JavaScript is disabled in your browser. Please enable JavaScript to view this website.
AB247365

Anti-proNGF antibody [EP1318Y] - BSA and Azide free

Be the first to review this product! Submit a review

|

(0 Publication)

Rabbit Recombinant Monoclonal NGF antibody. Propeptide domain. Carrier free. Suitable for WB, Flow Cyt (Intra) and reacts with Recombinant full length protein - Human, Rat, Mouse, Human samples.

View Alternative Names

NGFB, NGF, Beta-nerve growth factor, Beta-NGF

4 Images
Flow Cytometry (Intracellular) - Anti-proNGF antibody [EP1318Y] - BSA and Azide free (AB247365)
  • Flow Cyt (Intra)

Unknown

Flow Cytometry (Intracellular) - Anti-proNGF antibody [EP1318Y] - BSA and Azide free (AB247365)

This data was developed using ab68151, the same antibody clone in a different buffer formulation.

Overlay histogram showing SH-SY5Y cells stained with ab68151 (red line) at 1/280 dilution. The cells were fixed with 2% paraformaldehyde. The secondary antibody used was a FITC conjugated goat anti-rabbit IgG at 1/150 dilution. Isotype control antibody (black line) was rabbit monoclonal IgG used under the same conditions. Cells also incubated without primary antibody and secondary antibody (blue line)

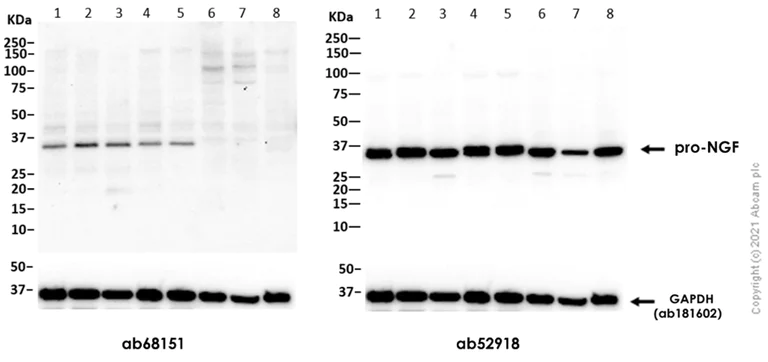
Western blot - Anti-proNGF antibody [EP1318Y] - BSA and Azide free (AB247365)
  • WB

Supplier Data

Western blot - Anti-proNGF antibody [EP1318Y] - BSA and Azide free (AB247365)

This data was developed using ab68151 the same antibody clone in a different buffer formulation.

Compared with ab68151, ab52918 has a higher affinity in positive samples.

The positive cell lines (Lanes 7-9) are consistent with the literature : PMID : 12944907, Fig1.

Blocking buffer : 5% NFDM/TBST.

All lanes:

Western blot - Anti-proNGF antibody [EP1318Y] (<a href='/en-us/products/primary-antibodies/prongf-antibody-ep1318y-ab68151'>ab68151</a>) at 1/1000 dilution

Lane 1:

Mouse brain lysate at 20 µg

Lane 2:

Rat brain lysate at 20 µg

Lane 3:

Human cerebellum lysate at 20 µg

Lane 4:

Mouse cerebellum lysate at 20 µg

Lane 5:

Rat cerebellum lysate at 20 µg

Lane 6:

Hela (Human cervix adenocarcinoma epithelial cell) whole cell lysate at 20 µg

Lane 7:

MCF-7 (Human breast adenocarcinoma epithelial cell) whole cell lysate at 20 µg

Lane 8:

MDA-MB-231 (Human breast adenocarcinoma epithelial cell) whole cell lysate at 20 µg

Secondary

All lanes:

Western blot - Goat Anti-Rabbit IgG H&L (HRP) (<a href='/en-us/products/secondary-antibodies/goat-rabbit-igg-h-l-hrp-ab97051'>ab97051</a>) at 1/20000 dilution

Predicted band size: 27 kDa

Observed band size: 30 kDa

true

Exposure time: 180s

Western blot - Anti-proNGF antibody [EP1318Y] - BSA and Azide free (AB247365)
  • WB

Supplier Data

Western blot - Anti-proNGF antibody [EP1318Y] - BSA and Azide free (AB247365)

This data was developed using ab68151, the same antibody clone in a different buffer formulation.

