JavaScript is disabled in your browser. Please enable JavaScript to view this website.
AB271858

Anti-Prostate Specific Antigen antibody [EP1588Y] - BSA and Azide free

  • BOND RX™ Validated
  • RabMAb
  • Advanced Validation
  • Recombinant
  • What is this?

Be the first to review this product! Submit a review

|

(0 Publication)

Rabbit Recombinant Monoclonal Prostate Specific Antigen antibody. Carrier free. Suitable for WB, IHC-P, mIHC and reacts with Human samples.

View Alternative Names

APS, KLK3, Prostate-specific antigen, PSA, Gamma-seminoprotein, Kallikrein-3, P-30 antigen, Semenogelase, Seminin

7 Images
Multiplex immunohistochemistry - Anti-Prostate Specific Antigen antibody [EP1588Y] - BSA and Azide free (AB271858)
  • mIHC

Lab

Multiplex immunohistochemistry - Anti-Prostate Specific Antigen antibody [EP1588Y] - BSA and Azide free (AB271858)

Fluorescence multiplex immunohistochemical analysis of human prostate gland tissue (formalin/PFA-fixed paraffin-embedded section). Panel A : merged staining of anti-Prostate Specific Antigen (ab76113, red; Opal™690), anti-Cytokeratin 5 (ab236216, green; Opal™520) and anti-Nkx3.1 (ab196020, gray; Opal™570) on human prostate gland tissue. Panel B : anti-Prostate Specific Antigen stained on cytoplasm of luminal cells. Panel C : anti-Cytokeratin 5 stained on basal cells. Panel D : anti-p63 stained on nucleus of luminal cells. Opal Polymer HRP Ms + Rb was used as a secondary antibody. The immunostaining was performed on a Leica Biosystems BOND® RX instrument with an Opal™ 4-color kit. The section was incubated in three rounds of staining : in the order of ab76113 (1/2000), ab236216 (1/400) and ab196020 (1/2000) for 30 mins at room temperature. Each round was followed by a separate fluorescent tyramide signal amplification system. Each round was followed by a separate fluorescent tyramide signal amplification system. Heat mediated antigen retrieval with Tris-EDTA buffer (pH 9.0, epitope retrieval solution 2) was used for 20 mins. DAPI (blue) was used as a nuclear counter stain. Image acquisition was performed with Leica SP8 confocal microscope. This data was developed using ab76113, the same antibody clone in a different buffer formulation.

Multiplex immunohistochemistry - Anti-Prostate Specific Antigen antibody [EP1588Y] - BSA and Azide free (AB271858)
  • mIHC

Lab

Multiplex immunohistochemistry - Anti-Prostate Specific Antigen antibody [EP1588Y] - BSA and Azide free (AB271858)

Fluorescence multiplex immunohistochemical analysis of human prostate gland tissue (formalin/PFA-fixed paraffin-embedded section). Panel A : merged staining of anti-p63 (ab124762, magenta; Opal™690), anti-Cytokeratin 5 (ab236216, green; Opal™520) and anti-Prostate Specific Antigen (ab76113, red; Opal™570) on human prostate gland tissue. Panel B : anti-Prostate Specific Antigen stained on luminal cells. Panel C : anti-Cytokeratin 5 stained on cytoplasm of basal cells. Panel D : anti-p63 stained on nucleus of basal cells. Opal Polymer HRP Ms + Rb was used as a secondary antibody. The immunostaining was performed on a Leica Biosystems BOND® RX instrument with an Opal™ 4-color kit. The section was incubated in three rounds of staining : in the order of ab124762 (1/5000), ab236216 (1/400), and ab76113 (1/2000) for 30 mins at room temperature. Each round was followed by a separate fluorescent tyramide signal amplification system. Each round was followed by a separate fluorescent tyramide signal amplification system. Heat mediated antigen retrieval with Tris-EDTA buffer (pH 9.0, epitope retrieval solution 2) was used for 20 mins. DAPI (blue) was used as a nuclear counter stain. Image acquisition was performed with Leica SP8 confocal microscope. This data was developed using ab76113, the same antibody clone in a different buffer formulation.

