JavaScript is disabled in your browser. Please enable JavaScript to view this website.
AB250714

Anti-Prolactin/PRL antibody [EPR19372] - BSA and Azide free

Be the first to review this product! Submit a review

|

(0 Publication)

Rabbit Recombinant Monoclonal Prolactin/PRL antibody. Carrier free. Suitable for IP, WB, IHC-Fr and reacts with Mouse, Rat samples.

View Alternative Names

Prolactin, PRL, Prl

4 Images
Immunohistochemistry (Frozen sections) - Anti-Prolactin/PRL antibody [EPR19372] - BSA and Azide free (AB250714)
  • IHC-Fr

Supplier Data

Immunohistochemistry (Frozen sections) - Anti-Prolactin/PRL antibody [EPR19372] - BSA and Azide free (AB250714)

This data was developed using ab183968, the same antibody clone in a different buffer formulation.

Immunohistochemical analysis of 4% paraformaldehyde-fixed, 0.2% Triton X-100 permeabilized frozen Mouse kidney tissue labeling Prolactin/PRL with ab183968 at 1/200 dilution, followed by Goat Anti-Rabbit IgG (Alexa Fluor® 488) (ab150077) secondary antibody at 1/1000 dilution (green).

The result showed negative staining on mouse kidney.

The nuclear counterstain is DAPI (blue).

Secondary antibody only control : Used PBS instead of primary antibody, secondary antibody is ab150077 at 1/1000 dilution.

Immunohistochemistry (Frozen sections) - Anti-Prolactin/PRL antibody [EPR19372] - BSA and Azide free (AB250714)
  • IHC-Fr

Supplier Data

Immunohistochemistry (Frozen sections) - Anti-Prolactin/PRL antibody [EPR19372] - BSA and Azide free (AB250714)

This data was developed using ab183968, the same antibody clone in a different buffer formulation.

Immunohistochemical analysis of 4% paraformaldehyde-fixed, 0.2% Triton X-100 permeabilized frozen Mouse pituitary tissue labeling Prolactin/PRL with ab183968 at 1/200 dilution, followed by Goat Anti-Rabbit IgG (Alexa Fluor® 488) (ab150077) secondary antibody at 1/1000 dilution (green).

The result showed cytoplasmic staining on mouse anterior pituitary.

The nuclear counterstain is DAPI (blue).

Secondary antibody only control : Used PBS instead of primary antibody, secondary antibody is ab150077 at 1/1000 dilution.

Immunoprecipitation - Anti-Prolactin/PRL antibody [EPR19372] - BSA and Azide free (AB250714)
  • IP

Supplier Data

Immunoprecipitation - Anti-Prolactin/PRL antibody [EPR19372] - BSA and Azide free (AB250714)

This data was developed using ab183968, the same antibody clone in a different buffer formulation.

Prolactin/PRL was immunoprecipitated from 0.35 mg of mouse pituitary whole cell lysate with ab183968 at 1/30 dilution. Western blot was performed from the immunoprecipitate using ab183968 at 1/5000 dilution. VeriBlot for IP Detection Reagent (HRP) (ab131366), was used for detection at 1/10000 dilution.

Lane 1 : Mouse pituitary whole cell lysate, 10μg (Input).
Lane 2 : ab183968 IP in Mouse pituitary whole cell lysate.
Lane 3 : Rabbit IgG,monoclonal [EPR25A]-Isotype Control (ab172730) instead of ab183968 in Mouse pituitary whole cell lysate.

Blocking and dilution buffer and concentration : 5% NFDM/TBST.

Exposure time : 10 seconds.

