JavaScript is disabled in your browser. Please enable JavaScript to view this website.
AB90716

Anti-Prosurfactant Protein C antibody

4

(12 Reviews)

|

(126 Publications)

Anti-Prosurfactant Protein C antibody (ab90716) is a rabbit polyclonal antibody detecting Prosurfactant Protein C in Western Blot, IP, IHC-P, ICC/IF. Suitable for Human, Mouse.

- Over 90 publications
- Trusted since 2010

View Alternative Names

SFTP2, SFTPC, Surfactant protein C, SP-C, Pulmonary surfactant-associated protein C, Pulmonary surfactant-associated proteolipid SPL(Val), SP5

9 Images
Immunocytochemistry/ Immunofluorescence - Anti-Prosurfactant Protein C antibody (AB90716)
  • ICC/IF

Lab

Immunocytochemistry/ Immunofluorescence - Anti-Prosurfactant Protein C antibody (AB90716)

ab90716 staining Prosurfactant Protein C in A549 cells. The cells were fixed with 100% methanol (5 min), permeabilized with 0.1% PBS-Tween for 5 minutes and then blocked with 1% BSA/10% normal goat serum/0.3M glycine in 0.1%PBS-Tween for 1h. The cells were then incubated overnight at 4°C with ab90716 at 1μg/ml and ab7291, Mouse monoclonal [DM1A] to alpha Tubulin - Loading Control. Cells were then incubated with ab150081, Goat polyclonal Secondary Antibody to Rabbit IgG - H&L (Alexa Fluor® 488), pre-adsorbed at 1/1000 dilution (shown in green) and ab150120, Goat polyclonal Secondary Antibody to Mouse IgG - H&L (Alexa Fluor® 594), pre-adsorbed at 1/1000 dilution (shown in pseudocolour red). Nuclear DNA was labelled with DAPI (shown in blue).

Also suitable in cells fixed with 4% paraformaldehyde (10 min).

Image was acquired with a high-content analyser (Operetta CLS, Perkin Elmer) and a maximum intensity projection of confocal sections is shown.

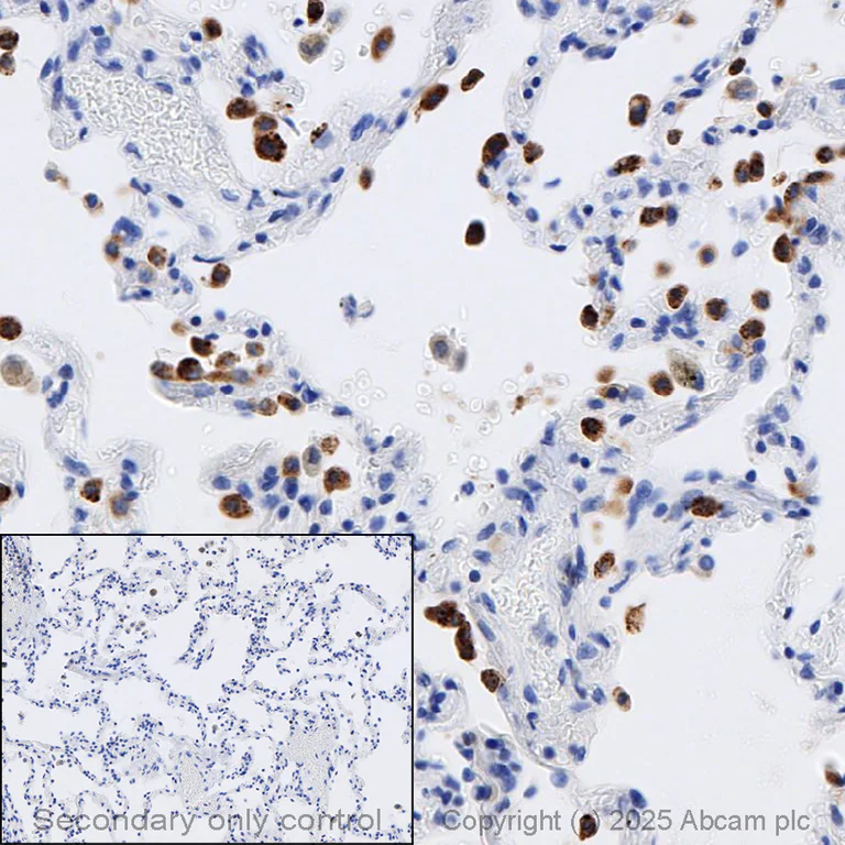
Immunohistochemistry (Formalin/PFA-fixed paraffin-embedded sections) - Anti-Prosurfactant Protein C antibody (AB90716)
  • IHC-P

