incubation with primary antibody and secondary antibody (Blue)

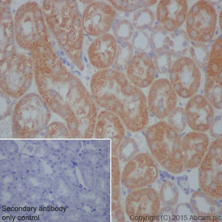
Immunohistochemistry (Formalin/PFA-fixed paraffin-embedded sections) - Anti-Prohibitin antibody [EP2803Y] (AB75766)
  • IHC-P

Unknown

Immunohistochemistry (Formalin/PFA-fixed paraffin-embedded sections) - Anti-Prohibitin antibody [EP2803Y] (AB75766)

Immunohistochemistry (Formalin/PFA-fixed paraffin-embedded sections) analysis of human kidney tissue labelling Prohibitin with ab75766 at 1/250.

Perform heat mediated antigen retrieval before commencing with IHC staining protocol.

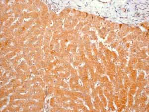
Immunohistochemistry (Formalin/PFA-fixed paraffin-embedded sections) - Anti-Prohibitin antibody [EP2803Y] (AB75766)
  • IHC-P

Unknown

Immunohistochemistry (Formalin/PFA-fixed paraffin-embedded sections) - Anti-Prohibitin antibody [EP2803Y] (AB75766)

ab75766 staining Prohibitin in human liver tissue sections by Immunohistochemistry (IHC-P - paraformaldehyde-fixed, paraffin-embedded sections). Tissue was fixed with paraformaldehyde and antigen retrieval was by heat mediation in a EDTA buffer. Samples were incubated with primary antibody at a dilution of 1/500. A goat anti-rabbit IgG H&L (HRP) ab97051 was used as the secondary antibody.

Negative control 1 : PBS in place of primary antibody.

Immunohistochemistry (Formalin/PFA-fixed paraffin-embedded sections) - Anti-Prohibitin antibody [EP2803Y] (AB75766)
  • IHC-P

Unknown

Immunohistochemistry (Formalin/PFA-fixed paraffin-embedded sections) - Anti-Prohibitin antibody [EP2803Y] (AB75766)

Immunohistochemistry (Formalin/PFA-fixed paraffin-embedded sections) analysis of normal placenta tissue labelling Prohibitin with ab75766.

Perform heat mediated antigen retrieval before commencing with IHC staining protocol.

Flow Cytometry (Intracellular) - Anti-Prohibitin antibody [EP2803Y] (AB75766)
  • Flow Cyt (Intra)

Unknown

Flow Cytometry (Intracellular) - Anti-Prohibitin antibody [EP2803Y] (AB75766)

Overlay histogram showing HepG2 (human liver hepatocellular carcinoma cell line) cells stained with ab75766 (red line). The cells were fixed with 4% paraformaldehyde (10 min) and then permeabilized with 0.1% PBS-Tween for 20 min. The cells were then incubated in 1x PBS / 10% normal goat serum / 0.3M glycine to block non-specific protein-protein interactions followed by the antibody (ab75766, 1/1000 dilution) for 30 min at 22°C. The secondary antibody used was Alexa Fluor® 488 goat anti-rabbit IgG (H&L) (ab150077) at 1/2000 dilution for 30 min at 22°C. Isotype control antibody (black line) was rabbit IgG (monoclonal) (0.1μg/1x106 cells) used under the same conditions. Unlabelled sample (blue line) was also used as a control. Acquisition of >5,000 events were collected using a 20mW Argon ion laser (488nm) and 525/30 bandpass filter. This antibody gave a positive signal in HepG2 cells fixed with 80% methanol (5 min)/permeabilized with 0.1% PBS-Tween for 20 min used under the same conditions.

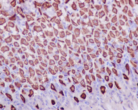
Immunohistochemistry (Formalin/PFA-fixed paraffin-embedded sections) - Anti-Prohibitin antibody [EP2803Y] (AB75766)
  • IHC-P

Unknown

Immunohistochemistry (Formalin/PFA-fixed paraffin-embedded sections) - Anti-Prohibitin antibody [EP2803Y] (AB75766)

Immunohistochemistry (Formalin/PFA-fixed paraffin-embedded sections) analysis of human hepatocellular tissue labelling Prohibitin with ab75766 at 1/250.

Perform heat mediated antigen retrieval before commencing with IHC staining protocol.

