JavaScript is disabled in your browser. Please enable JavaScript to view this website.
AB322443

Anti-Prosurfactant Protein C antibody [RM1264]

  • 20ul selling size
  • BOND RX™ Validated
  • RabMAb
  • Recombinant
  • What is this?

Be the first to review this product! Submit a review

|

(0 Publication)

Rabbit Recombinant Multiclonal Prosurfactant Protein C antibody. Suitable for WB, Flow Cyt (Intra), ICC/IF, IHC-P, IP, IHC-Fr and reacts with Transfected cell lysate - Mouse, Transfected cell lysate - Human, Human, Mouse, Transfected cell line - Mouse, Transfected cell line - Human, Rat samples.

View Alternative Names

Sftp2, Sftpc, Surfactant protein C, SP-C, Pulmonary surfactant-associated protein C, Pulmonary surfactant-associated proteolipid SPL(Val), SP5

16 Images
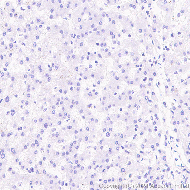
Immunohistochemistry (Formalin/PFA-fixed paraffin-embedded sections) - Anti-Prosurfactant Protein C antibody [RM1264] (AB322443)
  • IHC-P

Supplier Data

Immunohistochemistry (Formalin/PFA-fixed paraffin-embedded sections) - Anti-Prosurfactant Protein C antibody [RM1264] (AB322443)

Immunohistochemical analysis of paraffin-embedded Human liver tissue labeling Prosurfactant Protein C with ab322443 at 1/2000 (0.259 ug/ml) dilution, followed by a ready to use LeicaDS9800 (Bond™ Polymer Refine Detection).

Negative control : no staining on human liver. The section was incubated with ab322443 for 30 mins at room temperature.
The immunostaining was performed on a Leica Biosystems BOND® RX instrument

Counterstained with Hematoxylin.

Secondary antibody only control : Secondary antibody is a ready to use LeicaDS9800 (Bond™ Polymer Refine Detection).

Heat mediated antigen retrieval was performed with Tris-EDTA buffer (pH 9.0, Epitope Retrieval Solution2) for 20 mins

Immunohistochemistry (Formalin/PFA-fixed paraffin-embedded sections) - Anti-Prosurfactant Protein C antibody [RM1264] (AB322443)
  • IHC-P

Supplier Data

Immunohistochemistry (Formalin/PFA-fixed paraffin-embedded sections) - Anti-Prosurfactant Protein C antibody [RM1264] (AB322443)

Immunohistochemical analysis of paraffin-embedded Human lung tissue labeling Prosurfactant Protein C with ab322443 at 1/2000 (0.259 ug/ml) dilution, followed by a ready to use LeicaDS9800 (Bond™ Polymer Refine Detection).

Positive staining on human lung. The section was incubated with ab322443 for 30 mins at room temperature.
The immunostaining was performed on a Leica Biosystems BOND® RX instrument

Counterstained with Hematoxylin.

Secondary antibody only control : Secondary antibody is a ready to use LeicaDS9800 (Bond™ Polymer Refine Detection).

Heat mediated antigen retrieval was performed with Tris-EDTA buffer (pH 9.0, Epitope Retrieval Solution2) for 20 mins

Immunoprecipitation - Anti-Prosurfactant Protein C antibody [RM1264] (AB322443)
  • IP

Supplier Data

Immunoprecipitation - Anti-Prosurfactant Protein C antibody [RM1264] (AB322443)

Prosurfactant Protein C was immunoprecipitated from 0.35 mg Human lung tissue lysate with ab322443 at 1/30 dilution (2ug in 0.35mg lysates). Western blot was performed on the immunoprecipitate using ab322443 at 1000 dilution. VeriBlot for IP secondary antibody(HRP)(ab131366) was used at 1/5000 dilution.

