JavaScript is disabled in your browser. Please enable JavaScript to view this website.
AB64485

Anti-Prolactin/PRL antibody, prediluted

Be the first to review this product! Submit a review

|

(1 Publication)

Rabbit Polyclonal Prolactin/PRL antibody. Suitable for IHC-P and reacts with Human samples. Cited in 1 publication.

View Alternative Names

Prolactin, PRL

1 Images
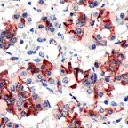
Immunohistochemistry (Formalin/PFA-fixed paraffin-embedded sections) - Anti-Prolactin/PRL antibody, prediluted (AB64485)
  • IHC-P

Unknown

Immunohistochemistry (Formalin/PFA-fixed paraffin-embedded sections) - Anti-Prolactin/PRL antibody, prediluted (AB64485)

Formalin-fixed, paraffin-embedded human pituitary tissue stained for Prolactin/PRL using ab64485 in immunohistochemical analysis.

Key facts

Host species

Rabbit

Clonality

Polyclonal

Isotype

IgG

Carrier free

No

Reacts with

Human

Applications

IHC-P

applications

Immunogen

The exact immunogen used to generate this antibody is proprietary information.

Reactivity data

{ "title": "Reactivity Data", "filters": { "stats": ["", "Species", "Dilution Info", "Notes"], "tabs": { "all-applications": {"fullname" : "All Applications", "shortname": "All Applications"}, "IHCP" : {"fullname" : "Immunohistochemistry (Formalin/PFA-fixed paraffin-embedded sections)", "shortname":"IHC-P"} }, "product-promise": { "all": "all", "testedAndGuaranteed": "tested", "guaranteed": "expected", "predicted": "predicted", "notRecommended": "not-recommended" } }, "values": { "Human": { "IHCP-species-checked": "testedAndGuaranteed", "IHCP-species-dilution-info": "", "IHCP-species-notes": "<p></p>" } } }

Properties and storage information

Form
Liquid
Purification technique
Affinity purification Immunogen
Storage buffer
pH: 7.6 Preservative: 0.1% Sodium azide Constituents: Tris buffered saline, 1% BSA
Shipped at conditions
Blue Ice
Appropriate long-term storage conditions
+4°C
Storage information
Do Not Freeze

Supplementary information

This supplementary information is collated from multiple sources and compiled automatically.

Prolactin (PRL) also known as mammotropin is a peptide hormone with a molecular mass of approximately 23 kDa. PRL is primarily expressed in the anterior pituitary gland but can also be found in other tissues such as the mammary glands brain and immune system. PRL plays an important role in lactation stimulating milk production in mammals. The PRL protein functions by binding to the prolactin receptor a member of the cytokine receptor family initiating signal transduction pathways.
Biological function summary

PRL influences a variety of physiological processes including reproduction metabolism and osmoregulation. It acts as a single entity rather than part of a larger protein complex affecting development and growth through its regulatory activities. In addition to lactation PRL also plays roles in the immune system cell proliferation and the production of surfactant in the lungs.

Pathways

Prolactin is deeply involved in the JAK-STAT signaling pathway and the MAPK/ERK pathway which are pivotal for transmitting signals from the prolactin receptor to the nucleus. Through these pathways PRL interacts with proteins like Janus kinase (JAK) and Signal Transducer and Activator of Transcription (STAT) proteins facilitating its wide range of biological effects. This interplay helps regulate gene expression critical for various physiological conditions.

PRL is linked to conditions such as hyperprolactinemia and prolactinoma. Hyperprolactinemia characterized by elevated levels of prolactin in the blood can lead to symptoms such as galactorrhea and infertility. In the context of prolactinoma an adenoma of the pituitary gland PRL's overproduction is common. These disorders often relate to proteins like dopamine which typically acts to inhibit PRL secretion from the pituitary gland and any disruption in this regulation can result in the aforementioned conditions.

Product protocols

For this product, it's our understanding that no specific protocols are required. You can visit:

Target data

Prolactin acts primarily on the mammary gland by promoting lactation.
See full target information PRL

Additional targets

Prolactin/PRL

Publications (1)

Recent publications for all applications. Explore the full list and refine your search

Dermatology practical & conceptual 14: PubMed39122483

2024

Association between Vitamin D Receptor Polymorphisms, Tight Junction Proteins and Clinical Features of Adult Patients with Atopic Dermatitis.

Applications

Unspecified application

Species

Unspecified reactive species

Teresa Grieco,Elisa Moliterni,Giovanni Paolino,Camilla Chello,Alvise Sernicola,Colin Gerard Egan,Fabrizio Nannipieri,Santina Battaglia,Marina Accoto,Erika Tirotta,Silvia Trasciatti,Silvano Bonaretti,Simona Nencioni,Elena Biasci,Giovanni Pellacani,Stefano Calvieri
View all publications

Product promise

We are committed to supporting your work with high-quality reagents, and we're here for you every step of the way. In the unlikely event that one of our products does not perform as expected, you're protected by our Product Promise.
For full details, please see our Terms & Conditions

Please note: All products are 'FOR RESEARCH USE ONLY. NOT FOR USE IN DIAGNOSTIC OR THERAPEUTIC PROCEDURES'.

For licensing inquiries, please contact partnerships@abcam.com