JavaScript is disabled in your browser. Please enable JavaScript to view this website.
AB243141

Anti-Proinsulin antibody [3B6-19-1]

Be the first to review this product! Submit a review

|

(3 Publications)

Mouse Recombinant Monoclonal Insulin antibody. Suitable for Dot, IHC-P, Flow Cyt (Intra) and reacts with Recombinant full length protein - Human, Mouse, Rat, Human samples. Cited in 3 publications.

View Alternative Names

Insulin, INS

5 Images
Flow Cytometry (Intracellular) - Anti-Proinsulin antibody [3B6-19-1] (AB243141)
  • Flow Cyt (Intra)

Supplier Data

Flow Cytometry (Intracellular) - Anti-Proinsulin antibody [3B6-19-1] (AB243141)

Intracellular flow cytometric analysis of 2% PFA-fixed, 0.1% Tween-20 permeabilized human peripheral blood mononuclear cells (PBMC) (right) labeling Proinsulin with ab243141 at 0.98μg/mL compared with mouse monoclonal IgG Isotype Control (left). Goat anti-mouse IgG (Alexa Fluor® 488) (ab150113) at 1/2000 dilution was used as the secondary antibody.

Cells were stained with mouse IgG (Left) or ab243141 (Right). Then stained with anti-CD14 (Alexa Fluor® 647).

Gated on viable cells.

Immunohistochemistry (Formalin/PFA-fixed paraffin-embedded sections) - Anti-Proinsulin antibody [3B6-19-1] (AB243141)
  • IHC-P

Supplier Data

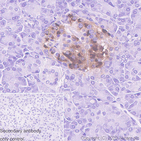
Immunohistochemistry (Formalin/PFA-fixed paraffin-embedded sections) - Anti-Proinsulin antibody [3B6-19-1] (AB243141)

Immunohistochemical analysis of paraffin-embedded human pancreas tissue labeling Proinsulin with ab243141 at 0.49 μg/mL, followed by a ready to use secondary. Positive staining on islets in the human pancreas is observed. The section was incubated with ab243141 for 30 mins at RT. The immunostaining staining was performed on a Leica Biosystems BOND® RX instrument with no antigen retrieval. Counterstained with hematoxylin.

Secondary antibody only control : Used PBS instead of primary antibody, followed by a ready to use secondary.

Immunohistochemistry (Formalin/PFA-fixed paraffin-embedded sections) - Anti-Proinsulin antibody [3B6-19-1] (AB243141)
  • IHC-P

Supplier Data

Immunohistochemistry (Formalin/PFA-fixed paraffin-embedded sections) - Anti-Proinsulin antibody [3B6-19-1] (AB243141)

Immunohistochemical analysis of paraffin-embedded rat pancreas tissue labeling Proinsulin with ab243141 at 0.49 μg/mL, followed by a ready to use secondary. Positive staining on islets in the rat pancreas is observed. The section was incubated with ab243141 for 30 mins at RT. The immunostaining staining was performed on a Leica Biosystems BOND® RX instrument with no antigen retrieval. Counterstained with hematoxylin.

Secondary antibody only control : Used PBS instead of primary antibody, followed by a ready to use secondary.

Immunohistochemistry (Formalin/PFA-fixed paraffin-embedded sections) - Anti-Proinsulin antibody [3B6-19-1] (AB243141)
  • IHC-P

Supplier Data

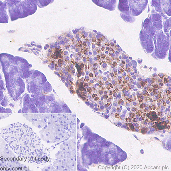
Immunohistochemistry (Formalin/PFA-fixed paraffin-embedded sections) - Anti-Proinsulin antibody [3B6-19-1] (AB243141)

Immunohistochemical analysis of paraffin-embedded mouse pancreas tissue labeling Proinsulin with ab243141 at 0.49 μg/mL, followed by a ready to use secondary. Positive staining on islets in the mouse pancreas is observed. The section was incubated with ab243141 for 30 mins at RT. The immunostaining staining was performed on a Leica Biosystems BOND® RX instrument with no antigen retrieval. Counterstained with hematoxylin.

Secondary antibody only control : Used PBS instead of primary antibody, followed by a ready to use secondary.

Dot Blot - Anti-Proinsulin antibody [3B6-19-1] (AB243141)
  • Dot

Supplier Data

Dot Blot - Anti-Proinsulin antibody [3B6-19-1] (AB243141)

Dot Blot - Anti-Proinsulin antibody [3B6-19-1] (ab243141, 0.49 μg/mL).