Multiplex immunohistochemistry - Anti-Prostate Specific Antigen antibody [EP1588Y] - BSA and Azide free (AB271858)
  • mIHC

Lab

Multiplex immunohistochemistry - Anti-Prostate Specific Antigen antibody [EP1588Y] - BSA and Azide free (AB271858)

Fluorescence multiplex immunohistochemical analysis of human prostate gland tissue (formalin/PFA-fixed paraffin-embedded section). Panel A : merged staining of anti-Collagen VI (ab271938, magenta; Opal™690), anti-Cytokeratin 5 (ab236216, green; Opal™520) and anti-Prostate Specific Antigen (ab76113, red; Opal™570) on human prostate gland tissue. Panel B : anti-Prostate Specific Antigen stained on luminal cells. Panel C : anti-Cytokeratin 5 stained on basal cells. Panel D : anti-Collagen VI stained on stroma. Opal Polymer HRP Ms + Rb was used as a secondary antibody. The immunostaining was performed on a Leica Biosystems BOND® RX instrument with an Opal™ 4-color kit. The section was incubated in three rounds of staining : in the order of ab271938 (1/500), ab236216 (1/400), and ab76113 (1/2000) for 30 mins at room temperature. Each round was followed by a separate fluorescent tyramide signal amplification system. Each round was followed by a separate fluorescent tyramide signal amplification system. Heat mediated antigen retrieval with Tris-EDTA buffer (pH 9.0, epitope retrieval solution 2) was used for 20 mins. DAPI (blue) was used as a nuclear counter stain. Image acquisition was performed with Leica SP8 confocal microscope. This data was developed using ab76113, the same antibody clone in a different buffer formulation.

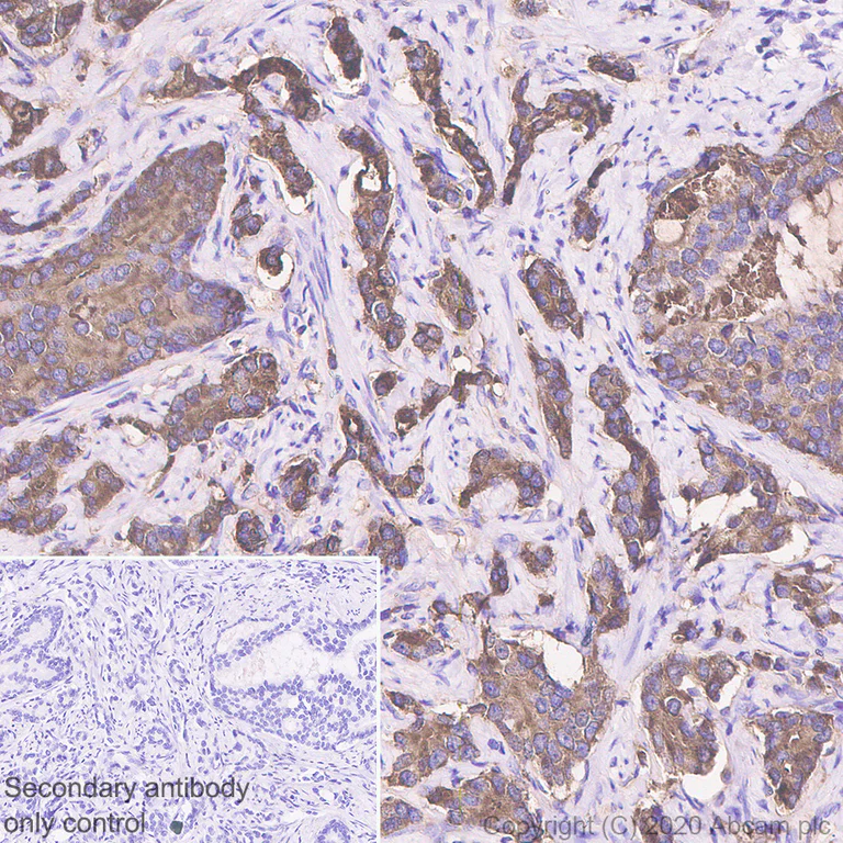
Immunohistochemistry (Formalin/PFA-fixed paraffin-embedded sections) - Anti-Prostate Specific Antigen antibody [EP1588Y] - BSA and Azide free (AB271858)
  • IHC-P

Unknown

Immunohistochemistry (Formalin/PFA-fixed paraffin-embedded sections) - Anti-Prostate Specific Antigen antibody [EP1588Y] - BSA and Azide free (AB271858)

This data was developed using ab76113, the same antibody clone in a different buffer formulation.
Immunohistochemistry (Formalin/PFA-fixed paraffin-embedded sections) analysis of human prostate cancer tissue sections labeling Prostate Specific Antigen with purified ab76113 at 1/1000 dilution (0.51 μg/mL). Heat mediated antigen retrieval using Bond™ Epitope Retrieval Solution 2 (pH 9.0). Rabbit specific IHC polymer detection kit HRP/DAB (ab209101) was used as the secondary antibody. Negative control : PBS instead of the primary antibody. Hematoxylin was used as a counterstain.

Western blot - Anti-Prostate Specific Antigen antibody [EP1588Y] - BSA and Azide free (AB271858)
  • WB

Unknown

Western blot - Anti-Prostate Specific Antigen antibody [EP1588Y] - BSA and Azide free (AB271858)

This data was developed using ab76113, the same antibody clone in a different buffer formulation.