Immunohistochemistry (Formalin/PFA-fixed paraffin-embedded sections) - Anti-Prohibitin antibody [EP2803Y] (AB75766)
  • IHC-P

Unknown

Immunohistochemistry (Formalin/PFA-fixed paraffin-embedded sections) - Anti-Prohibitin antibody [EP2803Y] (AB75766)

Immunohistochemistry (Formalin/PFA-fixed paraffin-embedded sections) analysis of breast carcinoma tissue labelling Prohibitin with ab75766.

Perform heat mediated antigen retrieval before commencing with IHC staining protocol.

Immunoprecipitation - Anti-Prohibitin antibody [EP2803Y] (AB75766)
  • IP

Unknown

Immunoprecipitation - Anti-Prohibitin antibody [EP2803Y] (AB75766)

ab75766 immunoprecipitating Prohibitin. 10μg of cell lysate was incubated with primary antibody at a dilution of 1/40 and VeriBlot for IP Detection Reagent (HRP) (ab131366) at a dilution of 1/10000.

Lane 1 : HEK-293 (human epithelial cell line from embryonic kidney) whole cell lysate (10ug)
Lane 2 : HEK-293 whole cell lysate
Lane 3 : Rabbit monoclonal IgG (ab172730) instead of ab75766 in HEK-293 whole cell lysate

All lanes:

Immunoprecipitation - Anti-Prohibitin antibody [EP2803Y] (ab75766)

Predicted band size: 30 kDa

Observed band size: 30 kDa

false

Immunocytochemistry/ Immunofluorescence - Anti-Prohibitin antibody [EP2803Y] (AB75766)
  • ICC/IF

Unknown

Immunocytochemistry/ Immunofluorescence - Anti-Prohibitin antibody [EP2803Y] (AB75766)

ab75766 staining Prohibitin in NIH/3T3 (mouse embryo fibroblast cell line) cells by ICC/IF (Immunocytochemistry/immunofluorescence). Cells were fixed with 4% Paraformaldehyde and permeabilized with 0.1% Triton X-100. Samples were incubated with primary antibody at a dilution of 1/100. A goat anti rabbit IgG (Alexa Fluor® 488) (ab150077) was used as the secondary antibody. ab7291 (1/1000) and ab150120 (1/1000) were used as counterstains for primary antibody ab75766 and secondary antibody ab150077 respectively and DAPI was used as a nuclear counterstain.

Negative control 1 : Rabbit primary antibody and anti-mouse secondary antibody (ab150120)
Negative control 2 : Mouse primary antibody (ab7291) and anti-rabbit secondary antibody (ab150077)

Immunohistochemistry (Formalin/PFA-fixed paraffin-embedded sections) - Anti-Prohibitin antibody [EP2803Y] (AB75766)
  • IHC-P

Unknown

Immunohistochemistry (Formalin/PFA-fixed paraffin-embedded sections) - Anti-Prohibitin antibody [EP2803Y] (AB75766)

Immunohistochemistry (Formalin/PFA-fixed paraffin-embedded sections) analysis of mouse stomach tissue labelling Prohibitin with ab75766 at 1/250.

Perform heat mediated antigen retrieval before commencing with IHC staining protocol.

Immunohistochemistry (Formalin/PFA-fixed paraffin-embedded sections) - Anti-Prohibitin antibody [EP2803Y] (AB75766)
  • IHC-P

Unknown

Immunohistochemistry (Formalin/PFA-fixed paraffin-embedded sections) - Anti-Prohibitin antibody [EP2803Y] (AB75766)

Immunohistochemistry (Formalin/PFA-fixed paraffin-embedded sections) analysis of rat liver tissue labelling Prohibitin with ab75766 at 1/250.

Perform heat mediated antigen retrieval before commencing with IHC staining protocol.

