JavaScript is disabled in your browser. Please enable JavaScript to view this website.
AB75771

Anti-Prohibitin antibody [EP2804Y] - Mitochondrial Marker

Be the first to review this product! Submit a review

|

(13 Publications)

Rabbit Recombinant Monoclonal Prohibitin antibody. Mitochondrion marker. Suitable for IHC-P, IP, WB, ICC/IF and reacts with Mouse, Rat, Human samples. Cited in 13 publications.

View Alternative Names

PHB, PHB1, Prohibitin 1

10 Images
Immunocytochemistry/ Immunofluorescence - Anti-Prohibitin antibody [EP2804Y] - Mitochondrial Marker (AB75771)
  • ICC/IF

Unknown

Immunocytochemistry/ Immunofluorescence - Anti-Prohibitin antibody [EP2804Y] - Mitochondrial Marker (AB75771)

Immunocytochemistry/Immunofluorescence analysis of HeLa cells labelling Prohibitin with ab75711 at 1/250. An Alexa Fluor® 488-conjugated anti-rabbit IgG was used as the secondary antibody.

Immunohistochemistry (Formalin/PFA-fixed paraffin-embedded sections) - Anti-Prohibitin antibody [EP2804Y] - Mitochondrial Marker (AB75771)
  • IHC-P

Unknown

Immunohistochemistry (Formalin/PFA-fixed paraffin-embedded sections) - Anti-Prohibitin antibody [EP2804Y] - Mitochondrial Marker (AB75771)

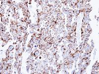
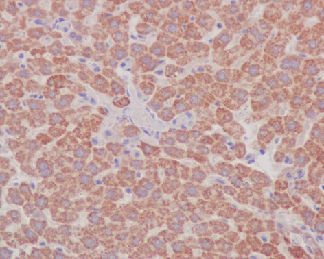
Immunohistochemistry (Formalin/PFA-fixed paraffin-embedded sections) analysis of human hepatocellular carcinoma tissue labelling Prohibitin with ab75771 at 1/100. A HRP/AP polymerized secondary antibody was used.

Perform heat mediated antigen retrieval via the pressure cooker method before commencing with IHC staining protocol.

Immunohistochemistry (Formalin/PFA-fixed paraffin-embedded sections) - Anti-Prohibitin antibody [EP2804Y] - Mitochondrial Marker (AB75771)
  • IHC-P

Unknown

Immunohistochemistry (Formalin/PFA-fixed paraffin-embedded sections) - Anti-Prohibitin antibody [EP2804Y] - Mitochondrial Marker (AB75771)

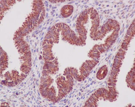
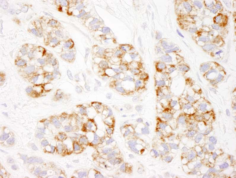
Immunohistochemistry (Formalin/PFA-fixed paraffin-embedded sections) analysis of rat stomach tissue labelling Prohibitin with ab75771 at 1/250.

Perform heat mediated antigen retrieval via the pressure cooker method before commencing with IHC staining protocol.

Immunocytochemistry/ Immunofluorescence - Anti-Prohibitin antibody [EP2804Y] - Mitochondrial Marker (AB75771)
  • ICC/IF

Unknown

Immunocytochemistry/ Immunofluorescence - Anti-Prohibitin antibody [EP2804Y] - Mitochondrial Marker (AB75771)

Immunocytochemistry/Immunofluorescence analysis of Neuro-2a cells labelling Prohibitin with ab75711 at 1/250. An Alexa Fluor® 488-conjugated anti-rabbit IgG was used as the secondary antibody.

Immunohistochemistry (Formalin/PFA-fixed paraffin-embedded sections) - Anti-Prohibitin antibody [EP2804Y] - Mitochondrial Marker (AB75771)
  • IHC-P

Unknown

Immunohistochemistry (Formalin/PFA-fixed paraffin-embedded sections) - Anti-Prohibitin antibody [EP2804Y] - Mitochondrial Marker (AB75771)

Immunohistochemistry (Formalin/PFA-fixed paraffin-embedded sections) analysis of mouse endometrium tissue labelling Prohibitin with ab75771 at 1/250.

Perform heat mediated antigen retrieval via the pressure cooker method before commencing with IHC staining protocol.

