JavaScript is disabled in your browser. Please enable JavaScript to view this website.
AB236119

Anti-Prostaglandin D Synthase (Lipocalin)/PDS antibody [EP12357] - BSA and Azide free

Be the first to review this product! Submit a review

|

(0 Publication)

Rabbit Recombinant Monoclonal Prostaglandin D Synthase (Lipocalin)/PDS antibody. Carrier free. Suitable for WB, ICC/IF, IHC-P and reacts with Human samples.

View Alternative Names

PDS, PTGDS, Prostaglandin-H2 D-isomerase, Beta-trace protein, Cerebrin-28, Glutathione-independent PGD synthase, Lipocalin-type prostaglandin-D synthase, Prostaglandin-D2 synthase, L-PGDS, PGD2 synthase, PGDS, PGDS2

5 Images
Immunohistochemistry (Formalin/PFA-fixed paraffin-embedded sections) - Anti-Prostaglandin D Synthase (Lipocalin)/PDS antibody [EP12357] - BSA and Azide free (AB236119)
  • IHC-P

Supplier Data

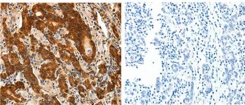
Immunohistochemistry (Formalin/PFA-fixed paraffin-embedded sections) - Anti-Prostaglandin D Synthase (Lipocalin)/PDS antibody [EP12357] - BSA and Azide free (AB236119)

The human glioma paraffin-embedded sections were Heat mediated antigen retrieval with Tris-EDTA buffer (pH 9.0, epitope retrieval solution 2) for 20 mins and labeling ab182141 at 1/200 dilution for 30 mins at room temperature, then followed by Rabbit specific IHC polymer detection kit HRP/DAB (ab209101). The immunostaining was performed on a Leica Biosystems BOND® RX instrument. Counterstained with hematoxylin.

This data was developed using the same antibody clone in a different buffer formulation containing PBS, BSA, glycerol, and sodium azide (ab182141).

Immunocytochemistry/ Immunofluorescence - Anti-Prostaglandin D Synthase (Lipocalin)/PDS antibody [EP12357] - BSA and Azide free (AB236119)
  • ICC/IF

Supplier Data

Immunocytochemistry/ Immunofluorescence - Anti-Prostaglandin D Synthase (Lipocalin)/PDS antibody [EP12357] - BSA and Azide free (AB236119)

HepG2 cells were fixed in 4% PFA and permeabilized with 0.1% Triton X-100. Primary antibody, ab182141 at 1/200 was incubated overnight at 4° C, followed by AlexaFluor® 488-conjugated Goat anti- Rabbit secondary antibody (ab150081) at 1/1000 dilution at RT for 45 min. ab195889 AlexaFluor® 594-conjugated Anti-alpha Tubulin, used as a counterstain at 1/200 dilution, was co-incubated with ab182141 overnight at 4° C. Nucleus were visualized using DAPI.

This data was developed using the same antibody clone in a different buffer formulation containing PBS, BSA, glycerol, and sodium azide (ab182141).

Immunocytochemistry/ Immunofluorescence - Anti-Prostaglandin D Synthase (Lipocalin)/PDS antibody [EP12357] - BSA and Azide free (AB236119)
  • ICC/IF

Supplier Data

Immunocytochemistry/ Immunofluorescence - Anti-Prostaglandin D Synthase (Lipocalin)/PDS antibody [EP12357] - BSA and Azide free (AB236119)

Immunofluorescent analysis of 4% paraformaldehyde-fixed HepG2 cells labeling Prostaglandin D Synthase (Lipocalin)/PDS with ab182141 at 1/100 dilution, followed by Goat anti rabbit IgG (Alexa Fluor®488) secondary antibody at 1/200 dilution. Counterstained with DAPI.

This data was developed using the same antibody clone in a different buffer formulation containing PBS, BSA, glycerol, and sodium azide (ab182141).

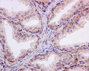
Immunohistochemistry (Formalin/PFA-fixed paraffin-embedded sections) - Anti-Prostaglandin D Synthase (Lipocalin)/PDS antibody [EP12357] - BSA and Azide free (AB236119)
  • IHC-P

Supplier Data

Immunohistochemistry (Formalin/PFA-fixed paraffin-embedded sections) - Anti-Prostaglandin D Synthase (Lipocalin)/PDS antibody [EP12357] - BSA and Azide free (AB236119)

Immunohistochemical analysis of paraffin-embedded Human prostate tissue labeling Prostaglandin D Synthase (Lipocalin)/PDS with ab182141 at 1/100 dilution, followed by prediluted HRP Polymer for Rabbit IgG. Counterstained with Hematoxylin.

