JavaScript is disabled in your browser. Please enable JavaScript to view this website.
AB242191

Anti-Prostate Specific Antigen antibody [EPR22271-97] - BSA and Azide free (Capture)

Be the first to review this product! Submit a review

|

(0 Publication)

Rabbit Recombinant Monoclonal Prostate Specific Antigen antibody. Carrier free. Suitable for sELISA, IHC-P, ICC/IF, Flow Cyt (Intra) and reacts with Human, Rhesus monkey samples.

View Alternative Names

APS, KLK3, Prostate-specific antigen, PSA, Gamma-seminoprotein, Kallikrein-3, P-30 antigen, Semenogelase, Seminin

5 Images
Immunohistochemistry (Formalin/PFA-fixed paraffin-embedded sections) - Anti-Prostate Specific Antigen antibody [EPR22271-97] - BSA and Azide free (Capture) (AB242191)
  • IHC-P

Lab

Immunohistochemistry (Formalin/PFA-fixed paraffin-embedded sections) - Anti-Prostate Specific Antigen antibody [EPR22271-97] - BSA and Azide free (Capture) (AB242191)

Immunohistochemical analysis of paraffin-embedded Human skeletal muscle tissue labeling Prostate Specific Antigen with ab242191 at 1/1000 (0.996 µg/ml) dilution, followed by a ready to use LeicaDS9800 (Bond™ Polymer Refine Detection).

Negative control : no staining on the human skeletal muscle. The section was incubated with ab242191 for 30 mins at room temperature.
The immunostaining was performed on a Leica Biosystems BOND® RX instrument

Counterstained with Hematoxylin.

Secondary antibody only control : Ready to use LeicaDS9800 (Bond™ Polymer Refine Detection).

Heat mediated antigen retrieval was performed with Tris-EDTA buffer (pH 9.0, Epitope Retrieval Solution2) for 20 mins.

Immunocytochemistry/ Immunofluorescence - Anti-Prostate Specific Antigen antibody [EPR22271-97] - BSA and Azide free (Capture) (AB242191)
  • ICC/IF

Lab

Immunocytochemistry/ Immunofluorescence - Anti-Prostate Specific Antigen antibody [EPR22271-97] - BSA and Azide free (Capture) (AB242191)

Immunofluorescent analysis of 4% Paraformaldehyde-fixed, 0.1% TritonX-100 permeabilized LNCaP(human prostate carcinoma epithelial cell) cells labelling Prostate Specific Antigen with ab242191 at 1/100 (9.96 µg/ml) dilution followed by a ab150081 Goat Anti-Rabbit IgG H&L (Alexa Fluor® 488) preadsorbed at a 1/1000 (2 µg) dilution (Green).

Confocal image showing cytoplasmic staining in LNCaP cell line (shown in green). The counterstain was observed in magenta. Nuclear DNA was labelled with DAPI (shown in blue).
Low expression : PC-3.
Image was taken with a confocal microscope (Leica-Microsystems, TCS SP8).

ab195889 Anti-alpha Tubulin mouse monoclonal antibody - Microtubule Marker (Alexa Fluor® 594) was used to counterstain tubulin at 1/200 (2.5µg/ml) dilution (Magenta). The Nuclear counterstain was DAPI (Blue).

Secondary antibody only control : ab150081 Goat Anti-Rabbit IgG H&L (Alexa Fluor® 488) preadsorbed at a 1/1000 (2 µg) dilution.

Flow Cytometry (Intracellular) - Anti-Prostate Specific Antigen antibody [EPR22271-97] - BSA and Azide free (Capture) (AB242191)
  • Flow Cyt (Intra)

Lab

Flow Cytometry (Intracellular) - Anti-Prostate Specific Antigen antibody [EPR22271-97] - BSA and Azide free (Capture) (AB242191)

Flow cytometric analysis of 4% paraformaldehyde fixed 90% methanol permeabilized LNCaP (human prostate carcinoma epithelial cell) (Right) / PC-3 (human prostate adenocarcinoma epithelial cell) (Left) cells labelling Prostate Specific Antigen with ab242191 at 1/500 dilution (0.1µg) followed by a Goat Anti-Rabbit IgG (Alexa Fluor® 488, ab150081) at a 1/5000 dilution (Red) compared with a Rabbit monoclonal IgG (ab172730) (Black) isotype control and an unlabelled control (cells without incubation with primary antibody and secondary antibody) (Blue).

