JavaScript is disabled in your browser. Please enable JavaScript to view this website.
AB247892

Anti-Proteasome 20S alpha 2/HC3 antibody [EPR5453] - BSA and Azide free

Be the first to review this product! Submit a review

|

(1 Publication)

Rabbit Recombinant Monoclonal Proteasome 20S alpha 2/HC3 antibody. Carrier free. Suitable for ICC/IF, WB, IHC-P and reacts with Human, Mouse, Rat samples. Cited in 1 publication.

View Alternative Names

HC3, PSC3, PSMA2, Proteasome subunit alpha type-2, Macropain subunit C3, Multicatalytic endopeptidase complex subunit C3, Proteasome component C3, Proteasome subunit alpha-2, alpha-2

3 Images
Immunocytochemistry/ Immunofluorescence - Anti-Proteasome 20S alpha 2/HC3 antibody [EPR5453] - BSA and Azide free (AB247892)
  • ICC/IF

Unknown

Immunocytochemistry/ Immunofluorescence - Anti-Proteasome 20S alpha 2/HC3 antibody [EPR5453] - BSA and Azide free (AB247892)

This data was developed using ab109525, the same antibody clone in a different buffer formulation.

ab109525, at 1/50 dilution, staining Proteasome 20S alpha 2/HC3 in HeLa cells by Immunofluorescence.

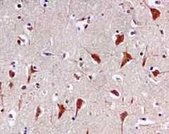
Immunohistochemistry (Formalin/PFA-fixed paraffin-embedded sections) - Anti-Proteasome 20S alpha 2/HC3 antibody [EPR5453] - BSA and Azide free (AB247892)
  • IHC-P

Unknown

Immunohistochemistry (Formalin/PFA-fixed paraffin-embedded sections) - Anti-Proteasome 20S alpha 2/HC3 antibody [EPR5453] - BSA and Azide free (AB247892)

This data was developed using ab109525, the same antibody clone in a different buffer formulation.

ab109525, at a 1/250 dilution, staining Human Proteasome 20S alpha 2/HC3 in brain tissue, using Immunohistochemistry, (Formalin/PFA-fixed paraffin-embedded).

Perform heat mediated antigen retrieval via the microwave method before commencing with IHC staining protocol.

Western blot - Anti-Proteasome 20S alpha 2/HC3 antibody [EPR5453] - BSA and Azide free (AB247892)
  • WB

Unknown

Western blot - Anti-Proteasome 20S alpha 2/HC3 antibody [EPR5453] - BSA and Azide free (AB247892)

This data was developed using ab109525, the same antibody clone in a different buffer formulation.

All lanes:

Western blot - Anti-Proteasome 20S alpha 2/HC3 antibody [EPR5453] (<a href='/en-us/products/primary-antibodies/proteasome-20s-alpha-2-hc3-antibody-epr5453-ab109525'>ab109525</a>) at 1/10000 dilution

Lane 1:

HepG2 cell lysate at 10 µg

Lane 2:

293T (Human embryonic kidney epithelial cell) cell lysate at 10 µg

Lane 3:

HeLa cell lysate at 10 µg

Lane 4:

JAR cell lysate at 10 µg

Secondary

All lanes:

HRP labelled Goat anti-Rabbit IgG at 1/2000 dilution

Predicted band size: 26 kDa

false

Key facts

Host species

Rabbit

Clonality

Monoclonal

Clone number

EPR5453

Isotype

IgG

Carrier free

Yes

Reacts with

Human

Applications

IHC-P, ICC/IF, WB

applications

Immunogen

The exact immunogen used to generate this antibody is proprietary information.

Reactivity data

{ "title": "Reactivity Data", "filters": { "stats": ["", "Species", "Dilution Info", "Notes"], "tabs": { "all-applications": {"fullname" : "All Applications", "shortname": "All Applications"}, "ICCIF" : {"fullname" : "Immunocytochemistry/ Immunofluorescence", "shortname":"ICC/IF"}, "IP" : {"fullname" : "Immunoprecipitation", "shortname":"IP"}, "WB" : {"fullname" : "Western blot", "shortname":"WB"}, "IHCP" : {"fullname" : "Immunohistochemistry (Formalin/PFA-fixed paraffin-embedded sections)", "shortname":"IHC-P"} }, "product-promise": { "all": "all", "testedAndGuaranteed": "tested", "guaranteed": "expected", "predicted": "predicted", "notRecommended": "not-recommended" } }, "values": { "Human": { "ICCIF-species-checked": "testedAndGuaranteed", "ICCIF-species-dilution-info": "", "ICCIF-species-notes": "<p></p>", "IP-species-checked": "notRecommended", "IP-species-dilution-info": "", "IP-species-notes": "<p></p>", "WB-species-checked": "testedAndGuaranteed", "WB-species-dilution-info": "", "WB-species-notes": "<p></p>", "IHCP-species-checked": "testedAndGuaranteed", "IHCP-species-dilution-info": "", "IHCP-species-notes": "<p>For antigen retrieval, heat up to 98 degree C, below boiling, and then let cool for 10-20 minutes.</p>" }, "Mouse": { "ICCIF-species-checked": "predicted", "ICCIF-species-dilution-info": "", "ICCIF-species-notes": "", "IP-species-checked": "notRecommended", "IP-species-dilution-info": "", "IP-species-notes": "", "WB-species-checked": "guaranteed", "WB-species-dilution-info": "", "WB-species-notes": "<p></p>", "IHCP-species-checked": "predicted", "IHCP-species-dilution-info": "", "IHCP-species-notes": "" }, "Rat": { "ICCIF-species-checked": "predicted", "ICCIF-species-dilution-info": "", "ICCIF-species-notes": "", "IP-species-checked": "notRecommended", "IP-species-dilution-info": "", "IP-species-notes": "", "WB-species-checked": "guaranteed", "WB-species-dilution-info": "", "WB-species-notes": "<p></p>", "IHCP-species-checked": "predicted", "IHCP-species-dilution-info": "", "IHCP-species-notes": "" } } }

Product details

ab247892 is the carrier-free version of ab109525.

