JavaScript is disabled in your browser. Please enable JavaScript to view this website.
AB238938

Anti-Prolactin/PRL antibody [EPR19386] - BSA and Azide free

Be the first to review this product! Submit a review

|

(1 Publication)

Rabbit Recombinant Monoclonal Prolactin/PRL antibody. Carrier free. Suitable for WB, IHC-Fr, IHC-P, ICC/IF and reacts with Mouse, Rat samples. Cited in 1 publication.

View Alternative Names

Prolactin, PRL, Prl

7 Images
Immunocytochemistry/ Immunofluorescence - Anti-Prolactin/PRL antibody [EPR19386] - BSA and Azide free (AB238938)
  • ICC/IF

Supplier Data

Immunocytochemistry/ Immunofluorescence - Anti-Prolactin/PRL antibody [EPR19386] - BSA and Azide free (AB238938)

Immunofluorescent analysis of 4% paraformaldehyde-fixed, 0.1% Triton X-100 permeabilized HeLa (Human epithelial cell line from cervix adenocarcinoma) cells labeling Prolactin/PRL with ab183967 at 1/100 dilution, followed by Goat Anti-Rabbit IgG (Alexa Fluor® 488) (ab150077) secondary antibody at 1/1000 dilution (green).

The results show positive staining on HeLa cells transfected with myc-tagged Prolactin.

The nuclear counter stain is DAPI (blue).

Myc is detected with anti-c-Myc (mouse mAb) at 1/1000 dilution and Goat Anti-Mouse IgG H&L (Alexa Fluor® 594) preadsorbed (ab150120) at 1/1000 dilution (red).

The negative controls are as follows :
-ve control 1 : ab183967 at 1/100 dilution followed by ab150120  at 1/1000 dilution.
-ve control 2 : Anti-c-Myc  at 1/1000 dilution followed by ab150077 at 1/1000 dilution.

This data was developed using the same antibody clone in a different buffer formulation containing PBS, BSA, glycerol, and sodium azide (ab183967).

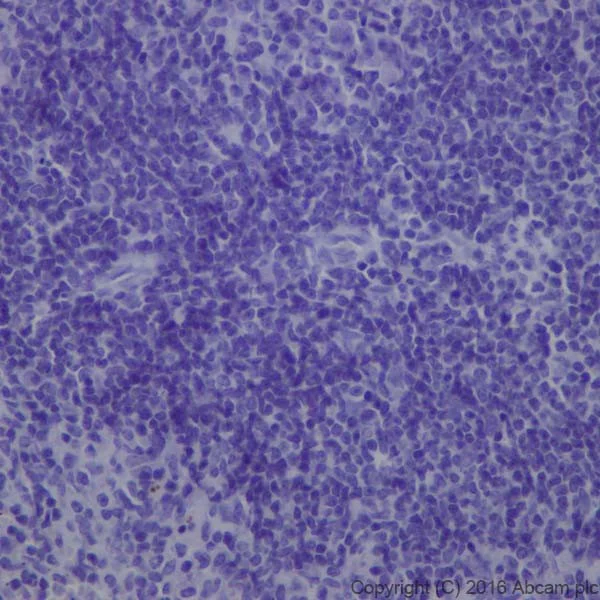
Immunohistochemistry (Formalin/PFA-fixed paraffin-embedded sections) - Anti-Prolactin/PRL antibody [EPR19386] - BSA and Azide free (AB238938)
  • IHC-P

Supplier Data

Immunohistochemistry (Formalin/PFA-fixed paraffin-embedded sections) - Anti-Prolactin/PRL antibody [EPR19386] - BSA and Azide free (AB238938)

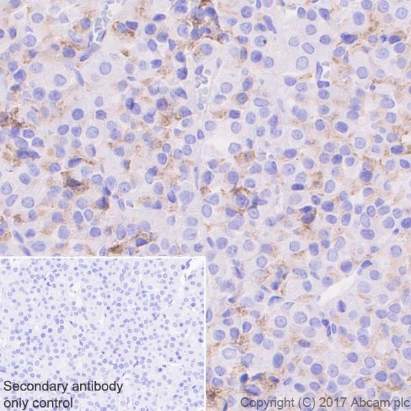
Immunohistochemical analysis of paraffin-embedded Mouse spleen tissue labeling Prolactin/PRL with ab183967 at 1/8000 dilution, followed by Goat Anti-Rabbit IgG H&L (HRP) (ab97051) at 1/500 dilution. No staining was observed on mouse spleen.