Secondary used is a Peroxidase-Conjugated Goat anti-Mouse IgG (H+L) at 1/10000 dilution.

Sample is an insulin recombinant protein.

Blocking/Dilution buffer : 5% NFDM/TBST.

  • Carrier free

    Anti-Proinsulin antibody [3B6-19-1] - BSA and Azide free

Key facts

Host species

Mouse

Clonality

Monoclonal

Clone number

3B6-19-1

Isotype

IgG1

Carrier free

No

Reacts with

Mouse, Rat, Human

Applications

IHC-P, Flow Cyt (Intra), Dot

applications

Immunogen

The exact immunogen used to generate this antibody is proprietary information.

Reactivity data

{ "title": "Reactivity Data", "filters": { "stats": ["", "Species", "Dilution Info", "Notes"], "tabs": { "all-applications": {"fullname" : "All Applications", "shortname": "All Applications"}, "Dot" : {"fullname" : "Dot Blot", "shortname":"Dot"}, "WB" : {"fullname" : "Western blot", "shortname":"WB"}, "IHCP" : {"fullname" : "Immunohistochemistry (Formalin/PFA-fixed paraffin-embedded sections)", "shortname":"IHC-P"}, "FlowCytIntra" : {"fullname" : "Flow Cytometry (Intracellular)", "shortname":"Flow Cyt (Intra)"} }, "product-promise": { "all": "all", "testedAndGuaranteed": "tested", "guaranteed": "expected", "predicted": "predicted", "notRecommended": "not-recommended" } }, "values": { "Human": { "Dot-species-checked": "guaranteed", "Dot-species-dilution-info": "", "Dot-species-notes": "", "WB-species-checked": "notRecommended", "WB-species-dilution-info": "", "WB-species-notes": "<p></p>", "IHCP-species-checked": "testedAndGuaranteed", "IHCP-species-dilution-info": "0.49 µg/mL", "IHCP-species-notes": "<p></p>", "FlowCytIntra-species-checked": "testedAndGuaranteed", "FlowCytIntra-species-dilution-info": "0.98 µg/mL", "FlowCytIntra-species-notes": "<p></p>" }, "Mouse": { "Dot-species-checked": "guaranteed", "Dot-species-dilution-info": "", "Dot-species-notes": "", "WB-species-checked": "notRecommended", "WB-species-dilution-info": "", "WB-species-notes": "<p></p>", "IHCP-species-checked": "testedAndGuaranteed", "IHCP-species-dilution-info": "0.49 µg/mL", "IHCP-species-notes": "<p></p>", "FlowCytIntra-species-checked": "guaranteed", "FlowCytIntra-species-dilution-info": "", "FlowCytIntra-species-notes": "" }, "Rat": { "Dot-species-checked": "guaranteed", "Dot-species-dilution-info": "", "Dot-species-notes": "", "WB-species-checked": "notRecommended", "WB-species-dilution-info": "", "WB-species-notes": "<p></p>", "IHCP-species-checked": "testedAndGuaranteed", "IHCP-species-dilution-info": "0.49 µg/mL", "IHCP-species-notes": "<p></p>", "FlowCytIntra-species-checked": "guaranteed", "FlowCytIntra-species-dilution-info": "", "FlowCytIntra-species-notes": "" }, "Recombinant full length protein - Human": { "Dot-species-checked": "testedAndGuaranteed", "Dot-species-dilution-info": "0.49 µg/mL", "Dot-species-notes": "<p></p>", "WB-species-checked": "notRecommended", "WB-species-dilution-info": "", "WB-species-notes": "", "IHCP-species-checked": "notRecommended", "IHCP-species-dilution-info": "", "IHCP-species-notes": "", "FlowCytIntra-species-checked": "notRecommended", "FlowCytIntra-species-dilution-info": "", "FlowCytIntra-species-notes": "" } } }

Product details

What are the advantages of a recombinant monoclonal antibody?
This product is a recombinant monoclonal antibody, which offers several advantages including:

  • - High batch-to-batch consistency and reproducibility
  • - Improved sensitivity and specificity
  • - Long-term security of supply
  • - Animal-free batch production

For more information, read more on recombinant antibodies.