Lane 1 : Human lung tissue lysate
Lane 2 : ab322443 IP in Human lung tissue lysate
Lane 3 : Rabbit monoclonal IgG (ab172730) instead of ab322443 in Human lung tissue lysate

Blocking and dilution buffer and concentration : 5% NFDM/TBST

All lanes:

Immunoprecipitation - Anti-Prosurfactant Protein C antibody [RM1264] (ab322443) at 1/30 dilution

All lanes:

Human lung tissue lysate

Secondary

All lanes:

Immunoprecipitation - VeriBlot for IP Detection Reagent (HRP) (<a href='/en-us/products/reagents/veriblot-for-ip-detection-reagent-hrp-ab131366'>ab131366</a>) at 1/5000 dilution

false

Exposure time: 6s

Immunohistochemistry (Frozen sections) - Anti-Prosurfactant Protein C antibody [RM1264] (AB322443)
  • IHC-Fr

Supplier Data

Immunohistochemistry (Frozen sections) - Anti-Prosurfactant Protein C antibody [RM1264] (AB322443)

Immunohistochemical analysis of 4% PFA-fixed, 0.2% Triton X-100 permeabilized frozen Mouse liver (fresh frozen) tissue labeling Prosurfactant Protein C with ab322443 at 1/500 (1.036 ug/ml) dilution followed by ab150081 Goat Anti-Rabbit IgG H&L (Alexa Fluor® 488) preadsorbed at 1/1000 2 ug/mL dilution (Green).

Negative control : confocal image showing no staining on mouse liver. The nuclear counterstain was DAPI (Blue). The section was incubated with ab322443 for 60 mins at room temperature. The section was then mounted using Fluoromount®.The immunostaining was performed on a Leica Biosystems BOND® RX instrument. Image was taken with a confocal microscope (Leica-Microsystems, TCS SP8).

Secondary antibody control : Secondary antibody is ab150081 Goat Anti-Rabbit IgG H&L (Alexa Fluor® 488) preadsorbed at 1/1000 2 ug/mL dilution.

Immunohistochemistry (Formalin/PFA-fixed paraffin-embedded sections) - Anti-Prosurfactant Protein C antibody [RM1264] (AB322443)
  • IHC-P

Supplier Data

Immunohistochemistry (Formalin/PFA-fixed paraffin-embedded sections) - Anti-Prosurfactant Protein C antibody [RM1264] (AB322443)

Immunohistochemical analysis of paraffin-embedded Rat liver tissue labeling Prosurfactant Protein C with ab322443 at 1/500 (1.036 ug/ml) dilution, followed by a ready to use LeicaDS9800 (Bond™ Polymer Refine Detection).

Negative control : no staining on rat liver. The section was incubated with ab322443 for 30 mins at room temperature.
The immunostaining was performed on a Leica Biosystems BOND® RX instrument

Counterstained with Hematoxylin.

Secondary antibody only control : Secondary antibody is a ready to use LeicaDS9800 (Bond™ Polymer Refine Detection).

Heat mediated antigen retrieval was performed with Tris-EDTA buffer (pH 9.0, Epitope Retrieval Solution2) for 20 mins

Immunohistochemistry (Frozen sections) - Anti-Prosurfactant Protein C antibody [RM1264] (AB322443)
  • IHC-Fr

Supplier Data

Immunohistochemistry (Frozen sections) - Anti-Prosurfactant Protein C antibody [RM1264] (AB322443)

Immunohistochemical analysis of 4% PFA-fixed, 0.2% Triton X-100 permeabilized frozen Mouse cerebrum (fresh frozen) tissue labeling Prosurfactant Protein C with ab322443 at 1/500 (1.036 ug/ml) dilution followed by ab150081 Goat Anti-Rabbit IgG H&L (Alexa Fluor® 488) preadsorbed at 1/1000 2 ug/mL dilution (Green).

Negative control : confocal image showing no staining on mouse cerebrum. The nuclear counterstain was DAPI (Blue). The section was incubated with ab322443 for 60 mins at room temperature. The section was then mounted using Fluoromount®.The immunostaining was performed on a Leica Biosystems BOND® RX instrument. Image was taken with a confocal microscope (Leica-Microsystems, TCS SP8).

Secondary antibody control : Secondary antibody is ab150081 Goat Anti-Rabbit IgG H&L (Alexa Fluor® 488) preadsorbed at 1/1000 2 ug/mL dilution.

