JavaScript is disabled in your browser. Please enable JavaScript to view this website.
AB140675

Anti-Proteasome 26S S2/PSMD2 antibody

5

(2 Reviews)

|

(2 Publications)

Rabbit Polyclonal Proteasome 26S S2/PSMD2 antibody. Suitable for IP, WB, IHC-Fr and reacts with Human, Mouse samples. Cited in 2 publications. Immunogen corresponding to Synthetic Peptide within Human PSMD2 aa 50-100.

View Alternative Names

TRAP2, PSMD2, 26S proteasome non-ATPase regulatory subunit 2, 26S proteasome regulatory subunit RPN1, 26S proteasome regulatory subunit S2, 26S proteasome subunit p97, Protein 55.11, Tumor necrosis factor type 1 receptor-associated protein 2

5 Images
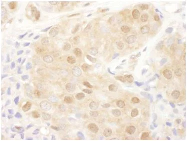
Immunohistochemistry (Frozen sections) - Anti-Proteasome 26S S2/PSMD2 antibody (AB140675)
  • IHC-Fr

Supplier Data

Immunohistochemistry (Frozen sections) - Anti-Proteasome 26S S2/PSMD2 antibody (AB140675)

Immunohistochemical analysis of frozen section of human ovarian carcinoma with ab140675 at 1/1000 (1 μg/ml) dilution.

Detection : DAB

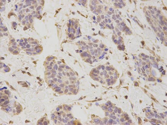
Immunohistochemistry (Frozen sections) - Anti-Proteasome 26S S2/PSMD2 antibody (AB140675)
  • IHC-Fr

Supplier Data

Immunohistochemistry (Frozen sections) - Anti-Proteasome 26S S2/PSMD2 antibody (AB140675)

Immunohistochemical analysis of frozen section of mouse renal cell carcinoma with ab140675 at 1/1000 (1 μg/ml) dilution.

Detection : DAB

Western blot - Anti-Proteasome 26S S2/PSMD2 antibody (AB140675)
  • WB

Unknown

Western blot - Anti-Proteasome 26S S2/PSMD2 antibody (AB140675)

All lanes:

Western blot - Anti-Proteasome 26S S2/PSMD2 antibody (ab140675) at 0.4 µg/mL

Lane 1:

Whole cell lysate prepared from 293T cells at 50 µg

Lane 2:

Whole cell lysate prepared from 293T cells at 15 µg

Lane 3:

Whole cell lysate prepared from HeLa cells at 50 µg

Lane 4:

Whole cell lysate prepared from Jurkat cells at 50 µg

Predicted band size: 100 kDa

true

Exposure time: 30s

Immunoprecipitation - Anti-Proteasome 26S S2/PSMD2 antibody (AB140675)
  • IP

Unknown

Immunoprecipitation - Anti-Proteasome 26S S2/PSMD2 antibody (AB140675)

Detection of Human Proteasome 26S S2/PSMD2 by Western Blot of Immunoprecipitates.Samples : Whole cell lysate (1 mg for IP; 20% of IP loaded) from 293T cells.

Lane 1 : IP with an antibody which recognizes a different epitope of anti-Proteasome 26S S2/PSMD2 antibody.

Lane 2 : ab140675 used for IP at 6 μg/mg lysate.

Lane 3 : Control IgG.For blotting immunoprecipitated Proteasome 26S S2/PSMD2, ab140675 was used at 1 μg/ml.Detection : Chemiluminescence with an exposure time of 3 seconds.

All lanes:

Immunoprecipitation - Anti-Proteasome 26S S2/PSMD2 antibody (ab140675)

Predicted band size: 100 kDa

false

Western blot - Anti-Proteasome 26S S2/PSMD2 antibody (AB140675)
  • WB

Unknown

Western blot - Anti-Proteasome 26S S2/PSMD2 antibody (AB140675)

All lanes:

Western blot - Anti-Proteasome 26S S2/PSMD2 antibody (ab140675) at 0.4 µg/mL

All lanes:

whole cell lysate prepared from NIH3T3 cells at 50 µg

Predicted band size: 100 kDa

true

Exposure time: 3min

Key facts

Host species

Rabbit

Clonality

Polyclonal

Isotype

IgG

Carrier free

No

Reacts with

Mouse, Human

Applications

WB, IP, IHC-Fr

applications

Immunogen

Synthetic Peptide within Human PSMD2 aa 50-100. The exact immunogen used to generate this antibody is proprietary information.