All lanes:

Western blot - Anti-proNGF antibody [EP1318Y] (<a href='/en-us/products/primary-antibodies/prongf-antibody-ep1318y-ab68151'>ab68151</a>) at 1/1000 dilution

All lanes:

Rat brain tissue lysate at 10 µg

Secondary

All lanes:

Goat Anti-Rabbit IgG, (H+L), HRP-conjugated at 1/1000 dilution

Predicted band size: 27 kDa

false

Western blot - Anti-proNGF antibody [EP1318Y] - BSA and Azide free (AB247365)
  • WB

Unknown

Western blot - Anti-proNGF antibody [EP1318Y] - BSA and Azide free (AB247365)

This data was developed using ab68151, the same antibody clone in a different buffer formulation.

All lanes:

Western blot - Anti-proNGF antibody [EP1318Y] (<a href='/en-us/products/primary-antibodies/prongf-antibody-ep1318y-ab68151'>ab68151</a>) at 1/5000 dilution

Lane 1:

10ng human pro-NGF recombinant protein

Lane 2:

5ng human pro-NGF recombinant protein

Lane 3:

1ng human pro-NGF recombinant protein

Lane 4:

0.5ng human pro-NGF recombinant protein

Secondary

All lanes:

HRP labelled goat anti-rabbit at 1/2000 dilution

Predicted band size: 27 kDa

Observed band size: 13 kDa,130 kDa,20 kDa,27 kDa

false

Key facts

Host species

Rabbit

Clonality

Monoclonal

Clone number

EP1318Y

Isotype

IgG

Carrier free

Yes

Reacts with

Mouse, Rat, Human

Applications

WB, Flow Cyt (Intra)

applications

Immunogen

The exact immunogen used to generate this antibody is proprietary information.

Specificity

Not suitable for testing cell lines in WB.

Reactivity data

{ "title": "Reactivity Data", "filters": { "stats": ["", "Species", "Dilution Info", "Notes"], "tabs": { "all-applications": {"fullname" : "All Applications", "shortname": "All Applications"}, "WB" : {"fullname" : "Western blot", "shortname":"WB"}, "IHCP" : {"fullname" : "Immunohistochemistry (Formalin/PFA-fixed paraffin-embedded sections)", "shortname":"IHC-P"}, "FlowCytIntra" : {"fullname" : "Flow Cytometry (Intracellular)", "shortname":"Flow Cyt (Intra)"} }, "product-promise": { "all": "all", "testedAndGuaranteed": "tested", "guaranteed": "expected", "predicted": "predicted", "notRecommended": "not-recommended" } }, "values": { "Human": { "WB-species-checked": "testedAndGuaranteed", "WB-species-dilution-info": "", "WB-species-notes": "<p></p>", "IHCP-species-checked": "notRecommended", "IHCP-species-dilution-info": "", "IHCP-species-notes": "<p></p>", "FlowCytIntra-species-checked": "testedAndGuaranteed", "FlowCytIntra-species-dilution-info": "", "FlowCytIntra-species-notes": "<p></p>" }, "Mouse": { "WB-species-checked": "testedAndGuaranteed", "WB-species-dilution-info": "", "WB-species-notes": "<p></p>", "IHCP-species-checked": "notRecommended", "IHCP-species-dilution-info": "", "IHCP-species-notes": "", "FlowCytIntra-species-checked": "guaranteed", "FlowCytIntra-species-dilution-info": "", "FlowCytIntra-species-notes": "" }, "Rat": { "WB-species-checked": "testedAndGuaranteed", "WB-species-dilution-info": "", "WB-species-notes": "<p></p>", "IHCP-species-checked": "notRecommended", "IHCP-species-dilution-info": "", "IHCP-species-notes": "<p></p>", "FlowCytIntra-species-checked": "guaranteed", "FlowCytIntra-species-dilution-info": "", "FlowCytIntra-species-notes": "" }, "Recombinant full length protein - Human": { "WB-species-checked": "testedAndGuaranteed", "WB-species-dilution-info": "", "WB-species-notes": "<p></p>", "IHCP-species-checked": "notRecommended", "IHCP-species-dilution-info": "", "IHCP-species-notes": "", "FlowCytIntra-species-checked": "notRecommended", "FlowCytIntra-species-dilution-info": "", "FlowCytIntra-species-notes": "" } } }

Product details

ab247365 is the carrier-free version of ab68151.

Patented technology
Our RabMAb® technology is a patented hybridoma-based technology for making rabbit monoclonal antibodies. For details on our patents, please refer to RabMAb® patents.

