JavaScript is disabled in your browser. Please enable JavaScript to view this website.
AB9537

Anti-Prostate Specific Antigen antibody

4

(1 Review)

|

(8 Publications)

Rabbit Polyclonal Prostate Specific Antigen antibody. Suitable for IHC-P, ICC/IF, IHC-Fr and reacts with Human samples. Cited in 8 publications. Immunogen corresponding to Native Full Length Protein corresponding to Human KLK3.

View Alternative Names

APS, KLK3, Prostate-specific antigen, PSA, Gamma-seminoprotein, Kallikrein-3, P-30 antigen, Semenogelase, Seminin

2 Images
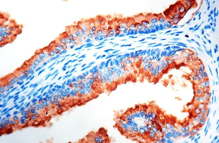
Immunohistochemistry (Formalin/PFA-fixed paraffin-embedded sections) - Anti-Prostate Specific Antigen antibody (AB9537)
  • IHC-P

Supplier Data

Immunohistochemistry (Formalin/PFA-fixed paraffin-embedded sections) - Anti-Prostate Specific Antigen antibody (AB9537)

Formalin-fixed, paraffin-embeded human prostate carcinoma tissue stained for Prostate Specific Antigen using ab9537 at 1/50 dilution in immunohistochemical analysis. Antigen retrieval with citrate buffer pH 6.0.

Immunohistochemistry (Formalin/PFA-fixed paraffin-embedded sections) - Anti-Prostate Specific Antigen antibody (AB9537)
  • IHC-P

Unknown

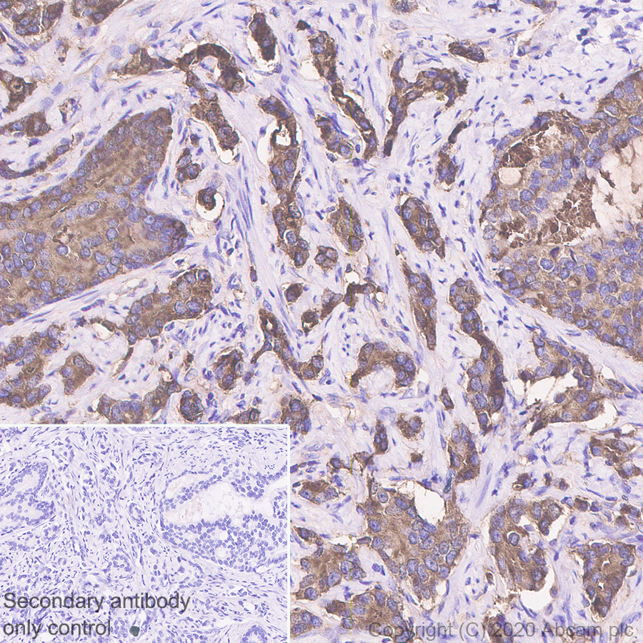
Immunohistochemistry (Formalin/PFA-fixed paraffin-embedded sections) - Anti-Prostate Specific Antigen antibody (AB9537)

Immunohistochemical analysis of formalin-fixed, paraffin-embedded Human prostate carcinoma tissue, staining Prostate Specific Antigen with ab9537. Staining was detected using DAB.

Key facts

Host species

Rabbit

Clonality

Polyclonal

Isotype

IgG

Light chain type

unknown

Carrier free

No

Reacts with

Human

Applications

IHC-P, ICC/IF, IHC-Fr

applications

Immunogen

Native Full Length Protein corresponding to Human KLK3.

P07288

Reactivity data

{ "title": "Reactivity Data", "filters": { "stats": ["", "Species", "Dilution Info", "Notes"], "tabs": { "all-applications": {"fullname" : "All Applications", "shortname": "All Applications"}, "IHCP" : {"fullname" : "Immunohistochemistry (Formalin/PFA-fixed paraffin-embedded sections)", "shortname":"IHC-P"}, "ICCIF" : {"fullname" : "Immunocytochemistry/ Immunofluorescence", "shortname":"ICC/IF"}, "IHCFr" : {"fullname" : "Immunohistochemistry (Frozen sections)", "shortname":"IHC-Fr"} }, "product-promise": { "all": "all", "testedAndGuaranteed": "tested", "guaranteed": "expected", "predicted": "predicted", "notRecommended": "not-recommended" } }, "values": { "Human": { "IHCP-species-checked": "testedAndGuaranteed", "IHCP-species-dilution-info": "1/50 - 1/150", "IHCP-species-notes": "<p></p>", "ICCIF-species-checked": "guaranteed", "ICCIF-species-dilution-info": "", "ICCIF-species-notes": "<p></p>", "IHCFr-species-checked": "guaranteed", "IHCFr-species-dilution-info": "", "IHCFr-species-notes": "<p></p>" } } }

Properties and storage information

Form
Liquid
Purity
IgG fraction
Storage buffer
pH: 7.3 - 7.5 Preservative: 0.05% Sodium azide Constituents: 1% BSA
Shipped at conditions
Blue Ice
Appropriate short-term storage duration
1-2 weeks
Appropriate short-term storage conditions
+4°C
Appropriate long-term storage conditions
-20°C
Storage information
Avoid freeze / thaw cycle

Supplementary information

This supplementary information is collated from multiple sources and compiled automatically.