Counter stained with Hematoxylin.

Secondary antibody only control : Used PBS instead of primary antibody, secondary antibody is ab97051 at 1/500 dilution.

This data was developed using the same antibody clone in a different buffer formulation containing PBS, BSA, glycerol, and sodium azide (ab183967).

Heat mediated antigen retrieval was performed with Tris/EDTA buffer pH 9.0 before commencing with IHC staining protocol.

Immunohistochemistry (Frozen sections) - Anti-Prolactin/PRL antibody [EPR19386] - BSA and Azide free (AB238938)
  • IHC-Fr

Supplier Data

Immunohistochemistry (Frozen sections) - Anti-Prolactin/PRL antibody [EPR19386] - BSA and Azide free (AB238938)

Immunohistochemical analysis of 4% paraformaldehyde-fixed, 0.2% Triton X-100 permeabilized frozen Mouse kidney tissue labeling Prolactin/PRL with ab183967 at 1/200 dilution, followed by Goat Anti-Rabbit IgG (Alexa Fluor® 488) (ab150077) secondary antibody at 1/1000 dilution (green).

No staining was observed on mouse kidney.

The nuclear counterstain is DAPI (blue).

Secondary antibody only control : Used PBS instead of primary antibody, secondary antibody is ab150077 at 1/1000 dilution.

This data was developed using the same antibody clone in a different buffer formulation containing PBS, BSA, glycerol, and sodium azide (ab183967).

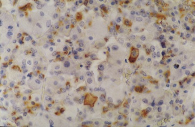
Immunohistochemistry (Formalin/PFA-fixed paraffin-embedded sections) - Anti-Prolactin/PRL antibody [EPR19386] - BSA and Azide free (AB238938)
  • IHC-P

Supplier Data

Immunohistochemistry (Formalin/PFA-fixed paraffin-embedded sections) - Anti-Prolactin/PRL antibody [EPR19386] - BSA and Azide free (AB238938)

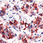
Immunohistochemical analysis of paraffin-embedded Mouse adenohypophysis tissue labeling Prolactin/PRL with ab183967 at 1/8000 dilution, followed by Goat Anti-Rabbit IgG H&L (HRP) (ab97051) at 1/500 dilution. Cytoplasm staining on mouse adenohypophysis was observed. Counter stained with Hematoxylin.

Secondary antibody only control : Used PBS instead of primary antibody, secondary antibody is ab97051 at 1/500 dilution.

This data was developed using the same antibody clone in a different buffer formulation containing PBS, BSA, glycerol, and sodium azide (ab183967).

Heat mediated antigen retrieval was performed with Tris/EDTA buffer pH 9.0 before commencing with IHC staining protocol.

Immunohistochemistry (Formalin/PFA-fixed paraffin-embedded sections) - Anti-Prolactin/PRL antibody [EPR19386] - BSA and Azide free (AB238938)
  • IHC-P

Supplier Data

Immunohistochemistry (Formalin/PFA-fixed paraffin-embedded sections) - Anti-Prolactin/PRL antibody [EPR19386] - BSA and Azide free (AB238938)