Immunohistochemistry (Formalin/PFA-fixed paraffin-embedded sections) - Anti-Prosurfactant Protein C antibody [RM1264] (AB322443)
  • IHC-P

Supplier Data

Immunohistochemistry (Formalin/PFA-fixed paraffin-embedded sections) - Anti-Prosurfactant Protein C antibody [RM1264] (AB322443)

Immunohistochemical analysis of paraffin-embedded Mouse liver tissue labeling Prosurfactant Protein C with ab322443 at 1/2000 (0.259 ug/ml) dilution, followed by a ready to use LeicaDS9800 (Bond™ Polymer Refine Detection).

Negative control : no staining on mouse liver. The section was incubated with ab322443 for 30 mins at room temperature.
The immunostaining was performed on a Leica Biosystems BOND® RX instrument

Counterstained with Hematoxylin.

Secondary antibody only control : Secondary antibody is a ready to use LeicaDS9800 (Bond™ Polymer Refine Detection).

Heat mediated antigen retrieval was performed with Tris-EDTA buffer (pH 9.0, Epitope Retrieval Solution2) for 20 mins

Immunohistochemistry (Frozen sections) - Anti-Prosurfactant Protein C antibody [RM1264] (AB322443)
  • IHC-Fr

Supplier Data

Immunohistochemistry (Frozen sections) - Anti-Prosurfactant Protein C antibody [RM1264] (AB322443)

Immunohistochemical analysis of 4% PFA-fixed, 0.2% Triton X-100 permeabilized frozen Mouse lung (fresh frozen) tissue labeling Prosurfactant Protein C with ab322443 at 1/500 (1.036 ug/ml) dilution followed by ab150081 Goat Anti-Rabbit IgG H&L (Alexa Fluor® 488) preadsorbed at 1/1000 2 ug/mL dilution (Green).

Confocal image showing positive staining on mouse lung. The nuclear counterstain was DAPI (Blue). The section was incubated with ab322443 for 60 mins at room temperature. The section was then mounted using Fluoromount®.The immunostaining was performed on a Leica Biosystems BOND® RX instrument. Image was taken with a confocal microscope (Leica-Microsystems, TCS SP8).

Secondary antibody control : Secondary antibody is ab150081 Goat Anti-Rabbit IgG H&L (Alexa Fluor® 488) preadsorbed at 1/1000 2 ug/mL dilution.

Immunohistochemistry (Formalin/PFA-fixed paraffin-embedded sections) - Anti-Prosurfactant Protein C antibody [RM1264] (AB322443)
  • IHC-P

Supplier Data

Immunohistochemistry (Formalin/PFA-fixed paraffin-embedded sections) - Anti-Prosurfactant Protein C antibody [RM1264] (AB322443)

Immunohistochemical analysis of paraffin-embedded Rat lung tissue labeling Prosurfactant Protein C with ab322443 at 1/500 (1.036 ug/ml) dilution, followed by a ready to use LeicaDS9800 (Bond™ Polymer Refine Detection).

Positive staining on rat lung. The section was incubated with ab322443 for 30 mins at room temperature.
The immunostaining was performed on a Leica Biosystems BOND® RX instrument

Counterstained with Hematoxylin.

Secondary antibody only control : Secondary antibody is a ready to use LeicaDS9800 (Bond™ Polymer Refine Detection).

Heat mediated antigen retrieval was performed with Tris-EDTA buffer (pH 9.0, Epitope Retrieval Solution2) for 20 mins

Immunohistochemistry (Formalin/PFA-fixed paraffin-embedded sections) - Anti-Prosurfactant Protein C antibody [RM1264] (AB322443)
  • IHC-P

Supplier Data

Immunohistochemistry (Formalin/PFA-fixed paraffin-embedded sections) - Anti-Prosurfactant Protein C antibody [RM1264] (AB322443)

Immunohistochemical analysis of paraffin-embedded Mouse lung tissue labeling Prosurfactant Protein C with ab322443 at 1/2000 (0.259 ug/ml) dilution, followed by a ready to use LeicaDS9800 (Bond™ Polymer Refine Detection).

Positive staining on mouse lung. The section was incubated with ab322443 for 30 mins at room temperature.
The immunostaining was performed on a Leica Biosystems BOND® RX instrument

Counterstained with Hematoxylin.

