JavaScript is disabled in your browser. Please enable JavaScript to view this website.
AB157158

Anti-Proteasome Activator Subunit 4/PSME4 antibody

Be the first to review this product! Submit a review

|

(1 Publication)

Rabbit Polyclonal Proteasome Activator Subunit 4/PSME4 antibody. Suitable for IP, WB, IHC-P and reacts with Human samples. Cited in 1 publication. Immunogen corresponding to Synthetic Peptide within Human PSME4 aa 1-50.

View Alternative Names

BLM10, KIAA0077, PSME4, Proteasome activator complex subunit 4, Proteasome activator PA200, Protein BLM10 homolog, Blm10, hBlm10

3 Images
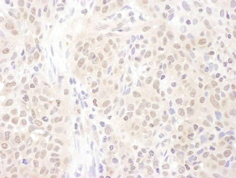
Immunohistochemistry (Formalin/PFA-fixed paraffin-embedded sections) - Anti-Proteasome Activator Subunit 4/PSME4 antibody (AB157158)
  • IHC-P

Supplier Data

Immunohistochemistry (Formalin/PFA-fixed paraffin-embedded sections) - Anti-Proteasome Activator Subunit 4/PSME4 antibody (AB157158)

Immunohistochemistry if human non-small cell lung cancer staining Proteasome Activator Subunit 4/PSME4 with ab157158 at 1/1000.

Immunoprecipitation - Anti-Proteasome Activator Subunit 4/PSME4 antibody (AB157158)
  • IP

Unknown

Immunoprecipitation - Anti-Proteasome Activator Subunit 4/PSME4 antibody (AB157158)

Detection of Proteasome Activator Subunit 4/PSME4 by Western Blot of Immunprecipitate.
ab157158 at 1μg/ml labeling Proteasome Activator Subunit 4/PSME4 in 293T whole cell lysate immunoprecipitated using ab157158 at 6μg/mg lysate (1 mg/IP; 20% of IP loaded/lane).
Detection : Chemiluminescence with exposure time of 10 seconds.

All lanes:

Immunoprecipitation - Anti-Proteasome Activator Subunit 4/PSME4 antibody (ab157158)

Predicted band size: 211 kDa

false

Western blot - Anti-Proteasome Activator Subunit 4/PSME4 antibody (AB157158)
  • WB

Unknown

Western blot - Anti-Proteasome Activator Subunit 4/PSME4 antibody (AB157158)

All lanes:

Western blot - Anti-Proteasome Activator Subunit 4/PSME4 antibody (ab157158) at 0.4 µg/mL

Lane 1:

293T wholecell lysate at 50 µg

Lane 2:

293T wholecell lysate at 15 µg

Lane 3:

HeLa whole cell lysate at 50 µg

Lane 4:

Jurkat wholecell lysate at 50 µg

Predicted band size: 211 kDa

true

Exposure time: 3min

Key facts

Host species

Rabbit

Clonality

Polyclonal

Isotype

IgG

Carrier free

No

Reacts with

Human

Applications

WB, IHC-P, IP

applications

Immunogen

Synthetic Peptide within Human PSME4 aa 1-50. The exact immunogen used to generate this antibody is proprietary information.

Q14997

Reactivity data

{ "title": "Reactivity Data", "filters": { "stats": ["", "Species", "Dilution Info", "Notes"], "tabs": { "all-applications": {"fullname" : "All Applications", "shortname": "All Applications"}, "IP" : {"fullname" : "Immunoprecipitation", "shortname":"IP"}, "WB" : {"fullname" : "Western blot", "shortname":"WB"}, "IHCP" : {"fullname" : "Immunohistochemistry (Formalin/PFA-fixed paraffin-embedded sections)", "shortname":"IHC-P"} }, "product-promise": { "all": "all", "testedAndGuaranteed": "tested", "guaranteed": "expected", "predicted": "predicted", "notRecommended": "not-recommended" } }, "values": { "Human": { "IP-species-checked": "testedAndGuaranteed", "IP-species-dilution-info": "2-10 µg/mg of lysate", "IP-species-notes": "<p></p>", "WB-species-checked": "testedAndGuaranteed", "WB-species-dilution-info": "1/1000 - 1/5000", "WB-species-notes": "<p></p>", "IHCP-species-checked": "testedAndGuaranteed", "IHCP-species-dilution-info": "1/1000", "IHCP-species-notes": "<p></p>" }, "Chimpanzee": { "IP-species-checked": "predicted", "IP-species-dilution-info": "", "IP-species-notes": "", "WB-species-checked": "predicted", "WB-species-dilution-info": "", "WB-species-notes": "", "IHCP-species-checked": "predicted", "IHCP-species-dilution-info": "", "IHCP-species-notes": "" } } }