The expression profile observed is consistent with what has been described in the literature (PMID : 23405127).

All lanes:

Western blot - Anti-Prostate Specific Antigen antibody [EP1588Y] (<a href='/en-us/products/primary-antibodies/prostate-specific-antigen-antibody-ep1588y-ab76113'>ab76113</a>) at 1/1000 dilution

Lane 1:

LNCaP (Human prostate carcinoma epithelial cell) whole cell lysate at 15 µg

Lane 2:

PC-3 (Human prostate adenocarcinoma epithelial cell) whole cell lysate at 20 µg

Lane 3:

22Rv1 (Human prostate carcinoma epithelial cell) whole cell lysate at 20 µg

Lane 4:

DU 145 (Human prostate carcinoma epithelial cell) whole cell lysate at 20 µg

Secondary

All lanes:

Goat Anti-Rabbit IgG (HRP) with minimal cross-reactivity with human IgG at 1/2000 dilution

Predicted band size: 29 kDa

Observed band size: 34 kDa

false

Western blot - Anti-Prostate Specific Antigen antibody [EP1588Y] - BSA and Azide free (AB271858)
  • WB

Unknown

Western blot - Anti-Prostate Specific Antigen antibody [EP1588Y] - BSA and Azide free (AB271858)

This data was developed using ab76113, the same antibody clone in a different buffer formulation.

The expression profile observed is consistent with what has been described in the literature (PMID : 23405127).

All lanes:

Western blot - Anti-Prostate Specific Antigen antibody [EP1588Y] (<a href='/en-us/products/primary-antibodies/prostate-specific-antigen-antibody-ep1588y-ab76113'>ab76113</a>) at 1/1000 dilution

Lane 1:

LNCaP (Human prostate carcinoma epithelial cell) whole cell lysate at 15 µg

Lane 2:

LNCaP (Human prostate carcinoma epithelial cell) treated with 100nM DHT for 2 days whole cell lysate at 15 µg

Secondary

All lanes:

Western blot - Goat Anti-Rabbit IgG H&L (HRP) (<a href='/en-us/products/secondary-antibodies/goat-rabbit-igg-h-l-hrp-ab97051'>ab97051</a>) at 1/20000 dilution

Predicted band size: 29 kDa

Observed band size: 34 kDa

false

OI-RD Scanning - Anti-Prostate Specific Antigen antibody [EP1588Y] - BSA and Azide free (AB271858)
  • OI-RD Scanning

Unknown

OI-RD Scanning - Anti-Prostate Specific Antigen antibody [EP1588Y] - BSA and Azide free (AB271858)

We have systematically measured KD (the equilibrium dissociation constant between the antibody and its antigen), of more than 840 recombinant antibodies to assess not only their individual KD values but also to see the average affinity of antibody. Based on the comparison with published literature values for mouse monoclonal antibodies, Recombinant antibodies appear to be on average 1-2 order of magnitude higher affinity.

  • Unconjugated

    Anti-Prostate Specific Antigen antibody [EP1588Y]

  • 665 Alexa Fluor® 647

    Alexa Fluor® 647 Anti-Prostate Specific Antigen antibody [EP1588Y]

  • 660 APC

    APC Anti-Prostate Specific Antigen antibody [EP1588Y]

  • 519 Alexa Fluor® 488

    Alexa Fluor® 488 Anti-Prostate Specific Antigen antibody [EP1588Y]

  • 578 PE

    PE Anti-Prostate Specific Antigen antibody [EP1588Y]

  • 565 Alexa Fluor® 555

    Alexa Fluor® 555 Anti-Prostate Specific Antigen antibody [EP1588Y]

  • 617 Alexa Fluor® 594

    Alexa Fluor® 594 Anti-Prostate Specific Antigen antibody [EP1588Y]

  • 775 Alexa Fluor® 750

    Alexa Fluor® 750 Anti-Prostate Specific Antigen antibody [EP1588Y]

Key facts

Host species

Rabbit

Clonality

Monoclonal

Clone number

EP1588Y

Isotype

IgG

Carrier free

Yes

Reacts with

Human

Applications

WB, mIHC, IHC-P

applications

Immunogen

The exact immunogen used to generate this antibody is proprietary information.

