JavaScript is disabled in your browser. Please enable JavaScript to view this website.
AB203342

Anti-Prostaglandin F2 alpha Receptor/PTGFR antibody

Be the first to review this product! Submit a review

|

(1 Publication)

Rabbit Polyclonal Prostaglandin F2 alpha Receptor/PTGFR antibody. Suitable for IHC-P and reacts with Human samples. Cited in 1 publication. Immunogen corresponding to Synthetic Peptide within Human Prostaglandin F2-alpha receptor aa 150-200 conjugated to Keyhole Limpet Haemocyanin.

View Alternative Names

Prostaglandin F2-alpha receptor, PGF receptor, PGF2-alpha receptor, Prostanoid FP receptor, PTGFR

1 Images
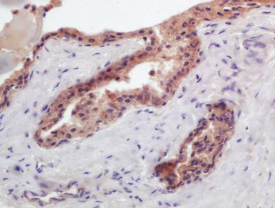
Immunohistochemistry (Formalin/PFA-fixed paraffin-embedded sections) - Anti-Prostaglandin F2 alpha Receptor/PTGFR antibody (AB203342)
  • IHC-P

Supplier Data

Immunohistochemistry (Formalin/PFA-fixed paraffin-embedded sections) - Anti-Prostaglandin F2 alpha Receptor/PTGFR antibody (AB203342)

Immunohistochemistry of Formalin-fixed and paraffin embedded Human prostate carcinoma tissue labeling Prostaglandin F2 alpha Receptor/PTGFR with ab203342 at 1/200 dilution, followed by conjugation to the secondary antibody and DAB staining.

Key facts

Host species

Rabbit

Clonality

Polyclonal

Isotype

IgG

Carrier free

No

Reacts with

Human

Applications

IHC-P

applications

Immunogen

Synthetic Peptide within Human Prostaglandin F2-alpha receptor aa 150-200 conjugated to Keyhole Limpet Haemocyanin. The exact immunogen used to generate this antibody is proprietary information.

P43088

Reactivity data

{ "title": "Reactivity Data", "filters": { "stats": ["", "Species", "Dilution Info", "Notes"], "tabs": { "all-applications": {"fullname" : "All Applications", "shortname": "All Applications"}, "IHCP" : {"fullname" : "Immunohistochemistry (Formalin/PFA-fixed paraffin-embedded sections)", "shortname":"IHC-P"} }, "product-promise": { "all": "all", "testedAndGuaranteed": "tested", "guaranteed": "expected", "predicted": "predicted", "notRecommended": "not-recommended" } }, "values": { "Human": { "IHCP-species-checked": "testedAndGuaranteed", "IHCP-species-dilution-info": "1/100.00000 - 1/500.00000", "IHCP-species-notes": "<p>When using a fluorescent probe the recommended dilution is 1/50 – 1/200</p>" } } }

Properties and storage information

Form
Liquid
Purification technique
Affinity purification Protein A
Storage buffer
pH: 7.4 Preservative: 0.02% Proclin 300 Constituents: 50% Glycerol (glycerin, glycerine), 48.98% TBS, 1X, 1% BSA
Shipped at conditions
Blue Ice
Appropriate short-term storage duration
1-2 weeks
Appropriate short-term storage conditions
+4°C
Appropriate long-term storage conditions
-20°C
Aliquoting information
Upon delivery aliquot
Storage information
Avoid freeze / thaw cycle

Supplementary information

This supplementary information is collated from multiple sources and compiled automatically.