Secondary antibody only control : Secondary antibody is a ready to use LeicaDS9800 (Bond™ Polymer Refine Detection).

Heat mediated antigen retrieval was performed with Tris-EDTA buffer (pH 9.0, Epitope Retrieval Solution2) for 20 mins

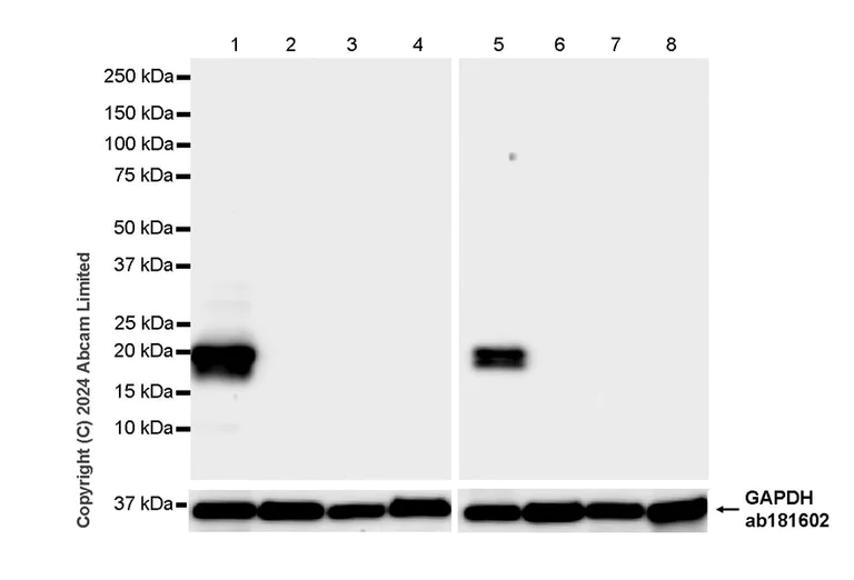
Western blot - Anti-Prosurfactant Protein C antibody [RM1264] (AB322443)
  • WB

Supplier Data

Western blot - Anti-Prosurfactant Protein C antibody [RM1264] (AB322443)

Blocking and diluting buffer and concentration : 5% NFDM/TBST.

Negative control : brain, liver, kidney, spleen.

The expression profile/molecular weight observed is consistent with what has been described in bibliography (PMID : 27770432).

In Western blot, Anti-GAPDH antibody [EPR16891] - Loading Control (ab181602) staining at 1/200000 dilution.

All lanes:

Western blot - Anti-Prosurfactant Protein C antibody [RM1264] (ab322443) at 1/1000 dilution

Lane 1:

Human lung tissue lysate at 20 µg

Lane 2:

Human cerebellum tissue lysate at 20 µg

Lane 3:

Human liver tissue lysate at 20 µg

Lane 4:

Human kidney tissue lysate at 20 µg

Lane 5:

Mouse lung tissue lysate at 20 µg

Lane 6:

Mouse brain tissue lysate at 20 µg

Lane 7:

Mouse liver tissue lysate at 20 µg

Lane 8:

Mouse spleen tissue lysate at 20 µg

Secondary

All lanes:

Western blot - Goat Anti-Rabbit IgG H&L (HRP) (<a href='/en-us/products/secondary-antibodies/goat-rabbit-igg-h-l-hrp-ab97051'>ab97051</a>) at 1/100000 dilution

Observed band size: 21 kDa,36 kDa

false

Exposure time: 15s

Immunocytochemistry/ Immunofluorescence - Anti-Prosurfactant Protein C antibody [RM1264] (AB322443)
  • ICC/IF

Lab

Immunocytochemistry/ Immunofluorescence - Anti-Prosurfactant Protein C antibody [RM1264] (AB322443)

Immunofluorescent analysis of 4% paraformaldehyde-fixed, 0.1% TritonX-100 permeabilized 293T (human embryonic kidney epithelial cell) transfected with an empty vector containing a Myc tag; 293T transfected with a human SFTPC containing a Myc tag cells labeling Prosurfactant Protein C with ab322443 at 1/500 dilution following ab150081 Goat Anti-Rabbit IgG H&L (Alexa Fluor® 488) preadsorbed at 1/1000 dilution (Green).