Reactivity data

{ "title": "Reactivity Data", "filters": { "stats": ["", "Species", "Dilution Info", "Notes"], "tabs": { "all-applications": {"fullname" : "All Applications", "shortname": "All Applications"}, "WB" : {"fullname" : "Western blot", "shortname":"WB"}, "IHCP" : {"fullname" : "Immunohistochemistry (Formalin/PFA-fixed paraffin-embedded sections)", "shortname":"IHC-P"}, "mIHC" : {"fullname" : "Multiplex immunohistochemistry", "shortname":"mIHC"} }, "product-promise": { "all": "all", "testedAndGuaranteed": "tested", "guaranteed": "expected", "predicted": "predicted", "notRecommended": "not-recommended" } }, "values": { "Human": { "WB-species-checked": "testedAndGuaranteed", "WB-species-dilution-info": "", "WB-species-notes": "<p></p>", "IHCP-species-checked": "testedAndGuaranteed", "IHCP-species-dilution-info": "", "IHCP-species-notes": "<p></p>", "mIHC-species-checked": "testedAndGuaranteed", "mIHC-species-dilution-info": "", "mIHC-species-notes": "<p></p>" } } }

Product details

ab271858 is the carrier-free version of ab76113.

Species reactivity
Mouse, Rat: We have preliminary internal testing data to indicate this antibody may not react with these species.
Please contact us for more information.

Patented technology
Our RabMAb® technology is a patented hybridoma-based technology for making rabbit monoclonal antibodies. For details on our patents, please refer to RabMAb® patents.

What are the advantages of a recombinant monoclonal antibody?
This product is a recombinant monoclonal antibody, which offers several advantages including:

  • - High batch-to-batch consistency and reproducibility
  • - Improved sensitivity and specificity
  • - Long-term security of supply
  • - Animal-free batch production

For more information, read more on recombinant antibodies.

Conjugation ready
Our carrier-free antibodies are typically supplied in a PBS-only formulation, purified and free of BSA, sodium azide and glycerol. This conjugation-ready format is designed for use with fluorochromes, metal isotopes, oligonucleotides, and enzymes, which makes them ideal for antibody labelling, functional and cell-based assays, flow-based assays (e.g. mass cytometry) and Multiplex Imaging applications.

Use our conjugation kits for antibody conjugates that are ready-to-use in as little as 20 minutes with 1 minute hands-on-time and 100% antibody recovery: available for fluorescent dyes, HRP, biotin and gold.

Compatibility
This product is compatible with the Maxpar® Antibody Labeling Kit from Fluidigm, without the need for antibody preparation. Maxpar® is a trademark of Fluidigm Canada Inc.

Properties and storage information

Form
Liquid
Purification technique
Affinity purification Protein A
Storage buffer
pH: 7.2 - 7.4 Constituents: PBS
Shipped at conditions
Blue Ice
Appropriate short-term storage conditions
+4°C
Appropriate long-term storage conditions
+4°C
Storage information
Do Not Freeze

Supplementary information

This supplementary information is collated from multiple sources and compiled automatically.

Prostate Specific Antigen (PSA) also known as kallikrein-related peptidase 3 (KLK3) is a serine protease with a mass of approximately 28.4 kDa. PSA is primarily expressed in the epithelial cells of the prostate gland. This glycoprotein is an important component in the seminal fluid where it performs its proteolytic activity that liquefies semen facilitating sperm motility.
Biological function summary

PSA functions by cleaving the gel-forming proteins present in seminal coagulum. It does not operate as part of a larger protein complex. PSA also interacts with substrates like fibronectin and semenogelin which play roles in seminal coagulation and liquefaction. The expression of PSA in prostate tissue has made it a valuable biomarker for prostate function and pathological conditions.

Pathways

PSA is involved in the kallikrein-kinin system which influences inflammation and blood pressure regulation. PSA is not directly a part of key metabolic or signaling pathways but it is co-expressed with key proteins like androgen receptor (AR) which modulates PSA's expression. The interplay between androgens and PSA highlights its role in hormone regulation within the male reproductive system.

PSA levels serve as an indicator for prostate cancer and benign prostatic hyperplasia (BPH). Elevated PSA levels often correlate with prostate cancer although other prostate conditions such as prostatitis can also increase PSA without cancer. Proteins like PCA3 and the AR are also connected in the context of prostate cancer providing a broader understanding of PSA's role in these diseases.

Product protocols

For this product, it's our understanding that no specific protocols are required. You can visit:

Target data

Hydrolyzes semenogelin-1 thus leading to the liquefaction of the seminal coagulum.
See full target information KLK3

Product promise

We are committed to supporting your work with high-quality reagents, and we're here for you every step of the way. In the unlikely event that one of our products does not perform as expected, you're protected by our Product Promise.
For full details, please see our Terms & Conditions

Please note: All products are 'FOR RESEARCH USE ONLY. NOT FOR USE IN DIAGNOSTIC OR THERAPEUTIC PROCEDURES'.

For licensing inquiries, please contact partnerships@abcam.com