Low expression : PC-3.

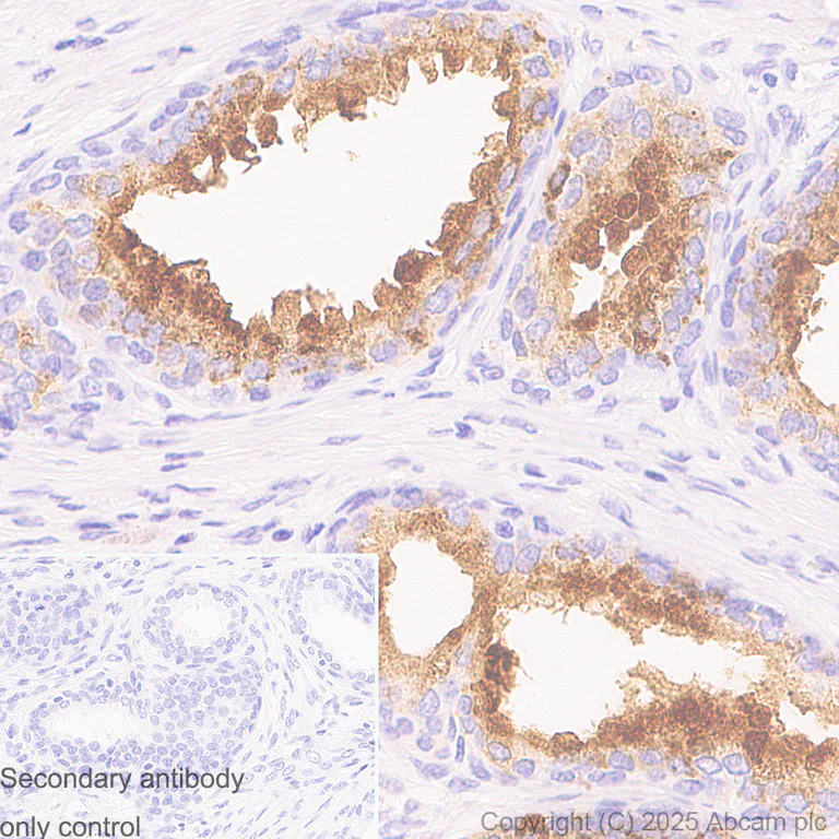
Immunohistochemistry (Formalin/PFA-fixed paraffin-embedded sections) - Anti-Prostate Specific Antigen antibody [EPR22271-97] - BSA and Azide free (Capture) (AB242191)
  • IHC-P

Lab

Immunohistochemistry (Formalin/PFA-fixed paraffin-embedded sections) - Anti-Prostate Specific Antigen antibody [EPR22271-97] - BSA and Azide free (Capture) (AB242191)

Immunohistochemical analysis of paraffin-embedded Human prostatic hyperplasia tissue labeling Prostate Specific Antigen with ab242191 at 1/1000 (0.996 µg/ml) dilution, followed by a ready to use LeicaDS9800 (Bond™ Polymer Refine Detection).

Positive staining on the human prostatic hyperplasia. The section was incubated with ab242191 for 30 mins at room temperature.
The immunostaining was performed on a Leica Biosystems BOND® RX instrument

Counterstained with Hematoxylin.

Secondary antibody only control : Ready to use LeicaDS9800 (Bond™ Polymer Refine Detection).

Heat mediated antigen retrieval was performed with Tris-EDTA buffer (pH 9.0, Epitope Retrieval Solution2) for 20 mins.

Sandwich ELISA - Anti-Prostate Specific Antigen antibody [EPR22271-97] - BSA and Azide free (Capture) (AB242191)
  • sELISA

Supplier Data

Sandwich ELISA - Anti-Prostate Specific Antigen antibody [EPR22271-97] - BSA and Azide free (Capture) (AB242191)

Representative standard curve from corresponding SimpleStep ELISA® Kit (ab264615).