Properties and storage information

Form
Liquid
Purification technique
Affinity purification Immunogen
Purification notes
ab157158 was affinity purified using an epitope specific to Proteasome Activator Subunit 4/PSME4 immobilized on solid support.
Storage buffer
pH: 7 - 8 Preservative: 0.09% Sodium azide Constituents: 99% Tris citrate/phosphate
Shipped at conditions
Blue Ice
Appropriate short-term storage conditions
+4°C
Appropriate long-term storage conditions
+4°C

Supplementary information

This supplementary information is collated from multiple sources and compiled automatically.

Proteasome Activator Subunit 4 (PSME4) also known as PA200 is an important component in regulating protein degradation. It belongs to the family of proteasome activator subunits and has a molecular mass of approximately 230 kDa. PSME4 is mainly expressed in the nucleus of cells and modulates proteasome activity by binding to the proteasome core particle. Through facilitating protein breakdown PSME4 significantly influences various cellular processes including the elimination of oxidatively damaged proteins.
Biological function summary

PSME4 functions as part of a complex that enhances proteasome-mediated protein degradation. This complex formation improves the efficiency of protein processing by recruiting specific substrates for degradation. PSME4 is involved in DNA repair processes and plays a role in spermatogenesis contributing to proper cell cycle progression and genomic stability. The protein's activity in these biological functions demonstrates its importance in maintaining cellular homeostasis.

Pathways

PSME4 is intricately involved in the ubiquitin-proteasome pathway and the DNA damage response pathway which are essential for maintaining protein quality control and genomic integrity. PSME4 interacts with other proteins such as RAD23B facilitating the repair of damaged DNA. By integrating into these pathways PSME4 ensures the proper execution of critical cellular processes and responds to stress-related signals.

Alterations in PSME4 expression or function have connections to cancer progression and neurodegenerative diseases. In cancer PSME4 may influence tumor growth and resistance to therapy through its role in DNA repair and protein turnover. Additionally in neurodegenerative conditions like Alzheimer's disease PSME4-associated proteasome dysfunction contributes to the accumulation of toxic protein aggregates. Understanding PSME4 interactions with proteins like p53 in cancer or tau in neurodegeneration offers insights into potential therapeutic targets.

Product protocols

For this product, it's our understanding that no specific protocols are required. You can visit:

Target data

Associated component of the proteasome that specifically recognizes acetylated histones and promotes ATP- and ubiquitin-independent degradation of core histones during spermatogenesis and DNA damage response. Recognizes and binds acetylated histones via its bromodomain-like (BRDL) region and activates the proteasome by opening the gated channel for substrate entry. Binds to the core proteasome via its C-terminus, which occupies the same binding sites as the proteasomal ATPases, opening the closed structure of the proteasome via an active gating mechanism. Component of the spermatoproteasome, a form of the proteasome specifically found in testis : binds to acetylated histones and promotes degradation of histones, thereby participating actively to the exchange of histones during spermatogenesis. Also involved in DNA damage response in somatic cells, by promoting degradation of histones following DNA double-strand breaks.
See full target information PSME4

Publications (1)

Recent publications for all applications. Explore the full list and refine your search

The Journal of clinical investigation 135: PubMed40091835

2025

Targeting ubiquitin-independent proteasome with small molecule increases susceptibility in pan-KRAS-mutant cancer models.

Applications

Unspecified application

Species

Unspecified reactive species

Shihui Shen,Qiansen Zhang,Yuhan Wang,Hui Chen,Shuangming Gong,Yun Liu,Conghao Gai,Hansen Chen,Enhao Zhu,Bo Yang,Lin Liu,Siyuan Cao,Mengting Zhao,Wenjie Ren,Mengjuan Li,Zhuoya Peng,Lu Zhang,Shaoying Zhang,Juwen Shen,Bianhong Zhang,Patrick Kh Lee,Kun Li,Lei Li,Huaiyu Yang
View all publications

Product promise

We are committed to supporting your work with high-quality reagents, and we're here for you every step of the way. In the unlikely event that one of our products does not perform as expected, you're protected by our Product Promise.
For full details, please see our Terms & Conditions

Please note: All products are 'FOR RESEARCH USE ONLY. NOT FOR USE IN DIAGNOSTIC OR THERAPEUTIC PROCEDURES'.

For licensing inquiries, please contact partnerships@abcam.com