JavaScript is disabled in your browser. Please enable JavaScript to view this website.
AB124419

Anti-Prostaglandin E Receptor EP2/PTGER2 antibody

Be the first to review this product! Submit a review

|

(5 Publications)

Rabbit Polyclonal Prostaglandin E Receptor EP2/PTGER2 antibody. Suitable for WB, IHC-P and reacts with Mouse, Human samples. Cited in 5 publications. Immunogen corresponding to Synthetic Peptide within Human Prostaglandin E2 receptor EP2 subtype.

View Alternative Names

Prostaglandin E2 receptor EP2 subtype, PGE receptor EP2 subtype, PGE2 receptor EP2 subtype, Prostanoid EP2 receptor, PTGER2

2 Images
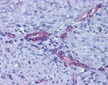
Immunohistochemistry (Formalin/PFA-fixed paraffin-embedded sections) - Anti-Prostaglandin E Receptor EP2/PTGER2 antibody (AB124419)
  • IHC-P

Unknown

Immunohistochemistry (Formalin/PFA-fixed paraffin-embedded sections) - Anti-Prostaglandin E Receptor EP2/PTGER2 antibody (AB124419)

Staining of Prostaglandin E Receptor EP2/PTGER2 in Paraffin-embedded Human Uterus, Myometrium tissue by Immunohistochemistry using ab124419 at a concentration of 5 μg/ml.

Western blot - Anti-Prostaglandin E Receptor EP2/PTGER2 antibody (AB124419)
  • WB

Unknown

Western blot - Anti-Prostaglandin E Receptor EP2/PTGER2 antibody (AB124419)

All lanes:

Western blot - Anti-Prostaglandin E Receptor EP2/PTGER2 antibody (ab124419) at 1/500 dilution

Lane 1:

Mouse liver cell extract

Lane 2:

Mouse liver cell extract with synthesized peptide

Predicted band size: 40 kDa

false

Key facts

Host species

Rabbit

Clonality

Polyclonal

Isotype

IgG

Carrier free

No

Reacts with

Mouse, Human

Applications

IHC-P, WB

applications

Immunogen

Synthetic Peptide within Human Prostaglandin E2 receptor EP2 subtype. The exact immunogen used to generate this antibody is proprietary information.

P43116

Reactivity data

{ "title": "Reactivity Data", "filters": { "stats": ["", "Species", "Dilution Info", "Notes"], "tabs": { "all-applications": {"fullname" : "All Applications", "shortname": "All Applications"}, "WB" : {"fullname" : "Western blot", "shortname":"WB"}, "IHCP" : {"fullname" : "Immunohistochemistry (Formalin/PFA-fixed paraffin-embedded sections)", "shortname":"IHC-P"} }, "product-promise": { "all": "all", "testedAndGuaranteed": "tested", "guaranteed": "expected", "predicted": "predicted", "notRecommended": "not-recommended" } }, "values": { "Human": { "WB-species-checked": "guaranteed", "WB-species-dilution-info": "", "WB-species-notes": "", "IHCP-species-checked": "testedAndGuaranteed", "IHCP-species-dilution-info": "5 µg/mL", "IHCP-species-notes": "<p></p>" }, "Mouse": { "WB-species-checked": "testedAndGuaranteed", "WB-species-dilution-info": "1/500 - 1/1000", "WB-species-notes": "<p></p>", "IHCP-species-checked": "guaranteed", "IHCP-species-dilution-info": "", "IHCP-species-notes": "" }, "Rat": { "WB-species-checked": "predicted", "WB-species-dilution-info": "", "WB-species-notes": "", "IHCP-species-checked": "predicted", "IHCP-species-dilution-info": "", "IHCP-species-notes": "" } } }

Properties and storage information

Form
Liquid
Purification technique
Affinity purification Immunogen
Storage buffer
pH: 7.4 Preservative: 0.02% Sodium azide Constituents: PBS, 50% Glycerol (glycerin, glycerine), 0.88% Sodium chloride
Shipped at conditions
Blue Ice
Appropriate short-term storage conditions
+4°C
Appropriate long-term storage conditions
-20°C
Storage information
Stable for 12 months at -20°C

Supplementary information

This supplementary information is collated from multiple sources and compiled automatically.

Prostaglandin E Receptor EP2 also known as PTGER2 or EP2 receptor is a G-protein coupled receptor with a molecular mass of approximately 53 kDa. This receptor primarily binds prostaglandin E2 (PGE2) mediating various cellular responses. EP2 receptor is expressed in tissues such as the brain kidneys lungs and immune cells. Its activation leads to the stimulation of adenylyl cyclase increasing levels of cyclic AMP (cAMP) within the cell.
Biological function summary

The EP2 receptor plays a role in vasodilation immune modulation and regulation of pain and inflammation. It does not act as part of a large protein complex but rather exerts its effects individually through its coupling with G-proteins. EP2 receptor stimulation results in smooth muscle relaxation and has implications in neuroinflammation and renal function.

