JavaScript is disabled in your browser. Please enable JavaScript to view this website.
AB133296

Anti-Prostate Secretory Protein/PSP antibody [EPR7346]

Be the first to review this product! Submit a review

|

(1 Publication)

Rabbit Recombinant Monoclonal Prostate Secretory Protein/PSP antibody. Suitable for IHC-P, WB and reacts with Human samples. Cited in 1 publication.

View Alternative Names

PRSP, MSMB, Beta-microseminoprotein, Immunoglobulin-binding factor, PN44, Prostate secreted seminal plasma protein, Prostate secretory protein of 94 amino acids, Seminal plasma beta-inhibin, IGBF, PSP-94, PSP94

3 Images
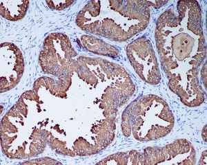
Immunohistochemistry (Formalin/PFA-fixed paraffin-embedded sections) - Anti-Prostate Secretory Protein/PSP antibody [EPR7346] (AB133296)
  • IHC-P

Unknown

Immunohistochemistry (Formalin/PFA-fixed paraffin-embedded sections) - Anti-Prostate Secretory Protein/PSP antibody [EPR7346] (AB133296)

Immunohistochemical analysis of paraffin-embedded Human prostate tissue labelling Prostate Secretory Protein/PSP with 1/250 ab133296.

Perform heat mediated antigen retrieval with citrate buffer pH 6 before commencing with IHC staining protocol.

Western blot - Anti-Prostate Secretory Protein/PSP antibody [EPR7346] (AB133296)
  • WB

Unknown

Western blot - Anti-Prostate Secretory Protein/PSP antibody [EPR7346] (AB133296)

All lanes:

Western blot - Anti-Prostate Secretory Protein/PSP antibody [EPR7346] (ab133296) at 1/10000 dilution

Lane 1:

Human prostate cancer lysate at 10 µg

Lane 2:

Human prostate lysate at 10 µg

Predicted band size: 13 kDa

Observed band size: 16 kDa

false

OI-RD Scanning - Anti-Prostate Secretory Protein/PSP antibody [EPR7346] (AB133296)
  • OI-RD Scanning

Unknown

OI-RD Scanning - Anti-Prostate Secretory Protein/PSP antibody [EPR7346] (AB133296)

We have systematically measured KD (the equilibrium dissociation constant between the antibody and its antigen), of more than 840 recombinant antibodies to assess not only their individual KD values but also to see the average affinity of antibody. Based on the comparison with published literature values for mouse monoclonal antibodies, Recombinant antibodies appear to be on average 1-2 order of magnitude higher affinity.

  • Carrier free

    Anti-Prostate Secretory Protein/PSP antibody [EPR7346] - BSA and Azide free

Key facts

Host species

Rabbit

Clonality

Monoclonal

Clone number

EPR7346

Isotype

IgG

Carrier free

No

Reacts with

Human

Applications

WB, IHC-P

applications

Immunogen

The exact immunogen used to generate this antibody is proprietary information.

Reactivity data

{ "title": "Reactivity Data", "filters": { "stats": ["", "Species", "Dilution Info", "Notes"], "tabs": { "all-applications": {"fullname" : "All Applications", "shortname": "All Applications"}, "IHCP" : {"fullname" : "Immunohistochemistry (Formalin/PFA-fixed paraffin-embedded sections)", "shortname":"IHC-P"}, "IP" : {"fullname" : "Immunoprecipitation", "shortname":"IP"}, "WB" : {"fullname" : "Western blot", "shortname":"WB"}, "ICCIF" : {"fullname" : "Immunocytochemistry/ Immunofluorescence", "shortname":"ICC/IF"} }, "product-promise": { "all": "all", "testedAndGuaranteed": "tested", "guaranteed": "expected", "predicted": "predicted", "notRecommended": "not-recommended" } }, "values": { "Human": { "IHCP-species-checked": "testedAndGuaranteed", "IHCP-species-dilution-info": "1/250 - 1/500", "IHCP-species-notes": "<p></p>", "IP-species-checked": "notRecommended", "IP-species-dilution-info": "", "IP-species-notes": "<p></p>", "WB-species-checked": "testedAndGuaranteed", "WB-species-dilution-info": "1/10000 - 1/50000", "WB-species-notes": "<p></p>", "ICCIF-species-checked": "notRecommended", "ICCIF-species-dilution-info": "", "ICCIF-species-notes": "<p></p>" } } }

Product details

Species reactivity
Mouse, Rat: We have preliminary internal testing data to indicate this antibody may not react with these species.
Please contact us for more information.

