JavaScript is disabled in your browser. Please enable JavaScript to view this website.
AB217925

Anti-Prostaglandin E Receptor EP1/PTGER1 antibody

Be the first to review this product! Submit a review

|

(1 Publication)

Rabbit Polyclonal Prostaglandin E Receptor EP1/PTGER1 antibody. Suitable for WB, IHC-P and reacts with Mouse, Human samples. Cited in 1 publication. Immunogen corresponding to Synthetic Peptide within Human PTGER1 aa 50-150 conjugated to Keyhole Limpet Haemocyanin.

View Alternative Names

Prostaglandin E2 receptor EP1 subtype, PGE receptor EP1 subtype, PGE2 receptor EP1 subtype, Prostanoid EP1 receptor, PTGER1

3 Images
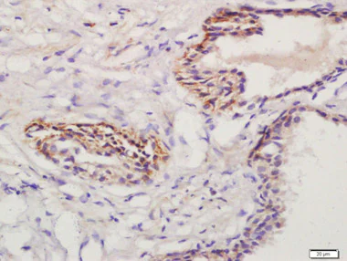
Immunohistochemistry (Formalin/PFA-fixed paraffin-embedded sections) - Anti-Prostaglandin E Receptor EP1/PTGER1 antibody (AB217925)
  • IHC-P

Supplier Data

Immunohistochemistry (Formalin/PFA-fixed paraffin-embedded sections) - Anti-Prostaglandin E Receptor EP1/PTGER1 antibody (AB217925)

Immunohistochemical analysis of formalin-fixed, paraffin-embedded human prostate tissue labeling Prostaglandin E Receptor EP1/PTGER1 with ab217925 at 1/200 dilution followed by conjugation to the secondary antibody and DAB staining.

Immunohistochemistry (Formalin/PFA-fixed paraffin-embedded sections) - Anti-Prostaglandin E Receptor EP1/PTGER1 antibody (AB217925)
  • IHC-P

Supplier Data

Immunohistochemistry (Formalin/PFA-fixed paraffin-embedded sections) - Anti-Prostaglandin E Receptor EP1/PTGER1 antibody (AB217925)

Immunohistochemical analysis of formalin-fixed, paraffin-embedded mouse kidney tissue labeling Prostaglandin E Receptor EP1/PTGER1 with ab217925 at 1/200 dilution followed by conjugation to the secondary antibody and DAB staining.

Western blot - Anti-Prostaglandin E Receptor EP1/PTGER1 antibody (AB217925)
  • WB

Supplier Data

Western blot - Anti-Prostaglandin E Receptor EP1/PTGER1 antibody (AB217925)

All lanes:

Western blot - Anti-Prostaglandin E Receptor EP1/PTGER1 antibody (ab217925) at 1/200 dilution

All lanes:

mouse kidney lysate

Secondary

All lanes:

Goat Anti-Rabbit IgG Antibody (H+L), HRP at 1/3000 dilution

Predicted band size: 42 kDa

false

Key facts

Host species

Rabbit

Clonality

Polyclonal

Isotype

IgG

Carrier free

No

Reacts with

Mouse, Human

Applications

WB, IHC-P

applications

Immunogen

Synthetic Peptide within Human PTGER1 aa 50-150 conjugated to Keyhole Limpet Haemocyanin. The exact immunogen used to generate this antibody is proprietary information.

P34995

Reactivity data

{ "title": "Reactivity Data", "filters": { "stats": ["", "Species", "Dilution Info", "Notes"], "tabs": { "all-applications": {"fullname" : "All Applications", "shortname": "All Applications"}, "WB" : {"fullname" : "Western blot", "shortname":"WB"}, "IHCP" : {"fullname" : "Immunohistochemistry (Formalin/PFA-fixed paraffin-embedded sections)", "shortname":"IHC-P"} }, "product-promise": { "all": "all", "testedAndGuaranteed": "tested", "guaranteed": "expected", "predicted": "predicted", "notRecommended": "not-recommended" } }, "values": { "Human": { "WB-species-checked": "guaranteed", "WB-species-dilution-info": "", "WB-species-notes": "", "IHCP-species-checked": "testedAndGuaranteed", "IHCP-species-dilution-info": "1/100 - 1/500", "IHCP-species-notes": "<p></p>" }, "Mouse": { "WB-species-checked": "testedAndGuaranteed", "WB-species-dilution-info": "1/100 - 1/1000", "WB-species-notes": "<p></p>", "IHCP-species-checked": "testedAndGuaranteed", "IHCP-species-dilution-info": "1/100 - 1/500", "IHCP-species-notes": "<p></p>" } } }

Have you thought about this alternative?