Patented technology
Our RabMAb® technology is a patented hybridoma-based technology for making rabbit monoclonal antibodies. For details on our patents, please refer to RabMAb® patents.

What are the advantages of a recombinant monoclonal antibody?
This product is a recombinant monoclonal antibody, which offers several advantages including:

  • - High batch-to-batch consistency and reproducibility
  • - Improved sensitivity and specificity
  • - Long-term security of supply
  • - Animal-free batch production

For more information, read more on recombinant antibodies.

Conjugation ready
Our carrier-free antibodies are typically supplied in a PBS-only formulation, purified and free of BSA, sodium azide and glycerol. This conjugation-ready format is designed for use with fluorochromes, metal isotopes, oligonucleotides, and enzymes, which makes them ideal for antibody labelling, functional and cell-based assays, flow-based assays (e.g. mass cytometry) and Multiplex Imaging applications.

Use our conjugation kits for antibody conjugates that are ready-to-use in as little as 20 minutes with 1 minute hands-on-time and 100% antibody recovery: available for fluorescent dyes, HRP, biotin and gold.

Compatibility
This product is compatible with the Maxpar® Antibody Labeling Kit from Fluidigm, without the need for antibody preparation. Maxpar® is a trademark of Fluidigm Canada Inc.

Properties and storage information

Form
Liquid
Purification technique
Affinity purification Protein A
Storage buffer
pH: 7.2 - 7.4 Constituents: PBS
Shipped at conditions
Blue Ice
Appropriate short-term storage conditions
+4°C
Appropriate long-term storage conditions
+4°C
Storage information
Do Not Freeze

Supplementary information

This supplementary information is collated from multiple sources and compiled automatically.

Proteasome 20S alpha 2 also known as HC3 forms part of the proteasome complex responsible for protein degradation. This protein has a molecular mass of approximately 25 kDa and functions as a structural component of the 20S core particle within the proteasome. The 20S alpha 2 subunit is highly conserved and expressed in various tissues contributing to cellular protein homeostasis through the removal of damaged or misfolded proteins.
Biological function summary

The 20S alpha 2 subunit integrates into the larger 26S proteasome complex working alongside other subunits to regulate protein turnover. This complex controls the degradation of ubiquitin-tagged proteins impacting diverse cellular processes like cell cycle progression and stress response. Through its role in the proteasome HC3 maintains protein quality control within the cell and supports proper cellular function.

Pathways

Proteasome 20S alpha 2 interacts within the ubiquitin-proteasome pathway and plays a central role in protein degradation and turnover. It associates with related proteins such as other members of the proteolytic complex and interacts with ubiquitin ligases to efficiently process and degrade proteins tagged for destruction. By facilitating these pathways it is critical for cellular regulation and response to changes.

Proteasome 20S alpha 2 has associations with several pathological conditions including neurodegenerative diseases and cancer. The malfunction or altered expression of this subunit can impact protein degradation contributing to the accumulation of malfunctioning proteins linked to these diseases. It interacts with proteins like p53 in cancer where proteasomal regulation can affect tumorigenesis and with neurofibrillary tangles in Alzheimer's disease affecting neuronal health.

Product protocols

For this product, it's our understanding that no specific protocols are required. You can visit:

Target data

Component of the 20S core proteasome complex involved in the proteolytic degradation of most intracellular proteins. This complex plays numerous essential roles within the cell by associating with different regulatory particles. Associated with two 19S regulatory particles, forms the 26S proteasome and thus participates in the ATP-dependent degradation of ubiquitinated proteins. The 26S proteasome plays a key role in the maintenance of protein homeostasis by removing misfolded or damaged proteins that could impair cellular functions, and by removing proteins whose functions are no longer required. Associated with the PA200 or PA28, the 20S proteasome mediates ubiquitin-independent protein degradation. This type of proteolysis is required in several pathways including spermatogenesis (20S-PA200 complex) or generation of a subset of MHC class I-presented antigenic peptides (20S-PA28 complex).
See full target information PSMA2

Publications (1)

Recent publications for all applications. Explore the full list and refine your search

Immunity, inflammation and disease 10:e692 PubMed36301023

2022

HDAC4 depletion ameliorates IL-13-triggered inflammatory response and mucus production in nasal epithelial cells via activation of SIRT1/NF-κB signaling.

Applications

Unspecified application

Species

Unspecified reactive species

Hangyu Xu,Lingjun Wang,Huaqun Chen,Hefei Cai
View all publications

Product promise

We are committed to supporting your work with high-quality reagents, and we're here for you every step of the way. In the unlikely event that one of our products does not perform as expected, you're protected by our Product Promise.
For full details, please see our Terms & Conditions

Please note: All products are 'FOR RESEARCH USE ONLY. NOT FOR USE IN DIAGNOSTIC OR THERAPEUTIC PROCEDURES'.

For licensing inquiries, please contact partnerships@abcam.com