JavaScript is disabled in your browser. Please enable JavaScript to view this website.
AB109387

Anti-Proteasome 20S alpha 5/PSMA5 antibody [EPR5832]

Be the first to review this product! Submit a review

|

(2 Publications)

Rabbit Recombinant Monoclonal PSA5 antibody. Suitable for IHC-P, WB and reacts with Human, Mouse, Rat samples. Cited in 2 publications.

View Alternative Names

Proteasome subunit alpha type-5, Macropain zeta chain, Multicatalytic endopeptidase complex zeta chain, Proteasome subunit alpha-5, Proteasome zeta chain, alpha-5, PSMA5

3 Images
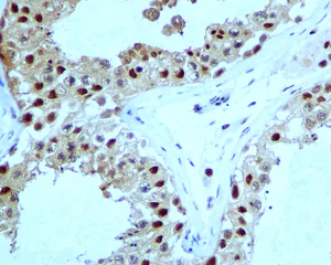
Immunohistochemistry (Formalin/PFA-fixed paraffin-embedded sections) - Anti-Proteasome 20S alpha 5/PSMA5 antibody [EPR5832] (AB109387)
  • IHC-P

Unknown

Immunohistochemistry (Formalin/PFA-fixed paraffin-embedded sections) - Anti-Proteasome 20S alpha 5/PSMA5 antibody [EPR5832] (AB109387)

Immunohistochemical analysis of paraffin-embedded Human testis tissue using 1/100 ab109387.

Perform heat mediated antigen retrieval via the pressure cooker method before commencing with IHC staining protocol.

Western blot - Anti-Proteasome 20S alpha 5/PSMA5 antibody [EPR5832] (AB109387)
  • WB

Unknown

Western blot - Anti-Proteasome 20S alpha 5/PSMA5 antibody [EPR5832] (AB109387)

All lanes:

Western blot - Anti-Proteasome 20S alpha 5/PSMA5 antibody [EPR5832] (ab109387) at 1/1000 dilution

Lane 1:

HepG2 cell lysate at 10 µg

Lane 2:

293T (Human embryonic kidney epithelial cell) cell lysate at 10 µg

Lane 3:

JAR cell lysate at 10 µg

Predicted band size: 26 kDa

false

OI-RD Scanning - Anti-Proteasome 20S alpha 5/PSMA5 antibody [EPR5832] (AB109387)
  • OI-RD Scanning

Unknown

OI-RD Scanning - Anti-Proteasome 20S alpha 5/PSMA5 antibody [EPR5832] (AB109387)

We have systematically measured KD (the equilibrium dissociation constant between the antibody and its antigen), of more than 840 recombinant antibodies to assess not only their individual KD values but also to see the average affinity of antibody. Based on the comparison with published literature values for mouse monoclonal antibodies, Recombinant antibodies appear to be on average 1-2 order of magnitude higher affinity.

Key facts

Host species

Rabbit

Clonality

Monoclonal

Clone number

EPR5832

Isotype

IgG

Carrier free

No

Reacts with

Human

Applications

WB, IHC-P

applications

Immunogen

The exact immunogen used to generate this antibody is proprietary information.

Reactivity data

{ "title": "Reactivity Data", "filters": { "stats": ["", "Species", "Dilution Info", "Notes"], "tabs": { "all-applications": {"fullname" : "All Applications", "shortname": "All Applications"}, "IHCP" : {"fullname" : "Immunohistochemistry (Formalin/PFA-fixed paraffin-embedded sections)", "shortname":"IHC-P"}, "IP" : {"fullname" : "Immunoprecipitation", "shortname":"IP"}, "WB" : {"fullname" : "Western blot", "shortname":"WB"} }, "product-promise": { "all": "all", "testedAndGuaranteed": "tested", "guaranteed": "expected", "predicted": "predicted", "notRecommended": "not-recommended" } }, "values": { "Human": { "IHCP-species-checked": "testedAndGuaranteed", "IHCP-species-dilution-info": "1/100 - 1/250", "IHCP-species-notes": "<p>Heat up to 98 degrees C, below boiling, and then let cool for 10-20 min.</p>", "IP-species-checked": "notRecommended", "IP-species-dilution-info": "", "IP-species-notes": "<p></p>", "WB-species-checked": "testedAndGuaranteed", "WB-species-dilution-info": "1/1000 - 1/10000", "WB-species-notes": "<p></p>" }, "Mouse": { "IHCP-species-checked": "predicted", "IHCP-species-dilution-info": "", "IHCP-species-notes": "", "IP-species-checked": "notRecommended", "IP-species-dilution-info": "", "IP-species-notes": "", "WB-species-checked": "guaranteed", "WB-species-dilution-info": "", "WB-species-notes": "<p></p>" }, "Rat": { "IHCP-species-checked": "predicted", "IHCP-species-dilution-info": "", "IHCP-species-notes": "", "IP-species-checked": "notRecommended", "IP-species-dilution-info": "", "IP-species-notes": "", "WB-species-checked": "guaranteed", "WB-species-dilution-info": "", "WB-species-notes": "<p></p>" } } }

Product details

Patented technology
Our RabMAb® technology is a patented hybridoma-based technology for making rabbit monoclonal antibodies. For details on our patents, please refer to RabMAb® patents.