All lanes:

Immunoprecipitation - Anti-Prolactin/PRL antibody [EPR19372] (<a href='/en-us/products/primary-antibodies/prolactin-prl-antibody-epr19372-ab183968'>ab183968</a>)

Predicted band size: 26 kDa

false

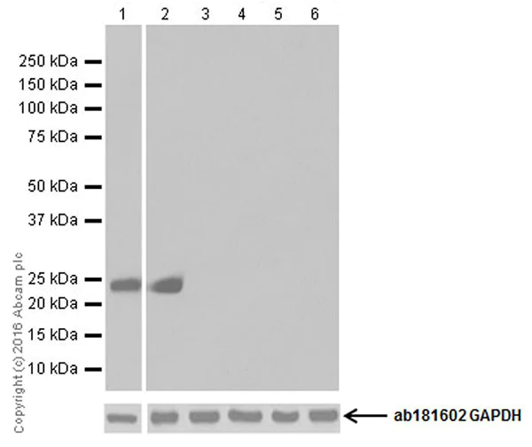
Western blot - Anti-Prolactin/PRL antibody [EPR19372] - BSA and Azide free (AB250714)
  • WB

Supplier Data

Western blot - Anti-Prolactin/PRL antibody [EPR19372] - BSA and Azide free (AB250714)

This data was developed using ab183968, the same antibody clone in a different buffer formulation.

Blocking and dilution buffer : 5% NFDM/TBST.

Exposure times : Lane 1 : 8 seconds; Lanes 2-6 : 3 second.

All lanes:

Western blot - Anti-Prolactin/PRL antibody [EPR19372] (<a href='/en-us/products/primary-antibodies/prolactin-prl-antibody-epr19372-ab183968'>ab183968</a>) at 1/5000 dilution

Lane 1:

Mouse pituitary lysate at 20 µg

Lane 2:

Rat pituitary lysate at 20 µg

Lane 3:

Mouse uterus tissue lysate at 20 µg

Lane 4:

Rat kidney tissue lysate at 20 µg

Lane 5:

C6 (Rat glial tumor cell line) whole cell lysate at 20 µg

Lane 6:

NIH/3T3 (Mouse embryonic fibroblast cell line) whole cell lysate at 20 µg

Secondary

All lanes:

Western blot - Goat Anti-Rabbit IgG H&L (HRP) (<a href='/en-us/products/secondary-antibodies/goat-rabbit-igg-h-l-hrp-ab97051'>ab97051</a>) at 1/100000 dilution

Predicted band size: 26 kDa

Observed band size: 25 kDa

false

Key facts

Host species

Rabbit

Clonality

Monoclonal

Clone number

EPR19372

Isotype

IgG

Carrier free

Yes

Reacts with

Mouse, Rat

Applications

IHC-Fr, IP, WB

applications

Immunogen

The exact immunogen used to generate this antibody is proprietary information.

Reactivity data

{ "title": "Reactivity Data", "filters": { "stats": ["", "Species", "Dilution Info", "Notes"], "tabs": { "all-applications": {"fullname" : "All Applications", "shortname": "All Applications"}, "IP" : {"fullname" : "Immunoprecipitation", "shortname":"IP"}, "WB" : {"fullname" : "Western blot", "shortname":"WB"}, "IHCFr" : {"fullname" : "Immunohistochemistry (Frozen sections)", "shortname":"IHC-Fr"} }, "product-promise": { "all": "all", "testedAndGuaranteed": "tested", "guaranteed": "expected", "predicted": "predicted", "notRecommended": "not-recommended" } }, "values": { "Mouse": { "IP-species-checked": "testedAndGuaranteed", "IP-species-dilution-info": "", "IP-species-notes": "<p></p>", "WB-species-checked": "testedAndGuaranteed", "WB-species-dilution-info": "", "WB-species-notes": "<p></p>", "IHCFr-species-checked": "testedAndGuaranteed", "IHCFr-species-dilution-info": "", "IHCFr-species-notes": "<p>Antigen retrieval: Heated citrate solution (10mM citrate pH 6.0 + 0.05% Tween-20). This application is recommended for mouse only.</p>" }, "Rat": { "IP-species-checked": "testedAndGuaranteed", "IP-species-dilution-info": "", "IP-species-notes": "<p></p>", "WB-species-checked": "testedAndGuaranteed", "WB-species-dilution-info": "", "WB-species-notes": "<p></p>", "IHCFr-species-checked": "guaranteed", "IHCFr-species-dilution-info": "", "IHCFr-species-notes": "<p>Antigen retrieval: Heated citrate solution (10mM citrate pH 6.0 + 0.05% Tween-20). This application is recommended for mouse only.</p>" } } }

Product details

ab250714 is the carrier-free version of ab183968.