Immunohistochemistry (Formalin/PFA-fixed paraffin-embedded sections) - Anti-Prohibitin antibody [EP2804Y] - Mitochondrial Marker (AB75771)
  • IHC-P

Unknown

Immunohistochemistry (Formalin/PFA-fixed paraffin-embedded sections) - Anti-Prohibitin antibody [EP2804Y] - Mitochondrial Marker (AB75771)

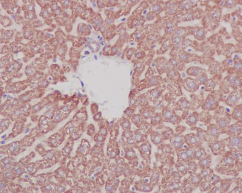
Immunohistochemistry (Formalin/PFA-fixed paraffin-embedded sections) analysis of rat liver tissue labelling Prohibitin with ab75771 at 1/250.

Perform heat mediated antigen retrieval via the pressure cooker method before commencing with IHC staining protocol.

Immunohistochemistry (Formalin/PFA-fixed paraffin-embedded sections) - Anti-Prohibitin antibody [EP2804Y] - Mitochondrial Marker (AB75771)
  • IHC-P

Unknown

Immunohistochemistry (Formalin/PFA-fixed paraffin-embedded sections) - Anti-Prohibitin antibody [EP2804Y] - Mitochondrial Marker (AB75771)

Immunohistochemistry (Formalin/PFA-fixed paraffin-embedded sections) analysis of mouse kidney tissue labelling Prohibitin with ab75771 at 1/250.

Perform heat mediated antigen retrieval via the pressure cooker method before commencing with IHC staining protocol.

Immunohistochemistry (Formalin/PFA-fixed paraffin-embedded sections) - Anti-Prohibitin antibody [EP2804Y] - Mitochondrial Marker (AB75771)
  • IHC-P

Unknown

Immunohistochemistry (Formalin/PFA-fixed paraffin-embedded sections) - Anti-Prohibitin antibody [EP2804Y] - Mitochondrial Marker (AB75771)

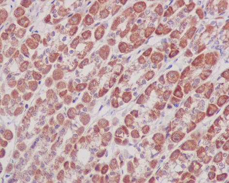
Immunohistochemistry (Formalin/PFA-fixed paraffin-embedded sections) analysis of mouse liver tissue labelling Prohibitin with ab75771 at 1/250.

Perform heat mediated antigen retrieval via the pressure cooker method before commencing with IHC staining protocol.

Western blot - Anti-Prohibitin antibody [EP2804Y] - Mitochondrial Marker (AB75771)
  • WB

Unknown

Western blot - Anti-Prohibitin antibody [EP2804Y] - Mitochondrial Marker (AB75771)

All lanes:

Western blot - Anti-Prohibitin antibody [EP2804Y] - Mitochondrial Marker (ab75771) at 1/1000 dilution

Lane 1:

MCF-7 cell lysates at 10 µg

Lane 2:

PC-12 cell lysates at 10 µg

Lane 3:

A431 cell lysates at 10 µg

Lane 4:

Ramos cell lysates at 10 µg

Secondary

All lanes:

HRP labelled goat anti-rabbit at 1/2000 dilution

Predicted band size: 30 kDa

Observed band size: 30 kDa

false

Immunoprecipitation - Anti-Prohibitin antibody [EP2804Y] - Mitochondrial Marker (AB75771)
  • IP

Unknown

Immunoprecipitation - Anti-Prohibitin antibody [EP2804Y] - Mitochondrial Marker (AB75771)

ab75771 (purified) at 1/500 dilution (4.3 © : g/ml) immunoprecipitating Prohibitin in MCF7 whole cell lysate .
Lane 1 (input) : MCF7(Human breast adenocarcinoma epithelial cell) whole cell lysate 10© : g
Lane 2 (+) : ab75771 & MCF7 whole cell lysate
Lane 3 (-) : Rabbit monoclonal IgG (ab172730) instead of ab75771 in MCF7 whole cell lysate
For western blotting, VeriBlot for IP secondary antibody (HRP) (ab131366) was used as the secondary antibody at 1/1000 dilution.
Blocking and diluting buffer : 5% NFDM /TBST .

All lanes:

Immunoprecipitation - Anti-Prohibitin antibody [EP2804Y] - Mitochondrial Marker (ab75771)

Predicted band size: 30 kDa

false

Key facts

Host species

Rabbit

Clonality

Monoclonal

Clone number

EP2804Y

Isotype

IgG

Carrier free

No

Reacts with

Mouse, Rat, Human

Applications

WB, IP, IHC-P, ICC/IF

applications

Immunogen

The exact immunogen used to generate this antibody is proprietary information.