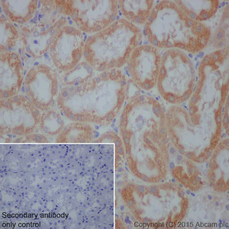
Immunohistochemistry (Formalin/PFA-fixed paraffin-embedded sections) - Anti-Prohibitin antibody [EP2803Y] (AB75766)
  • IHC-P

Unknown

Immunohistochemistry (Formalin/PFA-fixed paraffin-embedded sections) - Anti-Prohibitin antibody [EP2803Y] (AB75766)

ab75766 staining Prohibitin in mouse kidney tissue sections by Immunohistochemistry (IHC-P - paraformaldehyde-fixed, paraffin-embedded sections). Tissue was fixed with paraformaldehyde and antigen retrieval was by heat mediation in a EDTA buffer. Samples were incubated with primary antibody at a dilution of 1/500. A goat anti-rabbit IgG H&L (HRP) ab97051 was used as the secondary antibody.

Negative control 1 : PBS in place of primary antibody.

Immunohistochemistry (Formalin/PFA-fixed paraffin-embedded sections) - Anti-Prohibitin antibody [EP2803Y] (AB75766)
  • IHC-P

Unknown

Immunohistochemistry (Formalin/PFA-fixed paraffin-embedded sections) - Anti-Prohibitin antibody [EP2803Y] (AB75766)

Immunohistochemistry (Formalin/PFA-fixed paraffin-embedded sections) analysis of mouse liver tissue labelling Prohibitin with ab75766 at 1/250.

Perform heat mediated antigen retrieval before commencing with IHC staining protocol.

Immunohistochemistry (Formalin/PFA-fixed paraffin-embedded sections) - Anti-Prohibitin antibody [EP2803Y] (AB75766)
  • IHC-P

Unknown

Immunohistochemistry (Formalin/PFA-fixed paraffin-embedded sections) - Anti-Prohibitin antibody [EP2803Y] (AB75766)

Immunohistochemistry (Formalin/PFA-fixed paraffin-embedded sections) analysis of mouse kidney tissue labelling Prohibitin with ab75766 at 1/250.

Perform heat mediated antigen retrieval before commencing with IHC staining protocol.

Immunohistochemistry (Formalin/PFA-fixed paraffin-embedded sections) - Anti-Prohibitin antibody [EP2803Y] (AB75766)
  • IHC-P

Unknown

Immunohistochemistry (Formalin/PFA-fixed paraffin-embedded sections) - Anti-Prohibitin antibody [EP2803Y] (AB75766)

ab75766 staining Prohibitin in rat kidney tissue sections by Immunohistochemistry (IHC-P - paraformaldehyde-fixed, paraffin-embedded sections). Tissue was fixed with paraformaldehyde and antigen retrieval was by heat mediation in a EDTA buffer. Samples were incubated with primary antibody at a dilution of 1/500. A goat anti-rabbit IgG H&L (HRP) ab97051 was used as the secondary antibody.

Negative control 1 : PBS in place of primary antibody.

Immunocytochemistry/ Immunofluorescence - Anti-Prohibitin antibody [EP2803Y] (AB75766)
  • ICC/IF

Unknown

Immunocytochemistry/ Immunofluorescence - Anti-Prohibitin antibody [EP2803Y] (AB75766)

Immunocytochemistry/Immunofluorescence analysis of NIH/3T3 (mouse embryo fibroblast cell line) cells labelling Prohibitin with ab75766 at 1/100. An Alexa Fluor® 488-conjugated anti-rabbit IgG was used as the secondary antibody.

Immunohistochemistry (Formalin/PFA-fixed paraffin-embedded sections) - Anti-Prohibitin antibody [EP2803Y] (AB75766)
  • IHC-P

Unknown

Immunohistochemistry (Formalin/PFA-fixed paraffin-embedded sections) - Anti-Prohibitin antibody [EP2803Y] (AB75766)

Immunohistochemistry (Formalin/PFA-fixed paraffin-embedded sections) analysis of rat stomach tissue labelling Prohibitin with ab75766 at 1/250.

Perform heat mediated antigen retrieval before commencing with IHC staining protocol.