Want a custom formulation?
This antibody clone is manufactured by Abcam. If you require a custom buffer formulation or conjugation for your experiments, please contact orders@abcam.com

Properties and storage information

Form
Liquid
Purification technique
Affinity purification Protein A
Storage buffer
pH: 7.2 - 7.4 Preservative: 0.01% Sodium azide Constituents: PBS, 40% Glycerol (glycerin, glycerine), 0.05% BSA
Shipped at conditions
Blue Ice
Appropriate short-term storage duration
1-2 weeks
Appropriate short-term storage conditions
+4°C
Appropriate long-term storage conditions
-20°C
Aliquoting information
Upon delivery aliquot
Storage information
Avoid freeze / thaw cycle

Supplementary information

This supplementary information is collated from multiple sources and compiled automatically.

Proinsulin is a precursor molecule important for insulin production. Its alternate names include 'INS-IGF2' or 'preproinsulin'. It has a molecular mass of approximately 9 kDa. The primary expression occurs in the beta cells of the pancreatic islets. Proinsulin undergoes enzymatic cleavage to produce insulin and C-peptide executing a significant transformation as it matures into active insulin which plays an important role in glucose metabolism.
Biological function summary

Proinsulin facilitates the synthesis and release of insulin an essential process involving the conversion from proinsulin to insulin. Proinsulin itself does not operate as part of a complex but requires processing enzymes like prohormone convertase to mature into functional insulin. The efficient conversion of proinsulin to insulin allows cells to maintain glucose homeostasis highlighting its importance in cellular energy usage.

Pathways

Insulin biosynthesis and secretion and the glucose homeostasis pathway rely heavily on proinsulin. In the insulin biosynthesis pathway proinsulin acts upstream of insulin the hormone directly regulating blood glucose levels. The pathways involve interaction with proteins such as proprotein convertase subtilisin/kexin type 1 (PCSK1) which participates in the conversion of proinsulin to insulin. Through these pathways proinsulin ensures proper energy regulation and balances the body's glucose supply with cellular demands.

Aberrations in proinsulin processing or levels closely associate with diabetes mellitus and hyperinsulinemia. Diabetes mellitus characterized by insulin deficiency or resistance can result from insufficient proinsulin conversion to insulin. Hyperinsulinemia involves excess levels of insulin-related peptides sometimes due to incomplete proinsulin processing. Disorders affecting proinsulin often involve its relationship with insulin where inadequate or excess production directly influences blood glucose regulation and disease progression.

Product protocols

For this product, it's our understanding that no specific protocols are required. You can visit:

Target data

Insulin decreases blood glucose concentration. It increases cell permeability to monosaccharides, amino acids and fatty acids. It accelerates glycolysis, the pentose phosphate cycle, and glycogen synthesis in liver.
See full target information INS

Additional targets

Proinsulin

Publications (3)

Recent publications for all applications. Explore the full list and refine your search

iScience 27:110017 PubMed39021804

2024

Insulin receptor isoform B is required for efficient proinsulin processing in pancreatic β cells.

Applications

Unspecified application

Species

Unspecified reactive species

Mingchao Jiang,Ning Wang,Yuqin Zhang,Jinjin Zhang,Youwei Li,Xiu Yan,Honghao Zhang,Chengbin Li,Youfei Guan,Bin Liang,Weiping Zhang,Yingjie Wu

Nucleic acids research 50:12723-12738 PubMed36484096

2022

TEAD1 regulates cell proliferation through a pocket-independent transcription repression mechanism.

Applications

Unspecified application

Species

Unspecified reactive species

Feng Li,Vinny Negi,Ping Yang,Jeongkyung Lee,Ke Ma,Mousumi Moulik,Vijay K Yechoor

Proceedings of the National Academy of Sciences of 103:16430-5 PubMed17053071

2006

Proinsulin is encoded by an RNA splice variant in human blood myeloid cells.

Applications

Unspecified application

Species

Unspecified reactive species

Parth Narendran,Alana M Neale,Bo Han Lee,Katrina Ngui,Raymond J Steptoe,Grant Morahan,Ole Madsen,James A Dromey,Kent P Jensen,Leonard C Harrison
View all publications

Product promise

We are committed to supporting your work with high-quality reagents, and we're here for you every step of the way. In the unlikely event that one of our products does not perform as expected, you're protected by our Product Promise.
For full details, please see our Terms & Conditions

Please note: All products are 'FOR RESEARCH USE ONLY. NOT FOR USE IN DIAGNOSTIC OR THERAPEUTIC PROCEDURES'.

For licensing inquiries, please contact partnerships@abcam.com