What are the advantages of a recombinant monoclonal antibody?
This product is a recombinant monoclonal antibody, which offers several advantages including:

  • - High batch-to-batch consistency and reproducibility
  • - Improved sensitivity and specificity
  • - Long-term security of supply
  • - Animal-free batch production

For more information, read more on recombinant antibodies.

Properties and storage information

Form
Liquid
Purification technique
Affinity purification Protein A
Storage buffer
pH: 7.2 - 7.4 Preservative: 0.05% Sodium azide Constituents: 50% Tissue culture supernatant, 40% Glycerol (glycerin, glycerine), 9.85% Tris glycine, 0.1% BSA
Shipped at conditions
Blue Ice
Appropriate short-term storage conditions
+4°C
Appropriate long-term storage conditions
-20°C
Storage information
Stable for 12 months at -20°C

Supplementary information

This supplementary information is collated from multiple sources and compiled automatically.

Proteasome 20S alpha 5 also known as PSMA5 is a subunit of the 20S proteasome core particle playing a role in protein degradation. This subunit weighs approximately 26 kDa and is expressed broadly across various tissues. PSMA5 forms part of the alpha ring of the proteasome and contributes to the gating mechanism controlling the entry of substrates into the catalytic core.
Biological function summary

PSMA5 functions within the multicatalytic proteinase complex known as the 20S proteasome. The proteasome is critical for degrading ubiquitinated proteins maintaining cellular protein homeostasis and regulating protein levels in the cell. By breaking down faulty or misfolded proteins and proteins involved in cell cycle regulation PSMA5 influences the turnover of proteins and ensures cellular function. PSMA5 is essential for cellular processes such as transcription cell cycle progression and apoptosis.

Pathways

PSMA5 has significant roles in both the ubiquitin-proteasome pathway and the NF-kB signaling pathway. In the ubiquitin-proteasome pathway PSMA5 helps degrade proteins tagged for destruction by ubiquitin involving components like ubiquitin-conjugating enzymes. In the NF-kB pathway the proteasome degrades inhibitors of NF-kB enabling the activation of this transcription factor and therefore facilitating gene expression related to immune and inflammatory responses.

PSMA5 has associations with cancer and neurodegenerative diseases. In cancer the overactivity of proteasome including PSMA5 can prevent the accumulation of pro-apoptotic factors promoting cell survival and tumor growth. Bortezomib a proteasome inhibitor targets this process to induce tumor cell death. In neurodegenerative diseases like Alzheimer's alterations in proteasome function may lead to the accumulation of toxic protein aggregates. Here PSMA5 interacts with proteins related to these conditions impacting disease progression and response to therapies.

Product protocols

For this product, it's our understanding that no specific protocols are required. You can visit:

Target data

Component of the 20S core proteasome complex involved in the proteolytic degradation of most intracellular proteins. This complex plays numerous essential roles within the cell by associating with different regulatory particles. Associated with two 19S regulatory particles, forms the 26S proteasome and thus participates in the ATP-dependent degradation of ubiquitinated proteins. The 26S proteasome plays a key role in the maintenance of protein homeostasis by removing misfolded or damaged proteins that could impair cellular functions, and by removing proteins whose functions are no longer required. Associated with the PA200 or PA28, the 20S proteasome mediates ubiquitin-independent protein degradation. This type of proteolysis is required in several pathways including spermatogenesis (20S-PA200 complex) or generation of a subset of MHC class I-presented antigenic peptides (20S-PA28 complex).
See full target information Proteasome subunit alpha type-5

Publications (2)

Recent publications for all applications. Explore the full list and refine your search

Immunity, inflammation and disease 12:e1146 PubMed38415977

2024

Knockdown of liver cancer cell-secreted exosomal PSMA5 controls macrophage polarization to restrain cancer progression by blocking JAK2/STAT3 signaling.

Applications

Unspecified application

Species

Unspecified reactive species

Shujie Xie,Xiang Li,Jia Yan,Hua Yu,Shuhuai Chen,Kana Chen

Nature communications 12:6829 PubMed34819513

2021

Nuclear-capture of endosomes depletes nuclear G-actin to promote SRF/MRTF activation and cancer cell invasion.

Applications

Unspecified application

Species

Unspecified reactive species

Sergi Marco,Matthew Neilson,Madeleine Moore,Arantxa Perez-Garcia,Holly Hall,Louise Mitchell,Sergio Lilla,Giovani R Blanco,Ann Hedley,Sara Zanivan,Jim C Norman
View all publications

Product promise

We are committed to supporting your work with high-quality reagents, and we're here for you every step of the way. In the unlikely event that one of our products does not perform as expected, you're protected by our Product Promise.
For full details, please see our Terms & Conditions

Please note: All products are 'FOR RESEARCH USE ONLY. NOT FOR USE IN DIAGNOSTIC OR THERAPEUTIC PROCEDURES'.

For licensing inquiries, please contact partnerships@abcam.com