Confocal image showing membrane and cytoplasmic staining in 293T cells transfected with a human SFTPC containing a Myc tag (shown in green). The counterstain was observed in magenta. Nuclear DNA was labelled with DAPI (shown in blue). Image was taken with a confocal microscope (Leica-Microsystems, TCS SP8).

ab223894 Anti-Myc tag mouse monoclonal antibody (Alexa Fluor® 594) was used to counterstain at 1/100 dilution (Magenta).

Flow Cytometry (Intracellular) - Anti-Prosurfactant Protein C antibody [RM1264] (AB322443)
  • Flow Cyt (Intra)

Lab

Flow Cytometry (Intracellular) - Anti-Prosurfactant Protein C antibody [RM1264] (AB322443)

Flow cytometric analysis of 4% paraformaldehyde fixed 90% methanol permeabilized 293T cells transfected with a human SFTPC expression vector containing a myc-His-tag® (Middle); 293T cells transfected with an empty expression vector containing a myc-His-tag® (Right) cells labelling Prosurfactant Protein C with ab322443 at 1/50000 dilution (0.001 ug) / Middle and right compared with a isotype control and an unlabelled control (cells without incubation with primary antibody and secondary antibody).

Goat Anti-Rabbit IgG (Alexa Fluor® 488, ab150081) at 1/5000 dilution was used as the secondary antibody.

Cells were co-stained with anti-myc conjugated to Alexa Fluor®647.

Immunocytochemistry/ Immunofluorescence - Anti-Prosurfactant Protein C antibody [RM1264] (AB322443)
  • ICC/IF

Lab

Immunocytochemistry/ Immunofluorescence - Anti-Prosurfactant Protein C antibody [RM1264] (AB322443)

Immunofluorescent analysis of 4% paraformaldehyde-fixed, 0.1% TritonX-100 permeabilized 293T (human embryonic kidney epithelial cell) transfected with an empty vector containing a Myc tag; 293T transfected with a mouse SFTPC containing a Myc tag cells labeling Prosurfactant Protein C with ab322443 at 1/500 dilution following ab150081 Goat Anti-Rabbit IgG H&L (Alexa Fluor® 488) preadsorbed at 1/1000 dilution (Green).

Confocal image showing membrane and cytoplasmic staining in 293T cells transfected with a mouse SFTPC containing a Myc tag (shown in green). The counterstain was observed in magenta. Nuclear DNA was labelled with DAPI (shown in blue). Image was taken with a confocal microscope (Leica-Microsystems, TCS SP8).

ab223894 Anti-Myc tag mouse monoclonal antibody (Alexa Fluor® 594) was used to counterstain at 1/100 dilution (Magenta).

Flow Cytometry (Intracellular) - Anti-Prosurfactant Protein C antibody [RM1264] (AB322443)
  • Flow Cyt (Intra)

Lab

Flow Cytometry (Intracellular) - Anti-Prosurfactant Protein C antibody [RM1264] (AB322443)

Flow cytometric analysis of 4% paraformaldehyde fixed 90% methanol permeabilized 293T cells transfected with a mouse SFTPC expression vector containing a myc-His-tag® (Middle); 293T cells transfected with an empty expression vector containing a myc-His-tag® (Right) cells labelling Prosurfactant Protein C with ab322443 at 1/50000 dilution (0.001 ug) / Middle and right compared with a isotype control and an unlabelled control (cells without incubation with primary antibody and secondary antibody).

Goat Anti-Rabbit IgG (Alexa Fluor® 488, ab150081) at 1/5000 dilution was used as the secondary antibody.

Cells were co-stained with anti-myc conjugated to Alexa Fluor®647.

Western blot - Anti-Prosurfactant Protein C antibody [RM1264] (AB322443)
  • WB

Lab

Western blot - Anti-Prosurfactant Protein C antibody [RM1264] (AB322443)

Blocking and diluting buffer and concentration : 5% NFDM/TBST.

In Western blot, Anti-GAPDH antibody [EPR16891] - Loading Control (ab181602) was used at 1/200000 dilution (36KDa).