Reactivity data

{ "title": "Reactivity Data", "filters": { "stats": ["", "Species", "Dilution Info", "Notes"], "tabs": { "all-applications": {"fullname" : "All Applications", "shortname": "All Applications"}, "IHCP" : {"fullname" : "Immunohistochemistry (Formalin/PFA-fixed paraffin-embedded sections)", "shortname":"IHC-P"}, "IP" : {"fullname" : "Immunoprecipitation", "shortname":"IP"}, "WB" : {"fullname" : "Western blot", "shortname":"WB"}, "ICCIF" : {"fullname" : "Immunocytochemistry/ Immunofluorescence", "shortname":"ICC/IF"} }, "product-promise": { "all": "all", "testedAndGuaranteed": "tested", "guaranteed": "expected", "predicted": "predicted", "notRecommended": "not-recommended" } }, "values": { "Human": { "IHCP-species-checked": "testedAndGuaranteed", "IHCP-species-dilution-info": "1/100 - 1/250", "IHCP-species-notes": "<p></p>", "IP-species-checked": "testedAndGuaranteed", "IP-species-dilution-info": "1/110", "IP-species-notes": "<p></p>", "WB-species-checked": "testedAndGuaranteed", "WB-species-dilution-info": "1/500 - 1/1000", "WB-species-notes": "<p></p>", "ICCIF-species-checked": "testedAndGuaranteed", "ICCIF-species-dilution-info": "1/100 - 1/250", "ICCIF-species-notes": "<p></p>" }, "Mouse": { "IHCP-species-checked": "testedAndGuaranteed", "IHCP-species-dilution-info": "1/100 - 1/250", "IHCP-species-notes": "<p></p>", "IP-species-checked": "guaranteed", "IP-species-dilution-info": "", "IP-species-notes": "", "WB-species-checked": "guaranteed", "WB-species-dilution-info": "", "WB-species-notes": "", "ICCIF-species-checked": "testedAndGuaranteed", "ICCIF-species-dilution-info": "1/100 - 1/250", "ICCIF-species-notes": "<p></p>" }, "Rat": { "IHCP-species-checked": "testedAndGuaranteed", "IHCP-species-dilution-info": "1/100 - 1/250", "IHCP-species-notes": "<p></p>", "IP-species-checked": "guaranteed", "IP-species-dilution-info": "", "IP-species-notes": "", "WB-species-checked": "guaranteed", "WB-species-dilution-info": "", "WB-species-notes": "", "ICCIF-species-checked": "guaranteed", "ICCIF-species-dilution-info": "", "ICCIF-species-notes": "" } } }

Product details

Patented technology
Our RabMAb® technology is a patented hybridoma-based technology for making rabbit monoclonal antibodies. For details on our patents, please refer to RabMAb® patents.

What are the advantages of a recombinant monoclonal antibody?
This product is a recombinant monoclonal antibody, which offers several advantages including:

  • - High batch-to-batch consistency and reproducibility
  • - Improved sensitivity and specificity
  • - Long-term security of supply
  • - Animal-free batch production

For more information, read more on recombinant antibodies.

Properties and storage information

Form
Liquid
Purification technique
Affinity purification Protein A
Storage buffer
pH: 7.2 - 7.4 Preservative: 0.01% Sodium azide Constituents: PBS, 50% Tissue culture supernatant, 40% Glycerol (glycerin, glycerine), 0.05% BSA
Shipped at conditions
Blue Ice
Appropriate short-term storage conditions
+4°C
Appropriate long-term storage conditions
-20°C
Aliquoting information
Upon delivery aliquot
Storage information
Avoid freeze / thaw cycle

Supplementary information

This supplementary information is collated from multiple sources and compiled automatically.

Prohibitin often known as PHB is a 30 kDa protein that plays significant mechanical roles in cellular processes. It is widely present in various tissues and cells acting as a mitochondrial marker and associates with other mitochondrial markers. Prohibitin protein exists in a highly conserved structure which makes it essential across different species. It localizes within the inner mitochondrial membrane where it exerts functions important for cellular energy homeostasis and mitochondrial stability.
Biological function summary

The protein is involved in the regulation of mitochondrial respiratory function and stabilization of mitochondrial nucleoid. Prohibitin protein forms a complex with related proteins contributing to the maintenance of mitochondrial morphology and integrity. Its role extends to cell cycle control and apoptosis making it a significant player in cellular proliferation and survival. Additionally it influences cellular senescence and stress responses offering protection against various stressors.