Lab

Immunohistochemistry (Formalin/PFA-fixed paraffin-embedded sections) - Anti-Prosurfactant Protein C antibody (AB90716)

Immunohistochemical analysis of formalin fixed paraffin embedded human lung labelling prosurfactant rotein C with ab90716 at a concentration of 0.1µg/ml. The immunostaining was performed on a Ventana DISCOVERY ULTRA (Roche Tissue Diagnostics) instrument with a OptiView DAB IHC Detection Kit. Heat mediated antigen retrieval was performed with DISCOVERY cell conditioning solution (CC1) 100°C, pH8.5 for 32mins. ab90716 Anti-Prosurfactant Protein C antibody was incubated for 16mins at 37°C. Sections were counterstained with Hematoxylin II. Image inset shows absence of staining in secondary antibody only control.

Customers are encouraged to optimise antigen retrieval conditions, antibody concentration, incubation times and temperature for best results in their own IHC assay workflow (automated and manual).

Immunohistochemistry (Formalin/PFA-fixed paraffin-embedded sections) - Anti-Prosurfactant Protein C antibody (AB90716)
  • IHC-P

Lab

Immunohistochemistry (Formalin/PFA-fixed paraffin-embedded sections) - Anti-Prosurfactant Protein C antibody (AB90716)

IHC image of Prosurfactant Protein C staining in a section of formalin-fixed paraffin-embedded normal human lung performed on a Leica BONDTM system using the standard protocol F. The section was pre-treated using heat mediated antigen retrieval with sodium citrate buffer (pH6, epitope retrieval solution 1) for 20mins. The section was then incubated with ab90716, 1ug/ml, for 15 mins at room temperature and detected using an HRP conjugated compact polymer system. DAB was used as the chromogen. The section was then counterstained with haematoxylin and mounted with DPX.

For other IHC staining systems (automated and non-automated) customers should optimize variable parameters such as antigen retrieval conditions, primary antibody concentration and antibody incubation times.

Immunoprecipitation - Anti-Prosurfactant Protein C antibody (AB90716)
  • IP

Unknown

Immunoprecipitation - Anti-Prosurfactant Protein C antibody (AB90716)

Prosurfactant Protein C was immunoprecipitated using 0.5mg Mouse Lung tissue, 5μg of Rabbit polyclonal to Prosurfactant Protein C and 50μl of protein G magnetic beads (+). No antibody was added to the control (-).

The antibody was incubated under agitation with Protein G beads for 10min, Mouse Lung tissue lysate diluted in RIPA buffer was added to each sample and incubated for a further 10min under agitation.

Proteins were eluted by addition of 40μl SDS loading buffer and incubated for 10min at 70°C; 10μl of each sample was separated on a SDS PAGE gel, transferred to a nitrocellulose membrane, blocked with 5% BSA and probed with ab90716.

Secondary : Mouse monoclonal [SB62a] Secondary Antibody to Rabbit IgG light chain (HRP) (ab99697).

Band : 23kDa; Prosurfactant Protein C

All lanes:

Immunoprecipitation - Anti-Prosurfactant Protein C antibody (ab90716)

Predicted band size: 21 kDa

true

Exposure time: 20min

Western blot - Anti-Prosurfactant Protein C antibody (AB90716)
  • WB

Lab

Western blot - Anti-Prosurfactant Protein C antibody (AB90716)

Blocking and diluting buffer and concentration : 5% NFDM/TBST.

In Western blot, Anti-GAPDH antibody [EPR16891] - Loading Control (ab181602).

In Western blot, Anti-6X His tag® antibody [AD1.1.10] - Loading Control (ab15149).