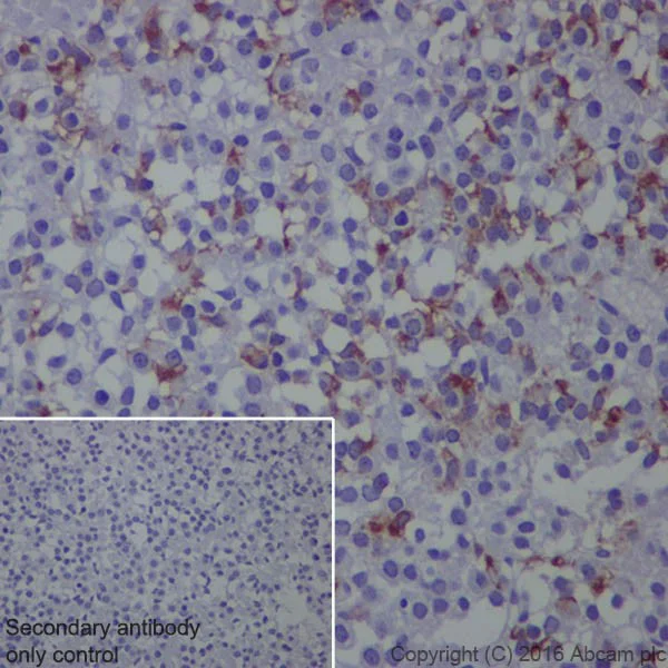
Immunohistochemical analysis of paraffin-embedded Mouse stomach tissue labeling Prolactin/PRL with ab183967 at 1/8000 dilution, followed by Goat Anti-Rabbit IgG H&L (HRP) (ab97051) at 1/500 dilution. No staining was observed on mouse stomach.

Counter stained with Hematoxylin.

Secondary antibody only control : Used PBS instead of primary antibody, secondary antibody is ab97051 at 1/500 dilution.

This data was developed using the same antibody clone in a different buffer formulation containing PBS, BSA, glycerol, and sodium azide (ab183967).

Heat mediated antigen retrieval was performed with Tris/EDTA buffer pH 9.0 before commencing with IHC staining protocol.

Immunohistochemistry (Frozen sections) - Anti-Prolactin/PRL antibody [EPR19386] - BSA and Azide free (AB238938)
  • IHC-Fr

Supplier Data

Immunohistochemistry (Frozen sections) - Anti-Prolactin/PRL antibody [EPR19386] - BSA and Azide free (AB238938)

Immunohistochemical analysis of 4% paraformaldehyde-fixed, 0.2% Triton X-100 permeabilized frozen Mouse pituitary tissue labeling Prolactin/PRL with ab183967 at 1/200 dilution, followed by Goat Anti-Rabbit IgG (Alexa Fluor® 488) (ab150077) secondary antibody at 1/1000 dilution (green).

The result showed cytoplasmic staining on mouse anterior pituitary.

The nuclear counterstain is DAPI (blue).

Secondary antibody only control : Used PBS instead of primary antibody, secondary antibody is ab150077 at 1/1000 dilution.

This data was developed using the same antibody clone in a different buffer formulation containing PBS, BSA, glycerol, and sodium azide (ab183967).

Immunocytochemistry/ Immunofluorescence - Anti-Prolactin/PRL antibody [EPR19386] - BSA and Azide free (AB238938)
  • ICC/IF

Supplier Data

Immunocytochemistry/ Immunofluorescence - Anti-Prolactin/PRL antibody [EPR19386] - BSA and Azide free (AB238938)

Immunofluorescent analysis of 4% paraformaldehyde-fixed, 0.1% Triton X-100 permeabilized HeLa (Human epithelial cell line from cervix adenocarcinoma) cells labeling Prolactin/PRL with ab183967 at 1/100 dilution, followed by Goat Anti-Rabbit IgG (Alexa Fluor® 488) (ab150077) secondary antibody at 1/1000 dilution (green).

The results show positive staining on HeLa cells transfected with myc-tagged Prolactin.

The nuclear counter stain is DAPI (blue).

Tubulin is detected with Anti-alpha Tubulin antibody [DM1A] - Loading Control (ab7291) at 1/1000 dilution and Goat Anti-Mouse IgG H&L (Alexa Fluor® 594) preadsorbed (ab150120) at 1/1000 dilution (red).