Key facts

Host species

Rabbit

Clonality

Monoclonal

Clone number

EPR22271-97

Isotype

IgG

Carrier free

Yes

Reacts with

Rhesus monkey, Human

Applications

IHC-P, Flow Cyt (Intra), ICC/IF, sELISA

applications

Immunogen

The exact immunogen used to generate this antibody is proprietary information.

Reactivity data

{ "title": "Reactivity Data", "filters": { "stats": ["", "Species", "Dilution Info", "Notes"], "tabs": { "all-applications": {"fullname" : "All Applications", "shortname": "All Applications"}, "sELISA" : {"fullname" : "Sandwich ELISA", "shortname":"sELISA"}, "IHCP" : {"fullname" : "Immunohistochemistry (Formalin/PFA-fixed paraffin-embedded sections)", "shortname":"IHC-P"}, "ICCIF" : {"fullname" : "Immunocytochemistry/ Immunofluorescence", "shortname":"ICC/IF"}, "FlowCytIntra" : {"fullname" : "Flow Cytometry (Intracellular)", "shortname":"Flow Cyt (Intra)"}, "WB" : {"fullname" : "Western blot", "shortname":"WB"} }, "product-promise": { "all": "all", "testedAndGuaranteed": "tested", "guaranteed": "expected", "predicted": "predicted", "notRecommended": "not-recommended" } }, "values": { "Human": { "sELISA-species-checked": "guaranteed", "sELISA-species-dilution-info": "", "sELISA-species-notes": "<p></p>", "IHCP-species-checked": "testedAndGuaranteed", "IHCP-species-dilution-info": "", "IHCP-species-notes": "<p></p>", "ICCIF-species-checked": "testedAndGuaranteed", "ICCIF-species-dilution-info": "", "ICCIF-species-notes": "<p></p>", "FlowCytIntra-species-checked": "testedAndGuaranteed", "FlowCytIntra-species-dilution-info": "", "FlowCytIntra-species-notes": "<p></p>", "WB-species-checked": "notRecommended", "WB-species-dilution-info": "", "WB-species-notes": "<p></p>" }, "Mouse": { "sELISA-species-checked": "notRecommended", "sELISA-species-dilution-info": "", "sELISA-species-notes": "", "IHCP-species-checked": "notRecommended", "IHCP-species-dilution-info": "", "IHCP-species-notes": "", "ICCIF-species-checked": "notRecommended", "ICCIF-species-dilution-info": "", "ICCIF-species-notes": "", "FlowCytIntra-species-checked": "notRecommended", "FlowCytIntra-species-dilution-info": "", "FlowCytIntra-species-notes": "", "WB-species-checked": "notRecommended", "WB-species-dilution-info": "", "WB-species-notes": "<p></p>" }, "Rat": { "sELISA-species-checked": "notRecommended", "sELISA-species-dilution-info": "", "sELISA-species-notes": "", "IHCP-species-checked": "notRecommended", "IHCP-species-dilution-info": "", "IHCP-species-notes": "", "ICCIF-species-checked": "notRecommended", "ICCIF-species-dilution-info": "", "ICCIF-species-notes": "", "FlowCytIntra-species-checked": "notRecommended", "FlowCytIntra-species-dilution-info": "", "FlowCytIntra-species-notes": "", "WB-species-checked": "notRecommended", "WB-species-dilution-info": "", "WB-species-notes": "<p></p>" }, "Rhesus monkey": { "sELISA-species-checked": "guaranteed", "sELISA-species-dilution-info": "", "sELISA-species-notes": "<p></p>", "IHCP-species-checked": "predicted", "IHCP-species-dilution-info": "", "IHCP-species-notes": "", "ICCIF-species-checked": "predicted", "ICCIF-species-dilution-info": "", "ICCIF-species-notes": "", "FlowCytIntra-species-checked": "predicted", "FlowCytIntra-species-dilution-info": "", "FlowCytIntra-species-notes": "", "WB-species-checked": "notRecommended", "WB-species-dilution-info": "", "WB-species-notes": "" } } }

Product details

ab242191 is a BSA and Azide Free antibody supplied in an unconjugated format and it is suitable for sandwich ELISAs to quantify Human Total PSA. The recommended pair for sandwich ELISA is:
Capture: ab242191, Human Total PSA Capture Antibody (unconjugated)
Detector: ab242192, Human Total PSA Detector Antibody (unconjugated)
The reference range value is 226.6 - 14500 pg/ml.

