JavaScript is disabled in your browser. Please enable JavaScript to view this website.
AB128897

Anti-Prostate Secretory Protein/PSP antibody [EPR7345]

Be the first to review this product! Submit a review

|

(2 Publications)

Rabbit Recombinant Monoclonal Prostate Secretory Protein/PSP antibody. Suitable for IHC-P, WB and reacts with Human samples. Cited in 2 publications.

View Alternative Names

PRSP, MSMB, Beta-microseminoprotein, Immunoglobulin-binding factor, PN44, Prostate secreted seminal plasma protein, Prostate secretory protein of 94 amino acids, Seminal plasma beta-inhibin, IGBF, PSP-94, PSP94

2 Images
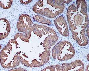
Immunohistochemistry (Formalin/PFA-fixed paraffin-embedded sections) - Anti-Prostate Secretory Protein/PSP antibody [EPR7345] (AB128897)
  • IHC-P

Unknown

Immunohistochemistry (Formalin/PFA-fixed paraffin-embedded sections) - Anti-Prostate Secretory Protein/PSP antibody [EPR7345] (AB128897)

ab128897 at a dilution of 1/500 staining Prostate Secretory Protein/PSP in paraffin-embedded Human Prostate tissue by Immunohistochemistry.

Perform heat mediated antigen retrieval before commencing with IHC staining protocol.

Western blot - Anti-Prostate Secretory Protein/PSP antibody [EPR7345] (AB128897)
  • WB

Unknown

Western blot - Anti-Prostate Secretory Protein/PSP antibody [EPR7345] (AB128897)

All lanes:

Western blot - Anti-Prostate Secretory Protein/PSP antibody [EPR7345] (ab128897) at 1/10000 dilution

Lane 1:

Human prostate lysate

Lane 2:

Human prostate cancer lysate

Secondary

All lanes:

HRP labelled goat anti-rabbit at 1/2000 dilution

Predicted band size: 13 kDa

Observed band size: 16 kDa

false

Key facts

Host species

Rabbit

Clonality

Monoclonal

Clone number

EPR7345

Isotype

IgG

Carrier free

No

Reacts with

Human

Applications

IHC-P, WB

applications

Immunogen

The exact immunogen used to generate this antibody is proprietary information.

Reactivity data

{ "title": "Reactivity Data", "filters": { "stats": ["", "Species", "Dilution Info", "Notes"], "tabs": { "all-applications": {"fullname" : "All Applications", "shortname": "All Applications"}, "IHCP" : {"fullname" : "Immunohistochemistry (Formalin/PFA-fixed paraffin-embedded sections)", "shortname":"IHC-P"}, "ICCIF" : {"fullname" : "Immunocytochemistry/ Immunofluorescence", "shortname":"ICC/IF"}, "WB" : {"fullname" : "Western blot", "shortname":"WB"} }, "product-promise": { "all": "all", "testedAndGuaranteed": "tested", "guaranteed": "expected", "predicted": "predicted", "notRecommended": "not-recommended" } }, "values": { "Human": { "IHCP-species-checked": "testedAndGuaranteed", "IHCP-species-dilution-info": "1/500 - 1/1000", "IHCP-species-notes": "<p></p>", "ICCIF-species-checked": "notRecommended", "ICCIF-species-dilution-info": "", "ICCIF-species-notes": "<p></p>", "WB-species-checked": "testedAndGuaranteed", "WB-species-dilution-info": "1/10000 - 1/50000", "WB-species-notes": "<p></p>" } } }

Product details

Species reactivity
Mouse, Rat: We have preliminary internal testing data to indicate this antibody may not react with these species.
Please contact us for more information.

Patented technology
Our RabMAb® technology is a patented hybridoma-based technology for making rabbit monoclonal antibodies. For details on our patents, please refer to RabMAb® patents.