Q13200

Reactivity data

{ "title": "Reactivity Data", "filters": { "stats": ["", "Species", "Dilution Info", "Notes"], "tabs": { "all-applications": {"fullname" : "All Applications", "shortname": "All Applications"}, "IP" : {"fullname" : "Immunoprecipitation", "shortname":"IP"}, "WB" : {"fullname" : "Western blot", "shortname":"WB"}, "IHCFr" : {"fullname" : "Immunohistochemistry (Frozen sections)", "shortname":"IHC-Fr"} }, "product-promise": { "all": "all", "testedAndGuaranteed": "tested", "guaranteed": "expected", "predicted": "predicted", "notRecommended": "not-recommended" } }, "values": { "Human": { "IP-species-checked": "testedAndGuaranteed", "IP-species-dilution-info": "2-10 µg/mg of lysate", "IP-species-notes": "<p></p>", "WB-species-checked": "testedAndGuaranteed", "WB-species-dilution-info": "1/1000 - 1/5000", "WB-species-notes": "<p></p>", "IHCFr-species-checked": "testedAndGuaranteed", "IHCFr-species-dilution-info": "1/500 - 1/2000", "IHCFr-species-notes": "<p>Epitope retrieval with citrate buffer pH 6.0 is recommended for FFPE tissue sections.</p>" }, "Mouse": { "IP-species-checked": "guaranteed", "IP-species-dilution-info": "", "IP-species-notes": "", "WB-species-checked": "testedAndGuaranteed", "WB-species-dilution-info": "1/1000 - 1/5000", "WB-species-notes": "<p></p>", "IHCFr-species-checked": "testedAndGuaranteed", "IHCFr-species-dilution-info": "1/500 - 1/2000", "IHCFr-species-notes": "<p>Epitope retrieval with citrate buffer pH 6.0 is recommended for FFPE tissue sections.</p>" }, "Rat": { "IP-species-checked": "predicted", "IP-species-dilution-info": "", "IP-species-notes": "", "WB-species-checked": "predicted", "WB-species-dilution-info": "", "WB-species-notes": "", "IHCFr-species-checked": "predicted", "IHCFr-species-dilution-info": "", "IHCFr-species-notes": "" }, "Chicken": { "IP-species-checked": "predicted", "IP-species-dilution-info": "", "IP-species-notes": "", "WB-species-checked": "predicted", "WB-species-dilution-info": "", "WB-species-notes": "", "IHCFr-species-checked": "predicted", "IHCFr-species-dilution-info": "", "IHCFr-species-notes": "" }, "Chimpanzee": { "IP-species-checked": "predicted", "IP-species-dilution-info": "", "IP-species-notes": "", "WB-species-checked": "predicted", "WB-species-dilution-info": "", "WB-species-notes": "", "IHCFr-species-checked": "predicted", "IHCFr-species-dilution-info": "", "IHCFr-species-notes": "" }, "Chinese hamster": { "IP-species-checked": "predicted", "IP-species-dilution-info": "", "IP-species-notes": "", "WB-species-checked": "predicted", "WB-species-dilution-info": "", "WB-species-notes": "", "IHCFr-species-checked": "predicted", "IHCFr-species-dilution-info": "", "IHCFr-species-notes": "" }, "Cow": { "IP-species-checked": "predicted", "IP-species-dilution-info": "", "IP-species-notes": "", "WB-species-checked": "predicted", "WB-species-dilution-info": "", "WB-species-notes": "", "IHCFr-species-checked": "predicted", "IHCFr-species-dilution-info": "", "IHCFr-species-notes": "" }, "Dog": { "IP-species-checked": "predicted", "IP-species-dilution-info": "", "IP-species-notes": "", "WB-species-checked": "predicted", "WB-species-dilution-info": "", "WB-species-notes": "", "IHCFr-species-checked": "predicted", "IHCFr-species-dilution-info": "", "IHCFr-species-notes": "" }, "Gorilla": { "IP-species-checked": "predicted", "IP-species-dilution-info": "", "IP-species-notes": "", "WB-species-checked": "predicted", "WB-species-dilution-info": "", "WB-species-notes": "", "IHCFr-species-checked": "predicted", "IHCFr-species-dilution-info": "", "IHCFr-species-notes": "" }, "Guinea