JavaScript is disabled in your browser. Please enable JavaScript to view this website.
AB196754

Anti-Prostate Secretory Protein/PSP antibody

Be the first to review this product! Submit a review

|

(1 Publication)

Rabbit Polyclonal Prostate Secretory Protein/PSP antibody. Suitable for WB, IHC-P and reacts with Mouse, Rat, Human samples. Cited in 1 publication. Immunogen corresponding to Recombinant Full Length Protein corresponding to Human MSMB.

View Alternative Names

PRSP, MSMB, Beta-microseminoprotein, Immunoglobulin-binding factor, PN44, Prostate secreted seminal plasma protein, Prostate secretory protein of 94 amino acids, Seminal plasma beta-inhibin, IGBF, PSP-94, PSP94

4 Images
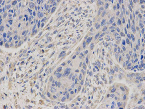
Immunohistochemistry (Formalin/PFA-fixed paraffin-embedded sections) - Anti-Prostate Secretory Protein/PSP antibody (AB196754)
  • IHC-P

Supplier Data

Immunohistochemistry (Formalin/PFA-fixed paraffin-embedded sections) - Anti-Prostate Secretory Protein/PSP antibody (AB196754)

Immunohistochemical analysis of paraffin-embedded Human esophagal cancer tissue labeling Prostate Secretory Protein/PSP with ab196754 at a 1/100 dilution (400x lens).

Immunohistochemistry (Formalin/PFA-fixed paraffin-embedded sections) - Anti-Prostate Secretory Protein/PSP antibody (AB196754)
  • IHC-P

Supplier Data

Immunohistochemistry (Formalin/PFA-fixed paraffin-embedded sections) - Anti-Prostate Secretory Protein/PSP antibody (AB196754)

Immunohistochemical analysis of paraffin-embedded mouse lung tissue labeling Prostate Secretory Protein/PSP with ab196754 at a 1/100 dilution (400x lens).

Immunohistochemistry (Formalin/PFA-fixed paraffin-embedded sections) - Anti-Prostate Secretory Protein/PSP antibody (AB196754)
  • IHC-P

Supplier Data

Immunohistochemistry (Formalin/PFA-fixed paraffin-embedded sections) - Anti-Prostate Secretory Protein/PSP antibody (AB196754)

Immunohistochemical analysis of paraffin-embedded rat kidney tissue labeling Prostate Secretory Protein/PSP with ab196754 at a 1/100 dilution (400x lens).

Western blot - Anti-Prostate Secretory Protein/PSP antibody (AB196754)
  • WB

Supplier Data

Western blot - Anti-Prostate Secretory Protein/PSP antibody (AB196754)

All lanes:

Western blot - Anti-Prostate Secretory Protein/PSP antibody (ab196754) at 1/500 dilution

Lane 1:

Mouse liver extract

Lane 2:

Mouse kidney extract

Lane 3:

Mouse skeletal muscle extract

Predicted band size: 13 kDa

false

Key facts

Host species

Rabbit

Clonality

Polyclonal

Isotype

IgG

Carrier free

No

Reacts with

Mouse, Rat, Human

Applications

IHC-P, WB

applications

Immunogen

Recombinant Full Length Protein corresponding to Human MSMB.

P08118

Specificity

ab196754 detects endogenous level of total MSMB protein.

Reactivity data

{ "title": "Reactivity Data", "filters": { "stats": ["", "Species", "Dilution Info", "Notes"], "tabs": { "all-applications": {"fullname" : "All Applications", "shortname": "All Applications"}, "WB" : {"fullname" : "Western blot", "shortname":"WB"}, "IHCP" : {"fullname" : "Immunohistochemistry (Formalin/PFA-fixed paraffin-embedded sections)", "shortname":"IHC-P"} }, "product-promise": { "all": "all", "testedAndGuaranteed": "tested", "guaranteed": "expected", "predicted": "predicted", "notRecommended": "not-recommended" } }, "values": { "Human": { "WB-species-checked": "guaranteed", "WB-species-dilution-info": "", "WB-species-notes": "", "IHCP-species-checked": "testedAndGuaranteed", "IHCP-species-dilution-info": "1/50 - 1/100", "IHCP-species-notes": "<p></p>" }, "Mouse": { "WB-species-checked": "testedAndGuaranteed", "WB-species-dilution-info": "1/500 - 1/2000", "WB-species-notes": "<p></p>", "IHCP-species-checked": "testedAndGuaranteed", "IHCP-species-dilution-info": "1/50 - 1/100", "IHCP-species-notes": "<p></p>" }, "Rat": { "WB-species-checked": "guaranteed", "WB-species-dilution-info": "", "WB-species-notes": "", "IHCP-species-checked": "testedAndGuaranteed", "IHCP-species-dilution-info": "1/50 - 1/100", "IHCP-species-notes": "<p></p>" } } }