What are the advantages of a recombinant monoclonal antibody?
This product is a recombinant monoclonal antibody, which offers several advantages including:

  • - High batch-to-batch consistency and reproducibility
  • - Improved sensitivity and specificity
  • - Long-term security of supply
  • - Animal-free batch production

For more information, read more on recombinant antibodies.

Conjugation ready
Our carrier-free antibodies are typically supplied in a PBS-only formulation, purified and free of BSA, sodium azide and glycerol. This conjugation-ready format is designed for use with fluorochromes, metal isotopes, oligonucleotides, and enzymes, which makes them ideal for antibody labelling, functional and cell-based assays, flow-based assays (e.g. mass cytometry) and Multiplex Imaging applications.

Use our conjugation kits for antibody conjugates that are ready-to-use in as little as 20 minutes with 1 minute hands-on-time and 100% antibody recovery: available for fluorescent dyes, HRP, biotin and gold.

Compatibility
This product is compatible with the Maxpar® Antibody Labeling Kit from Fluidigm, without the need for antibody preparation. Maxpar® is a trademark of Fluidigm Canada Inc.

Properties and storage information

Form
Liquid
Purification technique
Affinity purification Protein A
Storage buffer
pH: 7.2 - 7.4 Constituents: PBS
Shipped at conditions
Blue Ice
Appropriate short-term storage conditions
+4°C
Appropriate long-term storage conditions
+4°C
Storage information
Do Not Freeze

Supplementary information

This supplementary information is collated from multiple sources and compiled automatically.

The protein known as proNGF also referred to as precursor nerve growth factor is the biological precursor of mature NGF. ProNGF is significantly larger than NGF with a molecular weight of approximately 35 kDa. It is mainly expressed in the nervous system including the brain and peripheral tissues. The synthesis of proNGF occurs in various types of neurons and glial cells and it serves as a precursor that undergoes proteolytic cleavage to become the biologically active form NGF.
Biological function summary

ProNGF plays a role in modulating neuronal survival growth and differentiation. As a part of a larger signaling complex it interacts with receptors such as p75NTR and sortilin which influence the fate of neurons. Unlike its mature form proNGF tends to be associated with inducing apoptosis under certain conditions. The balance between proNGF and NGF levels in tissues can affect neural health and function significantly.

Pathways

The interactions of proNGF impact key neurological pathways. It has been implicated in the JNK signaling pathway which is important for stress response and apoptosis. ProNGF also relates to the PI3K/Akt pathway due to its interaction partners influencing cell survival and growth. Receptor binding with proteins such as TrkA and p75NTR directly affects downstream signaling cascades integrating proNGF into broader neurotrophic signaling networks.

Imbalances in proNGF activity relate to the progression of neurodegenerative conditions like Alzheimer's disease where it may contribute to abnormal apoptosis in the brain. Studies also suggest its involvement in peripheral neuropathies where changes in proNGF levels lead to altered nerve function. ProNGF along with related proteins like sortilin and p75NTR could serve as potential biomarkers or therapeutic targets in managing such conditions.

Product protocols

For this product, it's our understanding that no specific protocols are required. You can visit:

Target data

Nerve growth factor is important for the development and maintenance of the sympathetic and sensory nervous systems (PubMed : 14976160, PubMed : 20978020). Extracellular ligand for the NTRK1 and NGFR receptors, activates cellular signaling cascades to regulate neuronal proliferation, differentiation and survival (Probable) (PubMed : 20978020). The immature NGF precursor (proNGF) functions as a ligand for the heterodimeric receptor formed by SORCS2 and NGFR, and activates cellular signaling cascades that lead to inactivation of RAC1 and/or RAC2, reorganization of the actin cytoskeleton and neuronal growth cone collapse. In contrast to mature NGF, the precursor form (proNGF) promotes neuronal apoptosis (in vitro) (By similarity). Inhibits metalloproteinase-dependent proteolysis of platelet glycoprotein VI (PubMed : 20164177). Binds lysophosphatidylinositol and lysophosphatidylserine between the two chains of the homodimer. The lipid-bound form promotes histamine relase from mast cells, contrary to the lipid-free form (By similarity).
See full target information NGF

Product promise

We are committed to supporting your work with high-quality reagents, and we're here for you every step of the way. In the unlikely event that one of our products does not perform as expected, you're protected by our Product Promise.
For full details, please see our Terms & Conditions

Please note: All products are 'FOR RESEARCH USE ONLY. NOT FOR USE IN DIAGNOSTIC OR THERAPEUTIC PROCEDURES'.

For licensing inquiries, please contact partnerships@abcam.com