All lanes:

Western blot - Anti-Prosurfactant Protein C antibody (ab90716) at 1/1000 dilution

Lane 1:

293T (human embryonic kidney epithelial cell) transfected with an empty vector containing a His-tag, whole cell lysate at 20 µg

Lane 2:

293T transfected with a human SFTPC expression vector containing a His-tag, whole cell lysate at 20 µg

Lane 3:

293T transfected with a mouse SFTPC expression vector containing a His-tag, whole cell lysate at 20 µg

Secondary

All lanes:

Western blot - Goat Anti-Rabbit IgG H&L (HRP) (<a href='/en-us/products/secondary-antibodies/goat-rabbit-igg-h-l-hrp-ab97051'>ab97051</a>) at 1/100000 dilution

Observed band size: 21 kDa

false

Exposure time: 4s

Western blot - Anti-Prosurfactant Protein C antibody (AB90716)
  • WB

Unknown

Western blot - Anti-Prosurfactant Protein C antibody (AB90716)

All lanes:

Western blot - Anti-Prosurfactant Protein C antibody (ab90716) at 1 µg/mL

Lane 1:

Lung (Human) Tissue Lysate at 10 µg

Lane 2:

Lung (Mouse) Tissue Lysate at 10 µg

Secondary

All lanes:

Western blot - Goat Anti-Rabbit IgG H&L (HRP) preadsorbed (<a href='/en-us/products/secondary-antibodies/goat-rabbit-igg-h-l-hrp-preadsorbed-ab97080'>ab97080</a>) at 1/5000 dilution

Predicted band size: 21 kDa

Observed band size: 25 kDa,28 kDa,90 kDa

true

Exposure time: 3min

Flow Cytometry (Intracellular) - Anti-Prosurfactant Protein C antibody (AB90716)
  • Flow Cyt (Intra)

Lab

Flow Cytometry (Intracellular) - Anti-Prosurfactant Protein C antibody (AB90716)

Flow cytometry (intracellular) analysis of transfected 293T cells. Cells were fixed with 4% PFA for 10 minutes and permeabilised with 90% methanol before staining for SFTPC in 293T cells transfected with a human SFTPC expression vector containing a myc-His-tag® using antibody ab90716 at a 1/1000 dilution (1 μg/ml) (middle panel). Staining was compared with 293T cells transfected with an empty expression vector containing a myc‑His‑tag® (right panel) and with an isotype control, rabbit monoclonal IgG (ab172730) (left panel). Goat anti‑rabbit IgG (Alexa Fluor® 488, ab150081) was used as the secondary antibody at a 1/5000 dilution.

Flow Cytometry (Intracellular) - Anti-Prosurfactant Protein C antibody (AB90716)
  • Flow Cyt (Intra)

Lab

Flow Cytometry (Intracellular) - Anti-Prosurfactant Protein C antibody (AB90716)

Flow cytometry (intracellular) analysis of transfected 293T cells. Cells were fixed with 4% PFA for 10 minutes and permeabilised with 90% methanol before staining for SFTPC in 293T cells transfected with a mouse SFTPC expression vector containing a myc-His-tag® using antibody ab90716 at a 1/1000 dilution (1 μg/ml) (middle panel). Staining was compared with 293T cells transfected with an empty expression vector containing a myc‑His‑tag® (right panel) and with an isotype control, rabbit monoclonal IgG (ab172730) (left panel). Goat anti‑rabbit IgG (Alexa Fluor® 488, ab150081) was used as the secondary antibody at a 1/5000 dilution.

Western blot - Anti-Prosurfactant Protein C antibody (AB90716)
  • WB

Lab

Western blot - Anti-Prosurfactant Protein C antibody (AB90716)

All lanes:

Western blot - Anti-Prosurfactant Protein C antibody (ab90716) at 1 µg/mL

All lanes:

Lung (Human) Tissue Lysate at 10 µg

Secondary

All lanes:

Goat Anti-Rabbit IgG H&L (HRP) preadsorbed at 1/50000 dilution

Predicted band size: 21 kDa

Observed band size: 25 kDa,28 kDa,45 kDa

true

Exposure time: 2min

Key facts

Host species

Rabbit

Clonality

Polyclonal

Isotype

IgG

Carrier free

No

Reacts with

Mouse, Human

Applications

WB, Flow Cyt (Intra), IHC-P, IP, ICC/IF

applications

Immunogen

The exact immunogen used to generate this antibody is proprietary information.