Western blot - Anti-Prohibitin antibody [EP2803Y] (AB75766)
  • WB

Lab

Western blot - Anti-Prohibitin antibody [EP2803Y] (AB75766)

All lanes:

Western blot - Anti-Prohibitin antibody [EP2803Y] (ab75766) at 1/20000 dilution

Lane 1:

MCF7 (human breast adenocarcinoma cell line) whole cell lysates at 20 µg

Lane 2:

A431 (human epidermoid carcinoma cell line) whole cell lysates at 20 µg

Lane 3:

HEK-293 (human epithelial cell line from embryonic kidney) whole cell lysates at 20 µg

Secondary

All lanes:

Western blot - Goat Anti-Rabbit IgG H&L (HRP) (<a href='/en-us/products/secondary-antibodies/goat-rabbit-igg-h-l-hrp-ab97051'>ab97051</a>) at 1/20000 dilution

Predicted band size: 30 kDa

Observed band size: 30 kDa

false

Western blot - Anti-Prohibitin antibody [EP2803Y] (AB75766)
  • WB

Lab

Western blot - Anti-Prohibitin antibody [EP2803Y] (AB75766)

All lanes:

Western blot - Anti-Prohibitin antibody [EP2803Y] (ab75766) at 1/20000 dilution

Lane 1:

NIH/3T3 (mouse embryo fibroblast cell line) whole cell lysates at 20 µg

Lane 2:

Mouse kidney tissue lysates at 20 µg

Lane 3:

Rat brain tissue lysates at 20 µg

Secondary

All lanes:

Western blot - Goat Anti-Rabbit IgG H&L (HRP) (<a href='/en-us/products/secondary-antibodies/goat-rabbit-igg-h-l-hrp-ab97051'>ab97051</a>) at 1/20000 dilution

Predicted band size: 30 kDa

Observed band size: 30 kDa

false

Western blot - Anti-Prohibitin antibody [EP2803Y] (AB75766)
  • WB

Unknown

Western blot - Anti-Prohibitin antibody [EP2803Y] (AB75766)

All lanes:

Western blot - Anti-Prohibitin antibody [EP2803Y] (ab75766) at 1/20000 dilution

Lane 1:

MCF7 (human breast adenocarcinoma cell line) cell lysate at 10 µg

Lane 2:

A431 (human epidermoid carcinoma cell line) cell lysate at 10 µg

Lane 3:

HEK-293T (human epithelial cell line from embryonic kidney transformed with large T antigen) cell lysate at 10 µg

Lane 4:

Ramos (human Burkitt's lymphoma cell line) cell lysate at 10 µg

Secondary

All lanes:

goat anti-rabbit HRP at 1/2000 dilution

Predicted band size: 30 kDa

Observed band size: 30 kDa

false

  • 578 PE

    PE Anti-Prohibitin antibody [EP2803Y]

  • Carrier free

    Anti-Prohibitin antibody [EP2803Y] - BSA and Azide free

Key facts

Host species

Rabbit

Clonality

Monoclonal

Clone number

EP2803Y

Isotype

IgG

Carrier free

No

Reacts with

Mouse, Rat, Human

Applications

IP, ICC/IF, WB, IHC-P, Flow Cyt (Intra)

applications

Immunogen

The exact immunogen used to generate this antibody is proprietary information.