pig": { "IP-species-checked": "predicted", "IP-species-dilution-info": "", "IP-species-notes": "", "WB-species-checked": "predicted", "WB-species-dilution-info": "", "WB-species-notes": "", "IHCFr-species-checked": "predicted", "IHCFr-species-dilution-info": "", "IHCFr-species-notes": "" }, "Horse": { "IP-species-checked": "predicted", "IP-species-dilution-info": "", "IP-species-notes": "", "WB-species-checked": "predicted", "WB-species-dilution-info": "", "WB-species-notes": "", "IHCFr-species-checked": "predicted", "IHCFr-species-dilution-info": "", "IHCFr-species-notes": "" }, "Orangutan": { "IP-species-checked": "predicted", "IP-species-dilution-info": "", "IP-species-notes": "", "WB-species-checked": "predicted", "WB-species-dilution-info": "", "WB-species-notes": "", "IHCFr-species-checked": "predicted", "IHCFr-species-dilution-info": "", "IHCFr-species-notes": "" }, "Pig": { "IP-species-checked": "predicted", "IP-species-dilution-info": "", "IP-species-notes": "", "WB-species-checked": "predicted", "WB-species-dilution-info": "", "WB-species-notes": "", "IHCFr-species-checked": "predicted", "IHCFr-species-dilution-info": "", "IHCFr-species-notes": "" }, "Primates": { "IP-species-checked": "predicted", "IP-species-dilution-info": "", "IP-species-notes": "", "WB-species-checked": "predicted", "WB-species-dilution-info": "", "WB-species-notes": "", "IHCFr-species-checked": "predicted", "IHCFr-species-dilution-info": "", "IHCFr-species-notes": "" }, "Rabbit": { "IP-species-checked": "predicted", "IP-species-dilution-info": "", "IP-species-notes": "", "WB-species-checked": "predicted", "WB-species-dilution-info": "", "WB-species-notes": "", "IHCFr-species-checked": "predicted", "IHCFr-species-dilution-info": "", "IHCFr-species-notes": "" }, "Rhesus monkey": { "IP-species-checked": "predicted", "IP-species-dilution-info": "", "IP-species-notes": "", "WB-species-checked": "predicted", "WB-species-dilution-info": "", "WB-species-notes": "", "IHCFr-species-checked": "predicted", "IHCFr-species-dilution-info": "", "IHCFr-species-notes": "" }, "Turkey": { "IP-species-checked": "predicted", "IP-species-dilution-info": "", "IP-species-notes": "", "WB-species-checked": "predicted", "WB-species-dilution-info": "", "WB-species-notes": "", "IHCFr-species-checked": "predicted", "IHCFr-species-dilution-info": "", "IHCFr-species-notes": "" }, "Xenopus tropicalis": { "IP-species-checked": "predicted", "IP-species-dilution-info": "", "IP-species-notes": "", "WB-species-checked": "predicted", "WB-species-dilution-info": "", "WB-species-notes": "", "IHCFr-species-checked": "predicted", "IHCFr-species-dilution-info": "", "IHCFr-species-notes": "" }, "Zebrafish": { "IP-species-checked": "predicted", "IP-species-dilution-info": "", "IP-species-notes": "", "WB-species-checked": "predicted", "WB-species-dilution-info": "", "WB-species-notes": "", "IHCFr-species-checked": "predicted", "IHCFr-species-dilution-info": "", "IHCFr-species-notes": "" } } }