Prostate Specific Antigen (PSA) also known as kallikrein-related peptidase 3 (KLK3) is a serine protease with a mass of approximately 28.4 kDa. PSA is primarily expressed in the epithelial cells of the prostate gland. This glycoprotein is an important component in the seminal fluid where it performs its proteolytic activity that liquefies semen facilitating sperm motility.
Biological function summary

PSA functions by cleaving the gel-forming proteins present in seminal coagulum. It does not operate as part of a larger protein complex. PSA also interacts with substrates like fibronectin and semenogelin which play roles in seminal coagulation and liquefaction. The expression of PSA in prostate tissue has made it a valuable biomarker for prostate function and pathological conditions.

Pathways

PSA is involved in the kallikrein-kinin system which influences inflammation and blood pressure regulation. PSA is not directly a part of key metabolic or signaling pathways but it is co-expressed with key proteins like androgen receptor (AR) which modulates PSA's expression. The interplay between androgens and PSA highlights its role in hormone regulation within the male reproductive system.

PSA levels serve as an indicator for prostate cancer and benign prostatic hyperplasia (BPH). Elevated PSA levels often correlate with prostate cancer although other prostate conditions such as prostatitis can also increase PSA without cancer. Proteins like PCA3 and the AR are also connected in the context of prostate cancer providing a broader understanding of PSA's role in these diseases.

Product protocols

For this product, it's our understanding that no specific protocols are required. You can visit:

Target data

Hydrolyzes semenogelin-1 thus leading to the liquefaction of the seminal coagulum.
See full target information KLK3

Publications (8)

Recent publications for all applications. Explore the full list and refine your search

RSC advances 9:23791-23796 PubMed35530621

2019

Vertically sheathing laminar flow-based immunoassay using simultaneous diffusion-driven immune reactions.

Applications

Unspecified application

Species

Unspecified reactive species

Amanzhol Kurmashev,Seyong Kwon,Je-Kyun Park,Joo H Kang

International journal of cardiology 292:148-155 PubMed31196685

2019

Left atrial microvascular endothelial dysfunction, myocardial inflammation and fibrosis after selective insular cortex ischemic stroke.

Applications

Unspecified application

Species

Unspecified reactive species

Brittany Balint,Victoria Jaremek,Victoria Thorburn,Shawn N Whitehead,Luciano A Sposato

BMC research notes 10:541 PubMed29084601

2017

Gallein, a Gβγ subunit signalling inhibitor, inhibits metastatic spread of tumour cells expressing OR51E2 and exposed to its odorant ligand.

Applications

Unspecified application

Species

Unspecified reactive species

Guenhaël Sanz,Isabelle Leray,Adeline Muscat,Adrien Acquistapace,Tao Cui,Julie Rivière,Silvia Vincent-Naulleau,Valeria Giandomenico,Lluis M Mir

Oncotarget 8:4330-4341 PubMed28032594

2016

Structurally related odorant ligands of the olfactory receptor OR51E2 differentially promote metastasis emergence and tumor growth.

Applications

Unspecified application

Species

Unspecified reactive species

Guenhaël Sanz,Isabelle Leray,Denise Grébert,Sharmilee Antoine,Adrien Acquistapace,Adeline Muscat,Abdelhak Boukadiri,Lluis M Mir

PloS one 9:e85110 PubMed24416348

2014

Promotion of cancer cell invasiveness and metastasis emergence caused by olfactory receptor stimulation.

Applications

IHC (PFA fixed)

Species

Mouse

Guenhaël Sanz,Isabelle Leray,Aurélie Dewaele,Julien Sobilo,Stéphanie Lerondel,Stéphan Bouet,Denise Grébert,Régine Monnerie,Edith Pajot-Augy,Lluis M Mir

Analytical chemistry 84:5518-23 PubMed22632629

2012

Streamlining immunoassays with immiscible filtrations assisted by surface tension.

Applications

Unspecified application

Species

Unspecified reactive species

Scott M Berry,Lindsey J Maccoux,David J Beebe

Journal of proteomics 72:907-17 PubMed19457353

2009

Clinical collection and protein properties of expressed prostatic secretions as a source for biomarkers of prostatic disease.

Applications

Unspecified application

Species

Unspecified reactive species

Richard R Drake,Krista Y White,Thomas W Fuller,Elena Igwe,Mary Ann Clements,Julius O Nyalwidhe,Robert W Given,Raymond S Lance,O John Semmes

Histology and histopathology 24:197-207 PubMed19085836

2008

Multiple kallikrein (KLK 5, 7, 8, and 10) expression in squamous cell carcinoma of the oral cavity.

Applications

IHC-P

Species

Human

Jason R Pettus,Jeffrey J Johnson,Zonggao Shi,J Wade Davis,Jennifer Koblinski,Supurna Ghosh,Yueying Liu,Matthew J Ravosa,Shellaine Frazier,M Sharon Stack
View all publications

Product promise

We are committed to supporting your work with high-quality reagents, and we're here for you every step of the way. In the unlikely event that one of our products does not perform as expected, you're protected by our Product Promise.
For full details, please see our Terms & Conditions

Please note: All products are 'FOR RESEARCH USE ONLY. NOT FOR USE IN DIAGNOSTIC OR THERAPEUTIC PROCEDURES'.

For licensing inquiries, please contact partnerships@abcam.com