Reactivity data

{ "title": "Reactivity Data", "filters": { "stats": ["", "Species", "Dilution Info", "Notes"], "tabs": { "all-applications": {"fullname" : "All Applications", "shortname": "All Applications"}, "IHCP" : {"fullname" : "Immunohistochemistry (Formalin/PFA-fixed paraffin-embedded sections)", "shortname":"IHC-P"}, "IP" : {"fullname" : "Immunoprecipitation", "shortname":"IP"}, "WB" : {"fullname" : "Western blot", "shortname":"WB"}, "ICCIF" : {"fullname" : "Immunocytochemistry/ Immunofluorescence", "shortname":"ICC/IF"}, "FlowCytIntra" : {"fullname" : "Flow Cytometry (Intracellular)", "shortname":"Flow Cyt (Intra)"} }, "product-promise": { "all": "all", "testedAndGuaranteed": "tested", "guaranteed": "expected", "predicted": "predicted", "notRecommended": "not-recommended" } }, "values": { "Human": { "IHCP-species-checked": "testedAndGuaranteed", "IHCP-species-dilution-info": "1/100 - 1/500", "IHCP-species-notes": "<p></p> Perform heat-mediated antigen retrieval before commencing with IHC staining protocol.", "IP-species-checked": "testedAndGuaranteed", "IP-species-dilution-info": "1/40", "IP-species-notes": "<p></p>", "WB-species-checked": "testedAndGuaranteed", "WB-species-dilution-info": "1/10000 - 1/20000", "WB-species-notes": "<p></p>", "ICCIF-species-checked": "testedAndGuaranteed", "ICCIF-species-dilution-info": "1/100", "ICCIF-species-notes": "<p></p>", "FlowCytIntra-species-checked": "testedAndGuaranteed", "FlowCytIntra-species-dilution-info": "1/120", "FlowCytIntra-species-notes": "<p><a href='/en-us/products/primary-antibodies/rabbit-igg-monoclonal-epr25a-isotype-control-ab172730'>ab172730</a> - Rabbit monoclonal IgG, is suitable for use as an isotype control with this antibody. Unpurified format: 1/1000</p>" }, "Mouse": { "IHCP-species-checked": "testedAndGuaranteed", "IHCP-species-dilution-info": "1/100 - 1/500", "IHCP-species-notes": "<p></p> Perform heat-mediated antigen retrieval before commencing with IHC staining protocol.", "IP-species-checked": "guaranteed", "IP-species-dilution-info": "", "IP-species-notes": "", "WB-species-checked": "testedAndGuaranteed", "WB-species-dilution-info": "1/10000 - 1/20000", "WB-species-notes": "<p></p>", "ICCIF-species-checked": "testedAndGuaranteed", "ICCIF-species-dilution-info": "1/100", "ICCIF-species-notes": "<p></p>", "FlowCytIntra-species-checked": "guaranteed", "FlowCytIntra-species-dilution-info": "", "FlowCytIntra-species-notes": "" }, "Rat": { "IHCP-species-checked": "testedAndGuaranteed", "IHCP-species-dilution-info": "1/100 - 1/500", "IHCP-species-notes": "<p></p> Perform heat-mediated antigen retrieval before commencing with IHC staining protocol.", "IP-species-checked": "guaranteed", "IP-species-dilution-info": "", "IP-species-notes": "", "WB-species-checked": "guaranteed", "WB-species-dilution-info": "", "WB-species-notes": "", "ICCIF-species-checked": "guaranteed", "ICCIF-species-dilution-info": "", "ICCIF-species-notes": "", "FlowCytIntra-species-checked": "guaranteed", "FlowCytIntra-species-dilution-info": "", "FlowCytIntra-species-notes": "" } } }

Product details

Patented technology
Our RabMAb® technology is a patented hybridoma-based technology for making rabbit monoclonal antibodies. For details on our patents, please refer to RabMAb® patents.

What are the advantages of a recombinant monoclonal antibody?
This product is a recombinant monoclonal antibody, which offers several advantages including:

  • - High batch-to-batch consistency and reproducibility
  • - Improved sensitivity and specificity
  • - Long-term security of supply
  • - Animal-free batch production

For more information, read more on recombinant antibodies.

Properties and storage information

Form
Liquid
Purification technique
Affinity purification Protein A
Storage buffer
pH: 7.2 - 7.4 Preservative: 0.01% Sodium azide Constituents: PBS, 40% Glycerol (glycerin, glycerine), 0.12% BSA
Shipped at conditions
Blue Ice
Appropriate short-term storage duration
1-2 weeks
Appropriate short-term storage conditions
+4°C
Appropriate long-term storage conditions
-20°C
Aliquoting information
Upon delivery aliquot
Storage information
Avoid freeze / thaw cycle

Supplementary information

This supplementary information is collated from multiple sources and compiled automatically.

Prohibitin often known as PHB is a 30 kDa protein that plays significant mechanical roles in cellular processes. It is widely present in various tissues and cells acting as a mitochondrial marker and associates with other mitochondrial markers. Prohibitin protein exists in a highly conserved structure which makes it essential across different species. It localizes within the inner mitochondrial membrane where it exerts functions important for cellular energy homeostasis and mitochondrial stability.
Biological function summary

The protein is involved in the regulation of mitochondrial respiratory function and stabilization of mitochondrial nucleoid. Prohibitin protein forms a complex with related proteins contributing to the maintenance of mitochondrial morphology and integrity. Its role extends to cell cycle control and apoptosis making it a significant player in cellular proliferation and survival. Additionally it influences cellular senescence and stress responses offering protection against various stressors.

