JavaScript is disabled in your browser. Please enable JavaScript to view this website.
AB109500

Anti-Proteasome 20S C2/HC2 antibody [EPR5451]

Be the first to review this product! Submit a review

|

(2 Publications)

Rabbit Recombinant Monoclonal PSA1 antibody. Suitable for IHC-P, WB and reacts with Human samples. Cited in 2 publications.

View Alternative Names

HC2, NU, PROS30, PSC2, PSMA1, Proteasome subunit alpha type-1, 30 kDa prosomal protein, Macropain subunit C2, Multicatalytic endopeptidase complex subunit C2, Proteasome component C2, Proteasome nu chain, Proteasome subunit alpha-6, PROS-30, alpha-6

2 Images
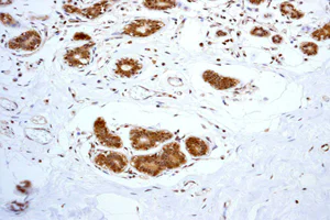
Immunohistochemistry (Formalin/PFA-fixed paraffin-embedded sections) - Anti-Proteasome 20S C2/HC2 antibody [EPR5451] (AB109500)
  • IHC-P

Unknown

Immunohistochemistry (Formalin/PFA-fixed paraffin-embedded sections) - Anti-Proteasome 20S C2/HC2 antibody [EPR5451] (AB109500)

Immunohistochemical analysis of paraffin-embedded Human breast tissue using ab109500 at 1/250 dilution.

Perform heat mediated antigen retrieval with citrate buffer pH 6 before commencing with IHC staining protocol.

Western blot - Anti-Proteasome 20S C2/HC2 antibody [EPR5451] (AB109500)
  • WB

Unknown

Western blot - Anti-Proteasome 20S C2/HC2 antibody [EPR5451] (AB109500)

All lanes:

Western blot - Anti-Proteasome 20S C2/HC2 antibody [EPR5451] (ab109500) at 1/1000 dilution

Lane 1:

HeLa cell lysate at 10 µg

Lane 2:

Jurkat cell lysate at 10 µg

Lane 3:

HepG2 cell lysate at 10 µg

Lane 4:

PC-3 cell lysate at 10 µg

Secondary

All lanes:

Standard HRP labelled goat anti-rabbit at 1/2000 dilution

Predicted band size: 30 kDa

false

  • Carrier free

    Anti-Proteasome 20S C2/HC2 antibody [EPR5451] - BSA and Azide free

Key facts

Host species

Rabbit

Clonality

Monoclonal

Clone number

EPR5451

Isotype

IgG

Carrier free

No

Reacts with

Human

Applications

IHC-P, WB

applications

Immunogen

The exact immunogen used to generate this antibody is proprietary information.

Reactivity data

{ "title": "Reactivity Data", "filters": { "stats": ["", "Species", "Dilution Info", "Notes"], "tabs": { "all-applications": {"fullname" : "All Applications", "shortname": "All Applications"}, "IHCP" : {"fullname" : "Immunohistochemistry (Formalin/PFA-fixed paraffin-embedded sections)", "shortname":"IHC-P"}, "FlowCyt" : {"fullname" : "Flow Cytometry", "shortname":"Flow Cyt"}, "WB" : {"fullname" : "Western blot", "shortname":"WB"} }, "product-promise": { "all": "all", "testedAndGuaranteed": "tested", "guaranteed": "expected", "predicted": "predicted", "notRecommended": "not-recommended" } }, "values": { "Human": { "IHCP-species-checked": "testedAndGuaranteed", "IHCP-species-dilution-info": "1/250 - 1/500", "IHCP-species-notes": "<p>Perform antigen retrieval</p>", "FlowCyt-species-checked": "notRecommended", "FlowCyt-species-dilution-info": "", "FlowCyt-species-notes": "<p></p>", "WB-species-checked": "testedAndGuaranteed", "WB-species-dilution-info": "1/1000 - 1/10000", "WB-species-notes": "<p></p>" }, "Mouse": { "IHCP-species-checked": "predicted", "IHCP-species-dilution-info": "", "IHCP-species-notes": "", "FlowCyt-species-checked": "notRecommended", "FlowCyt-species-dilution-info": "", "FlowCyt-species-notes": "", "WB-species-checked": "predicted", "WB-species-dilution-info": "", "WB-species-notes": "" }, "Rat": { "IHCP-species-checked": "predicted", "IHCP-species-dilution-info": "", "IHCP-species-notes": "", "FlowCyt-species-checked": "notRecommended", "FlowCyt-species-dilution-info": "", "FlowCyt-species-notes": "", "WB-species-checked": "predicted", "WB-species-dilution-info": "", "WB-species-notes": "" } } }

You may be interested in:

AB107921

Proteasome Activity Assay Kit

4

2 Reviews

View product

We recommend this product because it’s often used in the same experiment or related research.

We advise that you always check the datasheet to ensure it fits your experiments, or contact ourtechnical teamfor help.

Product details

Patented technology
Our RabMAb® technology is a patented hybridoma-based technology for making rabbit monoclonal antibodies. For details on our patents, please refer to RabMAb® patents.