Specificity

From Mar 2024, QC testing of replenishment batches of this polyclonal changed. All tested and expected application and reactive species combinations are still covered by our Abcam product promise. However, we no longer test all applications. For more information on a specific batch, please contact our Scientific Support who will be happy to help. You may also be interested in our alternative recombinant antibody, ab211326.

Reactivity data

{ "title": "Reactivity Data", "filters": { "stats": ["", "Species", "Dilution Info", "Notes"], "tabs": { "all-applications": {"fullname" : "All Applications", "shortname": "All Applications"}, "IHCP" : {"fullname" : "Immunohistochemistry (Formalin/PFA-fixed paraffin-embedded sections)", "shortname":"IHC-P"}, "IP" : {"fullname" : "Immunoprecipitation", "shortname":"IP"}, "ICCIF" : {"fullname" : "Immunocytochemistry/ Immunofluorescence", "shortname":"ICC/IF"}, "FlowCytIntra" : {"fullname" : "Flow Cytometry (Intracellular)", "shortname":"Flow Cyt (Intra)"}, "WB" : {"fullname" : "Western blot", "shortname":"WB"} }, "product-promise": { "all": "all", "testedAndGuaranteed": "tested", "guaranteed": "expected", "predicted": "predicted", "notRecommended": "not-recommended" } }, "values": { "Human": { "IHCP-species-checked": "testedAndGuaranteed", "IHCP-species-dilution-info": "1 µg/mL", "IHCP-species-notes": "<p></p>", "IP-species-checked": "guaranteed", "IP-species-dilution-info": "", "IP-species-notes": "", "ICCIF-species-checked": "guaranteed", "ICCIF-species-dilution-info": "1 µg/mL", "ICCIF-species-notes": "<p></p>", "FlowCytIntra-species-checked": "testedAndGuaranteed", "FlowCytIntra-species-dilution-info": "1/10000", "FlowCytIntra-species-notes": "<p></p>", "WB-species-checked": "testedAndGuaranteed", "WB-species-dilution-info": "1/1000", "WB-species-notes": "<p></p>" }, "Mouse": { "IHCP-species-checked": "guaranteed", "IHCP-species-dilution-info": "", "IHCP-species-notes": "", "IP-species-checked": "testedAndGuaranteed", "IP-species-dilution-info": "5 µg/mL", "IP-species-notes": "<p></p>", "ICCIF-species-checked": "guaranteed", "ICCIF-species-dilution-info": "1 µg/mL", "ICCIF-species-notes": "<p></p>", "FlowCytIntra-species-checked": "testedAndGuaranteed", "FlowCytIntra-species-dilution-info": "1/10000", "FlowCytIntra-species-notes": "<p></p>", "WB-species-checked": "testedAndGuaranteed", "WB-species-dilution-info": "1/1000", "WB-species-notes": "<p></p>" }, "Rhesus monkey": { "IHCP-species-checked": "predicted", "IHCP-species-dilution-info": "", "IHCP-species-notes": "", "IP-species-checked": "predicted", "IP-species-dilution-info": "", "IP-species-notes": "", "ICCIF-species-checked": "predicted", "ICCIF-species-dilution-info": "", "ICCIF-species-notes": "", "FlowCytIntra-species-checked": "predicted", "FlowCytIntra-species-dilution-info": "", "FlowCytIntra-species-notes": "", "WB-species-checked": "predicted", "WB-species-dilution-info": "", "WB-species-notes": "" } } }

Product details

Product Specifications
Anti-Prosurfactant Protein C antibody (ab90716) is a rabbit polyclonal antibody and is validated for use in ICC/IF, IHC-P, IP, WB in human, mouse samples.
Anti-Prosurfactant Protein C antibody (ab90716) specifically detects Prosurfactant Protein C (UniProt ID: P11686; Molecular weight: 4kDa) and is sold in 100 µg selling sizes.

Quality and Validation
Abcam's high quality validation processes ensure Anti-Prosurfactant Protein C antibody (ab90716) has high sensitivity and specificity.
Anti-Prosurfactant Protein C antibody (ab90716) has been cited over 93 times in peer reviewed journals and is trusted by the scientific community.
Anti-Prosurfactant Protein C antibody (ab90716) has 11 independent reviews from customers.