All lanes:

Western blot - Anti-Prosurfactant Protein C antibody [RM1264] (ab322443) at 1/1000 dilution

Lane 1:

293T (human embryonic kidney epithelial cell) transfected with an empty vector containing a His-tag, whole cell lysate at 20 µg

Lane 2:

293T transfected with a human SFTPC expression vector containing a His-tag, whole cell lysate at 20 µg

Lane 3:

293T transfected with a mouse SFTPC expression vector containing a His-tag, whole cell lysate at 20 µg

Secondary

All lanes:

Western blot - Goat Anti-Rabbit IgG H&L (HRP) (<a href='/en-us/products/secondary-antibodies/goat-rabbit-igg-h-l-hrp-ab97051'>ab97051</a>) at 1/100000 dilution

Observed band size: 21 kDa

false

Exposure time: 4s

Key facts

Host species

Rabbit

Clonality

Multiclonal

Clone number

RM1264

Isotype

IgG

Carrier free

No

Reacts with

Human, Mouse, Rat

Applications

IHC-Fr, IHC-P, WB, ICC/IF, Flow Cyt (Intra), IP

applications

Immunogen

This product was produced with the following immunogens:

The exact immunogen used to generate this antibody is proprietary information.

The exact immunogen used to generate this antibody is proprietary information.

Specificity

Unsuitable for rat WB.
This antibody has been tested with overexpressing Prosurfactant Protein C samples in Western blot, ICC/IF and Flow cytometry.