Properties and storage information

Form
Liquid
Purification technique
Affinity purification Immunogen
Purification notes
Antibody concentration was determined by extinction coefficient: absorbance at 280 nm of 1.4 equals 1.0 mg of IgG.
Storage buffer
pH: 7 - 8 Preservative: 0.09% Sodium azide Constituents: 99% Tris citrate/phosphate
Shipped at conditions
Blue Ice
Appropriate short-term storage conditions
+4°C
Appropriate long-term storage conditions
+4°C

Supplementary information

This supplementary information is collated from multiple sources and compiled automatically.

Proteasome 26S S2 also known as PSMD2 is a subunit of the 26S proteasome. It plays an important role in the degradation of ubiquitinated proteins a process essential for maintaining protein homeostasis. The molecular mass of Proteasome 26S S2 is around 102 kDa. It is expressed in various tissues including the brain heart and muscle. The protein facilitates the recognition and unfolding of substrates destined for proteolysis by the 26S proteasome an activity that is instrumental in controlling the quality and abundance of proteins within the cell.
Biological function summary

Proteasome 26S S2 is an integral part of the 26S proteasome complex a large protease complex with a 20S core particle and 19S regulatory particles. This complex is responsible for degrading most intracellular proteins and is vital for regulating numerous cellular processes such as cell cycle control DNA repair and signal transduction. PSMD2 is linked with the assembly and stabilization of the 19S regulatory particle influencing the efficiency of the proteasome in recognizing and processing polyubiquitinated proteins.

Pathways

Proteasome 26S S2 is involved in ubiquitin-proteasome pathway and cell cycle regulation. In the ubiquitin-proteasome pathway it works with ubiquitin ligases and deubiquitinating enzymes to ensure selective and timely protein turnover. It is also associated with important regulatory proteins like CDC48 VCP/P97 which are involved in the ATP-dependent unfolding of proteins before proteasomal degradation. These pathways are essential for maintaining cellular protein homeostasis and managing cell cycle transitions suggesting an important regulatory role played by Proteasome 26S S2.

Proteasome 26S S2 is linked to neurodegenerative diseases and cancers. In neurodegenerative diseases such as Parkinson's disease dysfunction of the proteasome can lead to the accumulation of misfolded proteins thereby exacerbating disease progression. In cancers overexpression of Proteasome 26S S2 and other proteasomal subunits could promote the degradation of tumor suppressor proteins fueling carcinogenesis. It connects with proteins like PINK1 and PARKIN in neurodegeneration and interacts with p53 in cancer pathways indicating its critical involvement in disease mechanisms.

Product protocols

For this product, it's our understanding that no specific protocols are required. You can visit:

Target data

Component of the 26S proteasome, a multiprotein complex involved in the ATP-dependent degradation of ubiquitinated proteins. This complex plays a key role in the maintenance of protein homeostasis by removing misfolded or damaged proteins, which could impair cellular functions, and by removing proteins whose functions are no longer required. Therefore, the proteasome participates in numerous cellular processes, including cell cycle progression, apoptosis, or DNA damage repair.. Binds to the intracellular domain of tumor necrosis factor type 1 receptor. The binding domain of TRAP1 and TRAP2 resides outside the death domain of TNFR1.
See full target information PSMD2

Publications (2)

Recent publications for all applications. Explore the full list and refine your search

Cell death & disease 14:685 PubMed37848434

2023

RACK1 facilitates breast cancer progression by competitively inhibiting the binding of β-catenin to PSMD2 and enhancing the stability of β-catenin.

Applications

Unspecified application

Species

Unspecified reactive species

Ruinan Tian,Jianfei Tian,Xiaoyan Zuo,Sixin Ren,He Zhang,Hui Liu,Zhiyong Wang,Yanfen Cui,Ruifang Niu,Fei Zhang

Cancer letters 430:109-122 PubMed29777785

2018

PSMD2 regulates breast cancer cell proliferation and cell cycle progression by modulating p21 and p27 proteasomal degradation.

Applications

Unspecified application

Species

Unspecified reactive species

Yunhai Li,Jing Huang,Beilei Zeng,Dejuan Yang,Jiazheng Sun,Xuedong Yin,Mengqi Lu,Zhu Qiu,Weiyan Peng,Tingxiu Xiang,Hongzhong Li,Guosheng Ren
View all publications

Product promise

We are committed to supporting your work with high-quality reagents, and we're here for you every step of the way. In the unlikely event that one of our products does not perform as expected, you're protected by our Product Promise.
For full details, please see our Terms & Conditions

Please note: All products are 'FOR RESEARCH USE ONLY. NOT FOR USE IN DIAGNOSTIC OR THERAPEUTIC PROCEDURES'.

For licensing inquiries, please contact partnerships@abcam.com