Patented technology
Our RabMAb® technology is a patented hybridoma-based technology for making rabbit monoclonal antibodies. For details on our patents, please refer to RabMAb® patents.

What are the advantages of a recombinant monoclonal antibody?
This product is a recombinant monoclonal antibody, which offers several advantages including:

  • - High batch-to-batch consistency and reproducibility
  • - Improved sensitivity and specificity
  • - Long-term security of supply
  • - Animal-free batch production

For more information, read more on recombinant antibodies.

Conjugation ready
Our carrier-free antibodies are typically supplied in a PBS-only formulation, purified and free of BSA, sodium azide and glycerol. This conjugation-ready format is designed for use with fluorochromes, metal isotopes, oligonucleotides, and enzymes, which makes them ideal for antibody labelling, functional and cell-based assays, flow-based assays (e.g. mass cytometry) and Multiplex Imaging applications.

Use our conjugation kits for antibody conjugates that are ready-to-use in as little as 20 minutes with 1 minute hands-on-time and 100% antibody recovery: available for fluorescent dyes, HRP, biotin and gold.

Compatibility
This product is compatible with the Maxpar® Antibody Labeling Kit from Fluidigm, without the need for antibody preparation. Maxpar® is a trademark of Fluidigm Canada Inc.

Properties and storage information

Form
Liquid
Purification technique
Affinity purification Protein A
Storage buffer
pH: 7.2 - 7.4 Constituents: PBS
Shipped at conditions
Blue Ice
Appropriate short-term storage conditions
+4°C
Appropriate long-term storage conditions
+4°C
Storage information
Do Not Freeze

Supplementary information

This supplementary information is collated from multiple sources and compiled automatically.

Prolactin (PRL) also known as mammotropin is a peptide hormone with a molecular mass of approximately 23 kDa. PRL is primarily expressed in the anterior pituitary gland but can also be found in other tissues such as the mammary glands brain and immune system. PRL plays an important role in lactation stimulating milk production in mammals. The PRL protein functions by binding to the prolactin receptor a member of the cytokine receptor family initiating signal transduction pathways.
Biological function summary

PRL influences a variety of physiological processes including reproduction metabolism and osmoregulation. It acts as a single entity rather than part of a larger protein complex affecting development and growth through its regulatory activities. In addition to lactation PRL also plays roles in the immune system cell proliferation and the production of surfactant in the lungs.

Pathways

Prolactin is deeply involved in the JAK-STAT signaling pathway and the MAPK/ERK pathway which are pivotal for transmitting signals from the prolactin receptor to the nucleus. Through these pathways PRL interacts with proteins like Janus kinase (JAK) and Signal Transducer and Activator of Transcription (STAT) proteins facilitating its wide range of biological effects. This interplay helps regulate gene expression critical for various physiological conditions.

PRL is linked to conditions such as hyperprolactinemia and prolactinoma. Hyperprolactinemia characterized by elevated levels of prolactin in the blood can lead to symptoms such as galactorrhea and infertility. In the context of prolactinoma an adenoma of the pituitary gland PRL's overproduction is common. These disorders often relate to proteins like dopamine which typically acts to inhibit PRL secretion from the pituitary gland and any disruption in this regulation can result in the aforementioned conditions.

Product protocols

For this product, it's our understanding that no specific protocols are required. You can visit:

Target data

Prolactin acts primarily on the mammary gland by promoting lactation.
See full target information Prl

Additional targets

Prolactin/PRL

Product promise

We are committed to supporting your work with high-quality reagents, and we're here for you every step of the way. In the unlikely event that one of our products does not perform as expected, you're protected by our Product Promise.
For full details, please see our Terms & Conditions

Please note: All products are 'FOR RESEARCH USE ONLY. NOT FOR USE IN DIAGNOSTIC OR THERAPEUTIC PROCEDURES'.

For licensing inquiries, please contact partnerships@abcam.com