JavaScript is disabled in your browser. Please enable JavaScript to view this website.
AB268110

Anti-Prolactin/PRL antibody [PRL/2641]

Be the first to review this product! Submit a review

|

(1 Publication)

Mouse Monoclonal Prolactin/PRL antibody. Suitable for IHC-P, Protein Array and reacts with Human, Recombinant full length protein - Human samples. Cited in 1 publication. Immunogen corresponding to Recombinant Fragment Protein within Human PRL aa 50 to C-terminus.

View Alternative Names

Prolactin, PRL

2 Images
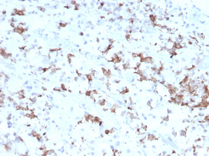
Immunohistochemistry (Formalin/PFA-fixed paraffin-embedded sections) - Anti-Prolactin/PRL antibody [PRL/2641] (AB268110)
  • IHC-P

Unknown

Immunohistochemistry (Formalin/PFA-fixed paraffin-embedded sections) - Anti-Prolactin/PRL antibody [PRL/2641] (AB268110)

Formalin-fixed, paraffin-embedded human pituitary tissue stained for Prolactin/PRL using ab268110 at 2 μg/ml in immunohistochemical analysis.

Protein Array - Anti-Prolactin/PRL antibody [PRL/2641] (AB268110)
  • Protein Array

Unknown

Protein Array - Anti-Prolactin/PRL antibody [PRL/2641] (AB268110)

Protein Array containing more than 19,000 full-length human proteins using ab268110.

Z- and S- Score : The Z-score represents the strength of a signal that a monoclonal antibody (Monoclonal Antibody) (in combination with a fluorescently-tagged anti-IgG secondary antibody) produces when binding to a particular protein on the HuProtTM array. Z-scores are described in units of standard deviations (SD's) above the mean value of all signals generated on that array. If targets on HuProtTM are arranged in descending order of the Z-score, the S-score is the difference (also in units of SD's) between the Z-score. S-score therefore represents the relative target specificity of a Monoclonal Antibody to its intended target. A Monoclonal Antibody is considered to specific to its intended target, if the Monoclonal Antibody has an S-score of at least 2.5. For example, if a Monoclonal Antibody binds to protein X with a Z-score of 43 and to protein Y with a Z-score of 14, then the S-score for the binding of that Monoclonal Antibody to protein X is equal to 29.

Key facts

Host species

Mouse

Clonality

Monoclonal

Clone number

PRL/2641

Isotype

IgG1

Light chain type

kappa

Carrier free

No

Reacts with

Human

Applications

Protein Array, IHC-P

applications

Immunogen

Recombinant Fragment Protein within Human PRL aa 50 to C-terminus. The exact immunogen used to generate this antibody is proprietary information.

P01236

Reactivity data

{ "title": "Reactivity Data", "filters": { "stats": ["", "Species", "Dilution Info", "Notes"], "tabs": { "all-applications": {"fullname" : "All Applications", "shortname": "All Applications"}, "WB" : {"fullname" : "Western blot", "shortname":"WB"}, "IHCP" : {"fullname" : "Immunohistochemistry (Formalin/PFA-fixed paraffin-embedded sections)", "shortname":"IHC-P"}, "ProteinArray" : {"fullname" : "Protein Array", "shortname":"Protein Array"} }, "product-promise": { "all": "all", "testedAndGuaranteed": "tested", "guaranteed": "expected", "predicted": "predicted", "notRecommended": "not-recommended" } }, "values": { "Human": { "WB-species-checked": "notRecommended", "WB-species-dilution-info": "1-2 µg/mL", "WB-species-notes": "<p></p>", "IHCP-species-checked": "testedAndGuaranteed", "IHCP-species-dilution-info": "1-2 µg/mL", "IHCP-species-notes": "<p></p> Perform heat-mediated antigen retrieval with Tris/EDTA buffer pH 9.0 before commencing with IHC staining protocol.", "ProteinArray-species-checked": "guaranteed", "ProteinArray-species-dilution-info": "", "ProteinArray-species-notes": "" }, "Recombinant full length protein - Human": { "WB-species-checked": "notRecommended", "WB-species-dilution-info": "", "WB-species-notes": "", "IHCP-species-checked": "notRecommended", "IHCP-species-dilution-info": "", "IHCP-species-notes": "", "ProteinArray-species-checked": "testedAndGuaranteed", "ProteinArray-species-dilution-info": "", "ProteinArray-species-notes": "<p></p>" } } }

