JavaScript is disabled in your browser. Please enable JavaScript to view this website.
AB215983

Anti-Prostate Specific Antigen antibody [EP1588Y] - Low endotoxin, Azide free

  • BOND RX™ Validated
  • Recombinant
  • Advanced Validation
  • RabMAb
  • What is this?

Be the first to review this product! Submit a review

|

(5 Publications)

Rabbit Recombinant Monoclonal Prostate Specific Antigen antibody. Carrier free. Suitable for IHC-P, WB, mIHC and reacts with Human samples. Cited in 5 publications.

View Alternative Names

APS, KLK3, Prostate-specific antigen, PSA, Gamma-seminoprotein, Kallikrein-3, P-30 antigen, Semenogelase, Seminin

2 Images
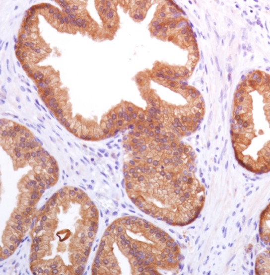
Immunohistochemistry (Formalin/PFA-fixed paraffin-embedded sections) - Anti-Prostate Specific Antigen antibody [EP1588Y] - Low endotoxin, Azide free (AB215983)
  • IHC-P

Unknown

Immunohistochemistry (Formalin/PFA-fixed paraffin-embedded sections) - Anti-Prostate Specific Antigen antibody [EP1588Y] - Low endotoxin, Azide free (AB215983)

This data was developed using ab76113, the same antibody clone in a different buffer formulation.
Immunohistochemistry (Formalin/PFA-fixed paraffin-embedded sections) analysis of human prostate cancer tissue sections labeling Prostate Specific Antigen with purified ab76113 at 1/1000 dilution (0.51 µg/mL). Heat mediated antigen retrieval using Bond™ Epitope Retrieval Solution 2 (pH 9.0) . Rabbit specific IHC polymer detection kit HRP/DAB (ab209101) was used as the secondary antibody. Negative control : PBS instead of the primary antibody. Hematoxylin was used as a counterstain.

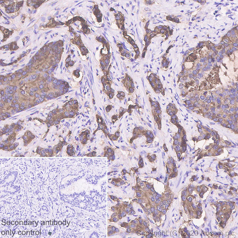
OI-RD Scanning - Anti-Prostate Specific Antigen antibody [EP1588Y] - Low endotoxin, Azide free (AB215983)
  • OI-RD Scanning

Unknown

OI-RD Scanning - Anti-Prostate Specific Antigen antibody [EP1588Y] - Low endotoxin, Azide free (AB215983)

We have systematically measured KD (the equilibrium dissociation constant between the antibody and its antigen), of more than 840 recombinant antibodies to assess not only their individual KD values but also to see the average affinity of antibody. Based on the comparison with published literature values for mouse monoclonal antibodies, Recombinant antibodies appear to be on average 1-2 order of magnitude higher affinity.

Key facts

Host species

Rabbit

Clonality

Monoclonal

Clone number

EP1588Y

Isotype

IgG

Carrier free

Yes

Reacts with

Human

Applications

IHC-P, mIHC, WB

applications

Immunogen

The exact immunogen used to generate this antibody is proprietary information.

Specificity

The antibody provided good results in western blot when tested in human prostate lysate. Unfortunately, when 22RV1 cell lysate was used no band was detected and inconsistent results were obtained with LNCaP cell lysate (where different lots of cell lysate were used for the test). Please contact our Scientific Support if you have any feedback and/or questions.

Reactivity data

{ "title": "Reactivity Data", "filters": { "stats": ["", "Species", "Dilution Info", "Notes"], "tabs": { "all-applications": {"fullname" : "All Applications", "shortname": "All Applications"}, "IHCP" : {"fullname" : "Immunohistochemistry (Formalin/PFA-fixed paraffin-embedded sections)", "shortname":"IHC-P"}, "WB" : {"fullname" : "Western blot", "shortname":"WB"}, "mIHC" : {"fullname" : "Multiplex immunohistochemistry", "shortname":"mIHC"} }, "product-promise": { "all": "all", "testedAndGuaranteed": "tested", "guaranteed": "expected", "predicted": "predicted", "notRecommended": "not-recommended" } }, "values": { "Human": { "IHCP-species-checked": "testedAndGuaranteed", "IHCP-species-dilution-info": "", "IHCP-species-notes": "<p></p>", "WB-species-checked": "testedAndGuaranteed", "WB-species-dilution-info": "", "WB-species-notes": "<p><strong>For unpurified use at 1/10,000 - 1/50,000</strong></p>", "mIHC-species-checked": "testedAndGuaranteed", "mIHC-species-dilution-info": "", "mIHC-species-notes": "<p></p>" } } }

Product details

ab215983 is the carrier-free version of ab76113.

Species reactivity
Mouse, Rat: We have preliminary internal testing data to indicate this antibody may not react with these species.
Please contact us for more information.

Patented technology
Our RabMAb® technology is a patented hybridoma-based technology for making rabbit monoclonal antibodies. For details on our patents, please refer to RabMAb® patents.

What are the advantages of a recombinant monoclonal antibody?
This product is a recombinant monoclonal antibody, which offers several advantages including:

  • - High batch-to-batch consistency and reproducibility
  • - Improved sensitivity and specificity
  • - Long-term security of supply
  • - Animal-free batch production

For more information, read more on recombinant antibodies.