Pathways

Prohibitin integrates into mitochondrial dynamics and energy production pathways. It participates in the regulation of oxidative phosphorylation a core component for ATP generation. Prohibitin collaborates with proteins like co-chaperones and complexes such as the inner mitochondrial membrane complex which further illustrates its integration into cellular pathways. The interplay of these proteins and pathways underlines Prohibitin's role in maintaining mitochondrial function.

Prohibitin shows notable connections to cancer and neurodegenerative diseases. Its dysregulation links to the progression of cancers where it interacts with the retinoblastoma protein influencing cellular proliferation pathways. In neurodegenerative diseases Prohibitin participates in mechanisms that may affect the development of conditions like Alzheimer's disease associated with its role in mitochondrial dysfunction and oxidative stress. These interactions highlight Prohibitin's importance in both health and disease contexts and its potential as a therapeutic target.

Product protocols

For this product, it's our understanding that no specific protocols are required. You can visit:

Target data

Protein with pleiotropic attributes mediated in a cell-compartment- and tissue-specific manner, which include the plasma membrane-associated cell signaling functions, mitochondrial chaperone, and transcriptional co-regulator of transcription factors in the nucleus (PubMed : 11302691, PubMed : 20959514, PubMed : 28017329, PubMed : 31522117). Plays a role in adipose tissue and glucose homeostasis in a sex-specific manner (By similarity). Contributes to pulmonary vascular remodeling by accelerating proliferation of pulmonary arterial smooth muscle cells (By similarity).. In the mitochondria, together with PHB2, forms large ring complexes (prohibitin complexes) in the inner mitochondrial membrane (IMM) and functions as a chaperone protein that stabilizes mitochondrial respiratory enzymes and maintains mitochondrial integrity in the IMM, which is required for mitochondrial morphogenesis, neuronal survival, and normal lifespan (Probable). The prohibitin complex, with DNAJC19, regulates cardiolipin remodeling and the protein turnover of OMA1 in a cardiolipin-binding manner (By similarity). Regulates mitochondrial respiration activity playing a role in cellular aging (PubMed : 11302691). The prohibitin complex plays a role of mitophagy receptor involved in targeting mitochondria for autophagic degradation (PubMed : 28017329). Involved in mitochondrial-mediated antiviral innate immunity, activates RIG-I-mediated signal transduction and production of IFNB1 and pro-inflammatory cytokine IL6 (PubMed : 31522117).. In the nucleus, acts as a transcription coregulator, enhances promoter binding by TP53, a transcription factor it activates, but reduces the promoter binding by E2F1, a transcription factor it represses (PubMed : 14500729). Interacts with STAT3 to affect IL17 secretion in T-helper Th17 cells (PubMed : 31899195).. In the plasma membrane, cooperates with CD86 to mediate CD86-signaling in B lymphocytes that regulates the level of IgG1 produced through the activation of distal signaling intermediates (By similarity). Upon CD40 engagement, required to activate NF-kappa-B signaling pathway via phospholipase C and protein kinase C activation (By similarity).
See full target information PHB1

Publications (13)

Recent publications for all applications. Explore the full list and refine your search

International journal of molecular sciences 22: PubMed33573274

2021

Peptidylarginine Deiminase Inhibitor Application, Using Cl-Amidine, PAD2, PAD3 and PAD4 Isozyme-Specific Inhibitors in Pancreatic Cancer Cells, Reveals Roles for PAD2 and PAD3 in Cancer Invasion and Modulation of Extracellular Vesicle Signatures.

Applications

Unspecified application

Species

Unspecified reactive species

Pinar Uysal-Onganer,Stefania D'Alessio,Maria Mortoglou,Igor Kraev,Sigrun Lange

International journal of molecular sciences 21: PubMed32759737

2020

The Artemisinin-Derived Autofluorescent Compound BG95 Exerts Strong Anticytomegaloviral Activity Based on a Mitochondrial Targeting Mechanism.