Pathways

The EP2 receptor is involved in the prostaglandin signaling pathway and contributes to the inflammatory response pathway. It shares a connection with other receptors such as EP1 EP3 and EP4 which also bind PGE2 but induce different cellular responses. These pathways integrate signals that modulate processes like inflammation and immune responses highlighting EP2's role in maintaining physiological balance.

EP2 receptor activity is associated with conditions like asthma and Alzheimer's disease. In asthma the receptor's activity may influence airway hyperresponsiveness through its effects on smooth muscle and immune cells. In Alzheimer's EP2 receptor-related pathways may contribute to neuroinflammation which is linked with disease progression. Connections with proteins like COX-2 can be noted in these disorders as COX-2-dependent prostaglandin synthesis directly affects EP2 receptor signaling and subsequent cellular outcomes.

Product protocols

For this product, it's our understanding that no specific protocols are required. You can visit:

Target data

Receptor for prostaglandin E2 (PGE2). The activity of this receptor is mediated by G(s) proteins that stimulate adenylate cyclase. The subsequent raise in intracellular cAMP is responsible for the relaxing effect of this receptor on smooth muscle.
See full target information Prostaglandin E2 receptor EP2 subtype

Publications (5)

Recent publications for all applications. Explore the full list and refine your search

Naunyn-Schmiedeberg's archives of pharmacology : PubMed40372476

2025

Therapeutic effect of bismuth subsalicylate in a propionic acid-induced autism model.

Applications

Unspecified application

Species

Unspecified reactive species

Kubilay Doğan Kılıç,Burak Çakar,Yiğit Uyanıkgil,Lora Koenhemsi,Berzah Güneş,Ebru Eroğlu,Oytun Erbaş

Acta neuropathologica 149:39 PubMed40299057

2025

Spatial mapping of the AA-PGE-EP axis in multiple sclerosis lesions.

Applications

Unspecified application

Species

Unspecified reactive species

Cathrin E Hansen,Julia Konings,Gabor Toth,Serhii Chornyi,Manon Karsten,Bert van Het Hof,Susanne M A van der Pol,Stephanie D Beekhuis-Hoekstra,Nine Kok,Wing Ka Fung,Naomi S Dijksman,Wia Baron,Maarten E Witte,Ingela Lanekoff,Helga E de Vries,Gijs Kooij

Cell reports 36:109674 PubMed34496236

2021

Tumor-initiating stem cell shapes its microenvironment into an immunosuppressive barrier and pro-tumorigenic niche.

Applications

Unspecified application

Species

Unspecified reactive species

Xi He,Sarah E Smith,Shiyuan Chen,Hua Li,Di Wu,Paloma I Meneses-Giles,Yongfu Wang,Mark Hembree,Kexi Yi,Xia Zhao,Fengli Guo,Jay R Unruh,Lucinda E Maddera,Zulin Yu,Allison Scott,Anoja Perera,Yan Wang,Chongbei Zhao,KyeongMin Bae,Andrew Box,Jeffrey S Haug,Fang Tao,Deqing Hu,Darrick M Hansen,Pengxu Qian,Subhrajit Saha,Dan Dixon,Shrikant Anant,Da Zhang,Edward H Lin,Weijing Sun,Leanne M Wiedemann,Linheng Li

Contemporary oncology (Poznan, Poland) 19:113-9 PubMed26034388

2015

Expression of prostaglandin E2 prostanoid receptor EP2 and interleukin-1β in laryngeal carcinoma - preliminary study.

Applications

IHC-P

Species

Human

Marcin Mochocki,Piotr Morawski,Renata Kopta,Ewa Brzezińska-Błaszczyk,Olga Stasikowska,Iwona Lewy-Trenda,Katarzyna Starska

The Journal of biological chemistry 287:25434-9 PubMed22654101

2012

Prostanoid receptor 2 signaling protects T helper 2 cells from BALB/c mice against activation-induced cell death.

Applications

WB

Species

Mouse

Vandana Kaul,Luc Van Kaer,Gobardhan Das,Jyoti Das
View all publications

Product promise

We are committed to supporting your work with high-quality reagents, and we're here for you every step of the way. In the unlikely event that one of our products does not perform as expected, you're protected by our Product Promise.
For full details, please see our Terms & Conditions

Please note: All products are 'FOR RESEARCH USE ONLY. NOT FOR USE IN DIAGNOSTIC OR THERAPEUTIC PROCEDURES'.

For licensing inquiries, please contact partnerships@abcam.com