Properties and storage information

Form
Liquid
Purification technique
Affinity purification Immunogen
Storage buffer
pH: 7.4 Preservative: 0.02% Sodium azide Constituents: PBS, 1% BSA
Shipped at conditions
Blue Ice
Appropriate short-term storage duration
1-2 weeks
Appropriate short-term storage conditions
+4°C
Appropriate long-term storage conditions
-20°C
Aliquoting information
Upon delivery aliquot
Storage information
Avoid freeze / thaw cycle

Supplementary information

This supplementary information is collated from multiple sources and compiled automatically.

Prosurfactant Protein C (Pro-SP-C) often referred to as SPC or by its abbreviated form SP-C is a hydrophobic peptide critical for lung function. This protein has a mass of approximately 21 kDa and is expressed prominently in the alveolar type II cells of the lung tissue. Beyond its full-length variant various pro forms such as proSP-C are studied for their roles during protein maturation and trafficking. These pro forms are essential for producing the mature functional SP-C a critical component of lung surfactant which reduces surface tension in alveoli and prevents lung collapse.
Biological function summary

In surfactant homeostasis Prosurfactant Protein C associates with surfactant protein complexes where it interacts with phospholipids like phosphatidylcholine to stabilize the alveolar structures. As part of this complex it aids in reducing surface tension at the air-liquid interface in the alveoli and contributes to the host defense system by fostering pathogen clearance and modulating inflammation. The intricate processing of Pro-SP-C into its mature form involves fucosylation and other post-translational modifications which are key for functional surfactant activity.

Pathways

The role of Prosurfactant Protein C is integral to the surfactant metabolism pathway affecting lung function and homeostasis. This pathway is important for proper respiratory mechanics and is closely linked to other surfactant proteins like SP-B and SP-D. These proteins work together within the lipid-protein matrix of the surfactant to ensure proper alveolar deflation and reinflation during respiration. Disruption within these pathways can have significant impact on lung health and respiratory physiology.

Mutations or dysfunctions in Prosurfactant Protein C are linked to interstitial lung diseases including pulmonary alveolar proteinosis and idiopathic pulmonary fibrosis. These conditions often result from misfolded proteins or improper surfactant metabolism leading to compromised lung function. Connections with disorders like these highlight interactions between Prosurfactant Protein C and C-reactive protein uncovering underlying inflammatory processes. Therapy and research often target these protein interactions and modifications as understanding them holds potential for strategic intervention in surfactant-related pathologies.

Product protocols

For this product, it's our understanding that no specific protocols are required. You can visit:

Target data

Pulmonary surfactant associated proteins promote alveolar stability by lowering the surface tension at the air-liquid interface in the peripheral air spaces.
See full target information SFTPC

Publications (126)

Recent publications for all applications. Explore the full list and refine your search

Nature communications 16:8295 PubMed40957887

2025

A mesothelial differentiation gateway drives fibrosis.

Applications

Unspecified application

Species

Unspecified reactive species

Safwen Kadri,Adrian Fischer,Martin Mück-Häusl,Wei Han,Amal Kadri,Yue Lin,Lin Yang,Shaoping Hu,Haifeng Ye,Pushkar Ramesh,Meshal Ansari,Herbert B Schiller,Hans-Günther Machens,Yuval Rinkevich

International journal of medical sciences 22:3477-3489 PubMed40860777

2025

NDUFS1 upregulates ENaCα by NAD+ to promote alveolar fluid clearance in acute lung injury.

Applications

Unspecified application

Species

Unspecified reactive species

Mengmeng Wang,Mengting Chen,Jianping Zhu,Yu Zhang,Jian Lu,Zhiying Yue,Zhengfeng Yang,Ruilan Wang

International journal of molecular sciences 26: PubMed40565035

2025

Peptidylarginine Deiminase 4 Deficiency Suppresses Neutrophil Extracellular Trap Formation and Ameliorates Elastase-Induced Emphysema in Mouse Lung.

Applications

Unspecified application

Species

Unspecified reactive species

Megumi Katsumata,Jun Ikari,Akira Urano,Eiko Suzuki,Kazuto Kugou,Yoshinori Hasegawa,Koichiro Tatsumi,Takuji Suzuki

Nature communications 16:4846 PubMed40413164

2025

Alveolar epithelial and vascular CXCR2 mediates transcytosis of CXCL1 in inflamed lungs.