Pathways

Prohibitin integrates into mitochondrial dynamics and energy production pathways. It participates in the regulation of oxidative phosphorylation a core component for ATP generation. Prohibitin collaborates with proteins like co-chaperones and complexes such as the inner mitochondrial membrane complex which further illustrates its integration into cellular pathways. The interplay of these proteins and pathways underlines Prohibitin's role in maintaining mitochondrial function.

Prohibitin shows notable connections to cancer and neurodegenerative diseases. Its dysregulation links to the progression of cancers where it interacts with the retinoblastoma protein influencing cellular proliferation pathways. In neurodegenerative diseases Prohibitin participates in mechanisms that may affect the development of conditions like Alzheimer's disease associated with its role in mitochondrial dysfunction and oxidative stress. These interactions highlight Prohibitin's importance in both health and disease contexts and its potential as a therapeutic target.

Product protocols

For this product, it's our understanding that no specific protocols are required. You can visit:

Target data

Protein with pleiotropic attributes mediated in a cell-compartment- and tissue-specific manner, which include the plasma membrane-associated cell signaling functions, mitochondrial chaperone, and transcriptional co-regulator of transcription factors in the nucleus (PubMed : 11302691, PubMed : 20959514, PubMed : 28017329, PubMed : 31522117). Plays a role in adipose tissue and glucose homeostasis in a sex-specific manner (By similarity). Contributes to pulmonary vascular remodeling by accelerating proliferation of pulmonary arterial smooth muscle cells (By similarity).. In the mitochondria, together with PHB2, forms large ring complexes (prohibitin complexes) in the inner mitochondrial membrane (IMM) and functions as a chaperone protein that stabilizes mitochondrial respiratory enzymes and maintains mitochondrial integrity in the IMM, which is required for mitochondrial morphogenesis, neuronal survival, and normal lifespan (Probable). The prohibitin complex, with DNAJC19, regulates cardiolipin remodeling and the protein turnover of OMA1 in a cardiolipin-binding manner (By similarity). Regulates mitochondrial respiration activity playing a role in cellular aging (PubMed : 11302691). The prohibitin complex plays a role of mitophagy receptor involved in targeting mitochondria for autophagic degradation (PubMed : 28017329). Involved in mitochondrial-mediated antiviral innate immunity, activates RIG-I-mediated signal transduction and production of IFNB1 and pro-inflammatory cytokine IL6 (PubMed : 31522117).. In the nucleus, acts as a transcription coregulator, enhances promoter binding by TP53, a transcription factor it activates, but reduces the promoter binding by E2F1, a transcription factor it represses (PubMed : 14500729). Interacts with STAT3 to affect IL17 secretion in T-helper Th17 cells (PubMed : 31899195).. In the plasma membrane, cooperates with CD86 to mediate CD86-signaling in B lymphocytes that regulates the level of IgG1 produced through the activation of distal signaling intermediates (By similarity). Upon CD40 engagement, required to activate NF-kappa-B signaling pathway via phospholipase C and protein kinase C activation (By similarity).
See full target information PHB1

Publications (26)

Recent publications for all applications. Explore the full list and refine your search

World journal of gastrointestinal oncology 16:398-413 PubMed38425403

2024

Prohibitin 1 inhibits cell proliferation and induces apoptosis the p53-mediated mitochondrial pathway .

Applications

Unspecified application

Species

Unspecified reactive species

Juan-Juan Shi,Yi-Kai Wang,Mu-Qi Wang,Jiang Deng,Ning Gao,Mei Li,Ya-Ping Li,Xin Zhang,Xiao-Li Jia,Xiong-Tao Liu,Shuang-Suo Dang,Wen-Jun Wang

Reproductive biology and endocrinology : RB&E 22:20 PubMed38308254

2024

Progesterone-induced progesterone receptor membrane component 1 rise-to-decline changes are essential for decidualization.

Applications

Unspecified application

Species

Unspecified reactive species

Hailun Liu,André Franken,Alexandra P Bielfeld,Tanja Fehm,Dieter Niederacher,Zhongping Cheng,Hans Neubauer,Nadia Stamm

Nature communications 14:4824 PubMed37563140

2023

WDR77 inhibits prion-like aggregation of MAVS to limit antiviral innate immune response.