What are the advantages of a recombinant monoclonal antibody?
This product is a recombinant monoclonal antibody, which offers several advantages including:

  • - High batch-to-batch consistency and reproducibility
  • - Improved sensitivity and specificity
  • - Long-term security of supply
  • - Animal-free batch production

For more information, read more on recombinant antibodies.

Properties and storage information

Form
Liquid
Purification technique
Affinity purification Protein A
Storage buffer
pH: 7.2 - 7.4 Preservative: 0.05% Sodium azide Constituents: 50% Tissue culture supernatant, 40% Glycerol (glycerin, glycerine), 9.85% Tris glycine, 0.1% BSA
Shipped at conditions
Blue Ice
Appropriate short-term storage conditions
+4°C
Appropriate long-term storage conditions
-20°C
Aliquoting information
Upon delivery aliquot
Storage information
Avoid freeze / thaw cycle

Supplementary information

This supplementary information is collated from multiple sources and compiled automatically.

The Proteasome 20S C2/HC2 also known as the proteasome subunit beta type-1 represents an important component of the proteasome complex. This protein performs proteolytic functions degrading ubiquitinated proteins into peptides. The proteasome 20S C2/HC2 has a molecular mass of approximately 23 kDa and is expressed in various tissues throughout the body including muscle and nerve tissues. It forms part of the 20S core particle of the proteasome complex and contributes to protein homeostasis.
Biological function summary

Proteasome 20S C2/HC2 plays a significant role in maintaining protein quality by participating in proteolytic degradation. It forms part of the larger 26S proteasome complex which assembles with regulatory particles for substrate recognition. This protein is essential for the breakdown and removal of oxidized or misfolded proteins thereby preventing the accumulation of potentially toxic aggregates within the cell. It ensures cellular regulation by processing proteins that control various aspects of cell cycle signaling and differentiation.

Pathways

The activity of the Proteasome 20S C2/HC2 integrates directly into the ubiquitin-proteasome pathway. This pathway regulates protein turnover and plays a vital role in cellular processes such as the cell cycle and apoptosis. The association with proteins such as ubiquitin and E3 ligases is critical for the marking of substrate proteins for degradation. This protein is also linked to the NF-kB signaling pathway interacting with proteins that modulate immune and inflammatory responses demonstrating its influence on broader regulatory networks.

Proteasome 20S C2/HC2 disruption has been identified in various pathological conditions. Abnormal function or expression levels relate to neurodegenerative disorders like Parkinson’s disease where inefficient protein degradation leads to protein aggregation. This protein also connects to tumor progression in cancers where alterations in the ubiquitin-proteasome system affect cell cycle regulation and apoptosis. The protein's interaction with tumor suppressors and oncogenes highlights its significance in cellular growth abnormalities.

Product protocols

For this product, it's our understanding that no specific protocols are required. You can visit:

Target data

Component of the 20S core proteasome complex involved in the proteolytic degradation of most intracellular proteins. This complex plays numerous essential roles within the cell by associating with different regulatory particles. Associated with two 19S regulatory particles, forms the 26S proteasome and thus participates in the ATP-dependent degradation of ubiquitinated proteins. The 26S proteasome plays a key role in the maintenance of protein homeostasis by removing misfolded or damaged proteins that could impair cellular functions, and by removing proteins whose functions are no longer required. Associated with the PA200 or PA28, the 20S proteasome mediates ubiquitin-independent protein degradation. This type of proteolysis is required in several pathways including spermatogenesis (20S-PA200 complex) or generation of a subset of MHC class I-presented antigenic peptides (20S-PA28 complex).
See full target information PSMA1

Publications (2)

Recent publications for all applications. Explore the full list and refine your search

Cancer medicine 12:13497-13510 PubMed37222416

2023

Overexpression of RAB31 in gastric cancer is associated with released exosomes and increased tumor cell invasion and metastasis.

Applications

Unspecified application

Species

Unspecified reactive species

Shan Wu,Chaotao Tang,Qing-Wei Zhang,Qian Zhuang,Xin Ye,Jie Xia,Yan Shi,Min Ning,Zhi-Xia Dong,Xin-Jian Wan

Oncotarget 9:3996-4019 PubMed29423100

2018

Proteomic profiling of antibody-inducing immunogens in tumor tissue identifies PSMA1, LAP3, ANXA3, and maspin as colon cancer markers.

Applications

Unspecified application

Species

Unspecified reactive species

Qian Yang,Michael H Roehrl,Julia Y Wang
View all publications

Product promise

We are committed to supporting your work with high-quality reagents, and we're here for you every step of the way. In the unlikely event that one of our products does not perform as expected, you're protected by our Product Promise.
For full details, please see our Terms & Conditions

Associated Products

Select an associated product type
Alternative Product
Primary Antibodies

AB140499

Anti-Proteasome 20S C2/HC2 antibody

primary-antibodies

proteasome-20s-c2-hc2-antibody-ab140499

0

(0 reviews)

Alternative Product
Primary Antibodies

AB109530

Anti-Proteasome 20S C2/HC2 antibody [EPR5452]

primary-antibodies

proteasome-20s-c2-hc2-antibody-epr5452-ab109530

0

(0 reviews)

Please note: All products are 'FOR RESEARCH USE ONLY. NOT FOR USE IN DIAGNOSTIC OR THERAPEUTIC PROCEDURES'.

For licensing inquiries, please contact partnerships@abcam.com