What are the advantages of a recombinant monoclonal antibody?
This product is a recombinant monoclonal antibody, which offers several advantages including:

  • - High batch-to-batch consistency and reproducibility
  • - Improved sensitivity and specificity
  • - Long-term security of supply
  • - Animal-free batch production

For more information, read more on recombinant antibodies.

Properties and storage information

Form
Liquid
Purification technique
Affinity purification Protein A
Storage buffer
pH: 7.2 - 7.4 Preservative: 0.01% Sodium azide Constituents: PBS, 50% Tissue culture supernatant, 40% Glycerol (glycerin, glycerine), 0.05% BSA
Shipped at conditions
Blue Ice
Appropriate short-term storage conditions
+4°C
Appropriate long-term storage conditions
-20°C
Storage information
Stable for 12 months at -20°C

Supplementary information

This supplementary information is collated from multiple sources and compiled automatically.

Prostate Secretory Protein (PSP) also known as seminal plasma protein or ß-microseminoprotein is a small protein with a molecular weight of around 14 kDa. PSP is secreted by the prostate gland and found in high concentrations in semen. Its presence has also been detected in other tissues and fluids including the respiratory and digestive tract. PSP works mechanically by binding to other molecules such as protease or carbohydrate molecules through specific binding sites. This binding can influence various bodily functions by altering the activity or location of those molecules.
Biological function summary

PSP plays several roles in human physiology. It is involved in immune response within the reproductive tract and may affect sperm motility and function. PSP can bind to pathogens and microbes which could reduce infections or aid in immune defense in the seminal fluid. Additionally data indicates that PSP does not interact as part of large protein complexes but rather as an individual entity. Its interactions involve transient contacts with other molecules allowing it to modulate activities such as enzymatic activity or cellular signaling.

Pathways

PSP participates in processes related to the reproductive system. It plays roles in glycoprotein interactions and immune pathways mainly affecting components involved in the mucosal immune barrier. Proteins like prostate-specific antigen (PSA) and kallikreins may interact functionally with PSP within this system suggesting some regulatory or collaborative interactions. PSP indirectly influences these pathways by altering the dynamics of other molecules through binding interactions.

Research links PSP to conditions such as prostate cancer and semen-related infections. Elevated levels of PSP occur in malignant tissues suggesting a potential role in tumor biology or as a biomarker for disease progression. Additionally dysfunctional PSP or aberrant PSP activity may relate to increased susceptibility to infections in the reproductive tract. The relationship between PSP and proteins like PSA in prostate tissue pathways provides insights into its diagnostic potential in prostate disorders.

Product protocols

For this product, it's our understanding that no specific protocols are required. You can visit:

Publications (2)

Recent publications for all applications. Explore the full list and refine your search

Cell reports. Medicine 5:101627 PubMed38964315

2024

Personalized drug screening using patient-derived organoid and its clinical relevance in gastric cancer.

Applications

Unspecified application

Species

Unspecified reactive species

Yi Zhao,Shangru Li,Lefan Zhu,Mingle Huang,Yubin Xie,Xinming Song,Zhihui Chen,Harry Cheuk-Hay Lau,Joseph Jao-Yiu Sung,Lixia Xu,Jun Yu,Xiaoxing Li

Oncotarget 13:1217-1236 PubMed36342456

2022

MK256 is a novel CDK8 inhibitor with potent antitumor activity in AML through downregulation of the STAT pathway.

Applications

Unspecified application

Species

Unspecified reactive species

Jen-Chieh Lee,Shu Liu,Yucheng Wang,You Liang,David M Jablons
View all publications

Product promise

We are committed to supporting your work with high-quality reagents, and we're here for you every step of the way. In the unlikely event that one of our products does not perform as expected, you're protected by our Product Promise.
For full details, please see our Terms & Conditions

Please note: All products are 'FOR RESEARCH USE ONLY. NOT FOR USE IN DIAGNOSTIC OR THERAPEUTIC PROCEDURES'.

For licensing inquiries, please contact partnerships@abcam.com