The negative controls are as follows :
-ve control 1 : ab183967 at 1/100 dilution followed by ab150120 at 1/1000 dilution.
-ve control 2 : ab7291  at 1/1000 dilution followed by ab150077  at 1/1000 dilution.

This data was developed using the same antibody clone in a different buffer formulation containing PBS, BSA, glycerol, and sodium azide (ab183967).

Key facts

Host species

Rabbit

Clonality

Monoclonal

Clone number

EPR19386

Isotype

IgG

Carrier free

Yes

Reacts with

Mouse, Rat

Applications

WB, IHC-Fr, ICC/IF, IHC-P

applications

Immunogen

The exact immunogen used to generate this antibody is proprietary information.

Reactivity data

{ "title": "Reactivity Data", "filters": { "stats": ["", "Species", "Dilution Info", "Notes"], "tabs": { "all-applications": {"fullname" : "All Applications", "shortname": "All Applications"}, "WB" : {"fullname" : "Western blot", "shortname":"WB"}, "IHCFr" : {"fullname" : "Immunohistochemistry (Frozen sections)", "shortname":"IHC-Fr"}, "IHCP" : {"fullname" : "Immunohistochemistry (Formalin/PFA-fixed paraffin-embedded sections)", "shortname":"IHC-P"}, "ICCIF" : {"fullname" : "Immunocytochemistry/ Immunofluorescence", "shortname":"ICC/IF"} }, "product-promise": { "all": "all", "testedAndGuaranteed": "tested", "guaranteed": "expected", "predicted": "predicted", "notRecommended": "not-recommended" } }, "values": { "Mouse": { "WB-species-checked": "guaranteed", "WB-species-dilution-info": "", "WB-species-notes": "<p></p>", "IHCFr-species-checked": "testedAndGuaranteed", "IHCFr-species-dilution-info": "", "IHCFr-species-notes": "<p>Perform antigen retrieval with heated citrate solution (10mM citrate pH 6.0 + 0.05% Tween-20).</p>", "IHCP-species-checked": "testedAndGuaranteed", "IHCP-species-dilution-info": "", "IHCP-species-notes": "<p></p>", "ICCIF-species-checked": "testedAndGuaranteed", "ICCIF-species-dilution-info": "", "ICCIF-species-notes": "<p></p>" }, "Rat": { "WB-species-checked": "guaranteed", "WB-species-dilution-info": "", "WB-species-notes": "<p></p>", "IHCFr-species-checked": "guaranteed", "IHCFr-species-dilution-info": "", "IHCFr-species-notes": "<p>Perform antigen retrieval with heated citrate solution (10mM citrate pH 6.0 + 0.05% Tween-20).</p>", "IHCP-species-checked": "guaranteed", "IHCP-species-dilution-info": "", "IHCP-species-notes": "<p></p>", "ICCIF-species-checked": "guaranteed", "ICCIF-species-dilution-info": "", "ICCIF-species-notes": "<p></p>" } } }

Product details

ab238938 is the carrier-free version of ab183967.

Patented technology
Our RabMAb® technology is a patented hybridoma-based technology for making rabbit monoclonal antibodies. For details on our patents, please refer to RabMAb® patents.

What are the advantages of a recombinant monoclonal antibody?
This product is a recombinant monoclonal antibody, which offers several advantages including:

  • - High batch-to-batch consistency and reproducibility
  • - Improved sensitivity and specificity
  • - Long-term security of supply
  • - Animal-free batch production

For more information, read more on recombinant antibodies.

Conjugation ready
Our carrier-free antibodies are typically supplied in a PBS-only formulation, purified and free of BSA, sodium azide and glycerol. This conjugation-ready format is designed for use with fluorochromes, metal isotopes, oligonucleotides, and enzymes, which makes them ideal for antibody labelling, functional and cell-based assays, flow-based assays (e.g. mass cytometry) and Multiplex Imaging applications.