Patented technology
Our RabMAb® technology is a patented hybridoma-based technology for making rabbit monoclonal antibodies. For details on our patents, please refer to RabMAb® patents.

What are the advantages of a recombinant monoclonal antibody?
This product is a recombinant monoclonal antibody, which offers several advantages including:

  • - High batch-to-batch consistency and reproducibility
  • - Improved sensitivity and specificity
  • - Long-term security of supply
  • - Animal-free batch production

For more information, read more on recombinant antibodies.

Conjugation ready
Our carrier-free antibodies are typically supplied in a PBS-only formulation, purified and free of BSA, sodium azide and glycerol. This conjugation-ready format is designed for use with fluorochromes, metal isotopes, oligonucleotides, and enzymes, which makes them ideal for antibody labelling, functional and cell-based assays, flow-based assays (e.g. mass cytometry) and Multiplex Imaging applications.

Use our conjugation kits for antibody conjugates that are ready-to-use in as little as 20 minutes with 1 minute hands-on-time and 100% antibody recovery: available for fluorescent dyes, HRP, biotin and gold.

Sandwich ELISA
The recommended antibody orientation is based on internal optimization for ELISA-based assays. Antibody orientation is assay dependent and needs to be optimized for each assay type. Please note that the range provided for this antibody is only an estimation based on the performance of the product using the recommended antibody pair. Performance of the antibody pair will depend on the specific characteristics of your assay. We guarantee the product works in sandwich ELISA, but we do not guarantee the sensitivity or dynamic range of the antibody in your assay.

Properties and storage information

Form
Liquid
Purification technique
Affinity purification Protein A
Storage buffer
Constituents: PBS
Shipped at conditions
Blue Ice
Appropriate short-term storage conditions
+4°C
Appropriate long-term storage conditions
+4°C

Supplementary information

This supplementary information is collated from multiple sources and compiled automatically.

Prostate Specific Antigen (PSA) also known as kallikrein-related peptidase 3 (KLK3) is a serine protease with a mass of approximately 28.4 kDa. PSA is primarily expressed in the epithelial cells of the prostate gland. This glycoprotein is an important component in the seminal fluid where it performs its proteolytic activity that liquefies semen facilitating sperm motility.
Biological function summary

PSA functions by cleaving the gel-forming proteins present in seminal coagulum. It does not operate as part of a larger protein complex. PSA also interacts with substrates like fibronectin and semenogelin which play roles in seminal coagulation and liquefaction. The expression of PSA in prostate tissue has made it a valuable biomarker for prostate function and pathological conditions.

Pathways

PSA is involved in the kallikrein-kinin system which influences inflammation and blood pressure regulation. PSA is not directly a part of key metabolic or signaling pathways but it is co-expressed with key proteins like androgen receptor (AR) which modulates PSA's expression. The interplay between androgens and PSA highlights its role in hormone regulation within the male reproductive system.

PSA levels serve as an indicator for prostate cancer and benign prostatic hyperplasia (BPH). Elevated PSA levels often correlate with prostate cancer although other prostate conditions such as prostatitis can also increase PSA without cancer. Proteins like PCA3 and the AR are also connected in the context of prostate cancer providing a broader understanding of PSA's role in these diseases.

Product protocols

For this product, it's our understanding that no specific protocols are required. You can visit:

Target data

Hydrolyzes semenogelin-1 thus leading to the liquefaction of the seminal coagulum.
See full target information KLK3

Product promise

We are committed to supporting your work with high-quality reagents, and we're here for you every step of the way. In the unlikely event that one of our products does not perform as expected, you're protected by our Product Promise.
For full details, please see our Terms & Conditions

Please note: All products are 'FOR RESEARCH USE ONLY. NOT FOR USE IN DIAGNOSTIC OR THERAPEUTIC PROCEDURES'.

For licensing inquiries, please contact partnerships@abcam.com