Reactivity data

{ "title": "Reactivity Data", "filters": { "stats": ["", "Species", "Dilution Info", "Notes"], "tabs": { "all-applications": {"fullname" : "All Applications", "shortname": "All Applications"}, "WB" : {"fullname" : "Western blot", "shortname":"WB"}, "FlowCytIntra" : {"fullname" : "Flow Cytometry (Intracellular)", "shortname":"Flow Cyt (Intra)"}, "ICCIF" : {"fullname" : "Immunocytochemistry/ Immunofluorescence", "shortname":"ICC/IF"}, "IHCP" : {"fullname" : "Immunohistochemistry (Formalin/PFA-fixed paraffin-embedded sections)", "shortname":"IHC-P"}, "IP" : {"fullname" : "Immunoprecipitation", "shortname":"IP"}, "IHCFr" : {"fullname" : "Immunohistochemistry (Frozen sections)", "shortname":"IHC-Fr"} }, "product-promise": { "all": "all", "testedAndGuaranteed": "tested", "guaranteed": "expected", "predicted": "predicted", "notRecommended": "not-recommended" } }, "values": { "Human": { "WB-species-checked": "testedAndGuaranteed", "WB-species-dilution-info": "1/1000", "WB-species-notes": "<p></p>", "FlowCytIntra-species-checked": "guaranteed", "FlowCytIntra-species-dilution-info": "", "FlowCytIntra-species-notes": "", "ICCIF-species-checked": "guaranteed", "ICCIF-species-dilution-info": "", "ICCIF-species-notes": "", "IHCP-species-checked": "testedAndGuaranteed", "IHCP-species-dilution-info": "1/2000", "IHCP-species-notes": "<p></p> Perform heat-mediated antigen retrieval with Tris/EDTA buffer pH 9.0 before commencing with IHC staining protocol.", "IP-species-checked": "testedAndGuaranteed", "IP-species-dilution-info": "1/30", "IP-species-notes": "<p></p>", "IHCFr-species-checked": "guaranteed", "IHCFr-species-dilution-info": "", "IHCFr-species-notes": "" }, "Mouse": { "WB-species-checked": "testedAndGuaranteed", "WB-species-dilution-info": "1/1000", "WB-species-notes": "<p></p>", "FlowCytIntra-species-checked": "guaranteed", "FlowCytIntra-species-dilution-info": "", "FlowCytIntra-species-notes": "", "ICCIF-species-checked": "guaranteed", "ICCIF-species-dilution-info": "", "ICCIF-species-notes": "", "IHCP-species-checked": "testedAndGuaranteed", "IHCP-species-dilution-info": "1/2000", "IHCP-species-notes": "<p></p> Perform heat-mediated antigen retrieval with Tris/EDTA buffer pH 9.0 before commencing with IHC staining protocol.", "IP-species-checked": "guaranteed", "IP-species-dilution-info": "", "IP-species-notes": "", "IHCFr-species-checked": "testedAndGuaranteed", "IHCFr-species-dilution-info": "1/500", "IHCFr-species-notes": "<p></p>" }, "Rat": { "WB-species-checked": "notRecommended", "WB-species-dilution-info": "", "WB-species-notes": "<p></p>", "FlowCytIntra-species-checked": "guaranteed", "FlowCytIntra-species-dilution-info": "", "FlowCytIntra-species-notes": "", "ICCIF-species-checked": "guaranteed", "ICCIF-species-dilution-info": "", "ICCIF-species-notes": "", "IHCP-species-checked": "testedAndGuaranteed", "IHCP-species-dilution-info": "1/500", "IHCP-species-notes": "<p></p> Perform heat-mediated antigen retrieval with Tris/EDTA buffer pH 9.0 before commencing with IHC staining protocol.", "IP-species-checked": "guaranteed", "IP-species-dilution-info": "", "IP-species-notes": "", "IHCFr-species-checked": "guaranteed", "IHCFr-species-dilution-info": "", "IHCFr-species-notes": "" }, "Transfected cell line - Human": { "WB-species-checked": "notRecommended", "WB-species-dilution-info": "", "WB-species-notes": "", "FlowCytIntra-species-checked": "testedAndGuaranteed", "FlowCytIntra-species-dilution-info": "1/50000", "FlowCytIntra-species-notes": "<p></p>", "ICCIF-species-checked": "testedAndGuaranteed", "ICCIF-species-dilution-info": "1/500", "ICCIF-species-notes": "<p></p>", "IHCP-species-checked": "notRecommended", "IHCP-species-dilution-info": "", "IHCP-species-notes": "", "IP-species-checked": "notRecommended", "IP-species-dilution-info": "", "IP-species-notes": "", "IHCFr-species-checked": "notRecommended", "IHCFr-species-dilution-info": "", "IHCFr-species-notes": "" }, "Transfected cell line - Mouse": { "WB-species-checked": "notRecommended", "WB-species-dilution-info": "", "WB-species-notes": "", "FlowCytIntra-species-checked": "testedAndGuaranteed", "FlowCytIntra-species-dilution-info": "1/50000", "FlowCytIntra-species-notes": "<p></p>", "ICCIF-species-checked": "testedAndGuaranteed", "ICCIF-species-dilution-info": "1/500", "ICCIF-species-notes": "<p></p>", "IHCP-species-checked": "notRecommended", "IHCP-species-dilution-info": "", "IHCP-species-notes": "", "IP-species-checked": "notRecommended", "IP-species-dilution-info": "", "IP-species-notes": "", "IHCFr-species-checked": "notRecommended", "IHCFr-species-dilution-info": "", "IHCFr-species-notes": "" }, "Transfected cell lysate - Human": { "WB-species-checked": "testedAndGuaranteed", "WB-species-dilution-info": "1/1000", "WB-species-notes": "<p></p>", "FlowCytIntra-species-checked": "notRecommended", "FlowCytIntra-species-dilution-info": "", "FlowCytIntra-species-notes": "", "ICCIF-species-checked": "notRecommended", "ICCIF-species-dilution-info": "", "ICCIF-species-notes": "", "IHCP-species-checked": "notRecommended", "IHCP-species-dilution-info": "", "IHCP-species-notes": "", "IP-species-checked": "notRecommended", "IP-species-dilution-info": "", "IP-species-notes": "", "IHCFr-species-checked": "notRecommended", "IHCFr-species-dilution-info": "", "IHCFr-species-notes": "" }, "Transfected cell lysate - Mouse": { "WB-species-checked": "testedAndGuaranteed", "WB-species-dilution-info": "1/1000", "WB-species-notes": "<p></p>", "FlowCytIntra-species-checked": "notRecommended", "FlowCytIntra-species-dilution-info": "", "FlowCytIntra-species-notes": "", "ICCIF-species-checked": "notRecommended", "ICCIF-species-dilution-info": "", "ICCIF-species-notes": "", "IHCP-species-checked": "notRecommended", "IHCP-species-dilution-info": "", "IHCP-species-notes": "", "IP-species-checked": "notRecommended", "IP-species-dilution-info": "", "IP-species-notes": "", "IHCFr-species-checked": "notRecommended", "IHCFr-species-dilution-info": "", "IHCFr-species-notes": "" } } }