The Prostaglandin F2 alpha Receptor also known as PTGFR is a G-protein-coupled receptor with a molecular mass of about 66 kDa. This receptor plays an essential role in mediating the effects of prostaglandin F2 alpha (PGF2α) a lipid compound involved in various physiological processes. The receptor is mainly expressed in tissues such as the uterus eye and vascular smooth muscle. Its localization allows it to actively participate in reproductive functions and other biological activities in these tissues.
Biological function summary

Prostaglandin F2 alpha Receptor functions as part of the prostanoid receptor family which mediates diverse physiological responses. PGF2α binding to the PTGFR induces intracellular signaling cascades that lead to smooth muscle contraction and modulation of inflammation. The receptor is not known to be part of any higher-order complex but interacts with intracellular signaling molecules to exert its effects. Its activity is important in processes such as luteolysis and modulation of intraocular pressure.

Pathways

The Prostaglandin F2 alpha Receptor is involved in key regulatory pathways like the prostaglandin signaling pathway and the smooth muscle contraction pathway. Within the prostaglandin signaling pathway PTGFR works with proteins such as phospholipase C to increase intracellular calcium levels leading to smooth muscle contraction. Its role in these pathways highlights its function in reproductive cycles and maintenance of cardiovascular health.

The Prostaglandin F2 alpha Receptor has associations with conditions such as glaucoma and dysmenorrhea. In glaucoma the receptor's role in modulating intraocular pressure links it to elevated pressure and optic nerve damage. Similarly dysmenorrhea involves excessive uterine muscle contractions where PTGFR-mediated signaling becomes heightened. The receptor's interaction with other proteins like cyclooxygenase-2 (COX-2) exacerbates these conditions by influencing prostaglandin production and signaling.

Product protocols

For this product, it's our understanding that no specific protocols are required. You can visit:

Target data

Receptor for prostaglandin F2-alpha (PGF2-alpha). The activity of this receptor is mediated by G proteins which activate a phosphatidylinositol-calcium second messenger system. Initiates luteolysis in the corpus luteum (By similarity). Isoforms 2 to 7 do not bind PGF2-alpha but are proposed to modulate signaling by participating in variant receptor complexes; heterodimers between isoform 1 and isoform 5 are proposed to be a receptor for prostamides including the synthetic analog bimatoprost.
See full target information Prostaglandin F2-alpha receptor

Publications (1)

Recent publications for all applications. Explore the full list and refine your search

Neurobiology of disease 137:104780 PubMed31991249

2020

The antagonism of prostaglandin FP receptors inhibits the evolution of spreading depolarization in an experimental model of global forebrain ischemia.

Applications

Unspecified application

Species

Unspecified reactive species

Dániel P Varga,Írisz Szabó,Viktória É Varga,Ákos Menhyárt,Orsolya M Tóth,Mihály Kozma,Armand R Bálint,István A Krizbai,Ferenc Bari,Eszter Farkas
View all publications

Product promise

We are committed to supporting your work with high-quality reagents, and we're here for you every step of the way. In the unlikely event that one of our products does not perform as expected, you're protected by our Product Promise.
For full details, please see our Terms & Conditions

Associated Products

Select an associated product type
Alternative Product
Primary Antibodies

AB126709

Anti-Prostaglandin F2 alpha Receptor/PTGFR antibody [EPR5844]

primary-antibodies

prostaglandin-f2-alpha-receptor-ptgfr-antibody-epr5844-ab126709

0

(0 reviews)

Alternative Product
Primary Antibodies

AB188935

Anti-Prostaglandin F2 alpha Receptor/PTGFR antibody

primary-antibodies

prostaglandin-f2-alpha-receptor-ptgfr-antibody-ab188935

0

(0 reviews)

Alternative Product
Primary Antibodies

AB188993

Anti-Prostaglandin F2 alpha Receptor/PTGFR antibody - Cytoplasmic domain

primary-antibodies

prostaglandin-f2-alpha-receptor-ptgfr-antibody-cytoplasmic-domain-ab188993

0

(0 reviews)

Please note: All products are 'FOR RESEARCH USE ONLY. NOT FOR USE IN DIAGNOSTIC OR THERAPEUTIC PROCEDURES'.

For licensing inquiries, please contact partnerships@abcam.com