Patented technology
Our RabMAb® technology is a patented hybridoma-based technology for making rabbit monoclonal antibodies. For details on our patents, please refer to RabMAb® patents.

What are the advantages of a recombinant monoclonal antibody?
This product is a recombinant monoclonal antibody, which offers several advantages including:

  • - High batch-to-batch consistency and reproducibility
  • - Improved sensitivity and specificity
  • - Long-term security of supply
  • - Animal-free batch production

For more information, read more on recombinant antibodies.

Properties and storage information

Form
Liquid
Purification technique
Affinity purification Protein A
Storage buffer
pH: 7.2 - 7.4 Preservative: 0.01% Sodium azide Constituents: 50% Tissue culture supernatant, 40% Glycerol (glycerin, glycerine), 9% PBS, 0.05% BSA
Shipped at conditions
Blue Ice
Appropriate short-term storage conditions
+4°C
Appropriate long-term storage conditions
-20°C

Supplementary information

This supplementary information is collated from multiple sources and compiled automatically.

Prostate Secretory Protein (PSP) also known as seminal plasma protein or ß-microseminoprotein is a small protein with a molecular weight of around 14 kDa. PSP is secreted by the prostate gland and found in high concentrations in semen. Its presence has also been detected in other tissues and fluids including the respiratory and digestive tract. PSP works mechanically by binding to other molecules such as protease or carbohydrate molecules through specific binding sites. This binding can influence various bodily functions by altering the activity or location of those molecules.
Biological function summary

PSP plays several roles in human physiology. It is involved in immune response within the reproductive tract and may affect sperm motility and function. PSP can bind to pathogens and microbes which could reduce infections or aid in immune defense in the seminal fluid. Additionally data indicates that PSP does not interact as part of large protein complexes but rather as an individual entity. Its interactions involve transient contacts with other molecules allowing it to modulate activities such as enzymatic activity or cellular signaling.

Pathways

PSP participates in processes related to the reproductive system. It plays roles in glycoprotein interactions and immune pathways mainly affecting components involved in the mucosal immune barrier. Proteins like prostate-specific antigen (PSA) and kallikreins may interact functionally with PSP within this system suggesting some regulatory or collaborative interactions. PSP indirectly influences these pathways by altering the dynamics of other molecules through binding interactions.

Research links PSP to conditions such as prostate cancer and semen-related infections. Elevated levels of PSP occur in malignant tissues suggesting a potential role in tumor biology or as a biomarker for disease progression. Additionally dysfunctional PSP or aberrant PSP activity may relate to increased susceptibility to infections in the reproductive tract. The relationship between PSP and proteins like PSA in prostate tissue pathways provides insights into its diagnostic potential in prostate disorders.

Product protocols

For this product, it's our understanding that no specific protocols are required. You can visit:

Publications (1)

Recent publications for all applications. Explore the full list and refine your search

Small (Weinheim an der Bergstrasse, Germany) 18:e2203746 PubMed36070419

2022

Human Cell-Camouflaged Nanomagnetic Scavengers Restore Immune Homeostasis in a Rodent Model with Bacteremia.

Applications

Unspecified application

Species

Unspecified reactive species

Sung Jin Park,Seyong Kwon,Min Seok Lee,Bong Hwan Jang,Axel E Guzmán-Cedillo,Joo H Kang
View all publications

Product promise

We are committed to supporting your work with high-quality reagents, and we're here for you every step of the way. In the unlikely event that one of our products does not perform as expected, you're protected by our Product Promise.
For full details, please see our Terms & Conditions

Please note: All products are 'FOR RESEARCH USE ONLY. NOT FOR USE IN DIAGNOSTIC OR THERAPEUTIC PROCEDURES'.

For licensing inquiries, please contact partnerships@abcam.com