Use our conjugation kits for antibody conjugates that are ready-to-use in as little as 20 minutes with 1 minute hands-on-time and 100% antibody recovery: available for fluorescent dyes, HRP, biotin and gold.

Compatibility
This product is compatible with the Maxpar® Antibody Labeling Kit from Fluidigm, without the need for antibody preparation. Maxpar® is a trademark of Fluidigm Canada Inc.

Properties and storage information

Form
Liquid
Purification technique
Affinity purification Protein A
Storage buffer
pH: 7.2 - 7.4 Constituents: PBS
Shipped at conditions
Blue Ice
Appropriate short-term storage conditions
+4°C
Appropriate long-term storage conditions
+4°C
Storage information
Do Not Freeze

Supplementary information

This supplementary information is collated from multiple sources and compiled automatically.

Prolactin (PRL) also known as mammotropin is a peptide hormone with a molecular mass of approximately 23 kDa. PRL is primarily expressed in the anterior pituitary gland but can also be found in other tissues such as the mammary glands brain and immune system. PRL plays an important role in lactation stimulating milk production in mammals. The PRL protein functions by binding to the prolactin receptor a member of the cytokine receptor family initiating signal transduction pathways.
Biological function summary

PRL influences a variety of physiological processes including reproduction metabolism and osmoregulation. It acts as a single entity rather than part of a larger protein complex affecting development and growth through its regulatory activities. In addition to lactation PRL also plays roles in the immune system cell proliferation and the production of surfactant in the lungs.

Pathways

Prolactin is deeply involved in the JAK-STAT signaling pathway and the MAPK/ERK pathway which are pivotal for transmitting signals from the prolactin receptor to the nucleus. Through these pathways PRL interacts with proteins like Janus kinase (JAK) and Signal Transducer and Activator of Transcription (STAT) proteins facilitating its wide range of biological effects. This interplay helps regulate gene expression critical for various physiological conditions.

PRL is linked to conditions such as hyperprolactinemia and prolactinoma. Hyperprolactinemia characterized by elevated levels of prolactin in the blood can lead to symptoms such as galactorrhea and infertility. In the context of prolactinoma an adenoma of the pituitary gland PRL's overproduction is common. These disorders often relate to proteins like dopamine which typically acts to inhibit PRL secretion from the pituitary gland and any disruption in this regulation can result in the aforementioned conditions.

Product protocols

For this product, it's our understanding that no specific protocols are required. You can visit:

Target data

Prolactin acts primarily on the mammary gland by promoting lactation.
See full target information Prl

Additional targets

Prolactin/PRL

Publications (1)

Recent publications for all applications. Explore the full list and refine your search

Nature genetics 57:1142-1154 PubMed40229600

2025

Longitudinal single-cell multiomic atlas of high-risk neuroblastoma reveals chemotherapy-induced tumor microenvironment rewiring.

Applications

Unspecified application

Species

Unspecified reactive species

Wenbao Yu,Rumeysa Biyik-Sit,Yasin Uzun,Chia-Hui Chen,Anusha Thadi,Jonathan H Sussman,Minxing Pang,Chi-Yun Wu,Liron D Grossmann,Peng Gao,David W Wu,Aliza Yousey,Mei Zhang,Christina S Turn,Zhan Zhang,Shovik Bandyopadhyay,Jeffrey Huang,Tasleema Patel,Changya Chen,Daniel Martinez,Lea F Surrey,Michael D Hogarty,Kathrin Bernt,Nancy R Zhang,John M Maris,Kai Tan
View all publications

Product promise

We are committed to supporting your work with high-quality reagents, and we're here for you every step of the way. In the unlikely event that one of our products does not perform as expected, you're protected by our Product Promise.
For full details, please see our Terms & Conditions

Please note: All products are 'FOR RESEARCH USE ONLY. NOT FOR USE IN DIAGNOSTIC OR THERAPEUTIC PROCEDURES'.

For licensing inquiries, please contact partnerships@abcam.com