This data was developed using the same antibody clone in a different buffer formulation containing PBS, BSA, glycerol, and sodium azide (ab182141).

Perform heat mediated antigen retrieval with EDTA buffer pH 9 before commencing with IHC staining protocol.

Western blot - Anti-Prostaglandin D Synthase (Lipocalin)/PDS antibody [EP12357] - BSA and Azide free (AB236119)
  • WB

Supplier Data

Western blot - Anti-Prostaglandin D Synthase (Lipocalin)/PDS antibody [EP12357] - BSA and Azide free (AB236119)

Blocking and diluting buffer and concentration : 5% NFDM/TBST. Primary and secondary antibodies : incubated for 1h at room temperature. This data was developed using the same antibody clone in a different buffer formulation containing PBS, BSA, glycerol, and sodium azide (ab182141).

Lanes 1 - 3:

Western blot - Anti-Prostaglandin D Synthase (Lipocalin)/PDS antibody [EP12357] (<a href='/en-us/products/primary-antibodies/prostaglandin-d-synthase-lipocalin-pds-antibody-ep12357-ab182141'>ab182141</a>) at 1/10000 dilution

Lanes 1 - 3:

Western blot - Anti-Prostaglandin D Synthase (Lipocalin)/PDS antibody [EP12357] - BSA and Azide free (ab236119)

Lane 1:

HepG2 (Human liver hepatocellular carcinoma cell line) whole cell lysate at 15 µg

Lane 2:

SW480 (Human colorectal adenocarcinoma epithelial cell) whole cell lysate at 20 µg

Lane 3:

THP-1 (Human monocytic leukemia monocyte) whole cell lysate at 20 µg

Predicted band size: 28 kDa

true

Key facts

Host species

Rabbit

Clonality

Monoclonal

Clone number

EP12357

Isotype

IgG

Carrier free

Yes

Reacts with

Human

Applications

ICC/IF, IHC-P, WB

applications

Immunogen

The exact immunogen used to generate this antibody is proprietary information.

Reactivity data

{ "title": "Reactivity Data", "filters": { "stats": ["", "Species", "Dilution Info", "Notes"], "tabs": { "all-applications": {"fullname" : "All Applications", "shortname": "All Applications"}, "WB" : {"fullname" : "Western blot", "shortname":"WB"}, "ICCIF" : {"fullname" : "Immunocytochemistry/ Immunofluorescence", "shortname":"ICC/IF"}, "IHCP" : {"fullname" : "Immunohistochemistry (Formalin/PFA-fixed paraffin-embedded sections)", "shortname":"IHC-P"} }, "product-promise": { "all": "all", "testedAndGuaranteed": "tested", "guaranteed": "expected", "predicted": "predicted", "notRecommended": "not-recommended" } }, "values": { "Human": { "WB-species-checked": "testedAndGuaranteed", "WB-species-dilution-info": "", "WB-species-notes": "<p></p>", "ICCIF-species-checked": "testedAndGuaranteed", "ICCIF-species-dilution-info": "", "ICCIF-species-notes": "<p></p>", "IHCP-species-checked": "testedAndGuaranteed", "IHCP-species-dilution-info": "", "IHCP-species-notes": "<p></p> Perform heat-mediated antigen retrieval with Tris/EDTA buffer pH 9.0 before commencing with IHC staining protocol." } } }

Product details

ab236119 is the carrier-free version of ab182141.

Patented technology
Our RabMAb® technology is a patented hybridoma-based technology for making rabbit monoclonal antibodies. For details on our patents, please refer to RabMAb® patents.

What are the advantages of a recombinant monoclonal antibody?
This product is a recombinant monoclonal antibody, which offers several advantages including:

  • - High batch-to-batch consistency and reproducibility
  • - Improved sensitivity and specificity
  • - Long-term security of supply
  • - Animal-free batch production

For more information, read more on recombinant antibodies.