Applications

Unspecified application

Species

Unspecified reactive species

Markus Wild,Friedrich Hahn,Benedikt Grau,Lars Herrmann,Aischa Niesar,Martin Schütz,Melanie M Lorion,Lutz Ackermann,Svetlana B Tsogoeva,Manfred Marschall

International journal of molecular sciences 21: PubMed32098295

2020

Peptidylarginine Deiminase Isozyme-Specific PAD2, PAD3 and PAD4 Inhibitors Differentially Modulate Extracellular Vesicle Signatures and Cell Invasion in Two Glioblastoma Multiforme Cell Lines.

Applications

Unspecified application

Species

Unspecified reactive species

Pinar Uysal-Onganer,Amy MacLatchy,Rayan Mahmoud,Igor Kraev,Paul R Thompson,Jameel M Inal,Sigrun Lange

Translational oncology 12:513-522 PubMed30597288

2019

Cannabidiol Affects Extracellular Vesicle Release, miR21 and miR126, and Reduces Prohibitin Protein in Glioblastoma Multiforme Cells.

Applications

Unspecified application

Species

Unspecified reactive species

Uchini S Kosgodage,Pinar Uysal-Onganer,Amy MacLatchy,Rhys Mould,Alistair V Nunn,Geoffrey W Guy,Igor Kraev,Nicholas P Chatterton,E Louise Thomas,Jameel M Inal,Jimmy D Bell,Sigrun Lange

International journal of molecular sciences 20: PubMed30597867

2018

Peptidylarginine Deiminases Post-Translationally Deiminate Prohibitin and Modulate Extracellular Vesicle Release and MicroRNAs in Glioblastoma Multiforme.

Applications

Unspecified application

Species

Unspecified reactive species

Uchini S Kosgodage,Pinar Uysal-Onganer,Amy MacLatchy,Igor Kraev,Nicholas P Chatterton,Anthony P Nicholas,Jameel M Inal,Sigrun Lange

Free radical biology & medicine 131:251-263 PubMed30502455

2018

Astragaloside IV reduces neuronal apoptosis and parthanatos in ischemic injury by preserving mitochondrial hexokinase-II.

Applications

Unspecified application

Species

Unspecified reactive species

Ying Li,Yilin Yang,Yunpeng Zhao,Jingmin Zhang,Baolin Liu,Shujie Jiao,Xiaojian Zhang

Frontiers in pharmacology 9:889 PubMed30150937

2018

Cannabidiol (CBD) Is a Novel Inhibitor for Exosome and Microvesicle (EMV) Release in Cancer.

Applications

Unspecified application

Species

Unspecified reactive species

Uchini S Kosgodage,Rhys Mould,Aine B Henley,Alistair V Nunn,Geoffrey W Guy,E L Thomas,Jameel M Inal,Jimmy D Bell,Sigrun Lange

Cell death & disease 9:672 PubMed29867110

2018

Succinate induces aberrant mitochondrial fission in cardiomyocytes through GPR91 signaling.

Applications

Unspecified application

Species

Unspecified reactive species

Yi-Tong Lu,Lan-Zhu Li,Yi-Lin Yang,Xiaojian Yin,Qun Liu,Lei Zhang,Kang Liu,Baolin Liu,Jia Li,Lian-Wen Qi

Molecular medicine reports 17:7769-7773 PubMed29620269

2018

Prohibitin and the extracellular matrix are upregulated in murine alveolar epithelial cells with LPS‑induced acute injury.

Applications

Unspecified application

Species

Unspecified reactive species

Feng Zhang,Dejun Fan,Xiao-Neng Mo

Cell death & disease 8:e2625 PubMed28230856

2017

Ginsenoside Rg5 increases cardiomyocyte resistance to ischemic injury through regulation of mitochondrial hexokinase-II and dynamin-related protein 1.

Applications

Unspecified application

Species

Unspecified reactive species

Yi-Lin Yang,Jia Li,Kang Liu,Lei Zhang,Qun Liu,Baolin Liu,Lian-Wen Qi
View all publications

Product promise

We are committed to supporting your work with high-quality reagents, and we're here for you every step of the way. In the unlikely event that one of our products does not perform as expected, you're protected by our Product Promise.
For full details, please see our Terms & Conditions

Please note: All products are 'FOR RESEARCH USE ONLY. NOT FOR USE IN DIAGNOSTIC OR THERAPEUTIC PROCEDURES'.

For licensing inquiries, please contact partnerships@abcam.com