Applications

Unspecified application

Species

Unspecified reactive species

Katharina Thomas,Jan Rossaint,Nadine Ludwig,Sina Mersmann,Niklas Kötting,Julia Grenzheuser,Lena Schemmelmann,Marina Oguama,Andreas Margraf,Helena Block,Katharina Henke,Katharina Hellenthal,Valbona Mirakaj,Volker Gerke,Uwe Hansen,Karin Gäher,Miguel Engelhardt,Johannes Roth,Johannes Eble,Elin Hub,Antal Rot,Ronen Alon,Alexander Zarbock

Nature communications 16:3748 PubMed40258811

2025

Targeted immunotherapy rescues pulmonary fibrosis by reducing activated fibroblasts and regulating alveolar cell profile.

Applications

Unspecified application

Species

Unspecified reactive species

Jing Yan,Song-Yu Wang,Qi Su,Min-Wen Zou,Zi-Yue Zhou,Jian Shou,Yunlong Huo

Theranostics 15:4526-4549 PubMed40225577

2025

Targeting USP11 counteracts -associated interstitial lung disease in hiPSCs-derived alveolar organoids and in vivo models.

Applications

Unspecified application

Species

Unspecified reactive species

Janardhan Keshav Karapurkar,Sripriya Rajkumar,Ji-Hye Jung,Ji-Young Kim,Girish Birappa,D A Ayush Gowda,Jencia Carminha Colaco,Bharathi Suresh,Jung-Yun Choi,Sang Hyeon Woo,Won-Jun Jo,Jong-Hee Lee,Kye-Seong Kim,Seok-Ho Hong,Suresh Ramakrishna

Respiratory research 26:111 PubMed40121473

2025

Alveolar epithelial type 2 cell specific loss of IGFBP2 activates inflammation in COVID-19.

Applications

Unspecified application

Species

Unspecified reactive species

Valentina Pujadas,Chiahsuan Chin,Narendra V Sankpal,James Buhrmaster,Ashwini Arjuna,Rajat Walia,Michael A Smith,Oliver Eickelberg,Ross M Bremner,Thalachallour Mohanakumar,Angara Sureshbabu

The Journal of clinical investigation 135: PubMed40100323

2025

Reactivation of CTLA4-expressing T cells accelerates resolution of lung fibrosis in a humanized mouse model.

Applications

Unspecified application

Species

Unspecified reactive species

Santosh Yadav,Muralidharan Anbalagan,Shamima Khatun,Devadharshini Prabhakaran,Yasuka Matsunaga,Justin Manges,James B McLachlan,Joseph A Lasky,Jay Kolls,Victor J Thannickal

EBioMedicine 113:105626 PubMed40023045

2025

Bi-allelic LAMP3 variants in childhood interstitial lung disease: a surfactant-related disease.

Applications

Unspecified application

Species

Unspecified reactive species

Camille Louvrier,Tifenn Desroziers,Yohan Soreze,Martha Delgado Rodriguez,Lucie Thomas,Valérie Nau,Florence Dastot-Le Moal,Jonathan A Bernstein,F Sessions Cole,Markus Damme,Anthony Fischer,Matthias Griese,Daniel Hinds,Laura Keehan,Carlos Milla,Hadhud Mohammad,Jonathan Rips,Jennifer A Wambach,Daniel J Wegner,Serge Amselem,Marie Legendre,Irina Giurgea,Sonia Athina Karabina,Oded Breuer,Aurore Coulomb l'Herminé,Nadia Nathan

Frontiers in pharmacology 15:1516111 PubMed39744137

2025

PM2.5-induced oxidative stress upregulates PLA2R expression in the lung and is involved in the pathogenesis of membranous nephropathy through extracellular vesicles.

Applications

Unspecified application

Species

Unspecified reactive species

Wang Zhang,Jiating Chen,Ye Yuan,Jiao Luo,Zhanmei Zhou,Guobao Wang
View all publications

Product promise

We are committed to supporting your work with high-quality reagents, and we're here for you every step of the way. In the unlikely event that one of our products does not perform as expected, you're protected by our Product Promise.
For full details, please see our Terms & Conditions

Please note: All products are 'FOR RESEARCH USE ONLY. NOT FOR USE IN DIAGNOSTIC OR THERAPEUTIC PROCEDURES'.

For licensing inquiries, please contact partnerships@abcam.com