Conjugation ready
Our carrier-free antibodies are typically supplied in a PBS-only formulation, purified and free of BSA, sodium azide and glycerol. This conjugation-ready format is designed for use with fluorochromes, metal isotopes, oligonucleotides, and enzymes, which makes them ideal for antibody labelling, functional and cell-based assays, flow-based assays (e.g. mass cytometry) and Multiplex Imaging applications.

Use our conjugation kits for antibody conjugates that are ready-to-use in as little as 20 minutes with 1 minute hands-on-time and 100% antibody recovery: available for fluorescent dyes, HRP, biotin and gold.

Compatibility
This product is compatible with the Maxpar® Antibody Labeling Kit from Fluidigm, without the need for antibody preparation. Maxpar® is a trademark of Fluidigm Canada Inc.

Properties and storage information

Form
Liquid
Purification technique
Affinity purification Protein A
Storage buffer
pH: 7.2 - 7.4 Constituents: PBS
Shipped at conditions
Blue Ice
Appropriate short-term storage conditions
+4°C
Appropriate long-term storage conditions
+4°C
Storage information
Do Not Freeze

Supplementary information

This supplementary information is collated from multiple sources and compiled automatically.

Prostaglandin D Synthase (Lipocalin) also known as PGDS or PDS is an enzyme that catalyzes the conversion of prostaglandin H2 to prostaglandin D2. It plays an important mechanical role in prostaglandin metabolism and has a mass of approximately 20 kDa. This protein is prominently expressed in the central nervous system heart and male genital organs. Its alternate name is lipocalin-type prostaglandin D synthase highlighting its membership in the lipocalin family. Notably it is abundant in cerebrospinal fluid and seminal plasma.
Biological function summary

This protein PDS participates in various physiological processes including inflammation and sleep regulation. It operates independently and is not typically part of larger protein complexes. PGDS contributes to the homeostasis of biological membranes and acts as a neuromodulator in the brain. Its function extends to mediating the actions of the prostaglandin D2 it produces affecting processes like allergic reactions and maintaining normal reproductive physiological functions.

Pathways

PGDS engages with key biological processes by being part of the MAPK signaling pathway and the arachidonic acid cascade. These pathways contribute to inflammation and immune response regulation. PGDS interacts specifically with other proteins along these pathways such as cyclooxygenases (COX-1 COX-2) which are important in the initial creation of prostaglandin H2. Its role in signaling elucidates its involvement in both central and peripheral biological activities.

PGDS links to conditions such as sleep disorders and allergic diseases. The production of prostaglandin D2 by PGDS can exacerbate symptoms of certain allergic responses including asthma. Furthermore PGDS involvement in sleep regulation can relate to narcolepsy. In these conditions it interacts with other proteins involved in prostaglandin signaling such as COX enzymes which are targeted by certain therapeutic interventions.

Product protocols

For this product, it's our understanding that no specific protocols are required. You can visit:

Target data

Catalyzes the conversion of PGH2 to PGD2, a prostaglandin involved in smooth muscle contraction/relaxation and a potent inhibitor of platelet aggregation (PubMed : 20667974). Involved in a variety of CNS functions, such as sedation, NREM sleep and PGE2-induced allodynia, and may have an anti-apoptotic role in oligodendrocytes. Binds small non-substrate lipophilic molecules, including biliverdin, bilirubin, retinal, retinoic acid and thyroid hormone, and may act as a scavenger for harmful hydrophobic molecules and as a secretory retinoid and thyroid hormone transporter. Possibly involved in development and maintenance of the blood-brain, blood-retina, blood-aqueous humor and blood-testis barrier. It is likely to play important roles in both maturation and maintenance of the central nervous system and male reproductive system (PubMed : 20667974, PubMed : 9475419). Involved in PLA2G3-dependent maturation of mast cells. PLA2G3 is secreted by immature mast cells and acts on nearby fibroblasts upstream to PTDGS to synthesize PGD2, which in turn promotes mast cell maturation and degranulation via PTGDR (By similarity).
See full target information PTGDS

Product promise

We are committed to supporting your work with high-quality reagents, and we're here for you every step of the way. In the unlikely event that one of our products does not perform as expected, you're protected by our Product Promise.
For full details, please see our Terms & Conditions

Please note: All products are 'FOR RESEARCH USE ONLY. NOT FOR USE IN DIAGNOSTIC OR THERAPEUTIC PROCEDURES'.

For licensing inquiries, please contact partnerships@abcam.com