Properties and storage information

Form
Liquid
Purification technique
Affinity purification Protein A/G
Purification notes
Purified from Bioreactor concentrate
Storage buffer
pH: 7.2 - 7.4 Preservative: 0.05% Sodium azide Constituents: PBS, 0.05% BSA
Shipped at conditions
Blue Ice
Appropriate short-term storage duration
1-2 weeks
Appropriate short-term storage conditions
+4°C
Appropriate long-term storage conditions
-20°C
Aliquoting information
Upon delivery aliquot
Storage information
Avoid freeze / thaw cycle

Supplementary information

This supplementary information is collated from multiple sources and compiled automatically.

Prolactin (PRL) also known as mammotropin is a peptide hormone with a molecular mass of approximately 23 kDa. PRL is primarily expressed in the anterior pituitary gland but can also be found in other tissues such as the mammary glands brain and immune system. PRL plays an important role in lactation stimulating milk production in mammals. The PRL protein functions by binding to the prolactin receptor a member of the cytokine receptor family initiating signal transduction pathways.
Biological function summary

PRL influences a variety of physiological processes including reproduction metabolism and osmoregulation. It acts as a single entity rather than part of a larger protein complex affecting development and growth through its regulatory activities. In addition to lactation PRL also plays roles in the immune system cell proliferation and the production of surfactant in the lungs.

Pathways

Prolactin is deeply involved in the JAK-STAT signaling pathway and the MAPK/ERK pathway which are pivotal for transmitting signals from the prolactin receptor to the nucleus. Through these pathways PRL interacts with proteins like Janus kinase (JAK) and Signal Transducer and Activator of Transcription (STAT) proteins facilitating its wide range of biological effects. This interplay helps regulate gene expression critical for various physiological conditions.

PRL is linked to conditions such as hyperprolactinemia and prolactinoma. Hyperprolactinemia characterized by elevated levels of prolactin in the blood can lead to symptoms such as galactorrhea and infertility. In the context of prolactinoma an adenoma of the pituitary gland PRL's overproduction is common. These disorders often relate to proteins like dopamine which typically acts to inhibit PRL secretion from the pituitary gland and any disruption in this regulation can result in the aforementioned conditions.

Product protocols

For this product, it's our understanding that no specific protocols are required. You can visit:

Target data

Prolactin acts primarily on the mammary gland by promoting lactation.
See full target information PRL

Additional targets

Prolactin/PRL

Publications (1)

Recent publications for all applications. Explore the full list and refine your search

Cancers 16: PubMed38339348

2024

Triple-Negative Breast Cancer Intrinsic FTSJ1 Favors Tumor Progression and Attenuates CD8+ T Cell Infiltration.

Applications

Unspecified application

Species

Unspecified reactive species

Yangqing Sun,Qingqing Liu,Shangwei Zhong,Rui Wei,Jun-Li Luo
View all publications

Product promise

We are committed to supporting your work with high-quality reagents, and we're here for you every step of the way. In the unlikely event that one of our products does not perform as expected, you're protected by our Product Promise.
For full details, please see our Terms & Conditions

Please note: All products are 'FOR RESEARCH USE ONLY. NOT FOR USE IN DIAGNOSTIC OR THERAPEUTIC PROCEDURES'.

For licensing inquiries, please contact partnerships@abcam.com