Conjugation ready
Our carrier-free antibodies are typically supplied in a PBS-only formulation, purified and free of BSA, sodium azide and glycerol. This conjugation-ready format is designed for use with fluorochromes, metal isotopes, oligonucleotides, and enzymes, which makes them ideal for antibody labelling, functional and cell-based assays, flow-based assays (e.g. mass cytometry) and Multiplex Imaging applications.

Use our conjugation kits for antibody conjugates that are ready-to-use in as little as 20 minutes with 1 minute hands-on-time and 100% antibody recovery: available for fluorescent dyes, HRP, biotin and gold.

What does low endotoxin mean?
Our low endotoxin, azide-free formats have low endotoxin level (1 EU/mg, determined by the TAL assay) and are free from azide, to achieve consistent experimental results in functional assays.

Properties and storage information

Form
Liquid
Purification technique
Affinity purification Protein A
Storage buffer
pH: 7.2 - 7.4 Constituents: PBS
Shipped at conditions
Blue Ice
Appropriate short-term storage duration
1-2 weeks
Appropriate short-term storage conditions
+4°C
Appropriate long-term storage conditions
+4°C
Aliquoting information
Upon delivery aliquot
Storage information
Avoid freeze / thaw cycle

Supplementary information

This supplementary information is collated from multiple sources and compiled automatically.

Prostate Specific Antigen (PSA) also known as kallikrein-related peptidase 3 (KLK3) is a serine protease with a mass of approximately 28.4 kDa. PSA is primarily expressed in the epithelial cells of the prostate gland. This glycoprotein is an important component in the seminal fluid where it performs its proteolytic activity that liquefies semen facilitating sperm motility.
Biological function summary

PSA functions by cleaving the gel-forming proteins present in seminal coagulum. It does not operate as part of a larger protein complex. PSA also interacts with substrates like fibronectin and semenogelin which play roles in seminal coagulation and liquefaction. The expression of PSA in prostate tissue has made it a valuable biomarker for prostate function and pathological conditions.

Pathways

PSA is involved in the kallikrein-kinin system which influences inflammation and blood pressure regulation. PSA is not directly a part of key metabolic or signaling pathways but it is co-expressed with key proteins like androgen receptor (AR) which modulates PSA's expression. The interplay between androgens and PSA highlights its role in hormone regulation within the male reproductive system.

PSA levels serve as an indicator for prostate cancer and benign prostatic hyperplasia (BPH). Elevated PSA levels often correlate with prostate cancer although other prostate conditions such as prostatitis can also increase PSA without cancer. Proteins like PCA3 and the AR are also connected in the context of prostate cancer providing a broader understanding of PSA's role in these diseases.

Product protocols

For this product, it's our understanding that no specific protocols are required. You can visit:

Target data

Hydrolyzes semenogelin-1 thus leading to the liquefaction of the seminal coagulum.
See full target information KLK3

Publications (5)

Recent publications for all applications. Explore the full list and refine your search

PloS one 10:e0117744 PubMed25680117

2015

A microfluidic platform for high-throughput multiplexed protein quantitation.

Applications

Unspecified application

Species

Unspecified reactive species

Francesca Volpetti,Jose Garcia-Cordero,Sebastian J Maerkl

PloS one 9:e98786 PubMed24896103

2014

Characterization of desmoglein expression in the normal prostatic gland. Desmoglein 2 is an independent prognostic factor for aggressive prostate cancer.

Applications

Unspecified application

Species

Human

Alison G Barber,Mireia Castillo-Martin,Dennis M Bonal,Benjamin A Rybicki,Angela M Christiano,Carlos Cordon-Cardo

Clinical cancer research : an official journal of the American Association for Cancer Research 20:951-61 PubMed24352647

2013

Inhibition of protein kinase C/Twist1 signaling augments anticancer effects of androgen deprivation and enzalutamide in prostate cancer.

Applications

Unspecified application

Species

Unspecified reactive species

Masaki Shiota,Akira Yokomizo,Ario Takeuchi,Kenjiro Imada,Eiji Kashiwagi,YooHyun Song,Junichi Inokuchi,Katsunori Tatsugami,Takeshi Uchiumi,Seiji Naito

Carcinogenesis 33:1149-57 PubMed22431717

2012

Myb overexpression overrides androgen depletion-induced cell cycle arrest and apoptosis in prostate cancer cells, and confers aggressive malignant traits: potential role in castration resistance.

Applications

Unspecified application

Species

Unspecified reactive species

Sanjeev K Srivastava,Arun Bhardwaj,Seema Singh,Sumit Arora,Steven McClellan,William E Grizzle,Eddie Reed,Ajay P Singh

Anti-cancer drugs 21:423-32 PubMed20130467

2010

Effect of artemisinin derivatives on apoptosis and cell cycle in prostate cancer cells.

Applications

Unspecified application

Species

Unspecified reactive species

Colm Morrissey,Byron Gallis,Jeffrey W Solazzi,Byung Ju Kim,Roman Gulati,Funda Vakar-Lopez,David R Goodlett,Robert L Vessella,Tomikazu Sasaki
View all publications

Product promise

We are committed to supporting your work with high-quality reagents, and we're here for you every step of the way. In the unlikely event that one of our products does not perform as expected, you're protected by our Product Promise.
For full details, please see our Terms & Conditions

Please note: All products are 'FOR RESEARCH USE ONLY. NOT FOR USE IN DIAGNOSTIC OR THERAPEUTIC PROCEDURES'.

For licensing inquiries, please contact partnerships@abcam.com