Applications

Unspecified application

Species

Unspecified reactive species

Jiaxin Li,Rui Zhang,Changwan Wang,Junyan Zhu,Miao Ren,Yingbo Jiang,Xianteng Hou,Yangting Du,Qing Wu,Shishi Qi,Lin Li,She Chen,Hui Yang,Fajian Hou

The EMBO journal 42:e113258 PubMed37409632

2023

NRF1-mediated mitochondrial biogenesis antagonizes innate antiviral immunity.

Applications

Unspecified application

Species

Unspecified reactive species

Tian Zhao,Jiaojiao Zhang,Hong Lei,Yuanyuan Meng,Hongcheng Cheng,Yanping Zhao,Guangfeng Geng,Chenglong Mu,Linbo Chen,Qiangqiang Liu,Qian Luo,Chuanmei Zhang,Yijia Long,Jingyi Su,Yinhao Wang,Zhuoya Li,Jiaxing Sun,Guo Chen,Yanjun Li,Xudong Liao,Yingli Shang,Gang Hu,Quan Chen,Yushan Zhu

The EMBO journal 41:e111173 PubMed36245295

2022

Prohibitin 1 regulates mtDNA release and downstream inflammatory responses.

Applications

Unspecified application

Species

Unspecified reactive species

Hao Liu,Hualin Fan,Pengcheng He,Haixia Zhuang,Xiao Liu,Meiting Chen,Wenwei Zhong,Yi Zhang,Cien Zhen,Yanling Li,Huilin Jiang,Tian Meng,Yiming Xu,Guojun Zhao,Du Feng

Advanced science (Weinheim, Baden-Wurttemberg, Germany) 9:e2203831 PubMed36216581

2022

The Endoplasmic Reticulum ATP13A1 is Essential for MAVS-Mediated Antiviral Innate Immunity.

Applications

Unspecified application

Species

Unspecified reactive species

Rui Zhang,Xianteng Hou,Changwan Wang,Jiaxin Li,Junyan Zhu,Yingbo Jiang,Fajian Hou

Experimental and therapeutic medicine 23:427 PubMed35607379

2022

Prohibitin inhibits high glucose-induced apoptosis via maintaining mitochondrial function in human retinal capillary endothelial cells.

Applications

Unspecified application

Species

Unspecified reactive species

Li Zhang,Ying He

Cells 11: PubMed35456008

2022

Calreticulin Shortage Results in Disturbance of Calcium Storage, Mitochondrial Disease, and Kidney Injury.

Applications

Unspecified application

Species

Unspecified reactive species

Asima Tayyeb,Gry H Dihazi,Björn Tampe,Michael Zeisberg,Desiree Tampe,Samy Hakroush,Charlotte Bührig,Jenny Frese,Nazli Serin,Marwa Eltoweissy,Gerhard A Müller,Hassan Dihazi

Nutrients 14: PubMed35276915

2022

Elovl2-Ablation Leads to Mitochondrial Membrane Fatty Acid Remodeling and Reduced Efficiency in Mouse Liver Mitochondria.

Applications

Unspecified application

Species

Unspecified reactive species

Alexia Gómez Rodríguez,Emanuela Talamonti,Alba Naudi,Anastasia V Kalinovich,Anna M Pauter,Gustavo Barja,Tore Bengtsson,Anders Jacobsson,Reinald Pamplona,Irina G Shabalina

Cancers 13: PubMed34830790

2021

PGRMC1 Promotes Progestin-Dependent Proliferation of Breast Cancer Cells by Binding Prohibitins Resulting in Activation of ERα Signaling.

Applications

Unspecified application

Species

Unspecified reactive species

Yingxue Bai,Marina Ludescher,Gereon Poschmann,Kai Stühler,Martine Wyrich,Julia Oles,André Franken,Mahdi Rivandi,Anna Abramova,Florian Reinhardt,Eugen Ruckhäberle,Dieter Niederacher,Tanja Fehm,Michael A Cahill,Nadia Stamm,Hans Neubauer
View all publications

Product promise

We are committed to supporting your work with high-quality reagents, and we're here for you every step of the way. In the unlikely event that one of our products does not perform as expected, you're protected by our Product Promise.
For full details, please see our Terms & Conditions

Please note: All products are 'FOR RESEARCH USE ONLY. NOT FOR USE IN DIAGNOSTIC OR THERAPEUTIC PROCEDURES'.

For licensing inquiries, please contact partnerships@abcam.com