Product details

What are recombinant multiclonals?
Recombinant multiclonals are a mixture of recombinant antibodies co-expressed from a library of heavy and light chains. They offer several advantages including:

  • - The sensitivity of polyclonal antibodies by recognising multiple epitopes
  • - High batch-to-batch consistency and reproducibility
  • - Improved sensitivity and specificity
  • - Long-term security of supply
  • - Animal-free batch production

View our range of recombinant multiclonal antibodies.

Patented technology
Our RabMAb® technology is a patented hybridoma-based technology for making rabbit monoclonal antibodies. For details on our patents, please refer to RabMAb® patents.

Properties and storage information

Form
Liquid
Purification technique
Affinity purification Protein A
Storage buffer
pH: 7.2 - 7.4 Preservative: 0.01% Sodium azide Constituents: PBS, 40% Glycerol (glycerin, glycerine), 0.05% BSA
Shipped at conditions
Blue Ice
Appropriate short-term storage duration
1-2 weeks
Appropriate short-term storage conditions
+4°C
Appropriate long-term storage conditions
-20°C
Aliquoting information
Upon delivery aliquot
Storage information
Avoid freeze / thaw cycle

Supplementary information

This supplementary information is collated from multiple sources and compiled automatically.

Prosurfactant Protein C (Pro-SP-C) often referred to as SPC or by its abbreviated form SP-C is a hydrophobic peptide critical for lung function. This protein has a mass of approximately 21 kDa and is expressed prominently in the alveolar type II cells of the lung tissue. Beyond its full-length variant various pro forms such as proSP-C are studied for their roles during protein maturation and trafficking. These pro forms are essential for producing the mature functional SP-C a critical component of lung surfactant which reduces surface tension in alveoli and prevents lung collapse.
Biological function summary

In surfactant homeostasis Prosurfactant Protein C associates with surfactant protein complexes where it interacts with phospholipids like phosphatidylcholine to stabilize the alveolar structures. As part of this complex it aids in reducing surface tension at the air-liquid interface in the alveoli and contributes to the host defense system by fostering pathogen clearance and modulating inflammation. The intricate processing of Pro-SP-C into its mature form involves fucosylation and other post-translational modifications which are key for functional surfactant activity.

Pathways

The role of Prosurfactant Protein C is integral to the surfactant metabolism pathway affecting lung function and homeostasis. This pathway is important for proper respiratory mechanics and is closely linked to other surfactant proteins like SP-B and SP-D. These proteins work together within the lipid-protein matrix of the surfactant to ensure proper alveolar deflation and reinflation during respiration. Disruption within these pathways can have significant impact on lung health and respiratory physiology.

Mutations or dysfunctions in Prosurfactant Protein C are linked to interstitial lung diseases including pulmonary alveolar proteinosis and idiopathic pulmonary fibrosis. These conditions often result from misfolded proteins or improper surfactant metabolism leading to compromised lung function. Connections with disorders like these highlight interactions between Prosurfactant Protein C and C-reactive protein uncovering underlying inflammatory processes. Therapy and research often target these protein interactions and modifications as understanding them holds potential for strategic intervention in surfactant-related pathologies.

Product protocols

For this product, it's our understanding that no specific protocols are required. You can visit:

Target data

Pulmonary surfactant associated proteins promote alveolar stability by lowering the surface tension at the air-liquid interface in the peripheral air spaces.
See full target information Sftpc

Additional targets

SFTPC

Product promise

We are committed to supporting your work with high-quality reagents, and we're here for you every step of the way. In the unlikely event that one of our products does not perform as expected, you're protected by our Product Promise.
For full details, please see our Terms & Conditions

Please note: All products are 'FOR RESEARCH USE ONLY. NOT FOR USE IN DIAGNOSTIC OR THERAPEUTIC PROCEDURES'.

For licensing inquiries, please contact partnerships@abcam.com