AB183073

Anti-Prostaglandin E Receptor EP1/PTGER1 antibody

4
1 Reviews
View product

We’re constantly upgrading our range to offer the highest quality products. We have selected this alternative product for your review because it gives improved performance, is easier and more convenient to use, or is available faster.

Properties and storage information

Form
Liquid
Purification technique
Affinity purification Protein A
Storage buffer
pH: 7.4 Preservative: 0.02% Proclin 300 Constituents: 50% Glycerol (glycerin, glycerine), 48.98% TBS, 1X, 1% BSA
Shipped at conditions
Blue Ice
Appropriate short-term storage duration
1-2 weeks
Appropriate short-term storage conditions
+4°C
Appropriate long-term storage conditions
-20°C
Aliquoting information
Upon delivery aliquot
Storage information
Avoid freeze / thaw cycle

Supplementary information

This supplementary information is collated from multiple sources and compiled automatically.

Prostaglandin E Receptor EP1 also known as PTGER1 is a protein encoded by the PTGER1 gene. It belongs to the G-protein-coupled receptor family and is recognized for its role in binding prostaglandin E2 (PGE2). PTGER1 is a transmembrane protein which traverses the cell membrane multiple times. This receptor has a molecular mass of approximately 42 kDa. It is expressed in various tissues including the kidney lung and stomach which suggests its role in different physiological processes.
Biological function summary

PTGER1 plays a significant role in modulating vascular smooth muscle function. It does not operate as a part of a larger protein complex but rather works independently to initiate cellular responses upon binding with PGE2. The activation of PTGER1 influences various physiological processes such as inflammation pain perception and smooth muscle contraction. It achieves this by enabling the intracellular signaling that contributes to these bodily responses.

Pathways

PTGER1 functions in essential signaling cascades particularly the prostaglandin signaling pathway. Also it interfaces with the G-protein coupled receptor signaling pathway which involves proteins such as Gq/11. PTGER1 activation can both amplify and regulate the downstream signaling events linking the receptor to processes involved in inflammation and pain response.

PTGER1's regulation of inflammation and smooth muscle contraction connects it to conditions such as hypertension and gastric ulcers. Altered expression or function of PTGER1 may contribute to these diseases by affecting blood pressure regulation and gastric mucosal integrity. In context of gastric ulcers PTGER1 engages with cyclooxygenase-2 (COX-2) a known mediator of inflammation and ulcerogenesis suggesting a potential area for therapeutic intervention by targeting this receptor.

Product protocols

For this product, it's our understanding that no specific protocols are required. You can visit:

Target data

Receptor for prostaglandin E2 (PGE2). The activity of this receptor is mediated by G(q) proteins which activate a phosphatidylinositol-calcium second messenger system. May play a role as an important modulator of renal function. Implicated the smooth muscle contractile response to PGE2 in various tissues.
See full target information PTGER1

Publications (1)

Recent publications for all applications. Explore the full list and refine your search

Journal of cancer research and clinical oncology 149:5369-5376 PubMed36436093

2022

Prostaglandin E2 receptor EP1 expression in vulvar cancer.

Applications

Unspecified application

Species

Unspecified reactive species

Anna Buchholz,Aurelia Vattai,Sophie Fürst,Theresa Vilsmaier,Alaleh Zati Zehni,Alexander Steger,Christina Kuhn,Elisa Schmoeckel,Christian Dannecker,Sven Mahner,Udo Jeschke,Helene H Heidegger
View all publications

Product promise

We are committed to supporting your work with high-quality reagents, and we're here for you every step of the way. In the unlikely event that one of our products does not perform as expected, you're protected by our Product Promise.
For full details, please see our Terms & Conditions

Please note: All products are 'FOR RESEARCH USE ONLY. NOT FOR USE IN DIAGNOSTIC OR THERAPEUTIC PROCEDURES'.

For licensing inquiries, please contact partnerships@abcam.com