Properties and storage information

Form
Liquid
Purification technique
Affinity purification Immunogen
Storage buffer
pH: 7.4 Preservative: 0.02% Sodium azide Constituents: 50% Glycerol (glycerin, glycerine), 49% PBS, 0.87% Sodium chloride
Shipped at conditions
Blue Ice
Appropriate short-term storage duration
1-2 weeks
Appropriate short-term storage conditions
+4°C
Appropriate long-term storage conditions
-20°C
Aliquoting information
Upon delivery aliquot
Storage information
Avoid freeze / thaw cycle

Supplementary information

This supplementary information is collated from multiple sources and compiled automatically.

Prostate Secretory Protein (PSP) also known as seminal plasma protein or ß-microseminoprotein is a small protein with a molecular weight of around 14 kDa. PSP is secreted by the prostate gland and found in high concentrations in semen. Its presence has also been detected in other tissues and fluids including the respiratory and digestive tract. PSP works mechanically by binding to other molecules such as protease or carbohydrate molecules through specific binding sites. This binding can influence various bodily functions by altering the activity or location of those molecules.
Biological function summary

PSP plays several roles in human physiology. It is involved in immune response within the reproductive tract and may affect sperm motility and function. PSP can bind to pathogens and microbes which could reduce infections or aid in immune defense in the seminal fluid. Additionally data indicates that PSP does not interact as part of large protein complexes but rather as an individual entity. Its interactions involve transient contacts with other molecules allowing it to modulate activities such as enzymatic activity or cellular signaling.

Pathways

PSP participates in processes related to the reproductive system. It plays roles in glycoprotein interactions and immune pathways mainly affecting components involved in the mucosal immune barrier. Proteins like prostate-specific antigen (PSA) and kallikreins may interact functionally with PSP within this system suggesting some regulatory or collaborative interactions. PSP indirectly influences these pathways by altering the dynamics of other molecules through binding interactions.

Research links PSP to conditions such as prostate cancer and semen-related infections. Elevated levels of PSP occur in malignant tissues suggesting a potential role in tumor biology or as a biomarker for disease progression. Additionally dysfunctional PSP or aberrant PSP activity may relate to increased susceptibility to infections in the reproductive tract. The relationship between PSP and proteins like PSA in prostate tissue pathways provides insights into its diagnostic potential in prostate disorders.

Product protocols

For this product, it's our understanding that no specific protocols are required. You can visit:

Publications (1)

Recent publications for all applications. Explore the full list and refine your search

The Prostate 78:257-265 PubMed29250809

2017

Prostate tumors downregulate microseminoprotein-beta (MSMB) in the surrounding benign prostate epithelium and this response is associated with tumor aggressiveness.

Applications

Unspecified application

Species

Unspecified reactive species

Sofia Halin Bergström,Helena Järemo,Maria Nilsson,Hanibal Hani Adamo,Anders Bergh
View all publications

Product promise

We are committed to supporting your work with high-quality reagents, and we're here for you every step of the way. In the unlikely event that one of our products does not perform as expected, you're protected by our Product Promise.
For full details, please see our Terms & Conditions

Please note: All products are 'FOR RESEARCH USE ONLY. NOT FOR USE IN DIAGNOSTIC OR THERAPEUTIC PROCEDURES'.

For licensing inquiries, please contact partnerships@abcam.com